共1页/13条首页上一页1下一页尾页
回复:13 阅读:2864
胃镜活检

sili 离线

帖子:9
粉蓝豆:11
经验:12
注册时间:2009-01-04
加关注  |  发消息
楼主 发表于 2011-10-14 19:58|举报|关注(0)
浏览排序[ 顺序 逆序 楼主 支持 精彩 ]  快捷回复

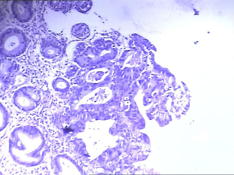
男 63岁 胃镜提示残胃炎

胃镜活检图1
名称:图1
描述:20111014_67_0_0_1_p.jpg.jpg
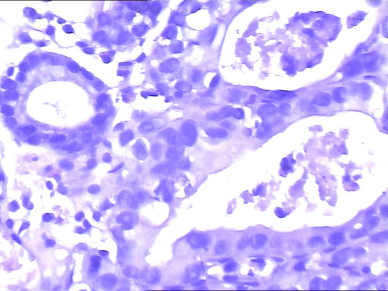
胃镜活检图2
名称:图2
描述:20111014_67_0_0_2_p.jpg.jpg
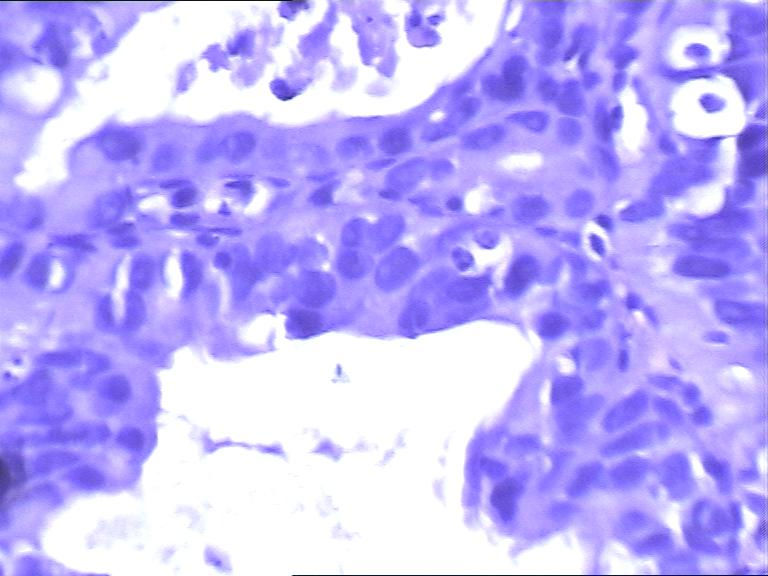
胃镜活检图3
名称:图3
描述:20111014_67_0_0_3_p.jpg.jpg
胃镜活检图4
名称:图4
描述:20111014_67_0_0_4_p.jpg.jpg
 
标签:
0
添加参考诊断
×参考诊断
  

TK1905 离线

帖子:962
粉蓝豆:283
经验:1054
注册时间:2010-03-14
加关注  |  发消息
1 楼    发表于2011-10-14 20:12:33举报|引用
返回顶部 | 快捷回复

高级别瘤变

1

wfbjwt
回复

zhenshijian 离线

帖子:1069
粉蓝豆:91
经验:1364
注册时间:2008-04-20
加关注  |  发消息
2 楼    发表于2011-10-14 20:13:36举报|引用
返回顶部 | 快捷回复
引用 1 楼 TK1905 在 2011-10-14 20:12:33 的发言:

高级别瘤变


0
回复

sili 离线

帖子:9
粉蓝豆:11
经验:12
注册时间:2009-01-04
加关注  |  发消息
3 楼    发表于2011-10-14 20:42:32举报|引用
返回顶部 | 快捷回复

像这种病变要手术 吗

0
回复

蝴蝶兰dali2003 离线

帖子:12511
粉蓝豆:2448
经验:13080
注册时间:2009-09-06
加关注  |  发消息
4 楼    发表于2011-10-14 21:11:40举报|引用
返回顶部 | 快捷回复

高级别上皮内瘤变。他原先是因为什么病做的手术?

0
回复
signature
相逢是首歌,同行是你和我。

闹闹 离线

帖子:944
粉蓝豆:24
经验:1921
注册时间:2007-07-25
加关注  |  发消息
5 楼    发表于2011-10-14 21:13:45举报|引用
返回顶部 | 快捷回复

低级别病变 

0
回复

3673566 离线

帖子:1879
粉蓝豆:74
经验:3305
注册时间:2006-10-29
加关注  |  发消息
6 楼    发表于2011-10-14 21:47:33举报|引用
返回顶部 | 快捷回复

这样的病例是不放心的,再深切一下吧!

0
回复

hu8afu 离线

帖子:1177
粉蓝豆:35
经验:1230
注册时间:2009-02-11
加关注  |  发消息
7 楼    发表于2011-10-14 22:42:27举报|引用
返回顶部 | 快捷回复

bugougaojibie不够高级别,是不是一种炎症反应

0
回复

sili 离线

帖子:9
粉蓝豆:11
经验:12
注册时间:2009-01-04
加关注  |  发消息
8 楼    发表于2011-10-15 06:29:09举报|引用
返回顶部 | 快捷回复

2010年2月以低分化腺癌行近段胃癌根治术,术后给予奥沙利铂、5-氟尿嘧啶化、cf等化疗4次。

0
回复

白桦林 离线

帖子:523
粉蓝豆:414
经验:1411
注册时间:2007-06-21
加关注  |  发消息
9 楼    发表于2011-10-15 08:19:51举报|引用
返回顶部 | 快捷回复

高级别上皮内瘤变

0
回复

zhouquan 离线

帖子:7752
粉蓝豆:302
经验:8263
注册时间:2008-11-09
加关注  |  发消息
10 楼    发表于2011-10-15 17:02:54举报|引用
返回顶部 | 快捷回复

高级别上皮内瘤变,不知胃镜下病变范围

1

xuanxuan
回复
signature
成功不是得到多少东西,而是把身上多余的东西的扔掉多少。   

多多fund 离线

帖子:233
粉蓝豆:30
经验:608
注册时间:2009-03-31
加关注  |  发消息
11 楼    发表于2011-10-15 19:01:48举报|引用
返回顶部 | 快捷回复
引用 9 楼 白桦林 在 2011-10-15 08:19:51 的发言:

高级别上皮内瘤变


0
回复

安迪 离线

帖子:598
粉蓝豆:3525
经验:849
注册时间:2011-03-04
加关注  |  发消息
12 楼    发表于2011-10-15 19:26:17举报|引用
返回顶部 | 快捷回复

结构的紊乱考虑手术所致,细胞的异性可能为炎性所致,

0
回复

伊恋佳人 离线

帖子:1258
粉蓝豆:505
经验:1714
注册时间:2010-03-13
加关注  |  发消息
13 楼    发表于2011-10-15 20:03:05举报|引用
返回顶部 | 快捷回复

低级别病变 

0
回复
回复:13 阅读:2864
共1页/13条首页上一页1下一页尾页
【免责声明】讨论内容仅作学术交流之用,不作为诊疗依据,由此而引起的法律问题作者及本站不承担任何责任。
快速回复
进入高级回复
您最多可输入10000个汉字,按 "Ctrl" + "Enter" 直接发送
搜索回复/乘电梯 ×
按内容
按会员
乘电梯
合作伙伴
友情链接