共2页/28条首页上一页12下一页尾页
回复:28 阅读:8052
腹壁一个包块,巨检长相很似神经鞘瘤,不知是什么东东

robot2009 离线

帖子:1160
粉蓝豆:41
经验:1576
注册时间:2009-05-10
加关注  |  发消息
楼主 发表于 2011-10-31 22:12|举报|关注(3)
浏览排序[ 顺序 逆序 楼主 支持 精彩 ]  快捷回复

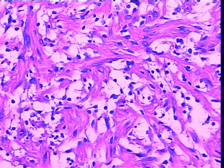
 腹壁一个包块,大小4cmx2cmx2cm,椭圆形,有菲薄包膜,淡黄色,切面淡黄色半透明,质地偏韧。

是女性患者,19岁。考虑为神经方面肿瘤,等着病人过来加做免疫组化。
腹壁一个包块,巨检长相很似神经鞘瘤,不知是什么东东图1
名称:图1
描述:30953

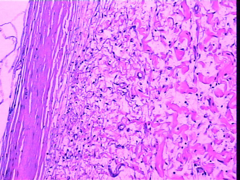
腹壁一个包块,巨检长相很似神经鞘瘤,不知是什么东东图2
名称:图1
描述:1
腹壁一个包块,巨检长相很似神经鞘瘤,不知是什么东东图3
名称:图2
描述:2
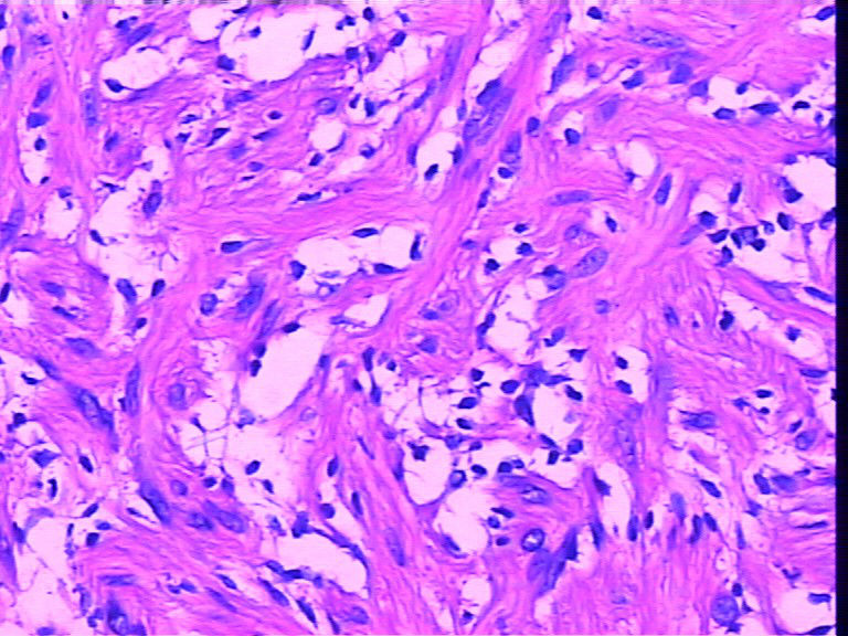
腹壁一个包块,巨检长相很似神经鞘瘤,不知是什么东东图4
名称:图3
描述:3
腹壁一个包块,巨检长相很似神经鞘瘤,不知是什么东东图5
名称:图4
描述:4
腹壁一个包块,巨检长相很似神经鞘瘤,不知是什么东东图6
名称:图5
描述:5
腹壁一个包块,巨检长相很似神经鞘瘤,不知是什么东东图7
名称:图6
描述:6
标签:
本帖最后由 robot2009 于 2011-11-02 19:50:05 编辑
0
添加参考诊断
×参考诊断
  

zhouquan 离线

帖子:7752
粉蓝豆:297
经验:8263
注册时间:2008-11-09
加关注  |  发消息
1 楼    发表于2011-11-01 06:44:52举报|引用
返回顶部 | 快捷回复

梭形细胞肿瘤

您的诊断

1、SFT

2、梭形细胞血管内皮瘤

3、神经源性肿瘤如神经鞘瘤,神经纤维瘤

4、纤维组织细胞瘤

5、平滑肌瘤

1

wzkxn
回复
signature
成功不是得到多少东西,而是把身上多余的东西的扔掉多少。   

风和日丽 离线

帖子:361
粉蓝豆:22
经验:1312
注册时间:2008-12-11
加关注  |  发消息
2 楼    发表于2011-11-01 07:54:15举报|引用
返回顶部 | 快捷回复

性别?年龄?PEComa?

0
回复

qingxincao 离线

帖子:484
粉蓝豆:59
经验:5282
注册时间:2009-09-14
加关注  |  发消息
3 楼    发表于2011-11-01 09:32:36举报|引用
返回顶部 | 快捷回复

血管多,血管瘤。

0
回复

栀子花Da 离线

帖子:176
粉蓝豆:1
经验:413
注册时间:2009-07-21
加关注  |  发消息
4 楼    发表于2011-11-01 10:14:35举报|引用
返回顶部 | 快捷回复

1、SFT

2、梭形细胞血管内皮瘤

0
回复

hunter120 离线

帖子:150
粉蓝豆:487
经验:530
注册时间:2008-03-14
加关注  |  发消息
5 楼    发表于2011-11-01 21:24:32举报|引用
返回顶部 | 快捷回复

1、纤维瘤

2、纤维组织细胞瘤

3、梭形细胞血管内皮瘤

4、血管外皮瘤/SFT

0
回复
signature
生活就是在演绎一个不知道结局的真实过程。

xiangjiangli 离线

帖子:370
粉蓝豆:1316
经验:804
注册时间:2011-10-21
加关注  |  发消息
6 楼    发表于2011-11-01 21:56:33举报|引用
返回顶部 | 快捷回复

肌纤维瘤

0
回复
signature
相信笨鸟先飞

太阳公公 离线

帖子:13
粉蓝豆:2
经验:18
注册时间:2011-08-28
加关注  |  发消息
7 楼    发表于2011-11-01 22:03:23举报|引用
返回顶部 | 快捷回复

梭形细胞软组织肿瘤 , 神经鞘瘤首先考虑

2

200406

DeBoQ..
回复

清水波心 离线

帖子:435
粉蓝豆:12
经验:561
注册时间:2011-02-16
加关注  |  发消息
8 楼    发表于2011-11-01 22:03:50举报|引用
返回顶部 | 快捷回复

倾向于梭形细胞血管内皮瘤

1

molly011
回复

fawn28 离线

帖子:159
粉蓝豆:2
经验:554
注册时间:2008-06-06
加关注  |  发消息
9 楼    发表于2011-11-01 22:28:50举报|引用
返回顶部 | 快捷回复

考虑梭形细胞血管内皮瘤,SFT也不能排除,期待最终诊断。

0
回复
signature
希望当好一名合格病理医生和病理老师

羽珩 离线

帖子:797
粉蓝豆:25
经验:1208
注册时间:2010-11-24
加关注  |  发消息
10 楼    发表于2011-11-01 23:08:21举报|引用
返回顶部 | 快捷回复

感觉首先是孤纤和神经纤维瘤(图3很像,但是有包膜,神经鞘需要考虑)鉴别。

梭形细胞血管内皮瘤大小不太符合,其大多发生在四肢,临床大体多为紫红色小结节。主要由海绵状血管瘤和梭形细胞区域组成。1.看不到海绵状的血管瘤区域;2.在梭形细胞区域我们看不到部分呈上皮样的血管内皮细胞,3.的确在间质内可见空泡(似原始管腔),但是不见红细胞。可以作为鉴别诊断,但是不首先考虑。

2

hengrui1..

wzkxn
回复
signature

炎相羽珹

fxwmeic 离线

帖子:3
粉蓝豆:1
经验:9
注册时间:2011-10-28
加关注  |  发消息
11 楼    发表于2011-11-02 21:00:36举报|引用
返回顶部 | 快捷回复

貌似神经鞘瘤

0
回复
signature
我选择,我努力!

新小兵 离线

帖子:460
粉蓝豆:42
经验:2177
注册时间:2010-12-30
加关注  |  发消息
12 楼    发表于2011-11-02 21:15:19举报|引用
返回顶部 | 快捷回复

神经鞘瘤

0
回复

西江月 离线

帖子:151
粉蓝豆:10
经验:259
注册时间:2008-09-18
加关注  |  发消息
13 楼    发表于2011-11-02 21:28:18举报|引用
返回顶部 | 快捷回复

神经来源的肿瘤,首先考虑神经鞘瘤。

0
回复

萨达姆VS卡扎菲 离线

帖子:2
粉蓝豆:1
经验:2
注册时间:2011-11-02
加关注  |  发消息
14 楼    发表于2011-11-02 21:49:32举报|引用
返回顶部 | 快捷回复

神经纤维瘤

3

Renghis

wfbjwt

微观世界..
回复

Renghis 离线

帖子:2530
粉蓝豆:92
经验:4081
注册时间:2007-12-13
加关注  |  发消息
15 楼    发表于2011-11-02 21:58:24举报|引用
返回顶部 | 快捷回复
本帖最后由 Renghis 于 2011-11-02 21:59:27 编辑
引用 14 楼 萨达姆VS卡扎菲 在 2011-11-02 21:49:32 的发言:

神经纤维瘤


同意 萨达姆VS卡扎菲 意见。

0
回复
signature
重归学生时代!

风铃 离线

帖子:96
粉蓝豆:3
经验:558
注册时间:2008-04-10
加关注  |  发消息
16 楼    发表于2011-11-02 22:16:37举报|引用
返回顶部 | 快捷回复

神经鞘瘤

0
回复

liu1003 离线

帖子:71
粉蓝豆:1
经验:96
注册时间:2008-05-16
加关注  |  发消息
17 楼    发表于2011-11-02 23:31:26举报|引用
返回顶部 | 快捷回复

神经鞘瘤(尤其是大体)

0
回复

chaohuj 离线

帖子:470
粉蓝豆:48
经验:604
注册时间:2008-07-03
加关注  |  发消息
18 楼    发表于2011-11-03 17:01:49举报|引用
返回顶部 | 快捷回复

神经纤维瘤

0
回复

kaolasu 离线

帖子:856
粉蓝豆:821
经验:954
注册时间:2007-01-18
加关注  |  发消息
19 楼    发表于2011-11-03 19:08:58举报|引用
返回顶部 | 快捷回复

神经纤维瘤

1

梅兰竹菊
回复

hunter120 离线

帖子:150
粉蓝豆:487
经验:530
注册时间:2008-03-14
加关注  |  发消息
20 楼    发表于2011-11-03 21:02:57举报|引用
返回顶部 | 快捷回复

梭形细胞血管内皮瘤.

0
回复
signature
生活就是在演绎一个不知道结局的真实过程。
回复:28 阅读:8052
共2页/28条首页上一页12下一页尾页
【免责声明】讨论内容仅作学术交流之用,不作为诊疗依据,由此而引起的法律问题作者及本站不承担任何责任。
快速回复
进入高级回复
您最多可输入10000个汉字,按 "Ctrl" + "Enter" 直接发送
搜索回复/乘电梯 ×
按内容
按会员
乘电梯
合作伙伴
友情链接