共2页/31条首页上一页12下一页尾页
回复:31 阅读:7525
29岁卵巢肿瘤

kdyd 离线

帖子:175
粉蓝豆:1423
经验:411
注册时间:2009-09-26
加关注  |  发消息
楼主 发表于 2011-10-10 18:47|举报|关注(0)
浏览排序[ 顺序 逆序 楼主 支持 精彩 ]  快捷回复

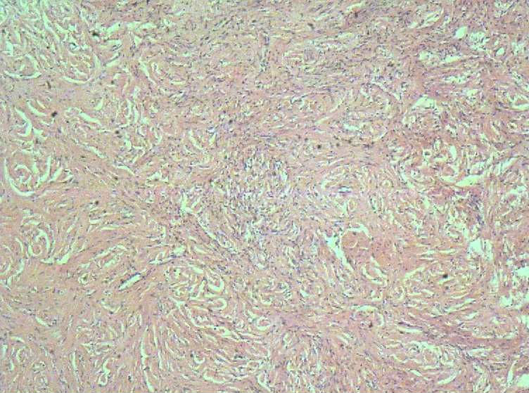
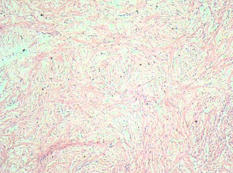
29 左侧卵巢肿瘤大小8*6*6质硬、输卵管外观正常。右附件外观正常

肉眼检查:(腹腔镜术)苍白色圆柱状物一堆约10*10*4CM质硬,未见囊肿及出血和坏死。取一
B超医生考虑:勃伦纳瘤 ?
本人考虑纤维瘤 ,请各位老师点评下。

  • 29岁卵巢肿瘤图1
    图1
  • 29岁卵巢肿瘤图2
    图2
  • 29岁卵巢肿瘤图3
    图3
  • 29岁卵巢肿瘤图4
    图4
  • 29岁卵巢肿瘤图5
    图5
标签:29岁卵巢肿瘤
0
添加参考诊断
×参考诊断
  

zhym 离线

帖子:153
粉蓝豆:27
经验:279
注册时间:2007-10-30
加关注  |  发消息
1 楼    发表于2011-10-10 19:01:47举报|引用
返回顶部 | 快捷回复

纤维瘤

5

cklas

我是丫丫

射手笑笑

珠江人家

zblzbl20..
回复

duhua 离线

帖子:1206
粉蓝豆:152
经验:1738
注册时间:2008-08-19
加关注  |  发消息
2 楼    发表于2011-10-10 19:16:40举报|引用
返回顶部 | 快捷回复

纤维瘤?

0
回复

学习bingli 离线

帖子:194
粉蓝豆:1
经验:276
注册时间:2011-04-04
加关注  |  发消息
3 楼    发表于2011-10-10 19:19:40举报|引用
返回顶部 | 快捷回复

考虑纤维瘤

0
回复

学习bingli 离线

帖子:194
粉蓝豆:1
经验:276
注册时间:2011-04-04
加关注  |  发消息
4 楼    发表于2011-10-10 19:20:47举报|引用
返回顶部 | 快捷回复

希望版主能积极赏积分,更有利于我们学习,谢谢

0
回复

kdyd 离线

帖子:175
粉蓝豆:1423
经验:411
注册时间:2009-09-26
加关注  |  发消息
5 楼    发表于2011-10-10 20:46:28举报|引用
返回顶部 | 快捷回复

 请老师们给点意见   谢了  

0
回复

白晓云 离线

帖子:300
粉蓝豆:2049
经验:1487
注册时间:2007-12-29
加关注  |  发消息
6 楼    发表于2011-10-10 21:08:03举报|引用
返回顶部 | 快捷回复

有胸腹水吗?纤维瘤可以合并的。

0
回复

kdyd 离线

帖子:175
粉蓝豆:1423
经验:411
注册时间:2009-09-26
加关注  |  发消息
7 楼    发表于2011-10-10 21:13:06举报|引用
返回顶部 | 快捷回复
没有临床病史  
0
回复

zhaoyan2006 离线

帖子:139
粉蓝豆:44
经验:301
注册时间:2009-02-23
加关注  |  发消息
8 楼    发表于2011-10-10 21:16:34举报|引用
返回顶部 | 快捷回复

纤维瘤

0
回复

天高任鸟飞99 离线

帖子:237
粉蓝豆:11
经验:243
注册时间:2009-06-07
加关注  |  发消息
9 楼    发表于2011-10-10 21:24:42举报|引用
返回顶部 | 快捷回复

支持纤维瘤

0
回复

向您学习 离线

帖子:918
粉蓝豆:379
经验:3872
注册时间:2006-10-25
加关注  |  发消息
10 楼    发表于2011-10-10 21:34:05举报|引用
返回顶部 | 快捷回复

卵泡膜细胞瘤

0
回复
signature
三人行,必有我师焉,择其善者而从之,择其不善者而改之。

益医 离线

帖子:242
粉蓝豆:1004
经验:682
注册时间:2009-11-15
加关注  |  发消息
11 楼    发表于2011-10-10 21:40:25举报|引用
返回顶部 | 快捷回复

良性梭形细胞肿瘤,待做特殊染色定纤维瘤或卵泡膜细胞瘤。

0
回复
signature
tangzhuirong

蝴蝶兰dali2003 离线

帖子:12511
粉蓝豆:2448
经验:13080
注册时间:2009-09-06
加关注  |  发消息
12 楼    发表于2011-10-10 22:34:35举报|引用
返回顶部 | 快捷回复

就这几张图而言,支持纤维瘤。你再找找看胞浆里面有没有脂质空泡,与卵泡膜细胞瘤鉴别。

0
回复
signature
相逢是首歌,同行是你和我。

zhenshijian 离线

帖子:1069
粉蓝豆:91
经验:1364
注册时间:2008-04-20
加关注  |  发消息
13 楼    发表于2011-10-10 22:42:50举报|引用
返回顶部 | 快捷回复
引用 2 楼 duhua 在 2011-10-10 19:16:40 的发言:

纤维瘤?


0
回复

kdyd 离线

帖子:175
粉蓝豆:1423
经验:411
注册时间:2009-09-26
加关注  |  发消息
14 楼    发表于2011-10-10 22:46:41举报|引用
返回顶部 | 快捷回复

 胞浆里面有没有脂质空泡,也没有看到上皮样细胞  都是些纤维组织
 

0
回复

kdyd 离线

帖子:175
粉蓝豆:1423
经验:411
注册时间:2009-09-26
加关注  |  发消息
15 楼    发表于2011-10-10 22:50:38举报|引用
返回顶部 | 快捷回复
引用 10 楼 向您学习 在 2011-10-10 21:34:05 的发言:

卵泡膜细胞瘤

没有看到卵泡膜细胞啊 是不是不用考虑 卵泡膜细胞瘤?  

0
回复

kdyd 离线

帖子:175
粉蓝豆:1423
经验:411
注册时间:2009-09-26
加关注  |  发消息
16 楼    发表于2011-10-10 22:53:56举报|引用
返回顶部 | 快捷回复

送检组织均匀一致,没有见到什么特别的地方  苍平质硬 (韧)没有粘液及小囊 未见出血、坏死

0
回复

精于本业 离线

帖子:131
粉蓝豆:147
经验:221
注册时间:2011-09-05
加关注  |  发消息
17 楼    发表于2011-10-10 23:03:22举报|引用
返回顶部 | 快捷回复

就这几张图的质量而言,不是太清楚,勉强给个纤维瘤的考虑,多取材与卵泡膜细胞瘤鉴别。

0
回复

kdyd 离线

帖子:175
粉蓝豆:1423
经验:411
注册时间:2009-09-26
加关注  |  发消息
18 楼    发表于2011-10-10 23:11:02举报|引用
返回顶部 | 快捷回复
引用 17 楼 精于本业 在 2011-10-10 23:03:22 的发言:

就这几张图的质量而言,不是太清楚,勉强给个纤维瘤的考虑,多取材与卵泡膜细胞瘤鉴别。

标本一致 我也切开看了 没有什么特别的 片子做的不好 摄像头的像素也不高  拍的不好  老师指导的是

0
回复

羽珩 离线

帖子:797
粉蓝豆:25
经验:1208
注册时间:2010-11-24
加关注  |  发消息
19 楼    发表于2011-10-10 23:15:56举报|引用
返回顶部 | 快捷回复
引用 4 楼 学习bingli 在 2011-10-10 19:20:47 的发言:

希望版主能积极赏积分,更有利于我们学习,谢谢


呵呵,打分有标准的,目的是希望大家可以多翻翻资料,多提些诊断与鉴别诊断,举一反三,这样交流起来也更有实际意义~

其实目的还是想让大家更好的学习~

 

 

0
回复
signature

炎相羽珹

kdyd 离线

帖子:175
粉蓝豆:1423
经验:411
注册时间:2009-09-26
加关注  |  发消息
20 楼    发表于2011-10-10 23:22:08举报|引用
返回顶部 | 快捷回复
引用 19 楼 羽珩 在 2011-10-10 23:15:56 的发言:
引用 4 楼 学习bingli 在 2011-10-10 19:20:47 的发言:

希望版主能积极赏积分,更有利于我们学习,谢谢


呵呵,打分有标准的,目的是希望大家可以多翻翻资料,多提些诊断与鉴别诊断,举一反三,这样交流起来也更有实际意义~

其实目的还是想让大家更好的学习~

 

 


0
回复
回复:31 阅读:7525
共2页/31条首页上一页12下一页尾页
【免责声明】讨论内容仅作学术交流之用,不作为诊疗依据,由此而引起的法律问题作者及本站不承担任何责任。
快速回复
进入高级回复
您最多可输入10000个汉字,按 "Ctrl" + "Enter" 直接发送
搜索回复/乘电梯 ×
按内容
按会员
乘电梯
合作伙伴
友情链接