共1页/16条首页上一页1下一页尾页
回复:16 阅读:3270
50岁女性腹膜后肿物,肉瘤?

samool 离线

帖子:250
粉蓝豆:11
经验:389
注册时间:2006-11-29
加关注  |  发消息
楼主 发表于 2011-10-24 17:27|举报|关注(2)
浏览排序[ 顺序 逆序 楼主 支持 精彩 ]  快捷回复

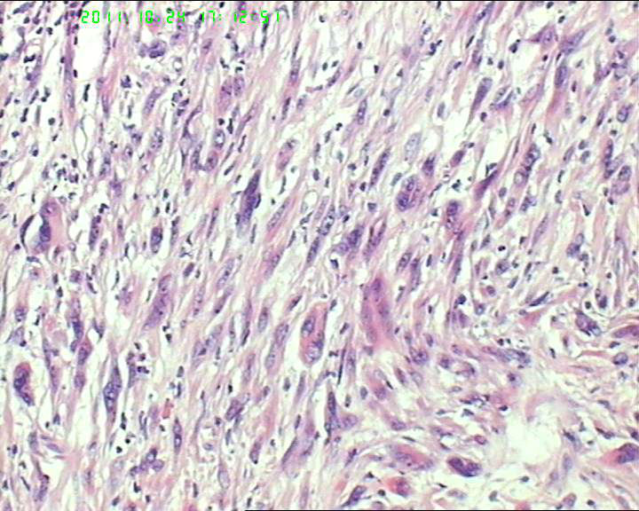
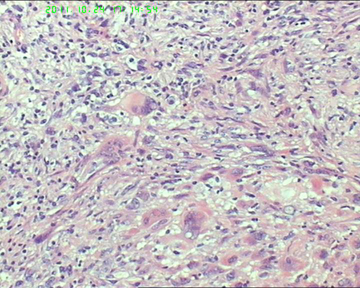
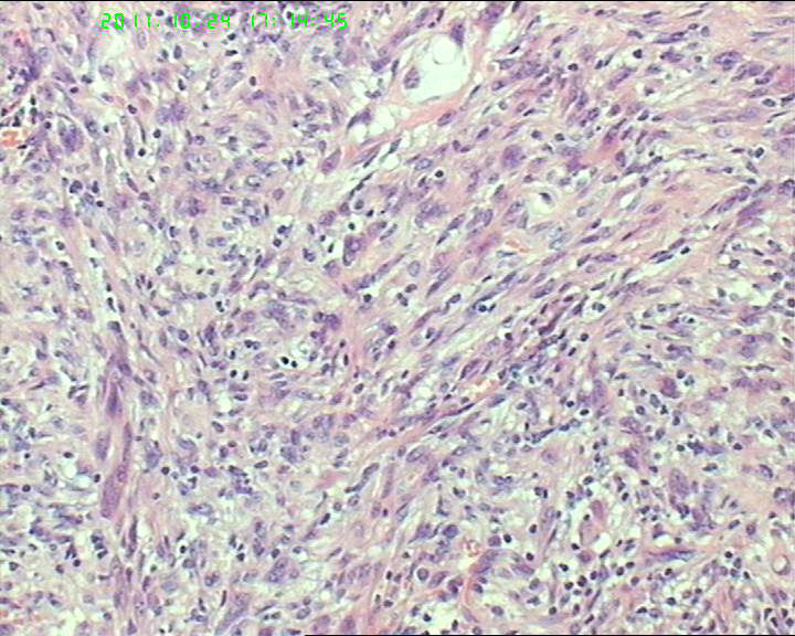
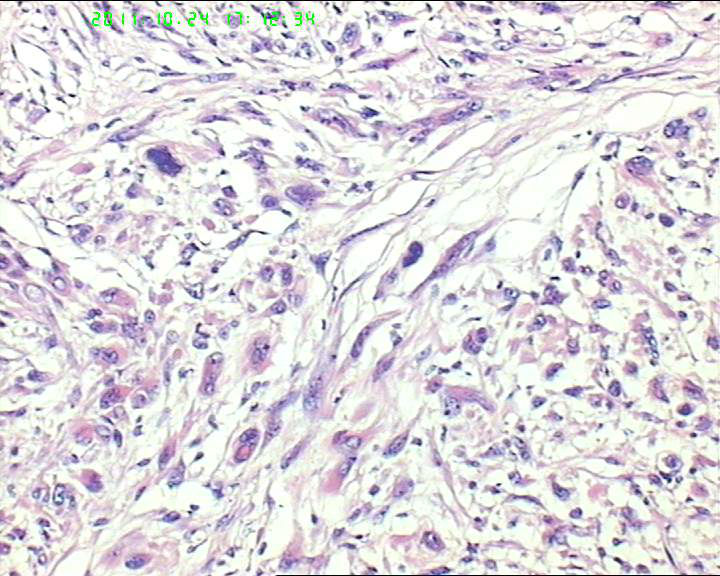
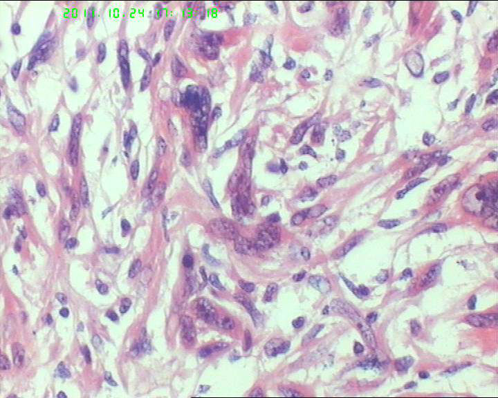
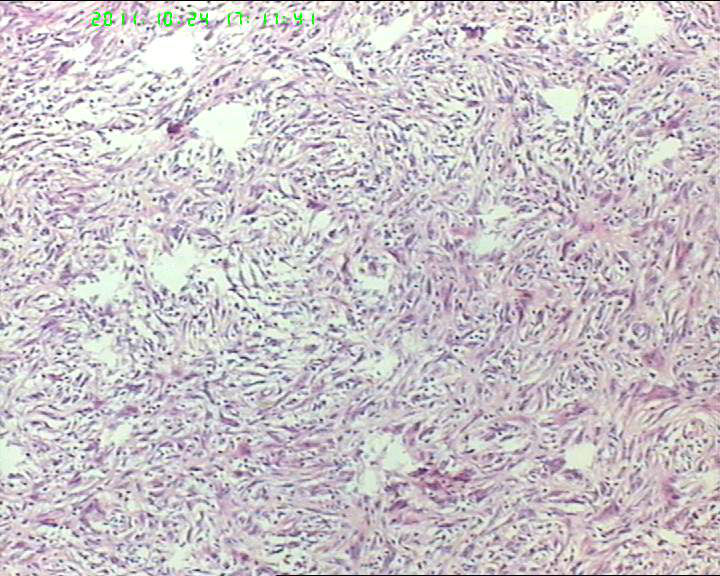
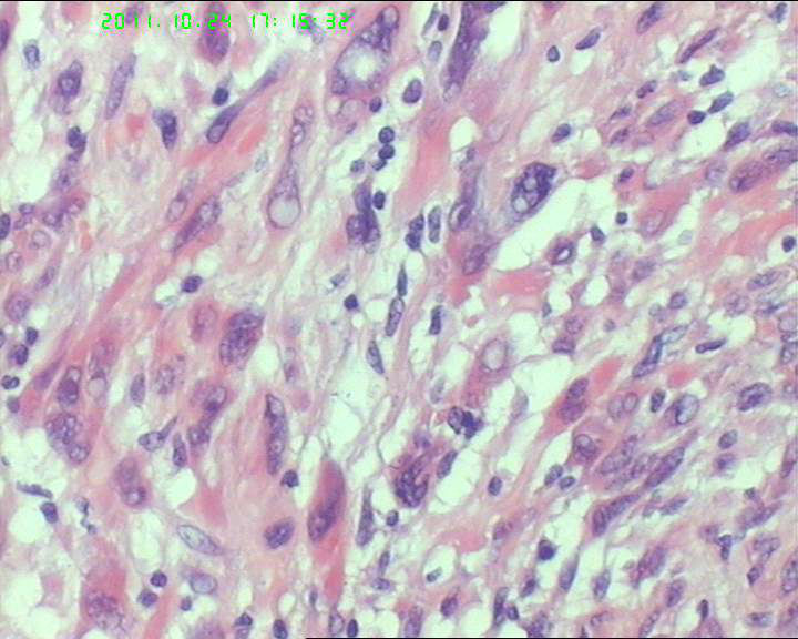
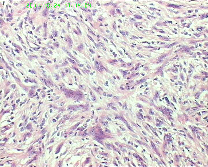
 灰红肿物一个,大小6.5*3.5*3cm。包膜完整,切面灰白实性质韧。

  • 50岁女性腹膜后肿物,肉瘤?图1
    图1
  • 50岁女性腹膜后肿物,肉瘤?图2
    图2
  • 50岁女性腹膜后肿物,肉瘤?图3
    图3
  • 50岁女性腹膜后肿物,肉瘤?图4
    图4
  • 50岁女性腹膜后肿物,肉瘤?图5
    图5
  • 50岁女性腹膜后肿物,肉瘤?图6
    图6
  • 50岁女性腹膜后肿物,肉瘤?图7
    图7
  • 50岁女性腹膜后肿物,肉瘤?图8
    图8
  • 50岁女性腹膜后肿物,肉瘤?图9
    图9
  • 50岁女性腹膜后肿物,肉瘤?图10
    图10
  • 50岁女性腹膜后肿物,肉瘤?图11
    图11
  • 50岁女性腹膜后肿物,肉瘤?图12
    图12
  • 50岁女性腹膜后肿物,肉瘤?图13
    图13
  • 50岁女性腹膜后肿物,肉瘤?图14
    图14
  • 50岁女性腹膜后肿物,肉瘤?图15
    图15
  • 50岁女性腹膜后肿物,肉瘤?图16
    图16
  • 50岁女性腹膜后肿物,肉瘤?图17
    图17
  • 50岁女性腹膜后肿物,肉瘤?图18
    图18
  • 50岁女性腹膜后肿物,肉瘤?图19
    图19
  • 50岁女性腹膜后肿物,肉瘤?图20
    图20
  • 50岁女性腹膜后肿物,肉瘤?图21
    图21
  • 50岁女性腹膜后肿物,肉瘤?图22
    图22
  • 50岁女性腹膜后肿物,肉瘤?图23
    图23
  • 50岁女性腹膜后肿物,肉瘤?图24
    图24
  • 50岁女性腹膜后肿物,肉瘤?图25
    图25
  • 50岁女性腹膜后肿物,肉瘤?图26
    图26
  • 50岁女性腹膜后肿物,肉瘤?图27
    图27
  • 50岁女性腹膜后肿物,肉瘤?图28
    图28
  • 50岁女性腹膜后肿物,肉瘤?图29
    图29
标签:
0
添加参考诊断
×参考诊断
  

未知陨石 离线

帖子:479
粉蓝豆:13
经验:559
注册时间:2010-09-11
加关注  |  发消息
16 楼    发表于2011-11-20 09:57:20举报|引用
返回顶部 | 快捷回复

 首先考虑间质瘤,里面有上皮样细胞,鉴别神经原性,软组织肿瘤

0
回复
signature

hu8afu 离线

帖子:1177
粉蓝豆:35
经验:1230
注册时间:2009-02-11
加关注  |  发消息
15 楼    发表于2011-11-17 19:56:27举报|引用
返回顶部 | 快捷回复

恶性纤维组织细胞瘤

0
回复

学习bingli 离线

帖子:194
粉蓝豆:1
经验:276
注册时间:2011-04-04
加关注  |  发消息
14 楼    发表于2011-11-04 23:17:47举报|引用
返回顶部 | 快捷回复

横纹肌肉瘤,平滑肌肉瘤

0
回复

新小兵 离线

帖子:460
粉蓝豆:42
经验:2177
注册时间:2010-12-30
加关注  |  发消息
13 楼    发表于2011-11-03 19:57:50举报|引用
返回顶部 | 快捷回复

梭形细胞肉瘤,胞浆红红的,未见明显横纹,首选平滑肌肉瘤,建议免疫

0
回复

duhua 离线

帖子:1206
粉蓝豆:152
经验:1738
注册时间:2008-08-19
加关注  |  发消息
12 楼    发表于2011-11-01 21:11:12举报|引用
返回顶部 | 快捷回复

倾向横向纹肌肉瘤,需要与恶性纤维组织细胞瘤、平滑肌肉瘤鉴别

0
回复

hunter120 离线

帖子:150
粉蓝豆:487
经验:530
注册时间:2008-03-14
加关注  |  发消息
11 楼    发表于2011-11-01 20:17:58举报|引用
返回顶部 | 快捷回复

梭形细胞,异型性明显,可见多核巨细胞,胞质红染,似有横纹肌样分化,部分细胞可见胞质粘液,有核内假包涵体,所给的图像分裂相很少,结合大体,考虑低度恶性肿瘤。

1 平滑肌肉瘤

2高分化脂肪肉瘤(是否有横纹肌分化,要看免疫组化标记)

3恶纤组

0
回复
signature
生活就是在演绎一个不知道结局的真实过程。

一了 离线

帖子:2138
粉蓝豆:64
经验:2288
注册时间:2009-03-31
加关注  |  发消息
10 楼    发表于2011-11-01 19:58:45举报|引用
返回顶部 | 快捷回复

多形性横纹肌肉瘤

0
回复

安迪 离线

帖子:598
粉蓝豆:3525
经验:849
注册时间:2011-03-04
加关注  |  发消息
9 楼    发表于2011-10-31 19:36:43举报|引用
返回顶部 | 快捷回复

要考虑,恶性外周神经鞘瘤,恶性胃肠道间质瘤

0
回复

cmulin 离线

帖子:84
粉蓝豆:442
经验:115
注册时间:2010-10-14
加关注  |  发消息
8 楼    发表于2011-10-28 11:06:40举报|引用
返回顶部 | 快捷回复
引用 6 楼 病理020 在 2011-10-25 14:16:59 的发言:

仔细阅读图片,主要考虑低-中度恶性孤立性纤维性肿瘤。

请教一下,孤立性纤维肿瘤,是怎么确定低度-中度恶性的呢?

0
回复
signature
反反复复

楚江渔夫 离线

帖子:132
粉蓝豆:3
经验:271
注册时间:2008-10-25
加关注  |  发消息
7 楼    发表于2011-10-25 14:18:28举报|引用
返回顶部 | 快捷回复

未分化肉瘤/MFH

0
回复

病理020 离线

帖子:1344
粉蓝豆:5580
经验:1814
注册时间:2011-10-02
加关注  |  发消息
6 楼    发表于2011-10-25 14:16:59举报|引用
返回顶部 | 快捷回复

仔细阅读图片,主要考虑低-中度恶性孤立性纤维性肿瘤。

0
回复
signature
邓学田

病理020 离线

帖子:1344
粉蓝豆:5580
经验:1814
注册时间:2011-10-02
加关注  |  发消息
5 楼    发表于2011-10-25 14:06:49举报|引用
返回顶部 | 快捷回复

横纹肌肉瘤

0
回复
signature
邓学田

风和日丽 离线

帖子:361
粉蓝豆:22
经验:1312
注册时间:2008-12-11
加关注  |  发消息
4 楼    发表于2011-10-25 13:42:44举报|引用
返回顶部 | 快捷回复
本帖最后由 风和日丽 于 2011-10-25 13:46:07 编辑

另外考虑去分化脂肉(是否充分取材?)、蝾螈瘤,蝾螈瘤首选。

1

sjluwfmc
回复

蝴蝶兰dali2003 离线

帖子:12459
粉蓝豆:2448
经验:13028
注册时间:2009-09-06
加关注  |  发消息
3 楼    发表于2011-10-24 22:11:49举报|引用
返回顶部 | 快捷回复

梭形细胞肉瘤,倾向横向纹肌肉瘤,有些区域有席纹状结构,还需与恶纤组鉴别。

0
回复
signature
相逢是首歌,同行是你和我。

linyguo 离线

帖子:2365
粉蓝豆:43
经验:2514
注册时间:2009-08-09
加关注  |  发消息
2 楼    发表于2011-10-24 18:17:43举报|引用
返回顶部 | 快捷回复

梭形细胞肉瘤:横纹肌肉瘤,平滑肌肉瘤,恶性间质瘤。倾向前者

0
回复

zhanglei 离线

帖子:3751
粉蓝豆:2077
经验:3901
注册时间:2006-09-26
加关注  |  发消息
1 楼    发表于2011-10-24 18:12:11举报|引用
返回顶部 | 快捷回复

梭形细胞肉瘤:MPNST?肌源性?GIST?MFH?标记鉴别。

0
回复
回复:16 阅读:3270
共1页/16条首页上一页1下一页尾页
【免责声明】讨论内容仅作学术交流之用,不作为诊疗依据,由此而引起的法律问题作者及本站不承担任何责任。
快速回复
进入高级回复
您最多可输入10000个汉字,按 "Ctrl" + "Enter" 直接发送
搜索回复/乘电梯 ×
按内容
按会员
乘电梯
合作伙伴
友情链接