共1页/7条首页上一页1下一页尾页
回复:7 阅读:2978
支气管镜毛刷

陈奕君 离线

帖子:124
粉蓝豆:39
经验:364
注册时间:2009-11-10
加关注  |  发消息
楼主 发表于 2011-10-22 19:04|举报|关注(0)
浏览排序[ 顺序 逆序 楼主 支持 精彩 ]  快捷回复

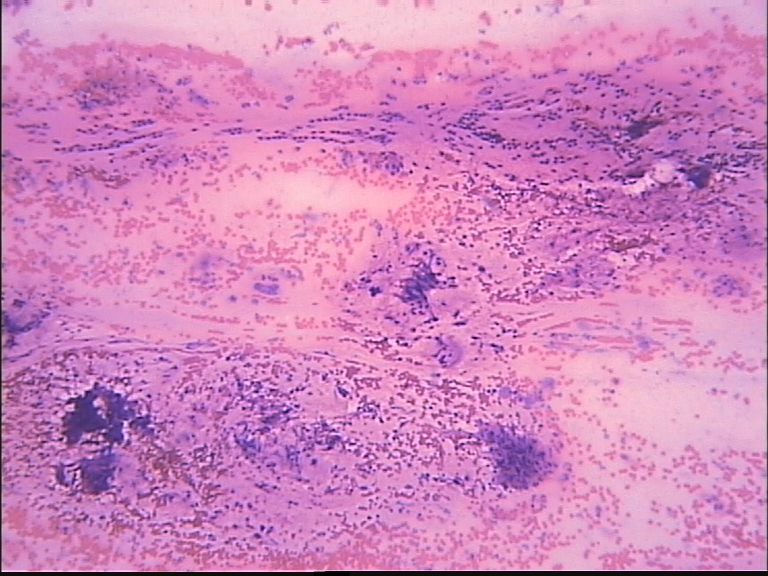
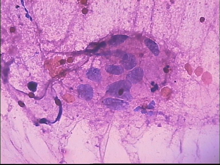
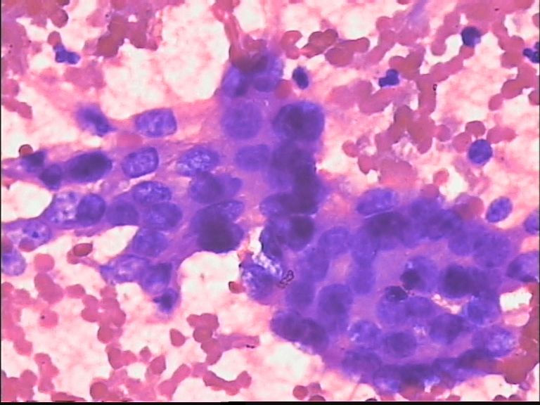
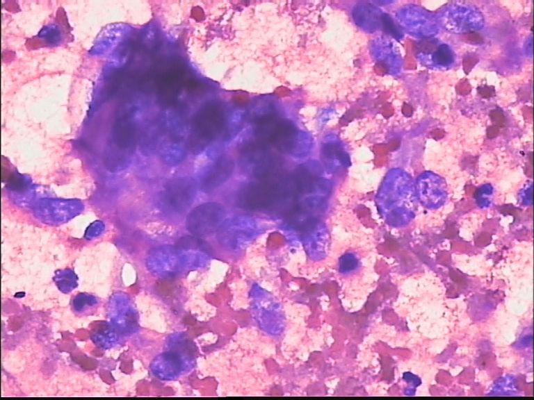
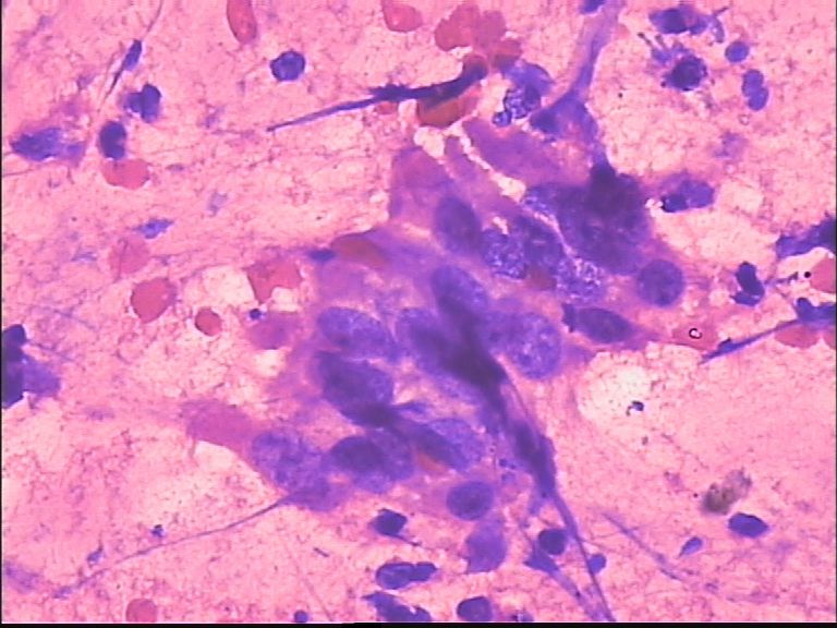
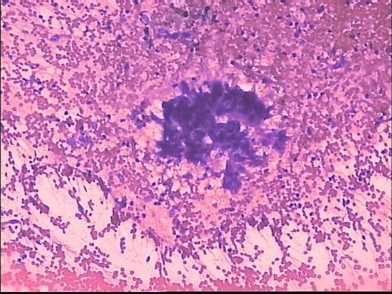
 男 70岁,ct肺部见一肿块:结核?肺癌?

  • 支气管镜毛刷图1
    图1
  • 支气管镜毛刷图2
    图2
  • 支气管镜毛刷图3
    图3
  • 支气管镜毛刷图4
    图4
  • 支气管镜毛刷图5
    图5
  • 支气管镜毛刷图6
    图6
  • 支气管镜毛刷图7
    图7
  • 支气管镜毛刷图8
    图8
  • 支气管镜毛刷图9
    图9
  • 支气管镜毛刷图10
    图10
  • 支气管镜毛刷图11
    图11
  • 支气管镜毛刷图12
    图12
  • 支气管镜毛刷图13
    图13
  • 支气管镜毛刷图14
    图14
  • 支气管镜毛刷图15
    图15
  • 支气管镜毛刷图16
    图16
  • 支气管镜毛刷图17
    图17
  • 支气管镜毛刷图18
    图18
  • 支气管镜毛刷图19
    图19
标签:
0
添加参考诊断
×参考诊断
  

jani 离线

帖子:1707
粉蓝豆:46
经验:1808
注册时间:2009-03-21
加关注  |  发消息
1 楼    发表于2011-10-22 21:50:36举报|引用
返回顶部 | 快捷回复

未发现明显恶性细胞  好像有多核巨细胞 ?认为 本例要进一步检查除外结核 

0
回复
signature
只有做你不会做的事 才能做会所有的事

zjyfly120 离线

帖子:365
粉蓝豆:20
经验:474
注册时间:2011-05-25
加关注  |  发消息
2 楼    发表于2011-10-23 13:11:16举报|引用
返回顶部 | 快捷回复

恶性不能除外

0
回复

liguoxia71 离线

帖子:4174
粉蓝豆:3122
经验:4677
注册时间:2007-04-01
加关注  |  发消息
3 楼    发表于2011-10-23 14:30:53举报|引用
返回顶部 | 快捷回复

考虑癌。

 

0
回复
signature
三人行,必有我师焉,择其善者而从之,其不善者而改之。

掌心0164 离线

帖子:2403
粉蓝豆:504
经验:2925
注册时间:2009-03-21
加关注  |  发消息
4 楼    发表于2011-10-23 19:46:59举报|引用
返回顶部 | 快捷回复

这个病例有些深染染色质粗异型的核,后边几幅图似乎是退变的多核巨细胞;结核或恶性都不能除外;一般遇到这样的病例我会选择报:见少许深染异型细胞及多核巨细胞;建议穿刺组织活检以进一步排除结核或恶性之可能。

1

jani
回复
signature
掌心0164

陈奕君 离线

帖子:124
粉蓝豆:39
经验:364
注册时间:2009-11-10
加关注  |  发消息
5 楼    发表于2011-10-23 21:41:25举报|引用
返回顶部 | 快捷回复
支气管镜活检看到的是粘膜慢性炎伴多核巨细胞反应。
0
回复

gwls0008 离线

帖子:1365
粉蓝豆:5
经验:1465
注册时间:2008-08-24
加关注  |  发消息
6 楼    发表于2011-10-24 20:16:57举报|引用
返回顶部 | 快捷回复

我个人看法是:涂片内未见癌细胞。请注意,一些核略大深染的核都有终板,应该是反应性的支气管粘膜上皮细胞。

0
回复

xb3263 离线

帖子:510
粉蓝豆:3
经验:605
注册时间:2009-01-05
加关注  |  发消息
7 楼    发表于2011-10-25 10:48:46举报|引用
返回顶部 | 快捷回复

未见恶性细胞。

0
回复
回复:7 阅读:2978
共1页/7条首页上一页1下一页尾页
【免责声明】讨论内容仅作学术交流之用,不作为诊疗依据,由此而引起的法律问题作者及本站不承担任何责任。
快速回复
进入高级回复
您最多可输入10000个汉字,按 "Ctrl" + "Enter" 直接发送
搜索回复/乘电梯 ×
按内容
按会员
乘电梯
合作伙伴
友情链接