共1页/9条首页上一页1下一页尾页
回复:9 阅读:3801
B3774乳腺积乳性包块?

kdyd 离线

帖子:175
粉蓝豆:1423
经验:411
注册时间:2009-09-26
加关注  |  发消息
楼主 发表于 2011-10-19 19:42|举报|关注(0)
浏览排序[ 顺序 逆序 楼主 支持 精彩 ]  快捷回复

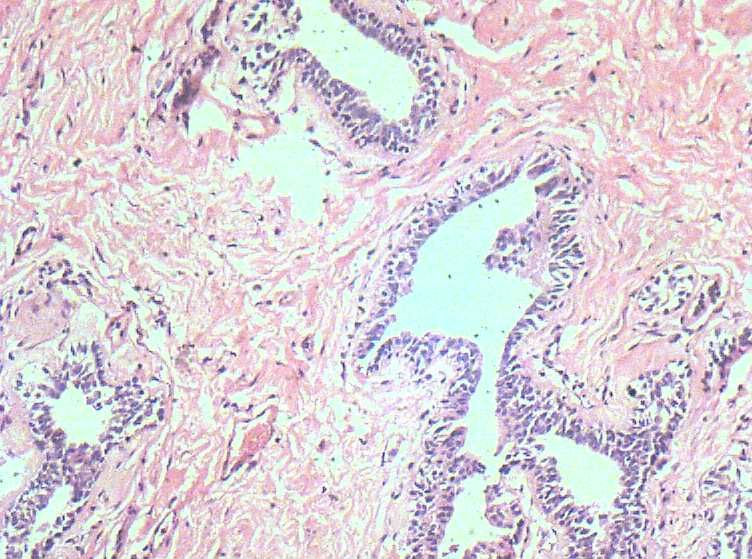
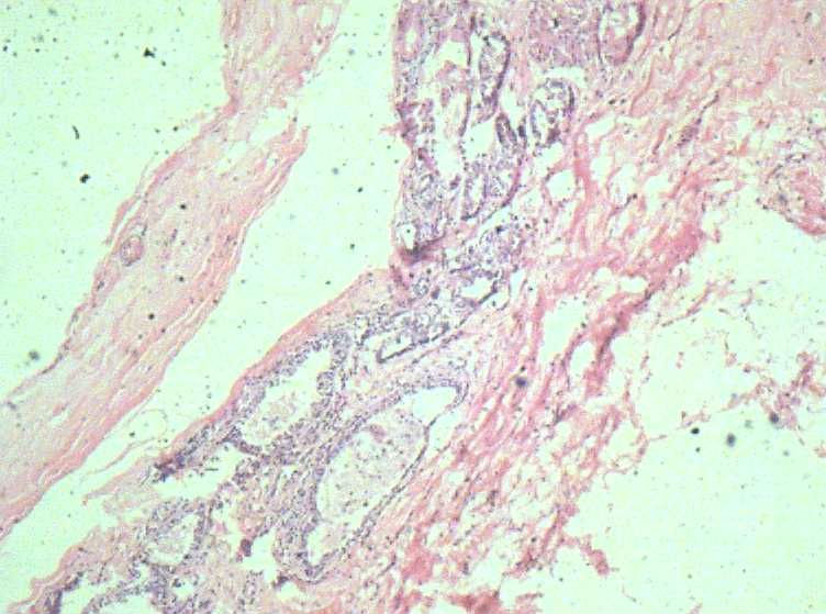
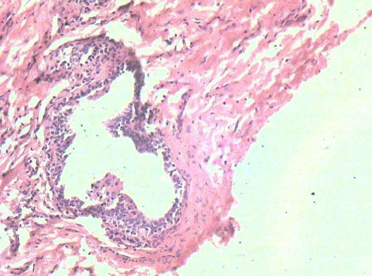
 女41岁,左腺包块。肉眼:不整形囊壁样组织,大小2*1.6*0.3CM,壁厚0.1—0.3,未触及结节,未见出血及坏死。

  • 乳腺积乳性包块?图1
    图1
  • 乳腺积乳性包块?图2
    图2
  • 乳腺积乳性包块?图3
    图3
  • 乳腺积乳性包块?图4
    图4
  • 乳腺积乳性包块?图5
    图5
  • 乳腺积乳性包块?图6
    图6
  • 乳腺积乳性包块?图7
    图7
  • 乳腺积乳性包块?图8
    图8
  • 乳腺积乳性包块?图9
    图9
  • 乳腺积乳性包块?图10
    图10
  • 乳腺积乳性包块?图11
    图11
  • 乳腺积乳性包块?图12
    图12
  • 乳腺积乳性包块?图13
    图13
  • 乳腺积乳性包块?图14
    图14
  • 乳腺积乳性包块?图15
    图15
  • 乳腺积乳性包块?图16
    图16
  • 乳腺积乳性包块?图17
    图17
  • 乳腺积乳性包块?图18
    图18
  • 乳腺积乳性包块?图19
    图19
  • 乳腺积乳性包块?图20
    图20
  • 乳腺积乳性包块?图21
    图21
标签:乳腺纤维囊性增生症
0
添加参考诊断
×参考诊断
  

笃行者 离线

帖子:2689
粉蓝豆:59
经验:3020
注册时间:2006-10-04
加关注  |  发消息
1 楼    发表于2011-10-24 18:40:50举报|引用
返回顶部 | 快捷回复

似乎有导管扩张、慢性炎细胞浸润、大汗腺化生、普通型导管增生等病变,没有看到囊壁内衬上皮或囊壁结构。

1

风和日丽
回复
signature
博学之,审问之,慎思之,明辨之,笃行之。

kdyd 离线

帖子:175
粉蓝豆:1423
经验:411
注册时间:2009-09-26
加关注  |  发消息
2 楼    发表于2011-10-24 19:26:24举报|引用
返回顶部 | 快捷回复

 这例报了 慢性囊性乳腺病。不知可否?

0
回复

cqzhao 离线

帖子:5518
粉蓝豆:1071
经验:5755
注册时间:2008-09-29
加关注  |  发消息
3 楼    发表于2011-10-26 02:48:32举报|引用
返回顶部 | 快捷回复
引用 1 楼 笃行者 在 2011-10-24 18:40:50 的发言:

似乎有导管扩张、慢性炎细胞浸润、大汗腺化生、普通型导管增生等病变,没有看到囊壁内衬上皮或囊壁结构。


1

chord980..
回复

kdyd 离线

帖子:175
粉蓝豆:1423
经验:411
注册时间:2009-09-26
加关注  |  发消息
4 楼    发表于2011-10-26 20:52:27举报|引用
返回顶部 | 快捷回复

送检大体看上去是囊壁   那这例报什么好点?

0
回复

笃行者 离线

帖子:2689
粉蓝豆:59
经验:3020
注册时间:2006-10-04
加关注  |  发消息
5 楼    发表于2011-10-28 21:24:21举报|引用
返回顶部 | 快捷回复

描述性诊断,见什么说什么。

1

anqingyi..
回复
signature
博学之,审问之,慎思之,明辨之,笃行之。

一了 离线

帖子:2138
粉蓝豆:64
经验:2288
注册时间:2009-03-31
加关注  |  发消息
6 楼    发表于2011-10-29 19:07:21举报|引用
返回顶部 | 快捷回复

囊性纤维性乳腺病。

0
回复

泉水叮咚响 离线

帖子:2163
粉蓝豆:113
经验:11663
注册时间:2010-12-30
加关注  |  发消息
7 楼    发表于2011-10-29 19:14:36举报|引用
返回顶部 | 快捷回复

 纤维性囊性乳腺病

0
回复
signature
刀不磨会生锈,人不学习会落后。

zhangyajing 离线

帖子:500
粉蓝豆:4
经验:610
注册时间:2008-03-23
加关注  |  发消息
8 楼    发表于2011-10-29 19:18:50举报|引用
返回顶部 | 快捷回复

乳腺腺病伴普通型导管增生

0
回复

ydsyblgm 离线

帖子:153
粉蓝豆:7
经验:154
注册时间:2011-10-02
加关注  |  发消息
9 楼    发表于2011-10-29 19:52:27举报|引用
返回顶部 | 快捷回复

 

报乳腺增生性腺病伴导管上皮不典型增生。

。图12-16可以看到导管上皮异形增生(导管上皮极向紊乱)

0
回复
回复:9 阅读:3801
共1页/9条首页上一页1下一页尾页
【免责声明】讨论内容仅作学术交流之用,不作为诊疗依据,由此而引起的法律问题作者及本站不承担任何责任。
快速回复
进入高级回复
您最多可输入10000个汉字,按 "Ctrl" + "Enter" 直接发送
搜索回复/乘电梯 ×
按内容
按会员
乘电梯
合作伙伴
友情链接