共1页/4条首页上一页1下一页尾页
回复:4 阅读:2414
支气管刷片

huhuu 离线

帖子:193
粉蓝豆:41
经验:1459
注册时间:2011-08-25
加关注  |  发消息
楼主 发表于 2011-11-02 16:38|举报|关注(0)
浏览排序[ 顺序 逆序 楼主 支持 精彩 ]  快捷回复

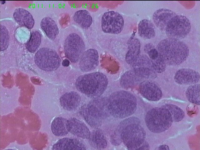
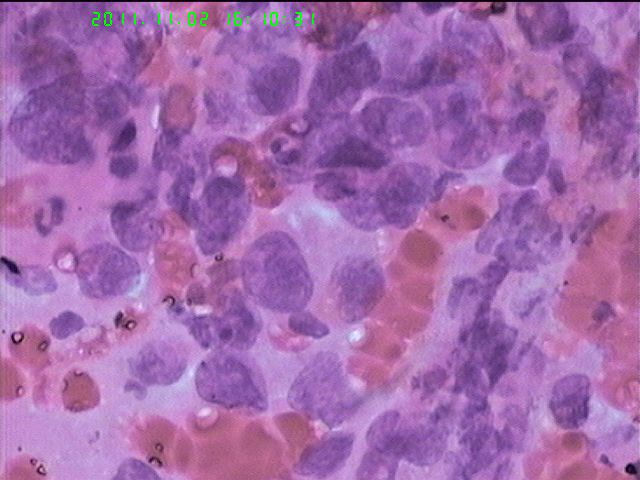
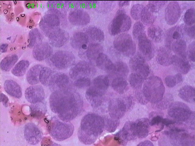
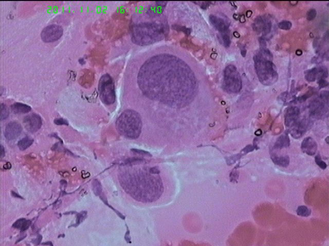
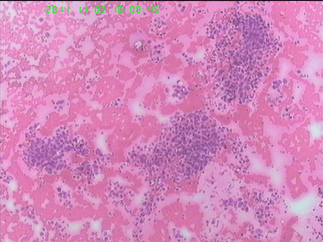
 男65岁支气管刷片

  • 支气管刷片图1
    图1
  • 支气管刷片图2
    图2
  • 支气管刷片图3
    图3
  • 支气管刷片图4
    图4
  • 支气管刷片图5
    图5
  • 支气管刷片图6
    图6
  • 支气管刷片图7
    图7
  • 支气管刷片图8
    图8
  • 支气管刷片图9
    图9
标签:
0
添加参考诊断
×参考诊断
  

老油 离线

帖子:236
粉蓝豆:525
经验:247
注册时间:2010-11-16
加关注  |  发消息
4 楼    发表于2011-11-03 17:45:51举报|引用
返回顶部 | 快捷回复

我觉得不是大细胞神经内分泌癌。

你这例主要由于固定不及时,有些退变了,所以核看起来比较大。

胞浆比较丰富,而且均匀一致,所以我考虑腺癌。

期待你的活检结果、

0
回复

huhuu 离线

帖子:193
粉蓝豆:41
经验:1459
注册时间:2011-08-25
加关注  |  发消息
3 楼    发表于2011-11-02 23:08:52举报|引用
返回顶部 | 快捷回复

大细胞未分化癌呢,第一次活检没夹到;我们报了癌,建议再次活检明确类型。

0
回复

老油 离线

帖子:236
粉蓝豆:525
经验:247
注册时间:2010-11-16
加关注  |  发消息
2 楼    发表于2011-11-02 21:02:25举报|引用
返回顶部 | 快捷回复

非小细胞癌,我倾向与腺癌

0
回复

涢水清- 离线

帖子:2045
粉蓝豆:9
经验:2208
注册时间:2010-04-19
加关注  |  发消息
1 楼    发表于2011-11-02 18:21:35举报|引用
返回顶部 | 快捷回复

楼主的制片都很漂亮,可以直接报鳞癌吗

0
回复
回复:4 阅读:2414
共1页/4条首页上一页1下一页尾页
【免责声明】讨论内容仅作学术交流之用,不作为诊疗依据,由此而引起的法律问题作者及本站不承担任何责任。
快速回复
进入高级回复
您最多可输入10000个汉字,按 "Ctrl" + "Enter" 直接发送
搜索回复/乘电梯 ×
按内容
按会员
乘电梯
合作伙伴
友情链接