回复:0 阅读:3181
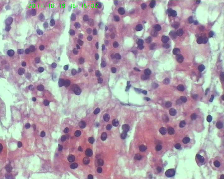
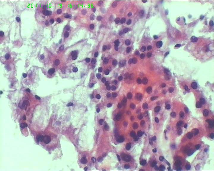
71岁男性肝脏占位,ct示低密灶,大三阳,afp高,转氨酶略高。该诊断什么呢?

samool 离线

帖子:250
粉蓝豆:11
经验:389
注册时间:2006-11-29
加关注  |  发消息
楼主 发表于 2011-10-19 16:24|举报|关注(0)
浏览排序[ 顺序 逆序 楼主 支持 精彩 ]  快捷回复
  • 71岁男性肝脏占位,ct示低密灶,大三阳,afp高,转氨酶略高。该诊断什么呢?图1
    图1
  • 71岁男性肝脏占位,ct示低密灶,大三阳,afp高,转氨酶略高。该诊断什么呢?图2
    图2
  • 71岁男性肝脏占位,ct示低密灶,大三阳,afp高,转氨酶略高。该诊断什么呢?图3
    图3
  • 71岁男性肝脏占位,ct示低密灶,大三阳,afp高,转氨酶略高。该诊断什么呢?图4
    图4
  • 71岁男性肝脏占位,ct示低密灶,大三阳,afp高,转氨酶略高。该诊断什么呢?图5
    图5
  • 71岁男性肝脏占位,ct示低密灶,大三阳,afp高,转氨酶略高。该诊断什么呢?图6
    图6
  • 71岁男性肝脏占位,ct示低密灶,大三阳,afp高,转氨酶略高。该诊断什么呢?图7
    图7
  • 71岁男性肝脏占位,ct示低密灶,大三阳,afp高,转氨酶略高。该诊断什么呢?图8
    图8
  • 71岁男性肝脏占位,ct示低密灶,大三阳,afp高,转氨酶略高。该诊断什么呢?图9
    图9
  • 71岁男性肝脏占位,ct示低密灶,大三阳,afp高,转氨酶略高。该诊断什么呢?图10
    图10
  • 71岁男性肝脏占位,ct示低密灶,大三阳,afp高,转氨酶略高。该诊断什么呢?图11
    图11
  • 71岁男性肝脏占位,ct示低密灶,大三阳,afp高,转氨酶略高。该诊断什么呢?图12
    图12
  • 71岁男性肝脏占位,ct示低密灶,大三阳,afp高,转氨酶略高。该诊断什么呢?图13
    图13
  • 71岁男性肝脏占位,ct示低密灶,大三阳,afp高,转氨酶略高。该诊断什么呢?图14
    图14
  • 71岁男性肝脏占位,ct示低密灶,大三阳,afp高,转氨酶略高。该诊断什么呢?图15
    图15
  • 71岁男性肝脏占位,ct示低密灶,大三阳,afp高,转氨酶略高。该诊断什么呢?图16
    图16
  • 71岁男性肝脏占位,ct示低密灶,大三阳,afp高,转氨酶略高。该诊断什么呢?图17
    图17
  • 71岁男性肝脏占位,ct示低密灶,大三阳,afp高,转氨酶略高。该诊断什么呢?图18
    图18
  • 71岁男性肝脏占位,ct示低密灶,大三阳,afp高,转氨酶略高。该诊断什么呢?图19
    图19
  • 71岁男性肝脏占位,ct示低密灶,大三阳,afp高,转氨酶略高。该诊断什么呢?图20
    图20
  • 71岁男性肝脏占位,ct示低密灶,大三阳,afp高,转氨酶略高。该诊断什么呢?图21
    图21
  • 71岁男性肝脏占位,ct示低密灶,大三阳,afp高,转氨酶略高。该诊断什么呢?图22
    图22
  • 71岁男性肝脏占位,ct示低密灶,大三阳,afp高,转氨酶略高。该诊断什么呢?图23
    图23

 

标签:
0
添加参考诊断
×参考诊断
  
回复:0 阅读:3181
【免责声明】讨论内容仅作学术交流之用,不作为诊疗依据,由此而引起的法律问题作者及本站不承担任何责任。
快速回复
进入高级回复
您最多可输入10000个汉字,按 "Ctrl" + "Enter" 直接发送
搜索回复/乘电梯 ×
按内容
按会员
乘电梯
合作伙伴
友情链接