共1页/3条首页上一页1下一页尾页
回复:3 阅读:1651
宫内膜

futer456 离线

帖子:283
粉蓝豆:21
经验:632
注册时间:2007-10-18
加关注  |  发消息
楼主 发表于 2011-10-27 13:52|举报|关注(0)
浏览排序[ 顺序 逆序 楼主 支持 精彩 ]  快捷回复

 

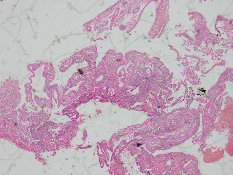
27结婚2年未避孕未怀孕停经4

 

  • 宫内膜图1
    图1
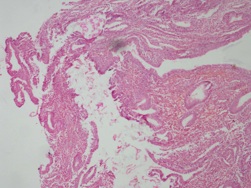
  • 宫内膜图2
    图2
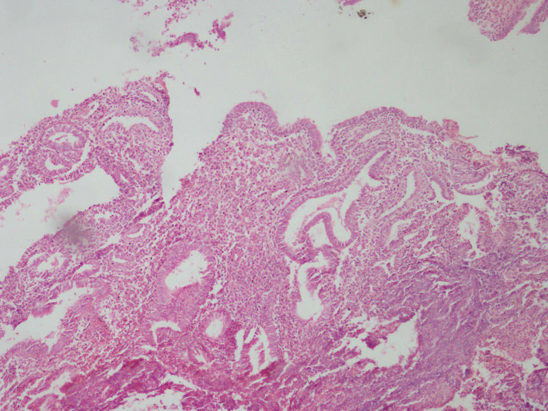
  • 宫内膜图3
    图3
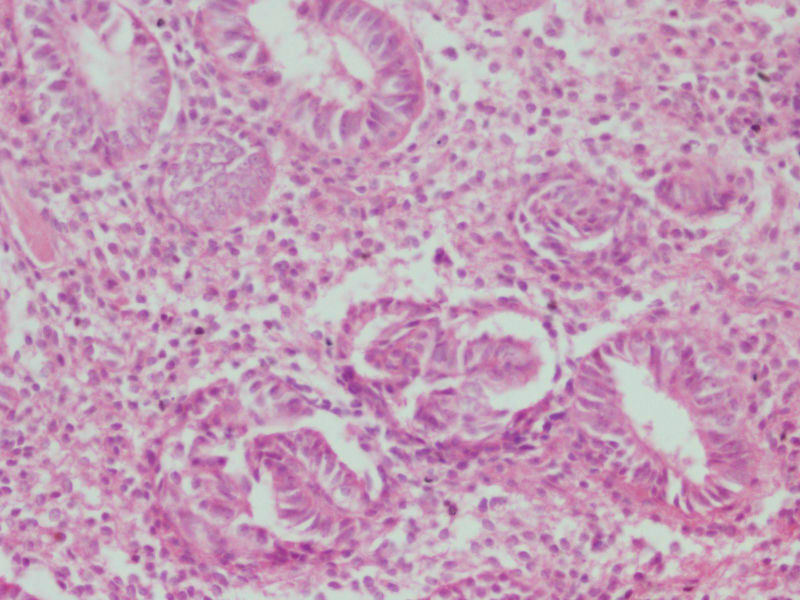
  • 宫内膜图4
    图4
  • 宫内膜图5
    图5
  • 宫内膜图6
    图6
  • 宫内膜图7
    图7
  • 宫内膜图8
    图8
  • 宫内膜图9
    图9

 

 
标签:
0
signature
永不放弃
添加参考诊断
×参考诊断
  

病理020 离线

帖子:1344
粉蓝豆:5625
经验:1814
注册时间:2011-10-02
加关注  |  发消息
1 楼    发表于2011-10-27 13:56:20举报|引用
返回顶部 | 快捷回复

染色偏红,感觉还是增值期子宫内膜。

0
回复
signature
邓学田

ydsyblgm 离线

帖子:153
粉蓝豆:7
经验:154
注册时间:2011-10-02
加关注  |  发消息
2 楼    发表于2011-10-27 20:35:45举报|引用
返回顶部 | 快捷回复

增殖期宫内膜慢性炎症

0
回复

liang123ab 离线

帖子:266
粉蓝豆:13
经验:353
注册时间:2010-05-14
加关注  |  发消息
3 楼    发表于2011-10-27 21:19:47举报|引用
返回顶部 | 快捷回复

 增生期子宫内膜

0
回复
回复:3 阅读:1651
共1页/3条首页上一页1下一页尾页
【免责声明】讨论内容仅作学术交流之用,不作为诊疗依据,由此而引起的法律问题作者及本站不承担任何责任。
快速回复
进入高级回复
您最多可输入10000个汉字,按 "Ctrl" + "Enter" 直接发送
搜索回复/乘电梯 ×
按内容
按会员
乘电梯
合作伙伴
友情链接