共1页/19条首页上一页1下一页尾页
回复:19 阅读:5571
35岁,白血病化疗后患者的液基

apple89 离线

帖子:452
粉蓝豆:862
经验:1633
注册时间:2007-07-01
加关注  |  发消息
楼主 发表于 2011-10-13 20:50|举报|关注(1)
浏览排序[ 顺序 逆序 楼主 支持 精彩 ]  快捷回复

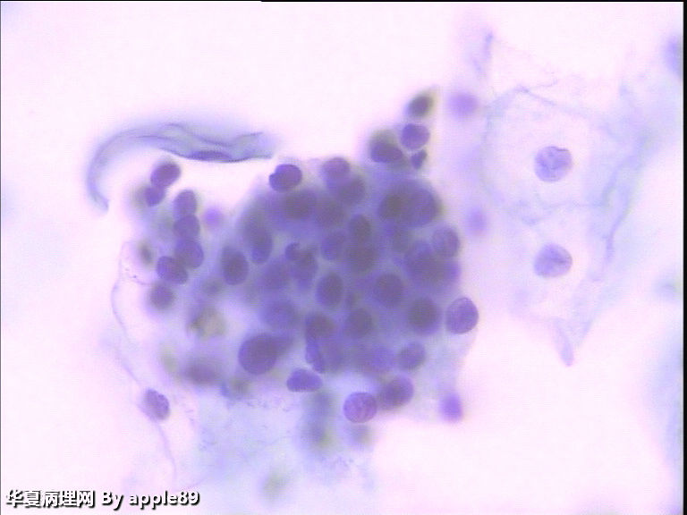
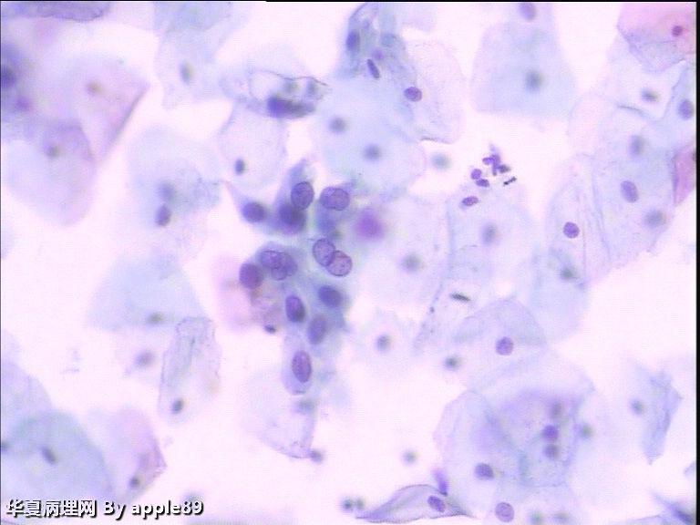
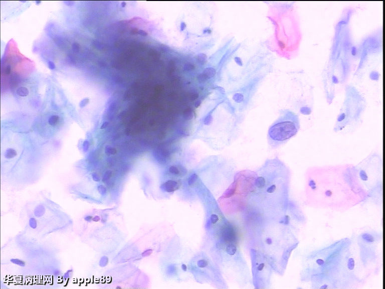
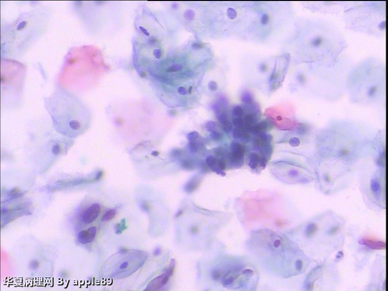
患者女,35岁,因急性粒细胞白血病做化疗,化疗后月经周期紊乱,自今年5月份来月经后就一直月经未来潮,既往月经规律,量正常,无痛经、腹痛等症状。患者育有三胎,已结扎。请妇科会诊,取了宫颈液基。3215

  • 35岁,白血病化疗后患者的液基图1
    图1
  • 35岁,白血病化疗后患者的液基图2
    图2
  • 35岁,白血病化疗后患者的液基图3
    图3
  • 35岁,白血病化疗后患者的液基图4
    图4
  • 35岁,白血病化疗后患者的液基图5
    图5
  • 35岁,白血病化疗后患者的液基图6
    图6
  • 35岁,白血病化疗后患者的液基图7
    图7
  • 35岁,白血病化疗后患者的液基图8
    图8
  • 35岁,白血病化疗后患者的液基图9
    图9
  • 35岁,白血病化疗后患者的液基图10
    图10
标签:
本帖最后由 apple89 于 2011-10-13 21:03:19 编辑
0
signature

2023心想事成!

添加参考诊断
×参考诊断
  

apple89 离线

帖子:452
粉蓝豆:862
经验:1633
注册时间:2007-07-01
加关注  |  发消息
1 楼    发表于2011-10-13 21:01:22举报|引用
返回顶部 | 快捷回复
本帖最后由 apple89 于 2011-10-13 21:07:18 编辑
  • 图1
  • 图2
  • 图3
  • 图4
  • 图5
  • 图6
  • 图7
  • 图8
  • 图9
  • 图10
  • 图11
  • 图12
  • 图13
  • 图14

 这个报告你会怎么发?另外,对于片中的异型细胞你怎么看,难道是化疗后的反应?化疗(具体用药不详)使患者月经失调,会不会也影响宫颈细胞?

0
回复
signature

2023心想事成!

huhuu 离线

帖子:193
粉蓝豆:41
经验:1459
注册时间:2011-08-25
加关注  |  发消息
2 楼    发表于2011-10-14 21:58:04举报|引用
返回顶部 | 快捷回复

不知道化疗反应和放疗反应的改变有何区别?期待专家讲解。这个我会报HSIL。

1

hehui
回复

3673566 离线

帖子:1879
粉蓝豆:74
经验:3305
注册时间:2006-10-29
加关注  |  发消息
3 楼    发表于2011-10-14 22:27:15举报|引用
返回顶部 | 快捷回复

无论怎样报,活检是必需的吧。

0
回复

apple89 离线

帖子:452
粉蓝豆:862
经验:1633
注册时间:2007-07-01
加关注  |  发消息
4 楼    发表于2011-10-18 20:27:51举报|引用
返回顶部 | 快捷回复

 这个病人做活检了,我会关注活检结果,到时候会上传的。

0
回复
signature

2023心想事成!

晚晚 离线

帖子:112
粉蓝豆:1
经验:242
注册时间:2009-11-27
加关注  |  发消息
5 楼    发表于2011-10-18 21:43:34举报|引用
返回顶部 | 快捷回复

宫颈病变应在月经失调前就存在吧,只不过是在化疗后出现了月经失调才检查宫颈而发现了病变,我会诊断HSIL。

0
回复

apple89 离线

帖子:452
粉蓝豆:862
经验:1633
注册时间:2007-07-01
加关注  |  发消息
6 楼    发表于2011-10-20 22:51:58举报|引用
返回顶部 | 快捷回复

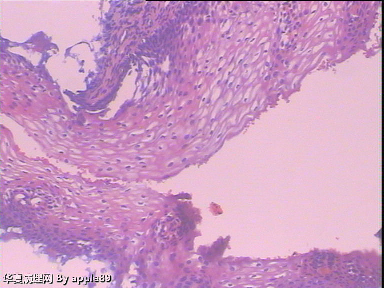
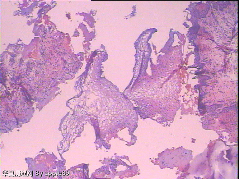
 病人做阴道镜,没有看到明显醋酸白区域,随机活检了几块,由于组织受压变形,有点难看,不过补切之后,还是没发现啥问题。前两张是我从阴道镜报告上截的图,后几张是活检图

  • 图1
  • 图2
  • 图3
  • 图4
  • 图5
  • 图6
0
回复
signature

2023心想事成!

apple89 离线

帖子:452
粉蓝豆:862
经验:1633
注册时间:2007-07-01
加关注  |  发消息
7 楼    发表于2011-10-20 22:57:40举报|引用
返回顶部 | 快捷回复

 这个我也报的HSIL,但是活检结果挺郁闷……

1

whwwhw
回复
signature

2023心想事成!

yichvqs 离线

帖子:234
粉蓝豆:233
经验:796
注册时间:2011-02-17
加关注  |  发消息
8 楼    发表于2011-10-22 19:54:21举报|引用
返回顶部 | 快捷回复

不知道化疗反应和放疗反应的改变有何区别?期待专家讲解。

0
回复

涢水清- 离线

帖子:2045
粉蓝豆:9
经验:2208
注册时间:2010-04-19
加关注  |  发消息
9 楼    发表于2011-10-23 10:56:08举报|引用
返回顶部 | 快捷回复

曾经听过潘老师一次讲课,也是对化疗会不会像放疗一样使细胞发生改变有疑问,老师说放、化疗同样都会有改变。

0
回复

涢水清- 离线

帖子:2045
粉蓝豆:9
经验:2208
注册时间:2010-04-19
加关注  |  发消息
10 楼    发表于2011-10-23 11:03:54举报|引用
返回顶部 | 快捷回复

清香老师星期二要讲课了,清香老师的课最精彩,是网友们最期待的,可以在课堂上就此问题提出来。

0
回复

清香情浓 离线

帖子:1101
粉蓝豆:2839
经验:1371
注册时间:2009-09-24
加关注  |  发消息
11 楼    发表于2011-10-25 09:47:32举报|引用
返回顶部 | 快捷回复

谢谢楼主提供的好病例,对于化疗引起的细胞学改变,我没有见到过真实的病例,不过《子宫颈细胞学Bethesda报系统》这本书上提到:某些化疗药物可以使宫颈的上皮细胞产生类似于急性或慢性化疗的改变。

单从细胞学图片上来看,宫颈上皮内病变是不好完全排除的,我们从此例标本是否可以得出这样的经验:对于有化疗病史的宫颈细胞学检查,见到有高核浆比的异常细胞时,是否报ASC-H更加合适点?

1

亡羊补牢
回复
signature
清香淡淡,情深为浓。

清香情浓 离线

帖子:1101
粉蓝豆:2839
经验:1371
注册时间:2009-09-24
加关注  |  发消息
12 楼    发表于2011-11-01 00:08:44举报|引用
返回顶部 | 快捷回复

临床用于白血病化疗的药物主要为烷化剂,这类药物可以引起宫颈的细胞学形态改变。药物常诱导人工绝经,引起的细胞学形态异常类似于LSIL或原位癌所见,此例的形态学改变为后者。

再次感谢楼主提供这么少见的病例,我想这个病例值得我们进一步学习的应该是以后碰到这种情况,该如何发报告。个人建议在经验不是很丰富的时候,遇到化疗的病人,如果宫颈细胞学形态有异常,异常细胞表现为高核浆比时,报ASC-H更合适。

3

大雪素

亡羊补牢

zlh6142
回复
signature
清香淡淡,情深为浓。

清香情浓 离线

帖子:1101
粉蓝豆:2839
经验:1371
注册时间:2009-09-24
加关注  |  发消息
13 楼    发表于2011-11-01 00:10:19举报|引用
返回顶部 | 快捷回复

此病例非常难得,楼主提供了细胞学,阴道镜,组织学结果,病史详细。加精!~

1

happy百合..
回复
signature
清香淡淡,情深为浓。

广秀 离线

帖子:2711
粉蓝豆:1246
经验:3502
注册时间:2009-09-15
加关注  |  发消息
14 楼    发表于2011-11-01 06:03:05举报|引用
返回顶部 | 快捷回复

化疗后改变,学习。

0
回复
signature
人淡如菊,心素如简。

清香情浓 离线

帖子:1101
粉蓝豆:2839
经验:1371
注册时间:2009-09-24
加关注  |  发消息
15 楼    发表于2011-11-01 07:49:56举报|引用
返回顶部 | 快捷回复

化疗对宫颈上皮的影响,与HPV感染有很大的相似性。6楼图4的组织学有点类似这种改变,在细胞学中化疗引起的改变常见的也为成熟的表层或浅表层细胞。楼主提供的病例以高核浆比细胞为主,也表明了化疗引起的细胞形态学改变是呈多样性的。希望能有更多的类似病例给我们学习。

0
回复
signature
清香淡淡,情深为浓。

apple89 离线

帖子:452
粉蓝豆:862
经验:1633
注册时间:2007-07-01
加关注  |  发消息
16 楼    发表于2011-11-01 18:57:20举报|引用
返回顶部 | 快捷回复

谢谢清香老师的讲解,又学到一招了!

0
回复
signature

2023心想事成!

jhp 离线

帖子:220
粉蓝豆:15
经验:391
注册时间:2007-11-30
加关注  |  发消息
17 楼    发表于2011-11-03 21:31:54举报|引用
返回顶部 | 快捷回复

细胞异型,高核浆比,部分细胞漏核,但染色淡,细腻,核膜光滑。

0
回复
signature
张丽蕊

大雪素 离线

帖子:1544
粉蓝豆:226
经验:8540
注册时间:2010-01-25
加关注  |  发消息
18 楼    发表于2011-11-06 17:51:38举报|引用
返回顶部 | 快捷回复

呵呵,这样的例子难得一见,值得好好学习

0
回复
signature
挺挺花卉中,竹有节而啬花,梅有花而啬叶,松有叶而啬香,唯兰独并有之

Danrs 离线

帖子:1445
粉蓝豆:176
经验:3050
注册时间:2008-12-09
加关注  |  发消息
19 楼    发表于2011-11-06 19:03:38举报|引用
返回顶部 | 快捷回复
本帖最后由 Danrs 于 2011-11-06 19:06:03 编辑

本例部分异常细胞成团,胞浆稀少,但是由于部分异常细胞胞浆较丰富具有鳞状上皮的特点,所以可以排除白血病肿瘤细胞和腺上皮来源的异常细胞。
       异常细胞核浆比增大,染色质增粗,染色深,核膜厚,但是核圆或卵圆,核膜光滑,如果我报,我是觉得报高级别是没有把握的。我还是觉得报“ASC=H,建议取活检”更好。这样我既没有排除高级别,但是也没有完全肯定,活检下来是高级别或不是高级别都不会太被动。
       这例病史比较特殊,影响因素多,这样的影响因素,特别是化疗的影响,经常都可能遇到。有这样完整的资料,真是可贵,谢谢楼主。

2

亡羊补牢

zblzbl20..
回复
回复:19 阅读:5571
共1页/19条首页上一页1下一页尾页
【免责声明】讨论内容仅作学术交流之用,不作为诊疗依据,由此而引起的法律问题作者及本站不承担任何责任。
快速回复
进入高级回复
您最多可输入10000个汉字,按 "Ctrl" + "Enter" 直接发送
搜索回复/乘电梯 ×
按内容
按会员
乘电梯
合作伙伴
友情链接