共2页/22条首页上一页12下一页尾页
回复:22 阅读:5343
前列腺有问题没?

yy369yy 离线

帖子:321
粉蓝豆:27
经验:1131
注册时间:2009-12-18
加关注  |  发消息
楼主 发表于 2011-10-19 18:28|举报|关注(0)
浏览排序[ 顺序 逆序 楼主 支持 精彩 ]  快捷回复

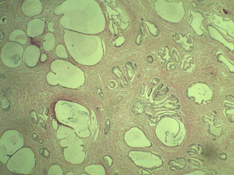
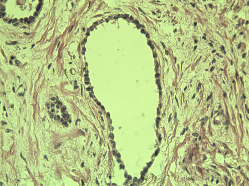
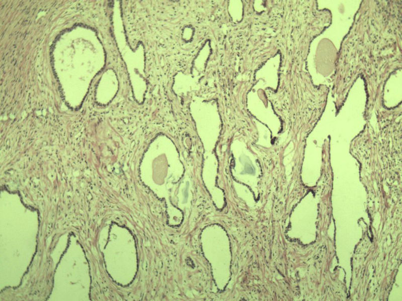
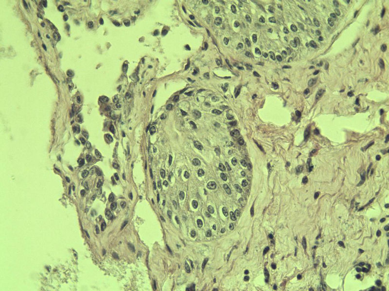
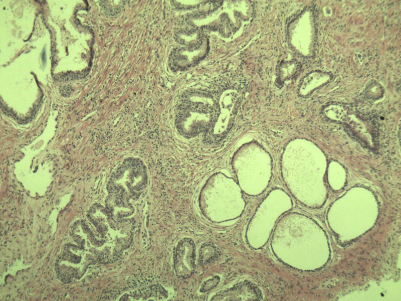
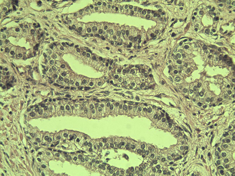
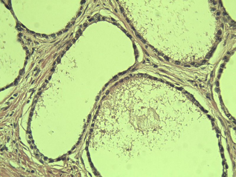
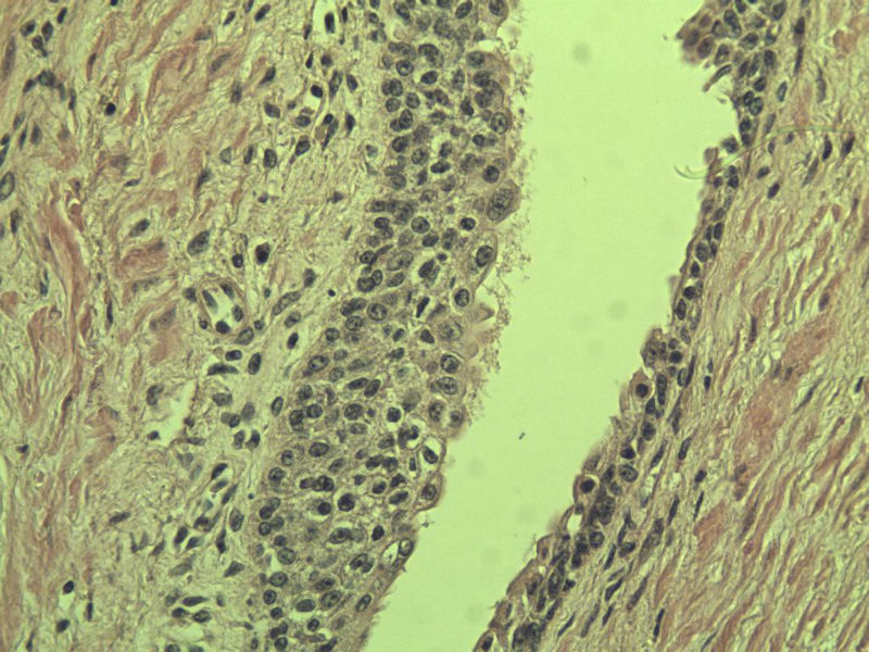
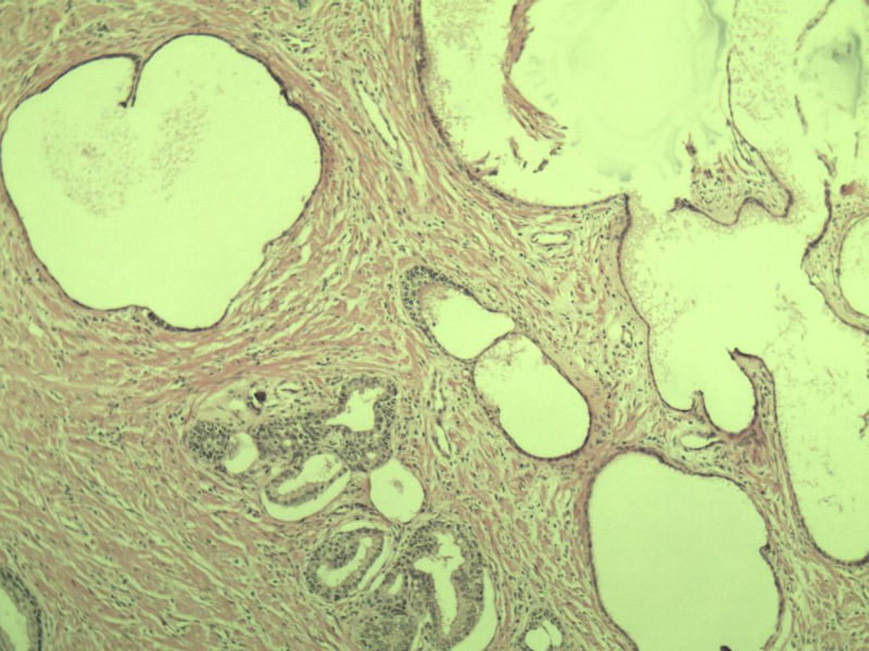
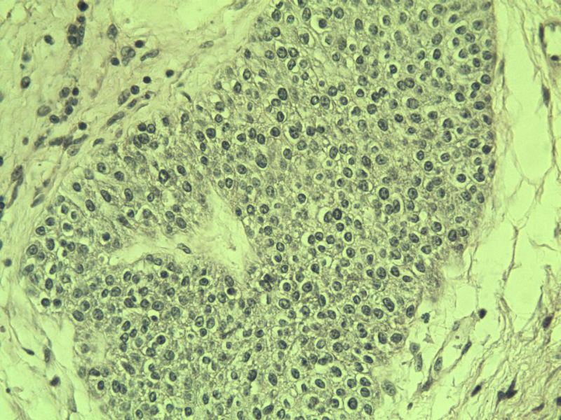
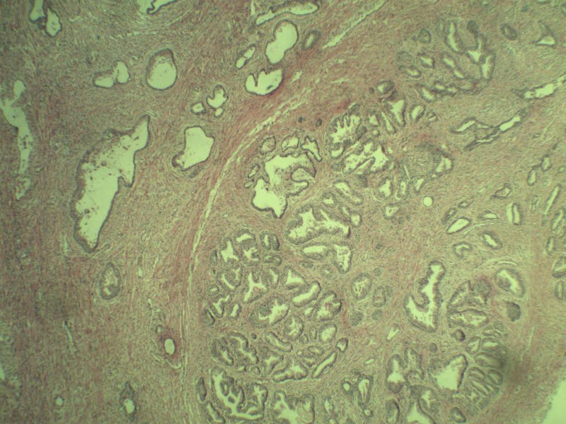
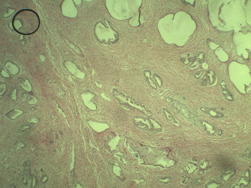
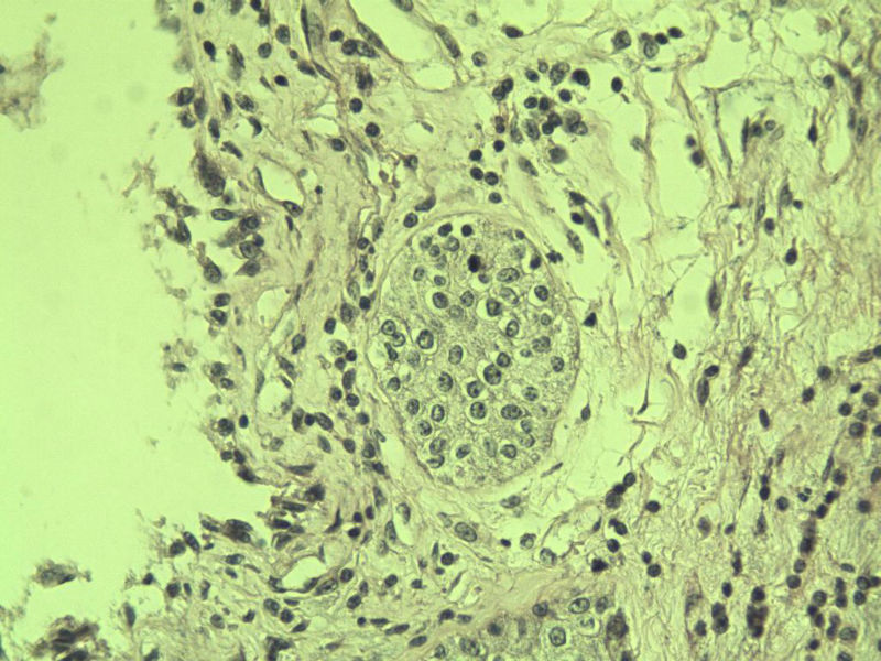
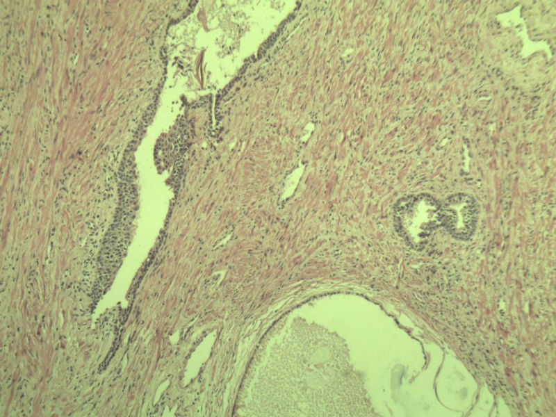
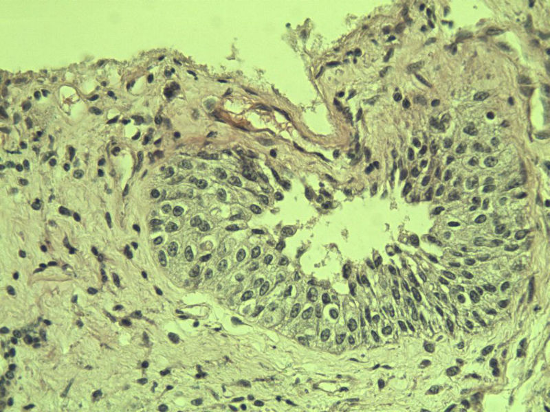
男 75岁 因排尿困难半年行前列腺切除术,体积 4 × 3 × 2.5 cm3,切面灰白,实性,质韧。请各位老师看看 有问题没? 谢谢了!

 

前列腺有问题没?图1
名称:图1
描述:a165.Jpg.jpg
前列腺有问题没?图2
名称:图2
描述:a166.Jpg.jpg
前列腺有问题没?图3
名称:图3
描述:a167.Jpg.jpg
前列腺有问题没?图4
名称:图4
描述:a168.Jpg.jpg
前列腺有问题没?图5
名称:图5
描述:a169.Jpg.jpg
前列腺有问题没?图6
名称:图6
描述:a170.Jpg.jpg
前列腺有问题没?图7
名称:图7
描述:a171.Jpg.jpg
前列腺有问题没?图8
名称:图8
描述:a172.Jpg.jpg
前列腺有问题没?图9
名称:图9
描述:a173.Jpg.jpg
前列腺有问题没?图10
名称:图10
描述:a174.Jpg.jpg
前列腺有问题没?图11
名称:图11
描述:a175.Jpg.jpg
前列腺有问题没?图12
名称:图12
描述:a176.Jpg.jpg
前列腺有问题没?图13
名称:图13
描述:a177.Jpg.jpg
前列腺有问题没?图14
名称:图14
描述:a178.Jpg.jpg
前列腺有问题没?图15
名称:图15
描述:a179.Jpg.jpg
前列腺有问题没?图16
名称:图16
描述:a180.Jpg.jpg
前列腺有问题没?图17
名称:图17
描述:a181.Jpg.jpg
前列腺有问题没?图18
名称:图18
描述:a182.Jpg.jpg
前列腺有问题没?图19
名称:图19
描述:a183.Jpg.jpg
前列腺有问题没?图20
名称:图20
描述:a184.Jpg.jpg
前列腺有问题没?图21
名称:图21
描述:a185.Jpg.jpg
前列腺有问题没?图22
名称:图22
描述:a186.Jpg.jpg
前列腺有问题没?图23
名称:图23
描述:a187.Jpg.jpg
前列腺有问题没?图24
名称:图24
描述:a188.Jpg.jpg
前列腺有问题没?图25
名称:图25
描述:a189.Jpg.jpg
前列腺有问题没?图26
名称:图26
描述:a190.Jpg.jpg
前列腺有问题没?图27
名称:图27
描述:a191.Jpg.jpg
前列腺有问题没?图28
名称:图28
描述:a192.Jpg.jpg
前列腺有问题没?图29
名称:图29
描述:a193.Jpg.jpg
前列腺有问题没?图30
名称:图30
描述:a194.Jpg.jpg
前列腺有问题没?图31
名称:图31
描述:a195.Jpg.jpg
前列腺有问题没?图32
名称:图32
描述:a196.Jpg.jpg
前列腺有问题没?图33
名称:图33
描述:a197.Jpg.jpg
前列腺有问题没?图34
名称:图34
描述:a198.Jpg.jpg
前列腺有问题没?图35
名称:图35
描述:a199.Jpg.jpg
前列腺有问题没?图36
名称:图36
描述:a200.Jpg.jpg
 
标签:
0
添加参考诊断
×参考诊断
  

lantian0508 离线

帖子:1250
粉蓝豆:42
经验:1495
注册时间:2007-08-01
加关注  |  发消息
6 楼    发表于2011-10-20 23:14:50举报|引用
返回顶部 | 快捷回复

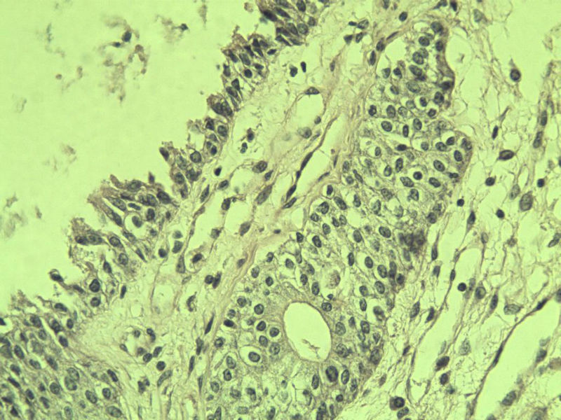
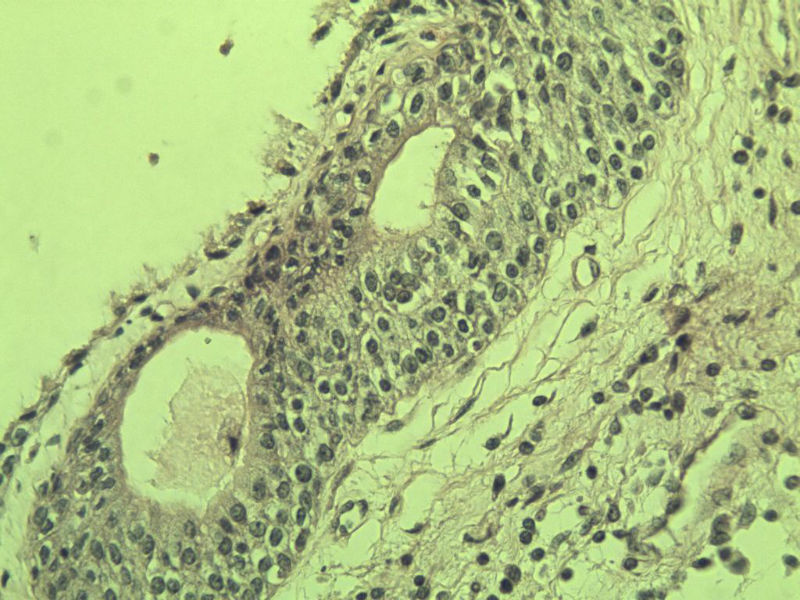
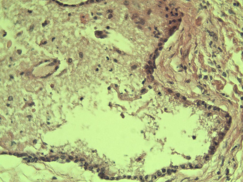
良性前列腺增生伴尿路上皮化生

4

liqiuyue..

ydsyblgm

多多fund

meijuanj..
回复

毛主席最亲 离线

帖子:194
粉蓝豆:482
经验:2012
注册时间:2008-07-28
加关注  |  发消息
10 楼    发表于2011-10-22 19:04:16举报|引用
返回顶部 | 快捷回复

呈巢上皮为尿道周围前列腺组织正常现象。尿路上皮-前列腺腺体过度。

良性。

3

多多fund

ccy14272..

xgz2929
回复

墨宝 离线

帖子:281
粉蓝豆:21
经验:352
注册时间:2008-03-02
加关注  |  发消息
22 楼    发表于2011-10-29 20:18:16举报|引用
返回顶部 | 快捷回复

没有问题

1

涂光辉
回复
signature
病理是一个彩色、绚烂的世界,很美!

zhenshijian 离线

帖子:1069
粉蓝豆:91
经验:1364
注册时间:2008-04-20
加关注  |  发消息
2 楼    发表于2011-10-19 19:45:29举报|引用
返回顶部 | 快捷回复

前列腺增生症伴鳞化

1

wzkxn
回复

cheerfulmaize 离线

帖子:70
粉蓝豆:18
经验:211
注册时间:2010-11-27
加关注  |  发消息
3 楼    发表于2011-10-19 20:12:05举报|引用
返回顶部 | 快捷回复

良性前列腺增生

1

200406
回复

泉水叮咚响 离线

帖子:2163
粉蓝豆:113
经验:11663
注册时间:2010-12-30
加关注  |  发消息
20 楼    发表于2011-10-29 19:21:39举报|引用
返回顶部 | 快捷回复

 良性前列腺增生

0
回复
signature
刀不磨会生锈,人不学习会落后。

学浅 离线

帖子:2053
粉蓝豆:79
经验:3125
注册时间:2008-06-01
加关注  |  发消息
9 楼    发表于2011-10-22 16:36:10举报|引用
返回顶部 | 快捷回复

良性前列腺增生

0
回复

lchxhy 离线

帖子:186
粉蓝豆:67
经验:602
注册时间:2009-08-27
加关注  |  发消息
7 楼    发表于2011-10-20 23:29:01举报|引用
返回顶部 | 快捷回复

良性前列腺增生

0
回复

meihao 离线

帖子:635
粉蓝豆:275
经验:1820
注册时间:2011-10-12
加关注  |  发消息
8 楼    发表于2011-10-21 00:46:19举报|引用
返回顶部 | 快捷回复

 良性前列腺增生症。

0
回复
signature
感谢华夏病理网!

yichvqs 离线

帖子:234
粉蓝豆:233
经验:796
注册时间:2011-02-17
加关注  |  发消息
11 楼    发表于2011-10-22 19:14:22举报|引用
返回顶部 | 快捷回复

良性前列腺增生

0
回复

lchxhy 离线

帖子:186
粉蓝豆:67
经验:602
注册时间:2009-08-27
加关注  |  发消息
12 楼    发表于2011-10-22 20:18:54举报|引用
返回顶部 | 快捷回复

良性前列腺增生

0
回复

duhua 离线

帖子:1206
粉蓝豆:152
经验:1738
注册时间:2008-08-19
加关注  |  发消息
13 楼    发表于2011-10-22 20:19:38举报|引用
返回顶部 | 快捷回复

良性前列腺增生伴brunnerr巢形成

0
回复

安迪 离线

帖子:598
粉蓝豆:3525
经验:849
注册时间:2011-03-04
加关注  |  发消息
1 楼    发表于2011-10-19 19:02:43举报|引用
返回顶部 | 快捷回复

高级别上皮内瘤变,建议免疫组化:P63、34BE12、P504S

0
回复

多多fund 离线

帖子:233
粉蓝豆:30
经验:608
注册时间:2009-03-31
加关注  |  发消息
14 楼    发表于2011-10-22 20:34:45举报|引用
返回顶部 | 快捷回复
引用 6 楼 lantian0508 在 2011-10-20 23:14:50 的发言:

良性前列腺增生伴尿路上皮化生


0
回复

zhangyuying 离线

帖子:207
粉蓝豆:18
经验:418
注册时间:2011-07-03
加关注  |  发消息
15 楼    发表于2011-10-22 21:31:40举报|引用
返回顶部 | 快捷回复

良性前列腺增生

0
回复
signature
再长的路,一步一步总能走完;再短的路,不迈开双脚就永远不会到达终点。

200406 离线

帖子:1385
粉蓝豆:145
经验:2735
注册时间:2011-08-08
加关注  |  发消息
5 楼    发表于2011-10-19 20:36:41举报|引用
返回顶部 | 快捷回复

良性前列腺增生

0
回复

蝴蝶兰dali2003 离线

帖子:12511
粉蓝豆:2448
经验:13080
注册时间:2009-09-06
加关注  |  发消息
16 楼    发表于2011-10-22 22:02:10举报|引用
返回顶部 | 快捷回复

前列腺增生,有腺瘤样结节形成。

0
回复
signature
相逢是首歌,同行是你和我。

3673566 离线

帖子:1879
粉蓝豆:74
经验:3305
注册时间:2006-10-29
加关注  |  发消息
17 楼    发表于2011-10-22 22:10:38举报|引用
返回顶部 | 快捷回复

前列腺增生伴尿路上皮鳞化及Brown巢形成,未见恶性。

0
回复

伊恋佳人 离线

帖子:1258
粉蓝豆:505
经验:1714
注册时间:2010-03-13
加关注  |  发消息
18 楼    发表于2011-10-22 23:03:45举报|引用
返回顶部 | 快捷回复

前列腺结节性增生

0
回复

西江月 离线

帖子:151
粉蓝豆:10
经验:259
注册时间:2008-09-18
加关注  |  发消息
19 楼    发表于2011-10-22 23:20:58举报|引用
返回顶部 | 快捷回复

良性前列腺增生症

0
回复
回复:22 阅读:5343
共2页/22条首页上一页12下一页尾页
【免责声明】讨论内容仅作学术交流之用,不作为诊疗依据,由此而引起的法律问题作者及本站不承担任何责任。
快速回复
进入高级回复
您最多可输入10000个汉字,按 "Ctrl" + "Enter" 直接发送
搜索回复/乘电梯 ×
按内容
按会员
乘电梯
合作伙伴
友情链接