共2页/31条首页上一页12下一页尾页
回复:31 阅读:7384
29岁卵巢肿瘤

kdyd 离线

帖子:175
粉蓝豆:1423
经验:411
注册时间:2009-09-26
加关注  |  发消息
楼主 发表于 2011-10-10 18:47|举报|关注(0)
浏览排序[ 顺序 逆序 楼主 支持 精彩 ]  快捷回复

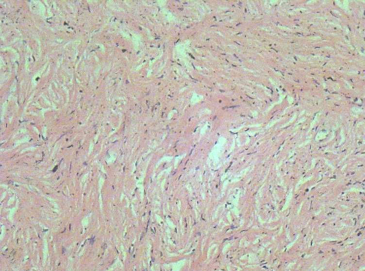
29 左侧卵巢肿瘤大小8*6*6质硬、输卵管外观正常。右附件外观正常

肉眼检查:(腹腔镜术)苍白色圆柱状物一堆约10*10*4CM质硬,未见囊肿及出血和坏死。取一
B超医生考虑:勃伦纳瘤 ?
本人考虑纤维瘤 ,请各位老师点评下。

  • 29岁卵巢肿瘤图1
    图1
  • 29岁卵巢肿瘤图2
    图2
  • 29岁卵巢肿瘤图3
    图3
  • 29岁卵巢肿瘤图4
    图4
  • 29岁卵巢肿瘤图5
    图5
标签:29岁卵巢肿瘤
0
添加参考诊断
×参考诊断
  

duhua 离线

帖子:1206
粉蓝豆:152
经验:1738
注册时间:2008-08-19
加关注  |  发消息
2 楼    发表于2011-10-10 19:16:40举报|引用
返回顶部 | 快捷回复

纤维瘤?

0
回复

学习bingli 离线

帖子:194
粉蓝豆:1
经验:276
注册时间:2011-04-04
加关注  |  发消息
3 楼    发表于2011-10-10 19:19:40举报|引用
返回顶部 | 快捷回复

考虑纤维瘤

0
回复

学习bingli 离线

帖子:194
粉蓝豆:1
经验:276
注册时间:2011-04-04
加关注  |  发消息
4 楼    发表于2011-10-10 19:20:47举报|引用
返回顶部 | 快捷回复

希望版主能积极赏积分,更有利于我们学习,谢谢

0
回复

kdyd 离线

帖子:175
粉蓝豆:1423
经验:411
注册时间:2009-09-26
加关注  |  发消息
5 楼    发表于2011-10-10 20:46:28举报|引用
返回顶部 | 快捷回复

 请老师们给点意见   谢了  

0
回复

白晓云 离线

帖子:300
粉蓝豆:2049
经验:1487
注册时间:2007-12-29
加关注  |  发消息
6 楼    发表于2011-10-10 21:08:03举报|引用
返回顶部 | 快捷回复

有胸腹水吗?纤维瘤可以合并的。

0
回复

kdyd 离线

帖子:175
粉蓝豆:1423
经验:411
注册时间:2009-09-26
加关注  |  发消息
7 楼    发表于2011-10-10 21:13:06举报|引用
返回顶部 | 快捷回复
没有临床病史  
0
回复

zhaoyan2006 离线

帖子:139
粉蓝豆:44
经验:301
注册时间:2009-02-23
加关注  |  发消息
8 楼    发表于2011-10-10 21:16:34举报|引用
返回顶部 | 快捷回复

纤维瘤

0
回复

天高任鸟飞99 离线

帖子:237
粉蓝豆:11
经验:243
注册时间:2009-06-07
加关注  |  发消息
9 楼    发表于2011-10-10 21:24:42举报|引用
返回顶部 | 快捷回复

支持纤维瘤

0
回复

向您学习 离线

帖子:918
粉蓝豆:379
经验:3872
注册时间:2006-10-25
加关注  |  发消息
10 楼    发表于2011-10-10 21:34:05举报|引用
返回顶部 | 快捷回复

卵泡膜细胞瘤

0
回复
signature
三人行,必有我师焉,择其善者而从之,择其不善者而改之。

益医 离线

帖子:242
粉蓝豆:1004
经验:682
注册时间:2009-11-15
加关注  |  发消息
11 楼    发表于2011-10-10 21:40:25举报|引用
返回顶部 | 快捷回复

良性梭形细胞肿瘤,待做特殊染色定纤维瘤或卵泡膜细胞瘤。

0
回复
signature
tangzhuirong

蝴蝶兰dali2003 离线

帖子:12459
粉蓝豆:2448
经验:13028
注册时间:2009-09-06
加关注  |  发消息
12 楼    发表于2011-10-10 22:34:35举报|引用
返回顶部 | 快捷回复

就这几张图而言,支持纤维瘤。你再找找看胞浆里面有没有脂质空泡,与卵泡膜细胞瘤鉴别。

0
回复
signature
相逢是首歌,同行是你和我。
回复:31 阅读:7384
共2页/31条首页上一页12下一页尾页
【免责声明】讨论内容仅作学术交流之用,不作为诊疗依据,由此而引起的法律问题作者及本站不承担任何责任。
快速回复
进入高级回复
您最多可输入10000个汉字,按 "Ctrl" + "Enter" 直接发送
搜索回复/乘电梯 ×
按内容
按会员
乘电梯
合作伙伴
友情链接