| 图片: | |
|---|---|
| 名称: | |
| 描述: | |
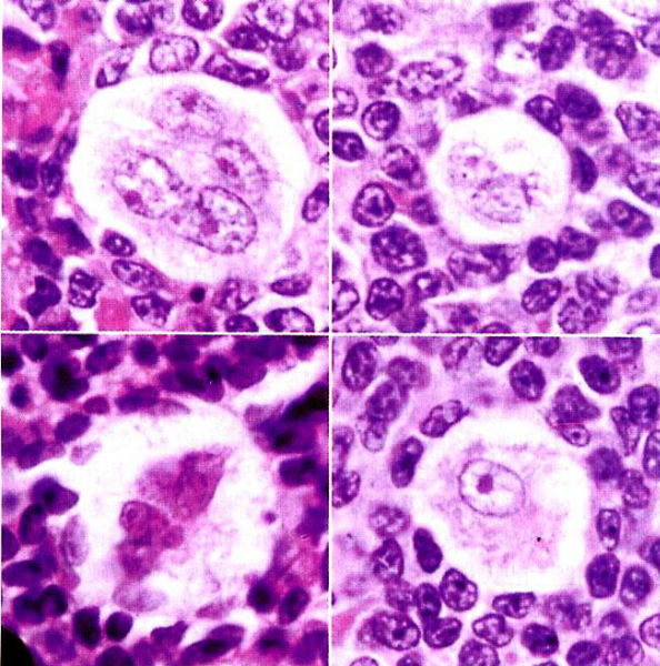
经典型Hodgkin淋巴瘤(CHL):由单核的Hodgkin细胞(HC)和多核的R-S细胞(RSC)构成,背景细胞包括小淋巴细胞、上皮样组织细胞、浆细胞及嗜酸性粒细胞。CHL分为四种亚型,分别为淋巴细胞为主型(LRCHL)、结节硬化型(NSCHL)、混合细胞型(MCCHL)和淋巴细胞消减型(LDCHL)。
①结节硬化型:呈明显的结节状生长,结节周边围绕以胶原条带,结节内为小淋巴细胞、其他炎症性细胞,以及不同数量的RSC。诊断要求至少有一个结节周围有明显的纤维条带围绕。
②混合细胞型:在混合性炎症背景内可见典型RSC,呈模糊的结节状生长,无结节状硬化。RSC的免疫表型:CD15+,CD30+,CD20-/+,CD79a-/+, CD45-, Oct-2-,Bob.1-。CD15和CD30表达于细胞膜,伴有Golgi区聚集,其中CD15可仅表达于少数肿瘤细胞,也可能仅Golgi区阳性。

③淋巴细胞为主型:有两种生长方式,最常见为结节状,罕见弥漫性生长。结节由小淋巴细胞和RSC构成,可伴有小的或退化的生发中心,一般见不到嗜酸性粒细胞和中性粒细胞。RSC可类似LP细胞或单核陷窝细胞,易于与NLPHL混淆,需要免疫标记来鉴别,两者瘤细胞的免疫表型不同,淋巴细胞为型为:CD15+/-,CD30+,CD45-,CD20-/+。NLPHL为:CD45+,CD75+,CD20+,CD79a+,Oct-2+, Bob.1+, CD15-, CD30-/+。此外,NLPHL瘤细胞周边可见花环状的CD3+或CD4+,CD57+ T细胞,此特征不见于淋巴细胞为主型。弥漫性生长者表现为小淋巴细胞背景内还混有组织细胞。

chenliu0552 离线
chenliu0552 离线
经典型Hodgkin淋巴瘤(CHL):由单核的Hodgkin细胞(HC)和多核的R-S细胞(RSC)构成,背景细胞包括小淋巴细胞、上皮样组织细胞、浆细胞及嗜酸性粒细胞。CHL分为四种亚型,分别为淋巴细胞为主型(LRCHL)、结节硬化型(NSCHL)、混合细胞型(MCCHL)和淋巴细胞消减型(LDCHL)。
①结节硬化型:呈明显的结节状生长,结节周边围绕以胶原条带,结节内为小淋巴细胞、其他炎症性细胞,以及不同数量的RSC。诊断要求至少有MCCHL,诊断性RS细胞为双叶核,每叶内可见一大的嗜酸性核仁,核空泡状,核膜清楚,胞浆丰富一个结节周围有明显的纤维条带围绕。NSCHL,纤维组织条索从右侧伸入左侧残留淋巴结内NSCHL,由淋巴细胞、炎细胞及组织细胞构成的异质性结节周围可见宽胶原条带.陷窝细胞不表达CD45
②混合细胞型:在混合性炎症背景内可见典型RSC,呈模糊的结节状生长,无结节状硬化。RSC的免疫表型:CD15+,CD30+,CD20-/+,CD79a-/+, CD45-, Oct-2-,Bob.1-。CD15和CD30表达于细胞膜,伴有Golgi区聚集,其中CD15可仅表达于少数肿瘤细胞,也可能仅Golgi区阳性。MCCHL,诊断性RS细胞为双叶核,每叶内可见一大的嗜酸性核仁,核空泡状,核膜清楚,胞浆丰富.HC和RSC不表达CD45.
③淋巴细胞为主型:有两种生长方式,最常见为结节状,罕见弥漫性生长。结节由小淋巴细胞和RSC构成,可伴有小的或退化的生发中心,一般见不到嗜酸性粒细胞和中性粒细胞。RSC可类似LP细胞或单核陷窝细胞,易于与NLPHL混淆,需要免疫标记来鉴别,两者瘤细胞的免疫表型不同,淋巴细胞为型为:CD15+/-,CD30+,CD45-,CD20-/+。NLPHL为:CD45+,CD75+,CD20+,CD79a+,Oct-2+, Bob.1+, CD15-, CD30-/+。此外,NLPHL瘤细胞周边可见花环状的CD3+或CD4+,CD57+ T细胞,此特征不见于淋巴细胞为主型。弥漫性生长者表现为小淋巴细胞背景内还混有组织细胞。
4淋巴细胞消减型:弥漫性生长,不形成结节,只是为叙述方便而在此一起讨论。此型组织学表现变化很大,共有的特征为非肿瘤性的淋巴细胞数量减少,伴有大量RSC和HC,可形成肉瘤样外观,诊断需要免疫标记辅助。
霍奇金淋巴瘤看似简单,其实诊断误区很多。大多数都以颈部淋巴结首发,其后再累及纵膈、腋下等淋巴结。如果仅发现纵膈淋巴结肿大而没有颈部淋巴结肿大的话,就要对霍奇金淋巴瘤的诊断产生一定警惕。
学习霍奇金淋巴瘤!谢谢老师们!
liuxing2011 离线