共1页/8条首页上一页1下一页尾页
回复:8 阅读:2267
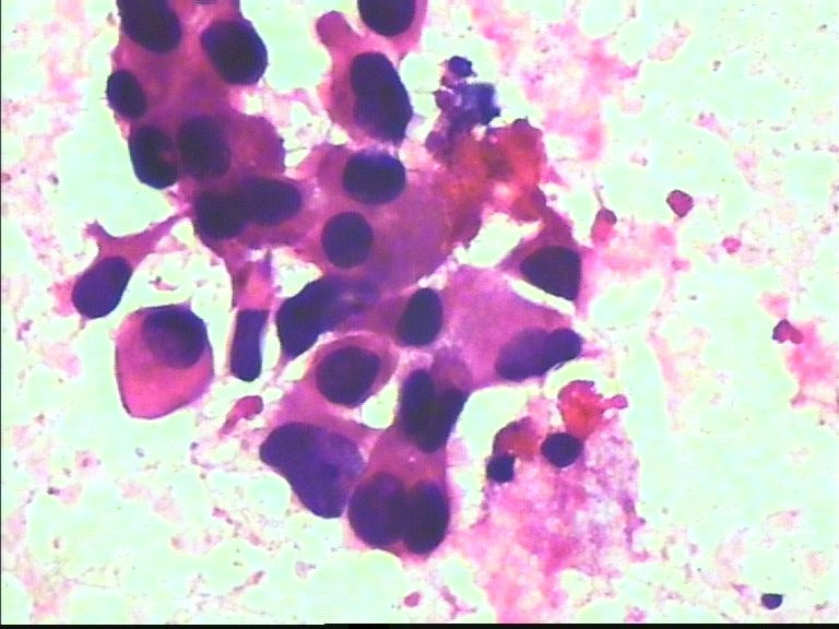
38岁 乳腺肿瘤 女

陈奕君 离线

帖子:124
粉蓝豆:39
经验:364
注册时间:2009-11-10
加关注  |  发消息
楼主 发表于 2011-10-14 20:08|举报|关注(0)
浏览排序[ 顺序 逆序 楼主 支持 精彩 ]  快捷回复

 

  • 38岁 乳腺肿瘤 女图1
    图1
  • 38岁 乳腺肿瘤 女图2
    图2
  • 38岁 乳腺肿瘤 女图3
    图3
  • 38岁 乳腺肿瘤 女图4
    图4
  • 38岁 乳腺肿瘤 女图5
    图5
  • 38岁 乳腺肿瘤 女图6
    图6
  • 38岁 乳腺肿瘤 女图7
    图7
  • 38岁 乳腺肿瘤 女图8
    图8
  • 38岁 乳腺肿瘤 女图9
    图9
 
标签:
本帖最后由 陈奕君 于 2011-10-14 20:21:14 编辑
0
添加参考诊断
×参考诊断
  

zhenshijian 离线

帖子:1069
粉蓝豆:91
经验:1364
注册时间:2008-04-20
加关注  |  发消息
1 楼    发表于2011-10-14 20:15:09举报|引用
返回顶部 | 快捷回复

恶性肿瘤细胞

0
回复

迷茫 离线

帖子:659
粉蓝豆:260
经验:2173
注册时间:2007-10-29
加关注  |  发消息
2 楼    发表于2011-10-14 20:17:10举报|引用
返回顶部 | 快捷回复

导管癌

0
回复

jani 离线

帖子:1707
粉蓝豆:46
经验:1808
注册时间:2009-03-21
加关注  |  发消息
3 楼    发表于2011-10-14 20:58:39举报|引用
返回顶部 | 快捷回复

乳腺导管癌

0
回复
signature
只有做你不会做的事 才能做会所有的事

3673566 离线

帖子:1879
粉蓝豆:74
经验:3305
注册时间:2006-10-29
加关注  |  发消息
4 楼    发表于2011-10-14 21:56:47举报|引用
返回顶部 | 快捷回复

新手报道,一直迷惑细胞学良恶性的诊断标准该怎样掌握?哪位老师能讲讲呢?谢谢!

0
回复

byq 离线

帖子:845
粉蓝豆:130
经验:3229
注册时间:2006-09-25
加关注  |  发消息
5 楼    发表于2011-10-15 10:49:31举报|引用
返回顶部 | 快捷回复
引用 4 楼 3673566 在 2011-10-14 21:56:47 的发言:

新手报道,一直迷惑细胞学良恶性的诊断标准该怎样掌握?哪位老师能讲讲呢?谢谢!


我试着说一下,不对的地方请其他老师修正。良恶性细胞鉴别主要还是观察细胞核的形态和大小、染色质颗粒是否细腻均匀,核膜是否光滑增厚等,还有涂片的背景是否有坏死等。这个病例就是一个很明显的恶性病例。形态学的东西讲究的就是多看多比较,慢慢就能掌握的。不急哦!

0
回复

xb3263 离线

帖子:510
粉蓝豆:3
经验:605
注册时间:2009-01-05
加关注  |  发消息
6 楼    发表于2011-10-15 10:50:22举报|引用
返回顶部 | 快捷回复

恶性肿瘤细胞

0
回复

gwls0008 离线

帖子:1365
粉蓝豆:5
经验:1465
注册时间:2008-08-24
加关注  |  发消息
7 楼    发表于2011-10-15 18:47:30举报|引用
返回顶部 | 快捷回复

非常明显的恶性肿瘤细胞,倾向浸润性导管癌。细胞异型性大,非常弥散,未见肌上皮细胞。

0
回复

zgliang 离线

帖子:138
粉蓝豆:41
经验:253
注册时间:2007-08-11
加关注  |  发消息
8 楼    发表于2011-12-30 11:04:40举报|引用
返回顶部 | 快捷回复

润性导管癌,细胞大小不一、异形明显、粘附性差,尤其是在同一堆细胞内。

0
回复
回复:8 阅读:2267
共1页/8条首页上一页1下一页尾页
【免责声明】讨论内容仅作学术交流之用,不作为诊疗依据,由此而引起的法律问题作者及本站不承担任何责任。
快速回复
进入高级回复
您最多可输入10000个汉字,按 "Ctrl" + "Enter" 直接发送
搜索回复/乘电梯 ×
按内容
按会员
乘电梯
合作伙伴
友情链接