共1页/17条首页上一页1下一页尾页
回复:17 阅读:4282
B3785左乳头包块!

wolflovepig 离线

帖子:675
粉蓝豆:55
经验:9062
注册时间:2007-08-25
加关注  |  发消息
楼主 发表于 2011-10-28 09:25|举报|关注(1)
浏览排序[ 顺序 逆序 楼主 支持 精彩 ]  快捷回复

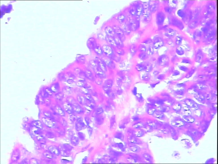
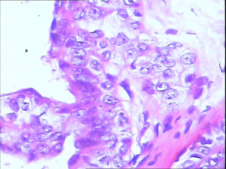
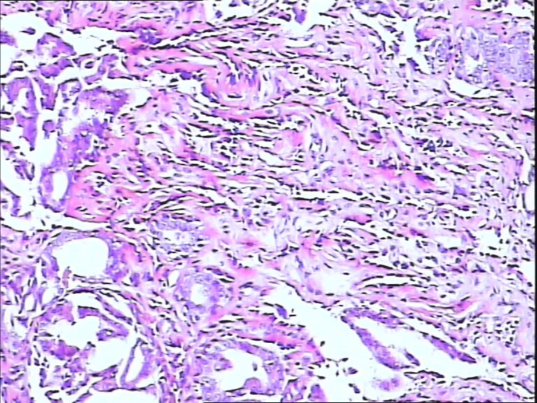
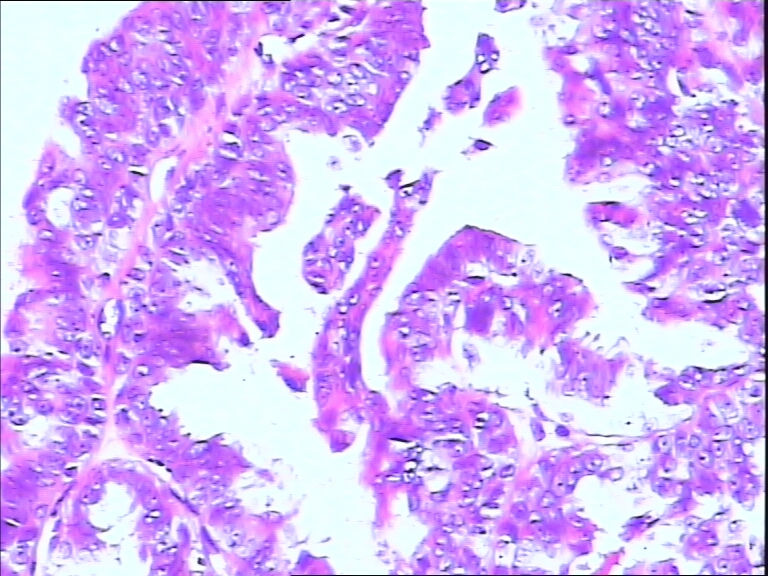
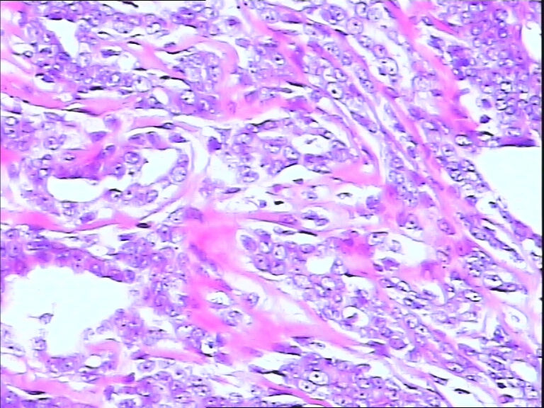
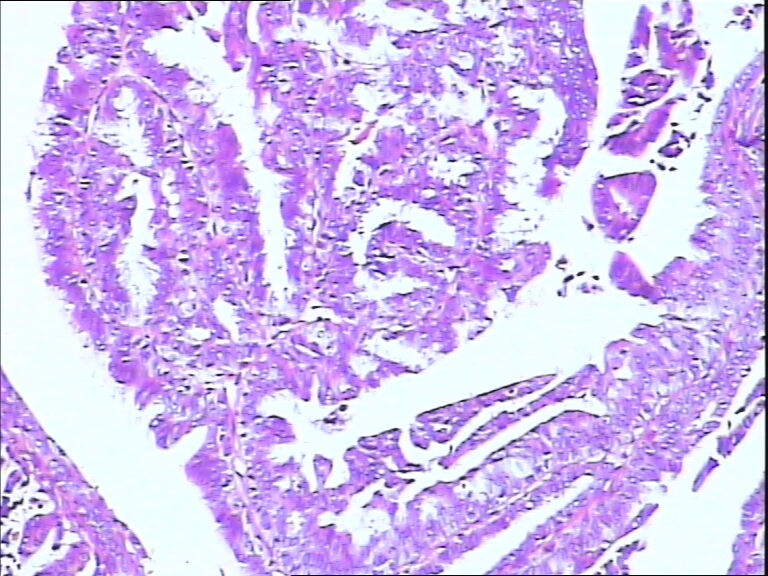
 42y 

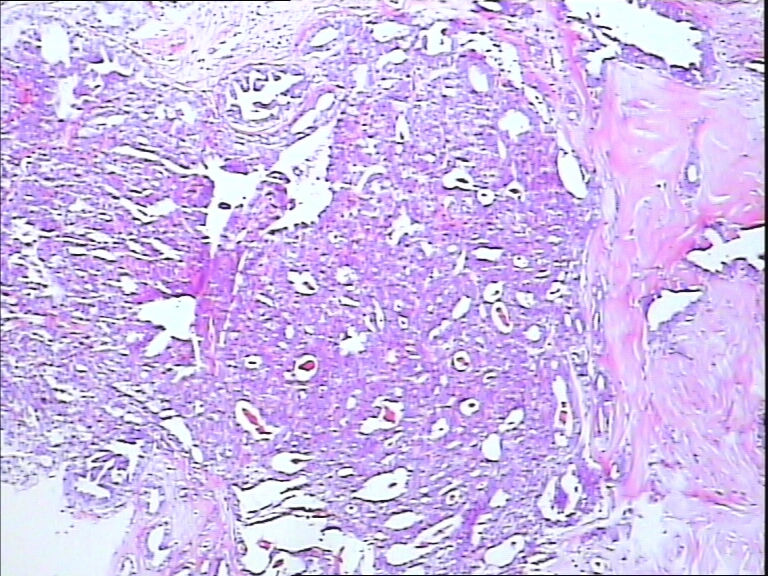
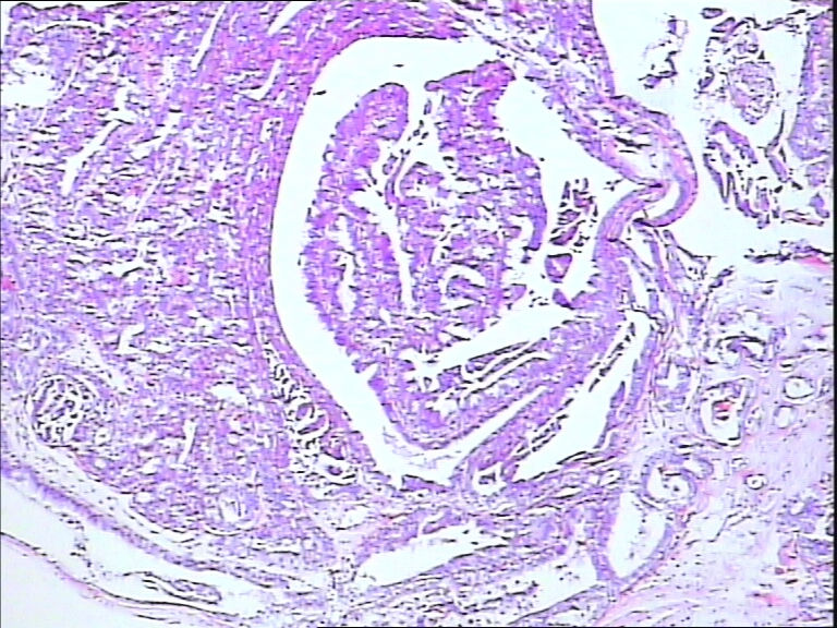
左乳头有3mm结节

灰白不整形组织一块:0.7*0.5*0.4

  • 左乳头包块!图1
    图1
  • 左乳头包块!图2
    图2
  • 左乳头包块!图3
    图3
  • 左乳头包块!图4
    图4
  • 左乳头包块!图5
    图5
  • 左乳头包块!图6
    图6
  • 左乳头包块!图7
    图7
  • 左乳头包块!图8
    图8
  • 左乳头包块!图9
    图9
  • 左乳头包块!图10
    图10
  • 左乳头包块!图11
    图11
  • 左乳头包块!图12
    图12
  • 左乳头包块!图13
    图13
  • 左乳头包块!图14
    图14
  • 左乳头包块!图15
    图15
  • 左乳头包块!图16
    图16
  • 左乳头包块!图17
    图17
  • 左乳头包块!图18
    图18
  • 左乳头包块!图19
    图19
  • 左乳头包块!图20
    图20
  • 左乳头包块!图21
    图21

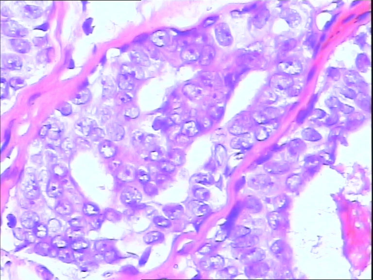
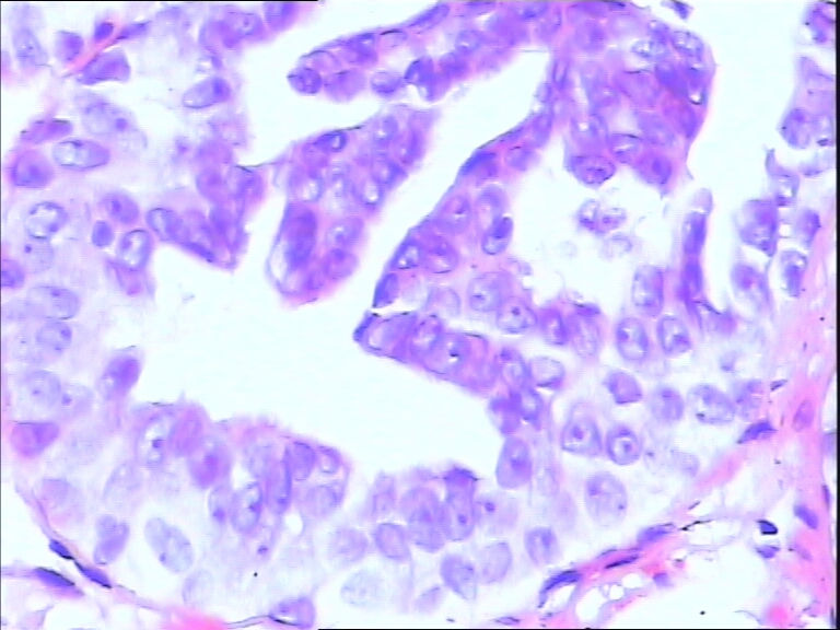
标签:导管内乳头状肿瘤
0
添加参考诊断
×参考诊断
  

zhangyajing 离线

帖子:500
粉蓝豆:4
经验:610
注册时间:2008-03-23
加关注  |  发消息
7 楼    发表于2011-10-29 19:32:17举报|引用
返回顶部 | 快捷回复

诊断导管内乳头状瘤.做免疫组化肌上皮标记,排除癌变

5

墨宝

亡羊补牢

小马

zhangyuy..

wzkxn
回复

lijunchuan 离线

帖子:151
粉蓝豆:52
经验:295
注册时间:2006-11-04
加关注  |  发消息
1 楼    发表于2011-10-28 09:34:33举报|引用
返回顶部 | 快捷回复

导管内乳头状瘤

5

红树林

blwld

墨宝

逍遥游

wzkxn
回复
signature
川流不息

ydsyblgm 离线

帖子:153
粉蓝豆:7
经验:154
注册时间:2011-10-02
加关注  |  发消息
8 楼    发表于2011-10-29 20:21:15举报|引用
返回顶部 | 快捷回复

导管内乳头状瘤,导管上皮不典型增生。

1

小马
回复

一了 离线

帖子:2138
粉蓝豆:64
经验:2288
注册时间:2009-03-31
加关注  |  发消息
6 楼    发表于2011-10-29 19:05:23举报|引用
返回顶部 | 快捷回复

导管内乳头状瘤

0
回复

kint123 离线

帖子:1620
粉蓝豆:240
经验:2095
注册时间:2009-01-31
加关注  |  发消息
14 楼    发表于2011-10-30 15:13:37举报|引用
返回顶部 | 快捷回复

好像这是发生在乳头处的吧?

乳头腺瘤(nipple duct adenoma)或称乳头的乳头状瘤

0
回复
signature
The More We See, The Less We Know!

dashan366 离线

帖子:69
粉蓝豆:10
经验:725
注册时间:2010-08-21
加关注  |  发消息
15 楼    发表于2011-10-30 16:14:29举报|引用
返回顶部 | 快捷回复

导管内乳头状瘤,局灶伴不典型增生。

0
回复
signature
王术元

tancuisong 离线

帖子:21
粉蓝豆:9
经验:475
注册时间:2009-08-19
加关注  |  发消息
16 楼    发表于2011-10-30 16:41:55举报|引用
返回顶部 | 快捷回复

乳头腺瘤

0
回复

anqingying 离线

帖子:191
粉蓝豆:34
经验:658
注册时间:2007-04-05
加关注  |  发消息
17 楼    发表于2011-10-31 23:16:28举报|引用
返回顶部 | 快捷回复

导管内乳头状肿瘤.做免疫组化肌上皮标记,排除癌变。

0
回复

ahhbhzlin 离线

帖子:3090
粉蓝豆:50
经验:11826
注册时间:2008-07-24
加关注  |  发消息
3 楼    发表于2011-10-28 23:01:38举报|引用
返回顶部 | 快捷回复

有异性,考虑导管内乳头状癌

0
回复

亡羊补牢 离线

帖子:1304
粉蓝豆:2
经验:2118
注册时间:2010-09-29
加关注  |  发消息
9 楼    发表于2011-10-29 20:54:49举报|引用
返回顶部 | 快捷回复
引用 8 楼 ydsyblgm 在 2011-10-29 20:21:15 的发言:

导管内乳头状瘤,导管上皮不典型增生。


0
回复
signature

一花一世界,一木一浮生

伊恋佳人 离线

帖子:1258
粉蓝豆:505
经验:1714
注册时间:2010-03-13
加关注  |  发消息
4 楼    发表于2011-10-28 23:44:50举报|引用
返回顶部 | 快捷回复

导管内乳头状瘤。

0
回复

伊恋佳人 离线

帖子:1258
粉蓝豆:505
经验:1714
注册时间:2010-03-13
加关注  |  发消息
5 楼    发表于2011-10-28 23:45:43举报|引用
返回顶部 | 快捷回复

导管内乳头状瘤

0
回复

ths35 离线

帖子:271
粉蓝豆:7088
经验:765
注册时间:2010-04-15
加关注  |  发消息
10 楼    发表于2011-10-29 21:27:35举报|引用
返回顶部 | 快捷回复

导管内乳头状瘤

 

0
回复

病理020 离线

帖子:1344
粉蓝豆:5610
经验:1814
注册时间:2011-10-02
加关注  |  发消息
2 楼    发表于2011-10-28 10:34:05举报|引用
返回顶部 | 快捷回复

导管内乳头状结构,细胞无异型性,诊断导管内乳头状瘤。

0
回复
signature
邓学田

linyguo 离线

帖子:2365
粉蓝豆:43
经验:2514
注册时间:2009-08-09
加关注  |  发消息
11 楼    发表于2011-10-30 08:57:38举报|引用
返回顶部 | 快捷回复

导管内乳头状瘤

0
回复

13083546412 离线

帖子:64
粉蓝豆:8
经验:164
注册时间:2009-08-27
加关注  |  发消息
12 楼    发表于2011-10-30 10:22:53举报|引用
返回顶部 | 快捷回复
引用 8 楼 ydsyblgm 在 2011-10-29 20:21:15 的发言:

导管内乳头状瘤,导管上皮不典型增生。


0
回复

新小兵 离线

帖子:460
粉蓝豆:42
经验:2177
注册时间:2010-12-30
加关注  |  发消息
13 楼    发表于2011-10-30 10:23:29举报|引用
返回顶部 | 快捷回复

导管内乳头状瘤

 

0
回复
回复:17 阅读:4282
共1页/17条首页上一页1下一页尾页
【免责声明】讨论内容仅作学术交流之用,不作为诊疗依据,由此而引起的法律问题作者及本站不承担任何责任。
快速回复
进入高级回复
您最多可输入10000个汉字,按 "Ctrl" + "Enter" 直接发送
搜索回复/乘电梯 ×
按内容
按会员
乘电梯
合作伙伴
友情链接