共1页/10条首页上一页1下一页尾页
回复:10 阅读:2912
宫颈液基,33岁,

apple89 离线

帖子:452
粉蓝豆:862
经验:1633
注册时间:2007-07-01
加关注  |  发消息
楼主 发表于 2011-10-08 19:10|举报|关注(1)
浏览排序[ 顺序 逆序 楼主 支持 精彩 ]  快捷回复

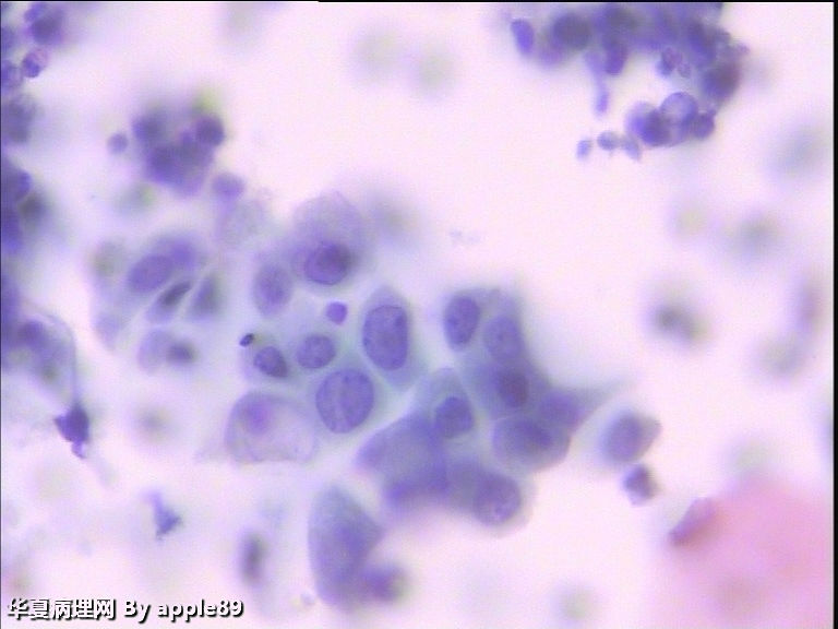
 女,33岁,B超示内膜厚9mm,HPV(-)。大家看看,是腺的问题还是鳞的问题。3112

  • 宫颈液基,33岁,图1
    图1
  • 宫颈液基,33岁,图2
    图2
  • 宫颈液基,33岁,图3
    图3
  • 宫颈液基,33岁,图4
    图4
  • 宫颈液基,33岁,图5
    图5
  • 宫颈液基,33岁,图6
    图6
  • 宫颈液基,33岁,图7
    图7
  • 宫颈液基,33岁,图8
    图8
标签:
本帖最后由 apple89 于 2011-10-08 19:22:55 编辑
0
signature

2023心想事成!

添加参考诊断
×参考诊断
  

chenyou 离线

帖子:82
粉蓝豆:148
经验:1238
注册时间:2007-05-03
加关注  |  发消息
10 楼    发表于2011-10-14 11:11:53举报|引用
返回顶部 | 快捷回复
腺细胞,部分为化生细胞
1

200406
回复

dongguoyou 离线

帖子:253
粉蓝豆:9
经验:4133
注册时间:2007-11-04
加关注  |  发消息
9 楼    发表于2011-10-14 10:42:08举报|引用
返回顶部 | 快捷回复

NILM

0
回复

乌之语 离线

帖子:268
粉蓝豆:473
经验:290
注册时间:2011-08-04
加关注  |  发消息
8 楼    发表于2011-10-13 21:37:49举报|引用
返回顶部 | 快捷回复

像是腺上皮的化生,核虽然有点大,但看着炎症挺重的。

0
回复

新手007 离线

帖子:612
粉蓝豆:5
经验:787
注册时间:2010-08-17
加关注  |  发消息
7 楼    发表于2011-10-13 17:05:26举报|引用
返回顶部 | 快捷回复

6图右上角,7图左上角那两团小簇状小细胞是什么细胞?看不清。

0
回复

huhuu 离线

帖子:193
粉蓝豆:41
经验:1459
注册时间:2011-08-25
加关注  |  发消息
6 楼    发表于2011-10-12 22:22:26举报|引用
返回顶部 | 快捷回复

没看出什么问题 抱歉

0
回复

流水 离线

帖子:1105
粉蓝豆:46
经验:3110
注册时间:2008-11-11
加关注  |  发消息
5 楼    发表于2011-10-12 09:29:08举报|引用
返回顶部 | 快捷回复

图6像化生细胞,腺细胞呈柱状应是宫颈管上皮!

1

青儿丫头
回复

xiaogang 离线

帖子:5664
粉蓝豆:48
经验:6068
注册时间:2008-12-18
加关注  |  发消息
4 楼    发表于2011-10-12 08:20:20举报|引用
返回顶部 | 快捷回复

是腺上皮

0
回复

apple89 离线

帖子:452
粉蓝豆:862
经验:1633
注册时间:2007-07-01
加关注  |  发消息
3 楼    发表于2011-10-08 19:24:16举报|引用
返回顶部 | 快捷回复
引用 2 楼 zhenshijian 在 2011-10-08 19:21:25 的发言:

是9cm厚吗?考虑AGC建议诊刮

sorry,打错了。是9mm,偶改过来了

0
回复
signature

2023心想事成!

zhenshijian 离线

帖子:1069
粉蓝豆:91
经验:1364
注册时间:2008-04-20
加关注  |  发消息
2 楼    发表于2011-10-08 19:21:25举报|引用
返回顶部 | 快捷回复

是9cm厚吗?考虑AGC建议诊刮

0
回复

apple89 离线

帖子:452
粉蓝豆:862
经验:1633
注册时间:2007-07-01
加关注  |  发消息
1 楼    发表于2011-10-08 19:13:10举报|引用
返回顶部 | 快捷回复

 图采得有点少哦,大家多多包涵哦。

0
回复
signature

2023心想事成!

回复:10 阅读:2912
共1页/10条首页上一页1下一页尾页
【免责声明】讨论内容仅作学术交流之用,不作为诊疗依据,由此而引起的法律问题作者及本站不承担任何责任。
快速回复
进入高级回复
您最多可输入10000个汉字,按 "Ctrl" + "Enter" 直接发送
搜索回复/乘电梯 ×
按内容
按会员
乘电梯
合作伙伴
友情链接