共1页/7条首页上一页1下一页尾页
回复:7 阅读:2297
38岁 乳腺肿瘤 女

陈奕君 离线

帖子:124
粉蓝豆:39
经验:364
注册时间:2009-11-10
加关注  |  发消息
楼主 发表于 2011-10-14 20:30|举报|关注(0)
浏览排序[ 顺序 逆序 楼主 支持 精彩 ]  快捷回复
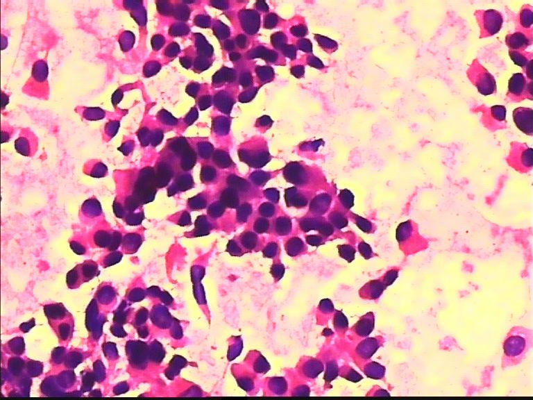
  • 38岁 乳腺肿瘤 女图1
    图1
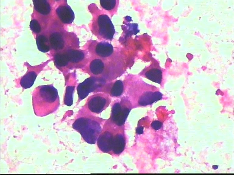
  • 38岁 乳腺肿瘤 女图2
    图2
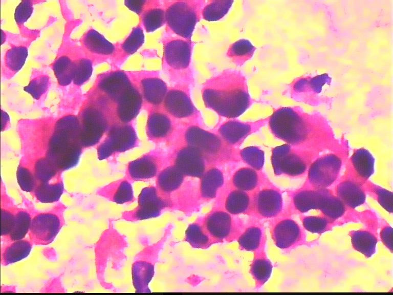
  • 38岁 乳腺肿瘤 女图3
    图3
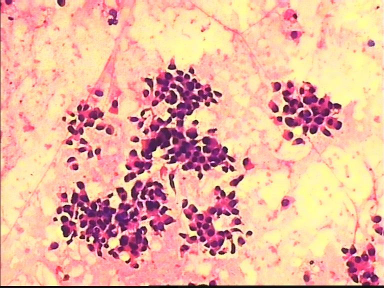
  • 38岁 乳腺肿瘤 女图4
    图4
  • 38岁 乳腺肿瘤 女图5
    图5
  • 38岁 乳腺肿瘤 女图6
    图6
  • 38岁 乳腺肿瘤 女图7
    图7
  • 38岁 乳腺肿瘤 女图8
    图8
  • 38岁 乳腺肿瘤 女图9
    图9
  • 38岁 乳腺肿瘤 女图10
    图10
  • 38岁 乳腺肿瘤 女图11
    图11
  • 38岁 乳腺肿瘤 女图12
    图12
  • 38岁 乳腺肿瘤 女图13
    图13
  • 38岁 乳腺肿瘤 女图14
    图14
  • 38岁 乳腺肿瘤 女图15
    图15
  • 38岁 乳腺肿瘤 女图16
    图16
  • 38岁 乳腺肿瘤 女图17
    图17
  • 38岁 乳腺肿瘤 女图18
    图18

 

标签:
0
添加参考诊断
×参考诊断
  

流水 离线

帖子:1105
粉蓝豆:46
经验:3110
注册时间:2008-11-11
加关注  |  发消息
7 楼    发表于2011-10-16 17:00:54举报|引用
返回顶部 | 快捷回复
引用 6 楼 陈奕君 在 2011-10-16 12:28:00 的发言:

怎么通过细胞学判断有无浸润啊?

从所给图看恶性是没什么问题!染色有点过,染色质结构欠清晰;关于细胞学判断浸润的问题我想应综合来判断,如单个细胞的异形性,细胞整体弥散情况,细胞微粒结构以及间质成分等等,个人的认识也起到一定因素,细针穿刺中最常规用的还是--导管癌。
2

亡羊补牢

jani
回复

陈奕君 离线

帖子:124
粉蓝豆:39
经验:364
注册时间:2009-11-10
加关注  |  发消息
6 楼    发表于2011-10-16 12:28:00举报|引用
返回顶部 | 快捷回复

怎么通过细胞学判断有无浸润啊?

0
回复

gwls0008 离线

帖子:1365
粉蓝豆:5
经验:1465
注册时间:2008-08-24
加关注  |  发消息
5 楼    发表于2011-10-15 18:48:21举报|引用
返回顶部 | 快捷回复

好像重复了。浸润性导管 癌。

0
回复

c.b 离线

帖子:190
粉蓝豆:5
经验:271
注册时间:2006-10-06
加关注  |  发消息
4 楼    发表于2011-10-15 16:14:39举报|引用
返回顶部 | 快捷回复

浸润导管癌

0
回复

xb3263 离线

帖子:510
粉蓝豆:3
经验:605
注册时间:2009-01-05
加关注  |  发消息
3 楼    发表于2011-10-15 10:57:43举报|引用
返回顶部 | 快捷回复

乳腺癌。

0
回复

jani 离线

帖子:1707
粉蓝豆:46
经验:1808
注册时间:2009-03-21
加关注  |  发消息
2 楼    发表于2011-10-14 20:57:37举报|引用
返回顶部 | 快捷回复

乳腺癌

0
回复
signature
只有做你不会做的事 才能做会所有的事

F8 离线

帖子:132
粉蓝豆:7
经验:265
注册时间:2008-06-21
加关注  |  发消息
1 楼    发表于2011-10-14 20:51:29举报|引用
返回顶部 | 快捷回复

考虑癌:图18细胞核形式不规则,染色质粗块状,可见核仁.

1

亡羊补牢
回复
回复:7 阅读:2297
共1页/7条首页上一页1下一页尾页
【免责声明】讨论内容仅作学术交流之用,不作为诊疗依据,由此而引起的法律问题作者及本站不承担任何责任。
快速回复
进入高级回复
您最多可输入10000个汉字,按 "Ctrl" + "Enter" 直接发送
搜索回复/乘电梯 ×
按内容
按会员
乘电梯
合作伙伴
友情链接