共1页/8条首页上一页1下一页尾页
回复:8 阅读:2038
宫内膜

futer456 离线

帖子:283
粉蓝豆:21
经验:632
注册时间:2007-10-18
加关注  |  发消息
楼主 发表于 2011-10-27 13:47|举报|关注(0)
浏览排序[ 顺序 逆序 楼主 支持 精彩 ]  快捷回复

 

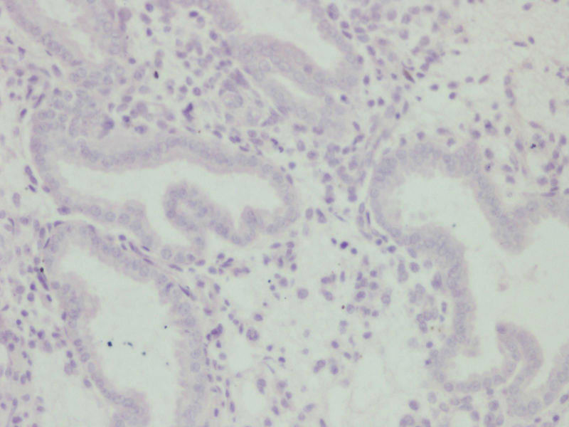
35反复腰腹胀痛伴白带异常1年加重3LMP109,送检日期1021

 
  • 宫内膜图1
    图1
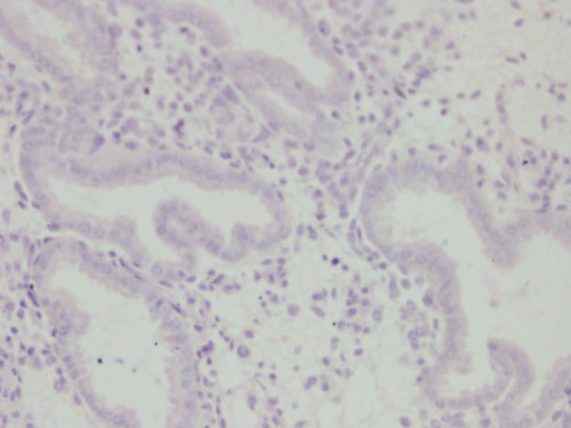
  • 宫内膜图2
    图2
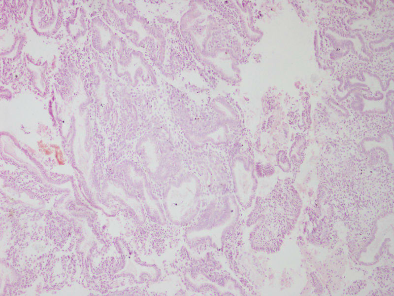
  • 宫内膜图3
    图3
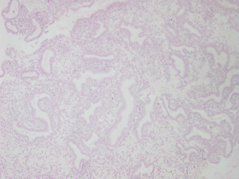
  • 宫内膜图4
    图4
  • 宫内膜图5
    图5
  • 宫内膜图6
    图6
  • 宫内膜图7
    图7
标签:
0
signature
永不放弃
添加参考诊断
×参考诊断
  

病理020 离线

帖子:1344
粉蓝豆:5610
经验:1814
注册时间:2011-10-02
加关注  |  发消息
1 楼    发表于2011-10-27 13:50:31举报|引用
返回顶部 | 快捷回复

子宫内膜不规则增生

0
回复
signature
邓学田

ydsyblgm 离线

帖子:153
粉蓝豆:7
经验:154
注册时间:2011-10-02
加关注  |  发消息
2 楼    发表于2011-10-27 20:33:22举报|引用
返回顶部 | 快捷回复

分泌期宫内膜

1

dbz19701..
回复

liang123ab 离线

帖子:266
粉蓝豆:13
经验:353
注册时间:2010-05-14
加关注  |  发消息
3 楼    发表于2011-10-27 21:23:46举报|引用
返回顶部 | 快捷回复

 分泌期改变子宫内膜

1

阿斌
回复

duhua 离线

帖子:1206
粉蓝豆:152
经验:1738
注册时间:2008-08-19
加关注  |  发消息
4 楼    发表于2011-10-27 21:31:13举报|引用
返回顶部 | 快捷回复

片子做得太差了,和我们科有一拼了。感觉宫内膜呈分泌期改变

0
回复

亡羊补牢 离线

帖子:1304
粉蓝豆:2
经验:2118
注册时间:2010-09-29
加关注  |  发消息
5 楼    发表于2011-10-27 22:45:04举报|引用
返回顶部 | 快捷回复

分泌期子宫内膜

0
回复
signature

一花一世界,一木一浮生

binghongcha 离线

帖子:311
粉蓝豆:452
经验:334
注册时间:2011-08-02
加关注  |  发消息
6 楼    发表于2011-10-27 23:01:03举报|引用
返回顶部 | 快捷回复

分泌期宫内膜,间质有慢性炎细胞浸润

0
回复

筱筱 离线

帖子:405
粉蓝豆:19
经验:736
注册时间:2009-04-24
加关注  |  发消息
7 楼    发表于2011-11-08 18:44:33举报|引用
返回顶部 | 快捷回复

分泌期子宫内膜

0
回复

li777dan777 离线

帖子:68
粉蓝豆:1
经验:156
注册时间:2011-10-30
加关注  |  发消息
8 楼    发表于2011-11-08 18:56:08举报|引用
返回顶部 | 快捷回复

分泌期子宫内膜像。

0
回复
回复:8 阅读:2038
共1页/8条首页上一页1下一页尾页
【免责声明】讨论内容仅作学术交流之用,不作为诊疗依据,由此而引起的法律问题作者及本站不承担任何责任。
快速回复
进入高级回复
您最多可输入10000个汉字,按 "Ctrl" + "Enter" 直接发送
搜索回复/乘电梯 ×
按内容
按会员
乘电梯
合作伙伴
友情链接