共1页/3条首页上一页1下一页尾页
回复:3 阅读:1990
切缘冰冻

陈奕君 离线

帖子:124
粉蓝豆:39
经验:364
注册时间:2009-11-10
加关注  |  发消息
楼主 发表于 2011-10-21 19:17|举报|关注(0)
浏览排序[ 顺序 逆序 楼主 支持 精彩 ]  快捷回复
  • 切缘冰冻图1
    图1
  • 切缘冰冻图2
    图2
  • 切缘冰冻图3
    图3
  • 切缘冰冻图4
    图4
  • 切缘冰冻图5
    图5
  • 切缘冰冻图6
    图6
  • 切缘冰冻图7
    图7
  • 切缘冰冻图8
    图8
  • 切缘冰冻图9
    图9
  • 切缘冰冻图10
    图10
  • 切缘冰冻图11
    图11
  • 切缘冰冻图12
    图12

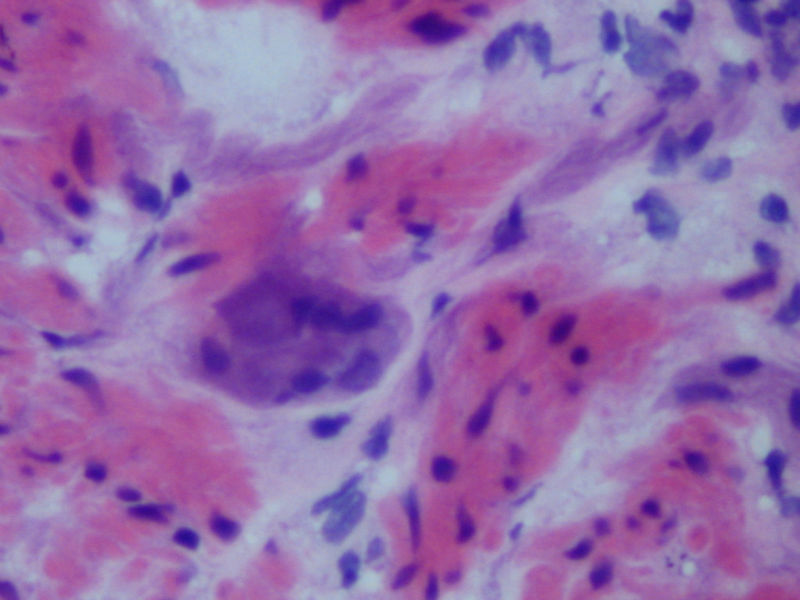
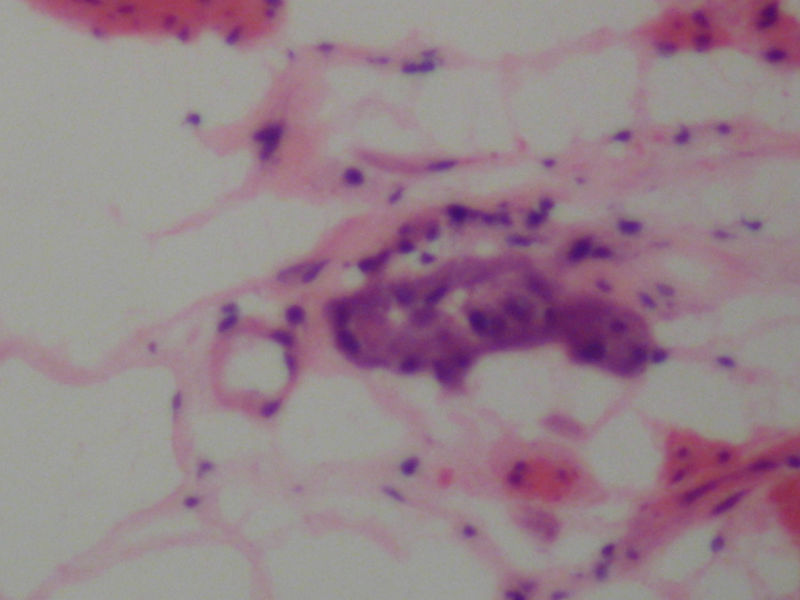
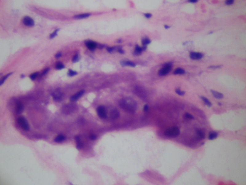
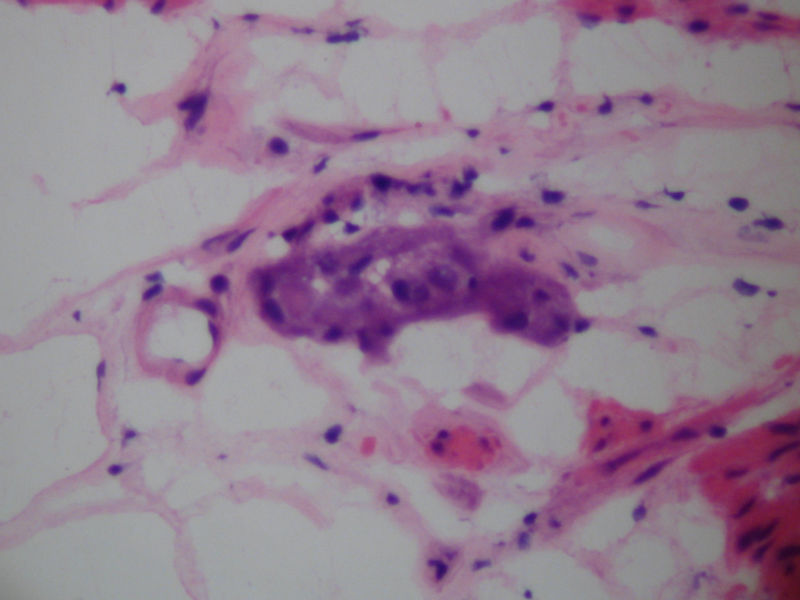
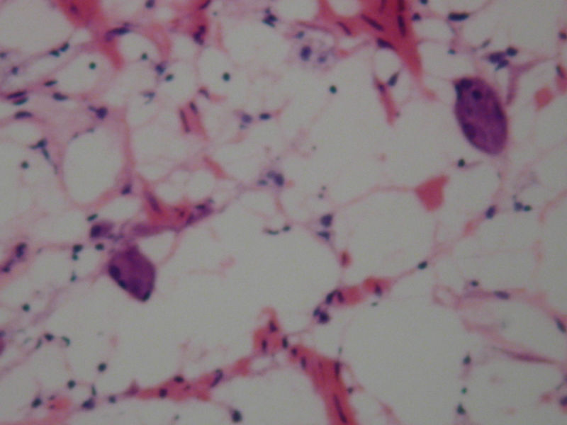
 直肠中分化腺癌。送检下切缘做冰冻,请教片子里面这些小团细胞是什么细胞?

标签:
0
添加参考诊断
×参考诊断
  

binghongcha 离线

帖子:311
粉蓝豆:452
经验:334
注册时间:2011-08-02
加关注  |  发消息
1 楼    发表于2011-10-21 19:46:37举报|引用
返回顶部 | 快捷回复

前面几张象肌间神经丛内节细胞,后面的看不清

0
回复

薄冰之旅 离线

帖子:1566
粉蓝豆:2098
经验:3456
注册时间:2006-11-05
加关注  |  发消息
2 楼    发表于2011-10-21 19:50:22举报|引用
返回顶部 | 快捷回复

像神经节细胞,不是癌细胞。

0
回复

宁静志远 离线

帖子:593
粉蓝豆:6307
经验:2699
注册时间:2009-12-30
加关注  |  发消息
3 楼    发表于2011-10-21 20:44:32举报|引用
返回顶部 | 快捷回复

考虑神经节细胞

0
回复
回复:3 阅读:1990
共1页/3条首页上一页1下一页尾页
【免责声明】讨论内容仅作学术交流之用,不作为诊疗依据,由此而引起的法律问题作者及本站不承担任何责任。
快速回复
进入高级回复
您最多可输入10000个汉字,按 "Ctrl" + "Enter" 直接发送
搜索回复/乘电梯 ×
按内容
按会员
乘电梯
合作伙伴
友情链接