共1页/12条首页上一页1下一页尾页
回复:12 阅读:3051
左手指肿物

小鬼难缠 离线

帖子:393
粉蓝豆:510
经验:2502
注册时间:2009-01-24
加关注  |  发消息
楼主 发表于 2011-11-02 09:21|举报|关注(0)
浏览排序[ 顺序 逆序 楼主 支持 精彩 ]  快捷回复

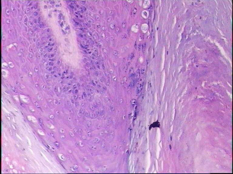
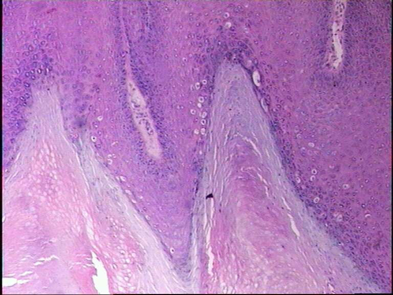
男38岁,手指肿物一年

  • 左手指肿物图1
    图1
  • 左手指肿物图2
    图2
  • 左手指肿物图3
    图3
  • 左手指肿物图4
    图4
  • 左手指肿物图5
    图5
  • 左手指肿物图6
    图6
  • 左手指肿物图7
    图7
  • 左手指肿物图8
    图8
  • 左手指肿物图9
    图9
 
标签:
0
×参考诊断
寻常疣

hyl76 离线

帖子:781
粉蓝豆:656
经验:3771
注册时间:2007-06-05
加关注  |  发消息
12 楼    发表于2011-11-06 16:14:28举报|引用
返回顶部 | 快捷回复

最后一张典型的寻常疣构型

0
回复
signature
学无止境,不进则退!

一了 离线

帖子:2138
粉蓝豆:64
经验:2288
注册时间:2009-03-31
加关注  |  发消息
11 楼    发表于2011-11-06 15:12:53举报|引用
返回顶部 | 快捷回复

寻常疣

0
回复

格格巫 离线

帖子:83
粉蓝豆:1
经验:95
注册时间:2011-03-20
加关注  |  发消息
10 楼    发表于2011-11-05 22:54:32举报|引用
返回顶部 | 快捷回复

寻常疣 肉眼间 皮肤局限性乳头状突起新生物。

镜下 表皮棘层增生,颗粒层增厚,角化亢进及角化不全,真皮乳头瘤病。颗粒层细胞空泡变性,其核内或胞质内有均质性嗜酸性蛋白小体形成,周围有空晕。角化不全的细胞科堆积成小山包样外观。

学习了。

谢谢分享。

0
回复
signature
走好自己的路。

Renghis 离线

帖子:2530
粉蓝豆:92
经验:4081
注册时间:2007-12-13
加关注  |  发消息
9 楼    发表于2011-11-05 17:45:05举报|引用
返回顶部 | 快捷回复

寻常疣

0
回复
signature
重归学生时代!

lvgq 离线

帖子:664
粉蓝豆:1
经验:1043
注册时间:2006-09-27
加关注  |  发消息
8 楼    发表于2011-11-05 17:28:38举报|引用
返回顶部 | 快捷回复

是寻常疣

0
回复

hello-ayuan 离线

帖子:126
粉蓝豆:44
经验:175
注册时间:2009-10-07
加关注  |  发消息
7 楼    发表于2011-11-05 16:32:46举报|引用
返回顶部 | 快捷回复

支持寻常疣的诊断。

0
回复

ziranse 离线

帖子:165
粉蓝豆:31
经验:182
注册时间:2010-12-22
加关注  |  发消息
6 楼    发表于2011-11-05 10:48:17举报|引用
返回顶部 | 快捷回复

  寻常疣

0
回复

杏林散客 离线

帖子:2097
粉蓝豆:87
经验:2406
注册时间:2008-05-18
加关注  |  发消息
5 楼    发表于2011-11-03 23:00:52举报|引用
返回顶部 | 快捷回复
本帖最后由 杏林散客 于 2011-11-03 23:01:18 编辑

乳头瘤样增生,空泡化细胞,典型寻常疣!最后一张典型的寻常疣构型!

0
回复
signature
皮毛之事,方寸之间,大千世界!

风铃 离线

帖子:96
粉蓝豆:3
经验:558
注册时间:2008-04-10
加关注  |  发消息
4 楼    发表于2011-11-02 22:18:38举报|引用
返回顶部 | 快捷回复

寻常疣,图像比较典型的

0
回复

一棵小草 离线

帖子:5101
粉蓝豆:12
经验:7184
注册时间:2008-07-07
加关注  |  发消息
3 楼    发表于2011-11-02 20:46:47举报|引用
返回顶部 | 快捷回复

典型的寻常疣病理改变。

1

hunter12..
回复

brz0001 离线

帖子:3035
粉蓝豆:97
经验:3058
注册时间:2008-05-05
加关注  |  发消息
2 楼    发表于2011-11-02 12:17:09举报|引用
返回顶部 | 快捷回复

考虑寻常疣

4

zhouquan

新小兵

轻羽飞扬

Renghis
回复

红树林 离线

帖子:618
粉蓝豆:49
经验:2614
注册时间:2009-02-10
加关注  |  发消息
1 楼    发表于2011-11-02 09:54:44举报|引用
返回顶部 | 快捷回复

鳞状上皮乳头状瘤

0
回复
回复:12 阅读:3051
共1页/12条首页上一页1下一页尾页
【免责声明】讨论内容仅作学术交流之用,不作为诊疗依据,由此而引起的法律问题作者及本站不承担任何责任。
快速回复
进入高级回复
您最多可输入10000个汉字,按 "Ctrl" + "Enter" 直接发送
搜索回复/乘电梯 ×
按内容
按会员
乘电梯
合作伙伴
友情链接