共1页/19条首页上一页1下一页尾页
回复:19 阅读:3891
前列腺,请教,急!

wolflovepig 离线

帖子:675
粉蓝豆:55
经验:9062
注册时间:2007-08-25
加关注  |  发消息
楼主 发表于 2011-10-25 09:20|举报|关注(2)
浏览排序[ 顺序 逆序 楼主 支持 精彩 ]  快捷回复
  • 前列腺,请教,急!图1
    图1
  • 前列腺,请教,急!图2
    图2
  • 前列腺,请教,急!图3
    图3
  • 前列腺,请教,急!图4
    图4
  • 前列腺,请教,急!图5
    图5
  • 前列腺,请教,急!图6
    图6
  • 前列腺,请教,急!图7
    图7
  • 前列腺,请教,急!图8
    图8
  • 前列腺,请教,急!图9
    图9
  • 前列腺,请教,急!图10
    图10

 

标签:前列腺够癌吗?
0
添加参考诊断
×参考诊断
  

病理020 离线

帖子:1344
粉蓝豆:5610
经验:1814
注册时间:2011-10-02
加关注  |  发消息
1 楼    发表于2011-10-25 09:39:34举报|引用
返回顶部 | 快捷回复

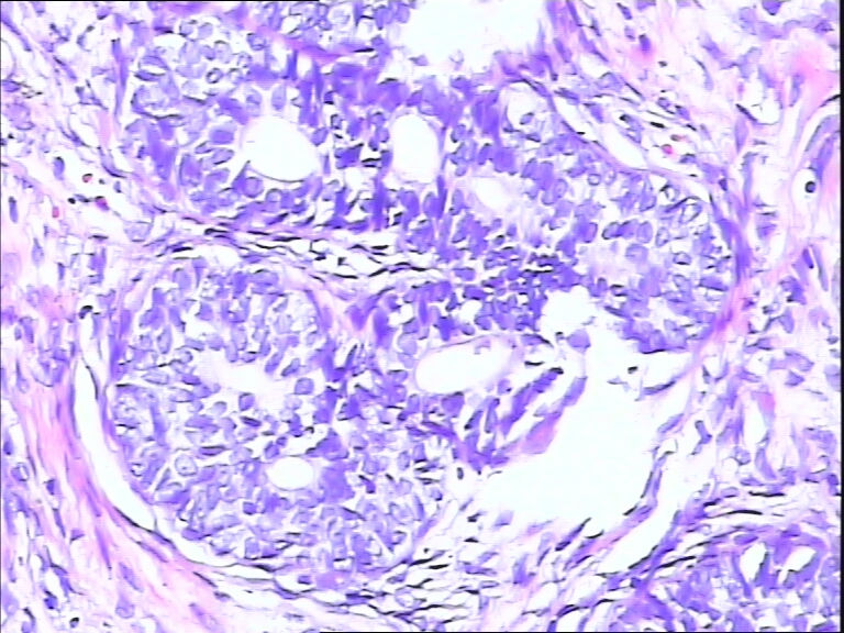
看不到核仁,PIN3。

0
回复
signature
邓学田

西江月 离线

帖子:151
粉蓝豆:10
经验:259
注册时间:2008-09-18
加关注  |  发消息
2 楼    发表于2011-10-25 12:21:16举报|引用
返回顶部 | 快捷回复

筛状结构,可见小核仁,做一下标记:P63、34βE12,如果阴性,则是前列腺腺癌。

0
回复

duhua 离线

帖子:1206
粉蓝豆:152
经验:1738
注册时间:2008-08-19
加关注  |  发消息
3 楼    发表于2011-10-25 12:41:12举报|引用
返回顶部 | 快捷回复

作P63、34βE12、P504S

0
回复

白桦林 离线

帖子:523
粉蓝豆:414
经验:1411
注册时间:2007-06-21
加关注  |  发消息
4 楼    发表于2011-10-25 16:01:32举报|引用
返回顶部 | 快捷回复

良性增生。

1

quhong
回复

zhenshijian 离线

帖子:1069
粉蓝豆:91
经验:1364
注册时间:2008-04-20
加关注  |  发消息
5 楼    发表于2011-10-25 18:56:11举报|引用
返回顶部 | 快捷回复
引用 2 楼 西江月 在 2011-10-25 12:21:16 的发言:

筛状结构,可见小核仁,做一下标记:P63、34βE12,如果阴性,则是前列腺腺癌。


1

贝贝
回复

小燕子 离线

帖子:26
粉蓝豆:1
经验:238
注册时间:2008-11-11
加关注  |  发消息
6 楼    发表于2011-10-25 19:09:13举报|引用
返回顶部 | 快捷回复

基底细胞增生

0
回复

lw671 离线

帖子:72
粉蓝豆:1
经验:494
注册时间:2008-10-16
加关注  |  发消息
7 楼    发表于2011-10-25 19:28:42举报|引用
返回顶部 | 快捷回复

结构复杂,核大但其染色欠佳,建意做免疫组化

0
回复
signature
李宗元

清水波心 离线

帖子:435
粉蓝豆:12
经验:561
注册时间:2011-02-16
加关注  |  发消息
8 楼    发表于2011-10-25 22:46:33举报|引用
返回顶部 | 快捷回复

感觉肌上皮细胞存在,良性增生?

1

xiangjia..
回复

lantian0508 离线

帖子:1250
粉蓝豆:42
经验:1495
注册时间:2007-08-01
加关注  |  发消息
9 楼    发表于2011-10-27 21:48:30举报|引用
返回顶部 | 快捷回复

考虑前列腺良性增生伴基底细胞增生,但细胞模糊,建议再切片染HE或IHC鉴别诊断。

1

kaixinhl..
回复

中山论剑 离线

帖子:102
粉蓝豆:0
经验:261
注册时间:2011-10-20
加关注  |  发消息
10 楼    发表于2011-10-27 22:38:08举报|引用
返回顶部 | 快捷回复

考虑HGPIN

0
回复

binghongcha 离线

帖子:311
粉蓝豆:452
经验:334
注册时间:2011-08-02
加关注  |  发消息
11 楼    发表于2011-10-27 22:48:46举报|引用
返回顶部 | 快捷回复

前列腺增生症,局部呈PIN改变,建议免疫组化进一步明确

0
回复

学浅 离线

帖子:2053
粉蓝豆:79
经验:3125
注册时间:2008-06-01
加关注  |  发消息
12 楼    发表于2011-10-28 16:18:16举报|引用
返回顶部 | 快捷回复

基底细胞增生?HPIN?前列腺癌?

只有做标记了才放心。P63, 34BE12,P504S

0
回复

nijs 离线

帖子:23
粉蓝豆:0
经验:471
注册时间:2009-07-19
加关注  |  发消息
13 楼    发表于2011-10-28 17:50:47举报|引用
返回顶部 | 快捷回复

前列腺腺样基底细胞肿瘤,可做:34βE12,CK5/6,P63,PSA,P504S标记进一步证实。

 

0
回复

一了 离线

帖子:2138
粉蓝豆:64
经验:2288
注册时间:2009-03-31
加关注  |  发消息
14 楼    发表于2011-10-29 19:20:23举报|引用
返回顶部 | 快捷回复

良性增生

1

quhong
回复

gaorl 离线

帖子:67
粉蓝豆:4266
经验:85
注册时间:2008-01-07
加关注  |  发消息
15 楼    发表于2011-11-09 23:01:43举报|引用
返回顶部 | 快捷回复

增生的都是基底细胞,可有核仁

1

quhong
回复

celiceli02 离线

帖子:15
粉蓝豆:1
经验:21
注册时间:2008-05-24
加关注  |  发消息
16 楼    发表于2011-12-30 21:41:50举报|引用
返回顶部 | 快捷回复

基底细胞增生

0
回复

huangchuansheng 离线

帖子:295
粉蓝豆:2674
经验:830
注册时间:2006-09-27
加关注  |  发消息
17 楼    发表于2011-12-30 22:55:41举报|引用
返回顶部 | 快捷回复
筛状结构,可见小核仁,初步考虑PIN3,建议做免疫组化,34βE12,CK5/6,P63,PSA,P504S标记进一步证实。
1

sjluwfmc
回复
signature
病理人

杨宝军 离线

帖子:1631
粉蓝豆:35
经验:1891
注册时间:2007-02-10
加关注  |  发消息
18 楼    发表于2011-12-30 23:50:08举报|引用
返回顶部 | 快捷回复

 片子切的不太好,有点厚,觉得恶性不能除外,不做免疫组化我是不敢发了

0
回复

未知陨石 离线

帖子:479
粉蓝豆:13
经验:559
注册时间:2010-09-11
加关注  |  发消息
19 楼    发表于2012-01-24 22:17:50举报|引用
返回顶部 | 快捷回复

 前列腺腺癌

0
回复
signature
回复:19 阅读:3891
共1页/19条首页上一页1下一页尾页
【免责声明】讨论内容仅作学术交流之用,不作为诊疗依据,由此而引起的法律问题作者及本站不承担任何责任。
快速回复
进入高级回复
您最多可输入10000个汉字,按 "Ctrl" + "Enter" 直接发送
搜索回复/乘电梯 ×
按内容
按会员
乘电梯
合作伙伴
友情链接