共2页/23条首页上一页12下一页尾页
回复:23 阅读:7459
眼角旁皮下肿物,不会了啊!!

dama0609 离线

帖子:613
粉蓝豆:1474
经验:708
注册时间:2008-09-08
加关注  |  发消息
楼主 发表于 2011-10-12 18:30|举报|关注(2)
浏览排序[ 顺序 逆序 楼主 支持 精彩 ]  快捷回复

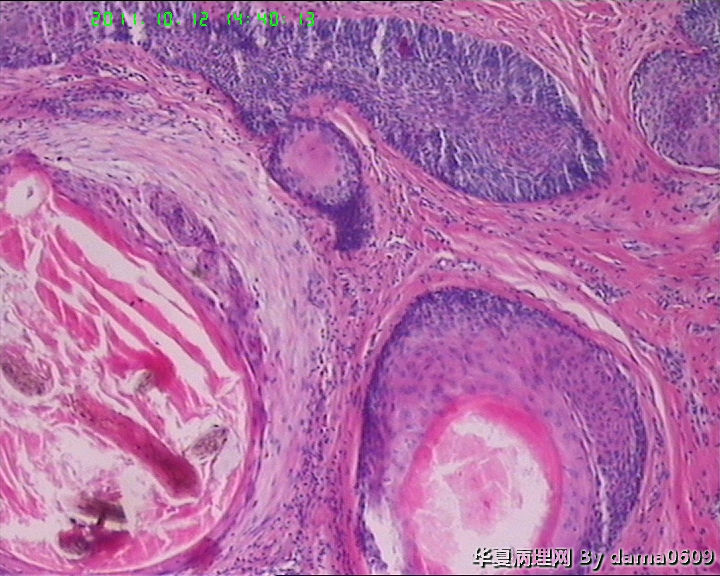
女,42岁,右眼外上方皮下肿物4年。

送检:椭圆形肿物,v:0.5x0.5x0.4cm,实性,灰白色,质软。

  • 眼角旁皮下肿物,不会了啊!!图1
    图1
  • 眼角旁皮下肿物,不会了啊!!图2
    图2
  • 眼角旁皮下肿物,不会了啊!!图3
    图3
  • 眼角旁皮下肿物,不会了啊!!图4
    图4
  • 眼角旁皮下肿物,不会了啊!!图5
    图5
  • 眼角旁皮下肿物,不会了啊!!图6
    图6
  • 眼角旁皮下肿物,不会了啊!!图7
    图7
  • 眼角旁皮下肿物,不会了啊!!图8
    图8
  • 眼角旁皮下肿物,不会了啊!!图9
    图9
  • 眼角旁皮下肿物,不会了啊!!图10
    图10
  • 眼角旁皮下肿物,不会了啊!!图11
    图11
  • 眼角旁皮下肿物,不会了啊!!图12
    图12
  • 眼角旁皮下肿物,不会了啊!!图13
    图13
  • 眼角旁皮下肿物,不会了啊!!图14
    图14
  • 眼角旁皮下肿物,不会了啊!!图15
    图15
  • 眼角旁皮下肿物,不会了啊!!图16
    图16
  • 眼角旁皮下肿物,不会了啊!!图17
    图17
  • 眼角旁皮下肿物,不会了啊!!图18
    图18
 
标签:皮下肿物
0
signature
过河小马!
×参考诊断
毛发腺瘤

晚晚 离线

帖子:112
粉蓝豆:1
经验:242
注册时间:2009-11-27
加关注  |  发消息
7 楼    发表于2011-10-23 09:24:11举报|引用
返回顶部 | 快捷回复

毛鞘瘤。

0
回复

binghongcha 离线

帖子:311
粉蓝豆:452
经验:334
注册时间:2011-08-02
加关注  |  发消息
3 楼    发表于2011-10-21 19:54:22举报|引用
返回顶部 | 快捷回复

脂溢性角化病伴局灶钙化及色素沉积.

0
回复

zhouquan 离线

帖子:7752
粉蓝豆:302
经验:8263
注册时间:2008-11-09
加关注  |  发消息
6 楼    发表于2011-10-23 06:43:54举报|引用
返回顶部 | 快捷回复

毛发上皮瘤

0
回复
signature
成功不是得到多少东西,而是把身上多余的东西的扔掉多少。   
回复:23 阅读:7459
共2页/23条首页上一页12下一页尾页
【免责声明】讨论内容仅作学术交流之用,不作为诊疗依据,由此而引起的法律问题作者及本站不承担任何责任。
快速回复
进入高级回复
您最多可输入10000个汉字,按 "Ctrl" + "Enter" 直接发送
搜索回复/乘电梯 ×
按内容
按会员
乘电梯
合作伙伴
友情链接