共2页/23条首页上一页12下一页尾页
回复:23 阅读:7458
眼角旁皮下肿物,不会了啊!!

dama0609 离线

帖子:613
粉蓝豆:1474
经验:708
注册时间:2008-09-08
加关注  |  发消息
楼主 发表于 2011-10-12 18:30|举报|关注(2)
浏览排序[ 顺序 逆序 楼主 支持 精彩 ]  快捷回复

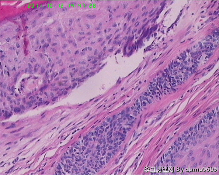
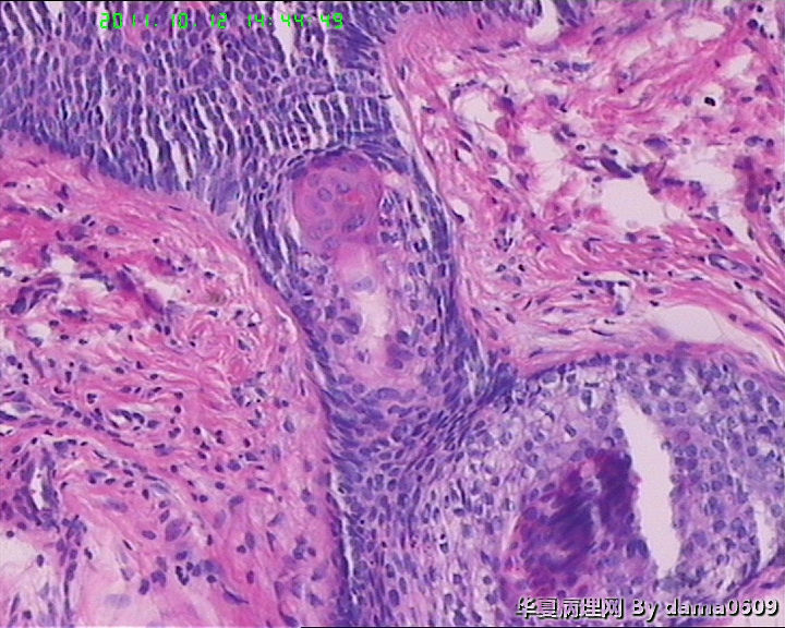
女,42岁,右眼外上方皮下肿物4年。

送检:椭圆形肿物,v:0.5x0.5x0.4cm,实性,灰白色,质软。

  • 眼角旁皮下肿物,不会了啊!!图1
    图1
  • 眼角旁皮下肿物,不会了啊!!图2
    图2
  • 眼角旁皮下肿物,不会了啊!!图3
    图3
  • 眼角旁皮下肿物,不会了啊!!图4
    图4
  • 眼角旁皮下肿物,不会了啊!!图5
    图5
  • 眼角旁皮下肿物,不会了啊!!图6
    图6
  • 眼角旁皮下肿物,不会了啊!!图7
    图7
  • 眼角旁皮下肿物,不会了啊!!图8
    图8
  • 眼角旁皮下肿物,不会了啊!!图9
    图9
  • 眼角旁皮下肿物,不会了啊!!图10
    图10
  • 眼角旁皮下肿物,不会了啊!!图11
    图11
  • 眼角旁皮下肿物,不会了啊!!图12
    图12
  • 眼角旁皮下肿物,不会了啊!!图13
    图13
  • 眼角旁皮下肿物,不会了啊!!图14
    图14
  • 眼角旁皮下肿物,不会了啊!!图15
    图15
  • 眼角旁皮下肿物,不会了啊!!图16
    图16
  • 眼角旁皮下肿物,不会了啊!!图17
    图17
  • 眼角旁皮下肿物,不会了啊!!图18
    图18
 
标签:皮下肿物
0
signature
过河小马!
×参考诊断
毛发腺瘤

xuesizeng 离线

帖子:1148
粉蓝豆:87
经验:1173
注册时间:2007-02-03
加关注  |  发消息
23 楼    发表于2011-12-14 11:06:38举报|引用
返回顶部 | 快捷回复

诊断考虑毛发腺瘤。病理改变中可见增生的肿瘤细胞团块介于毛发上皮瘤和毛囊瘤之间。可见毛囊漏斗部形成的角质囊肿改变,也可以钙化。

0
回复

一棵小草 离线

帖子:5101
粉蓝豆:12
经验:7184
注册时间:2008-07-07
加关注  |  发消息
22 楼    发表于2011-11-29 21:37:06举报|引用
返回顶部 | 快捷回复

还请版主点解。

0
回复

mnbvcxz9731 离线

帖子:25
粉蓝豆:0
经验:205
注册时间:2006-12-12
加关注  |  发消息
21 楼    发表于2011-10-29 14:44:10举报|引用
返回顶部 | 快捷回复

毛发上皮瘤

0
回复

华之夏 离线

帖子:354
粉蓝豆:39
经验:722
注册时间:2010-09-03
加关注  |  发消息
20 楼    发表于2011-10-29 11:50:07举报|引用
返回顶部 | 快捷回复
本帖最后由 华之夏 于 2011-10-29 11:52:16 编辑

 

镜下大部分都是毛囊结构,要考虑毛囊痣。


名称:图1
描述:演示文稿1.jpg.jpg
0
回复

panyl10055 离线

帖子:258
粉蓝豆:873
经验:1331
注册时间:2008-08-12
加关注  |  发消息
19 楼    发表于2011-10-28 21:32:37举报|引用
返回顶部 | 快捷回复

毛发上皮瘤

 

0
回复

安迪 离线

帖子:598
粉蓝豆:3525
经验:849
注册时间:2011-03-04
加关注  |  发消息
18 楼    发表于2011-10-28 21:09:50举报|引用
返回顶部 | 快捷回复

考虑毛发上皮瘤

0
回复

dama0609 离线

帖子:613
粉蓝豆:1474
经验:708
注册时间:2008-09-08
加关注  |  发消息
17 楼    发表于2011-10-28 20:57:04举报|引用
返回顶部 | 快捷回复

皮肤及附属器的肿瘤学生见得少,这一例发病部位和大体上符合“毛发上皮瘤”,但静下上好像要求由两层基底样细胞条索样排列和增生的间质构成,具体记不清了,也不知道对不对,我这例不见那样的典型结构啊!!

0
回复
signature
过河小马!

duhua 离线

帖子:1206
粉蓝豆:152
经验:1738
注册时间:2008-08-19
加关注  |  发消息
16 楼    发表于2011-10-28 19:51:47举报|引用
返回顶部 | 快捷回复

考虑毛发上皮瘤,最好来点低倍图

0
回复

新小兵 离线

帖子:460
粉蓝豆:42
经验:2177
注册时间:2010-12-30
加关注  |  发消息
15 楼    发表于2011-10-28 19:11:05举报|引用
返回顶部 | 快捷回复

毛发上皮瘤

0
回复

omega 离线

帖子:678
粉蓝豆:24
经验:1221
注册时间:2009-03-13
加关注  |  发消息
14 楼    发表于2011-10-28 18:59:59举报|引用
返回顶部 | 快捷回复

毛发上皮瘤

0
回复

nijs 离线

帖子:23
粉蓝豆:0
经验:471
注册时间:2009-07-19
加关注  |  发消息
13 楼    发表于2011-10-28 18:32:17举报|引用
返回顶部 | 快捷回复

外毛根鞘瘤

0
回复

200406 离线

帖子:1385
粉蓝豆:145
经验:2735
注册时间:2011-08-08
加关注  |  发消息
12 楼    发表于2011-10-28 15:58:19举报|引用
返回顶部 | 快捷回复

毛发上皮瘤

0
回复

weiguopfk 离线

帖子:605
粉蓝豆:66
经验:817
注册时间:2008-10-25
加关注  |  发消息
11 楼    发表于2011-10-28 14:04:56举报|引用
返回顶部 | 快捷回复

基底鳞癌

0
回复

lchxhy 离线

帖子:186
粉蓝豆:67
经验:602
注册时间:2009-08-27
加关注  |  发消息
10 楼    发表于2011-10-24 20:57:02举报|引用
返回顶部 | 快捷回复

考虑毛发上皮瘤!

0
回复

亡羊补牢 离线

帖子:1304
粉蓝豆:2
经验:2118
注册时间:2010-09-29
加关注  |  发消息
9 楼    发表于2011-10-24 13:50:05举报|引用
返回顶部 | 快捷回复

考虑毛发上皮瘤

0
回复
signature

一花一世界,一木一浮生

哲哲 离线

帖子:73
粉蓝豆:7
经验:166
注册时间:2010-03-21
加关注  |  发消息
8 楼    发表于2011-10-23 09:51:58举报|引用
返回顶部 | 快捷回复

毛鞘囊肿

0
回复

晚晚 离线

帖子:112
粉蓝豆:1
经验:242
注册时间:2009-11-27
加关注  |  发消息
7 楼    发表于2011-10-23 09:24:11举报|引用
返回顶部 | 快捷回复

毛鞘瘤。

0
回复

zhouquan 离线

帖子:7752
粉蓝豆:302
经验:8263
注册时间:2008-11-09
加关注  |  发消息
6 楼    发表于2011-10-23 06:43:54举报|引用
返回顶部 | 快捷回复

毛发上皮瘤

0
回复
signature
成功不是得到多少东西,而是把身上多余的东西的扔掉多少。   

杏林散客 离线

帖子:2097
粉蓝豆:87
经验:2406
注册时间:2008-05-18
加关注  |  发消息
5 楼    发表于2011-10-23 00:55:35举报|引用
返回顶部 | 快捷回复

考虑毛发上皮瘤!

1

蓝月
回复
signature
皮毛之事,方寸之间,大千世界!

伊恋佳人 离线

帖子:1258
粉蓝豆:505
经验:1714
注册时间:2010-03-13
加关注  |  发消息
4 楼    发表于2011-10-21 20:03:00举报|引用
返回顶部 | 快捷回复

考虑毛发上皮瘤

1

flj20092..
回复
回复:23 阅读:7458
共2页/23条首页上一页12下一页尾页
【免责声明】讨论内容仅作学术交流之用,不作为诊疗依据,由此而引起的法律问题作者及本站不承担任何责任。
快速回复
进入高级回复
您最多可输入10000个汉字,按 "Ctrl" + "Enter" 直接发送
搜索回复/乘电梯 ×
按内容
按会员
乘电梯
合作伙伴
友情链接