共1页/8条首页上一页1下一页尾页
回复:8 阅读:3426
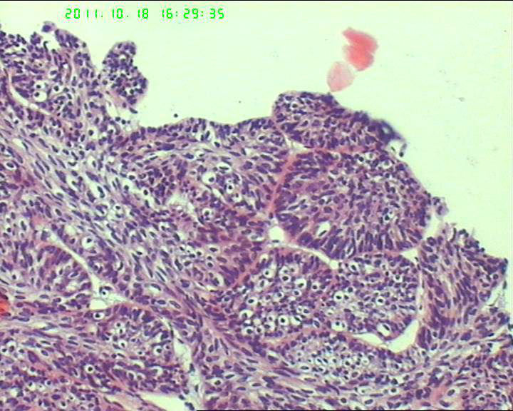
70岁女性体检发现膀胱肿物,是癌吗?

samool 离线

帖子:250
粉蓝豆:11
经验:389
注册时间:2006-11-29
加关注  |  发消息
楼主 发表于 2011-10-18 16:42|举报|关注(1)
浏览排序[ 顺序 逆序 楼主 支持 精彩 ]  快捷回复

 膀胱后壁一2*1cm大小肿物

  • 70岁女性体检发现膀胱肿物,是癌吗?图1
    图1
  • 70岁女性体检发现膀胱肿物,是癌吗?图2
    图2
  • 70岁女性体检发现膀胱肿物,是癌吗?图3
    图3
  • 70岁女性体检发现膀胱肿物,是癌吗?图4
    图4
  • 70岁女性体检发现膀胱肿物,是癌吗?图5
    图5
  • 70岁女性体检发现膀胱肿物,是癌吗?图6
    图6
  • 70岁女性体检发现膀胱肿物,是癌吗?图7
    图7
  • 70岁女性体检发现膀胱肿物,是癌吗?图8
    图8
  • 70岁女性体检发现膀胱肿物,是癌吗?图9
    图9
  • 70岁女性体检发现膀胱肿物,是癌吗?图10
    图10
  • 70岁女性体检发现膀胱肿物,是癌吗?图11
    图11
  • 70岁女性体检发现膀胱肿物,是癌吗?图12
    图12
  • 70岁女性体检发现膀胱肿物,是癌吗?图13
    图13
  • 70岁女性体检发现膀胱肿物,是癌吗?图14
    图14
  • 70岁女性体检发现膀胱肿物,是癌吗?图15
    图15
  • 70岁女性体检发现膀胱肿物,是癌吗?图16
    图16
  • 70岁女性体检发现膀胱肿物,是癌吗?图17
    图17
  • 70岁女性体检发现膀胱肿物,是癌吗?图18
    图18
  • 70岁女性体检发现膀胱肿物,是癌吗?图19
    图19
  • 70岁女性体检发现膀胱肿物,是癌吗?图20
    图20
  • 70岁女性体检发现膀胱肿物,是癌吗?图21
    图21
  • 70岁女性体检发现膀胱肿物,是癌吗?图22
    图22
  • 70岁女性体检发现膀胱肿物,是癌吗?图23
    图23
  • 70岁女性体检发现膀胱肿物,是癌吗?图24
    图24
  • 70岁女性体检发现膀胱肿物,是癌吗?图25
    图25
标签:
0
添加参考诊断
×参考诊断
  

zhouquan 离线

帖子:7752
粉蓝豆:302
经验:8263
注册时间:2008-11-09
加关注  |  发消息
1 楼    发表于2011-10-18 22:02:17举报|引用
返回顶部 | 快捷回复

镜下是内翻性乳头状瘤的模式,局部细胞极性紊乱,建议标记CK20,P53,CD44,KI-67鉴别

0
回复
signature
成功不是得到多少东西,而是把身上多余的东西的扔掉多少。   

ydsyblgm 离线

帖子:153
粉蓝豆:7
经验:154
注册时间:2011-10-02
加关注  |  发消息
2 楼    发表于2011-10-20 21:13:36举报|引用
返回顶部 | 快捷回复

尿路上皮癌。细胞极性紊乱。

0
回复

lantian0508 离线

帖子:1250
粉蓝豆:42
经验:1495
注册时间:2007-08-01
加关注  |  发消息
3 楼    发表于2011-10-20 23:10:27举报|引用
返回顶部 | 快捷回复

内生型乳头状尿路上皮癌

1

学浅
回复

病理020 离线

帖子:1344
粉蓝豆:5612
经验:1814
注册时间:2011-10-02
加关注  |  发消息
4 楼    发表于2011-11-18 16:57:36举报|引用
返回顶部 | 快捷回复

 尿路上皮癌。

0
回复
signature
邓学田

hxxtl 离线

帖子:709
粉蓝豆:565
经验:3217
注册时间:2009-01-07
加关注  |  发消息
5 楼    发表于2011-12-01 16:58:36举报|引用
返回顶部 | 快捷回复
本帖最后由 hxxtl 于 2011-12-01 16:59:21 编辑

超过7层,极性乱,乳头状增生,细胞有异型性,可以诊断为移行上皮癌。

记住:膀胱粘膜上长菜花状肿物,没有好东西,最低也是恶性潜能。

1

13943618..
回复
signature
集腋成裘 厚积薄发

1394361892 离线

帖子:655
粉蓝豆:12
经验:1275
注册时间:2011-09-04
加关注  |  发消息
6 楼    发表于2011-12-04 18:47:03举报|引用
返回顶部 | 快捷回复
引用 5 楼 hxxtl 在 2011-12-01 16:58:36 的发言:
本帖最后由 hxxtl 于 2011-12-01 16:59:21 编辑

超过7层,极性乱,乳头状增生,细胞有异型性,可以诊断为移行上皮癌。

记住:膀胱粘膜上长菜花状肿物,没有好东西,最低也是恶性潜能。


0
回复

指环王 离线

帖子:570
粉蓝豆:15
经验:577
注册时间:2007-06-10
加关注  |  发消息
7 楼    发表于2011-12-08 23:00:10举报|引用
返回顶部 | 快捷回复

内生型乳头状尿路上皮癌

1

minerhao..
回复

dfhlhf 离线

帖子:96
粉蓝豆:1185
经验:1770
注册时间:2009-08-13
加关注  |  发消息
8 楼    发表于2011-12-12 14:30:53举报|引用
返回顶部 | 快捷回复

支持尿路上皮癌

0
回复
signature
我儿子很乖
回复:8 阅读:3426
共1页/8条首页上一页1下一页尾页
【免责声明】讨论内容仅作学术交流之用,不作为诊疗依据,由此而引起的法律问题作者及本站不承担任何责任。
快速回复
进入高级回复
您最多可输入10000个汉字,按 "Ctrl" + "Enter" 直接发送
搜索回复/乘电梯 ×
按内容
按会员
乘电梯
合作伙伴
友情链接