共1页/3条首页上一页1下一页尾页
回复:3 阅读:2219
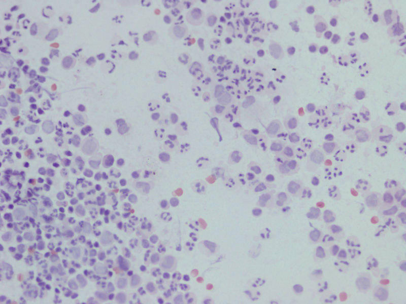
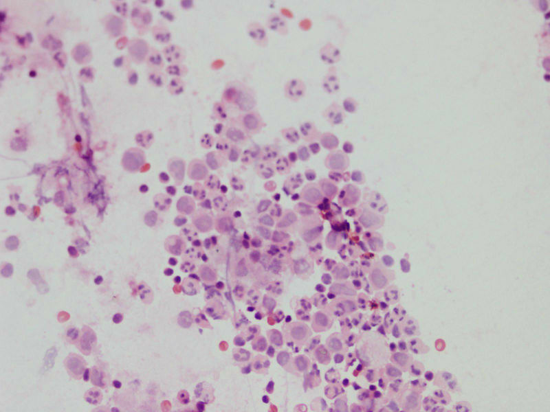
右肘关节穿刺液

futer456 离线

帖子:283
粉蓝豆:21
经验:632
注册时间:2007-10-18
加关注  |  发消息
楼主 发表于 2011-10-10 21:03|举报|关注(0)
浏览排序[ 顺序 逆序 楼主 支持 精彩 ]  快捷回复
  • 右肘关节穿刺液图1
    图1
  • 右肘关节穿刺液图2
    图2
  • 右肘关节穿刺液图3
    图3
  • 右肘关节穿刺液图4
    图4
  • 右肘关节穿刺液图5
    图5
  • 右肘关节穿刺液图6
    图6
  • 右肘关节穿刺液图7
    图7
  • 右肘关节穿刺液图8
    图8

 男18岁右肘关节反复疼痛1月
是什么细胞是滑膜细胞吗,谢谢

标签:
0
signature
永不放弃
添加参考诊断
×参考诊断
  

老油 离线

帖子:236
粉蓝豆:525
经验:247
注册时间:2010-11-16
加关注  |  发消息
1 楼    发表于2011-10-10 21:06:47举报|引用
返回顶部 | 快捷回复

 可能有些是滑膜细胞,有些是组织细胞,

将 穿刺液离心后做免疫组化标记看看就最好了、

0
回复

xb3263 离线

帖子:510
粉蓝豆:3
经验:605
注册时间:2009-01-05
加关注  |  发消息
2 楼    发表于2011-10-11 09:06:58举报|引用
返回顶部 | 快捷回复

炎症。

0
回复

jani 离线

帖子:1707
粉蓝豆:46
经验:1808
注册时间:2009-03-21
加关注  |  发消息
3 楼    发表于2011-10-11 21:51:12举报|引用
返回顶部 | 快捷回复

有中性粒细胞  组织细胞  符合慢性炎症

0
回复
signature
只有做你不会做的事 才能做会所有的事
回复:3 阅读:2219
共1页/3条首页上一页1下一页尾页
【免责声明】讨论内容仅作学术交流之用,不作为诊疗依据,由此而引起的法律问题作者及本站不承担任何责任。
快速回复
进入高级回复
您最多可输入10000个汉字,按 "Ctrl" + "Enter" 直接发送
搜索回复/乘电梯 ×
按内容
按会员
乘电梯
合作伙伴
友情链接