共1页/5条首页上一页1下一页尾页
回复:19 阅读:5577
35岁,白血病化疗后患者的液基

apple89 离线

帖子:452
粉蓝豆:862
经验:1633
注册时间:2007-07-01
加关注  |  发消息
楼主 发表于 2011-10-13 20:50|举报|关注(1)
浏览排序[ 顺序 逆序 楼主 支持 精彩 ]  快捷回复

患者女,35岁,因急性粒细胞白血病做化疗,化疗后月经周期紊乱,自今年5月份来月经后就一直月经未来潮,既往月经规律,量正常,无痛经、腹痛等症状。患者育有三胎,已结扎。请妇科会诊,取了宫颈液基。3215

  • 35岁,白血病化疗后患者的液基图1
    图1
  • 35岁,白血病化疗后患者的液基图2
    图2
  • 35岁,白血病化疗后患者的液基图3
    图3
  • 35岁,白血病化疗后患者的液基图4
    图4
  • 35岁,白血病化疗后患者的液基图5
    图5
  • 35岁,白血病化疗后患者的液基图6
    图6
  • 35岁,白血病化疗后患者的液基图7
    图7
  • 35岁,白血病化疗后患者的液基图8
    图8
  • 35岁,白血病化疗后患者的液基图9
    图9
  • 35岁,白血病化疗后患者的液基图10
    图10
标签:
本帖最后由 apple89 于 2011-10-13 21:03:19 编辑
0
signature

2023心想事成!

添加参考诊断
×参考诊断
  

apple89 离线

帖子:452
粉蓝豆:862
经验:1633
注册时间:2007-07-01
加关注  |  发消息
16 楼    发表于2011-11-01 18:57:20举报|引用
返回顶部 | 快捷回复

谢谢清香老师的讲解,又学到一招了!

0
回复
signature

2023心想事成!

apple89 离线

帖子:452
粉蓝豆:862
经验:1633
注册时间:2007-07-01
加关注  |  发消息
7 楼    发表于2011-10-20 22:57:40举报|引用
返回顶部 | 快捷回复

 这个我也报的HSIL,但是活检结果挺郁闷……

1

whwwhw
回复
signature

2023心想事成!

apple89 离线

帖子:452
粉蓝豆:862
经验:1633
注册时间:2007-07-01
加关注  |  发消息
6 楼    发表于2011-10-20 22:51:58举报|引用
返回顶部 | 快捷回复

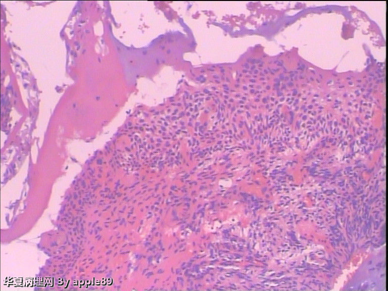
 病人做阴道镜,没有看到明显醋酸白区域,随机活检了几块,由于组织受压变形,有点难看,不过补切之后,还是没发现啥问题。前两张是我从阴道镜报告上截的图,后几张是活检图

  • 图1
  • 图2
  • 图3
  • 图4
  • 图5
  • 图6
0
回复
signature

2023心想事成!

apple89 离线

帖子:452
粉蓝豆:862
经验:1633
注册时间:2007-07-01
加关注  |  发消息
4 楼    发表于2011-10-18 20:27:51举报|引用
返回顶部 | 快捷回复

 这个病人做活检了,我会关注活检结果,到时候会上传的。

0
回复
signature

2023心想事成!

apple89 离线

帖子:452
粉蓝豆:862
经验:1633
注册时间:2007-07-01
加关注  |  发消息
1 楼    发表于2011-10-13 21:01:22举报|引用
返回顶部 | 快捷回复
本帖最后由 apple89 于 2011-10-13 21:07:18 编辑
  • 图1
  • 图2
  • 图3
  • 图4
  • 图5
  • 图6
  • 图7
  • 图8
  • 图9
  • 图10
  • 图11
  • 图12
  • 图13
  • 图14

 这个报告你会怎么发?另外,对于片中的异型细胞你怎么看,难道是化疗后的反应?化疗(具体用药不详)使患者月经失调,会不会也影响宫颈细胞?

0
回复
signature

2023心想事成!

回复:19 阅读:5577
共1页/5条首页上一页1下一页尾页
【免责声明】讨论内容仅作学术交流之用,不作为诊疗依据,由此而引起的法律问题作者及本站不承担任何责任。
快速回复
进入高级回复
您最多可输入10000个汉字,按 "Ctrl" + "Enter" 直接发送
搜索回复/乘电梯 ×
按内容
按会员
乘电梯
合作伙伴
友情链接