共1页/13条首页上一页1下一页尾页
回复:13 阅读:3004
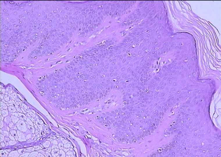
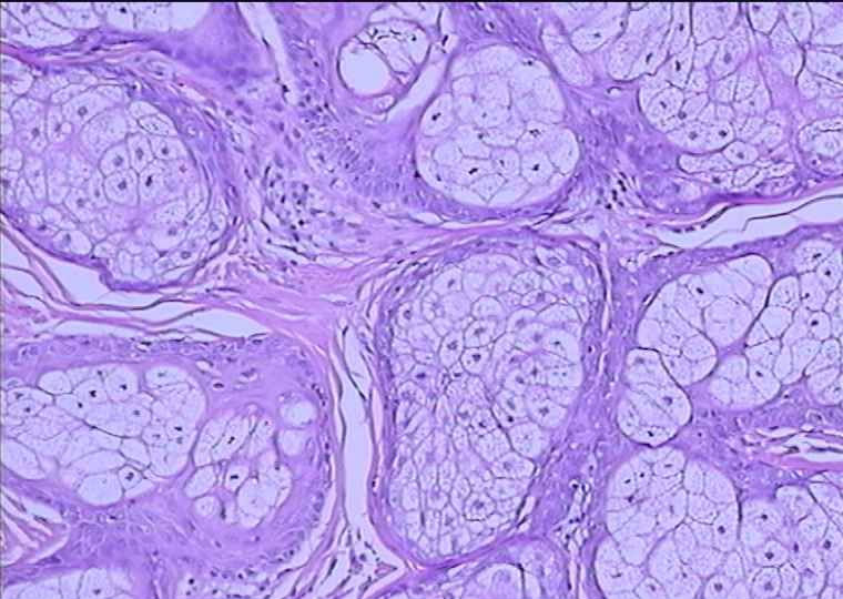
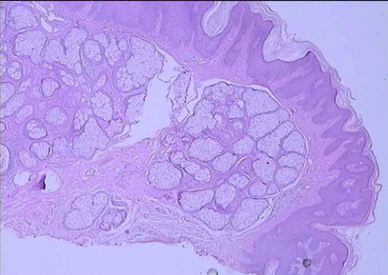
男 48岁 ,头部肿块48年(出生有),1CMX1CM,

蚊子 离线

帖子:207
粉蓝豆:630
经验:946
注册时间:2007-08-08
加关注  |  发消息
楼主 发表于 2011-10-07 17:20|举报|关注(0)
浏览排序[ 顺序 逆序 楼主 支持 精彩 ]  快捷回复
  • 男    48岁 ,头部肿块48年(出生有),1CMX1CM,图1
    图1
  • 男    48岁 ,头部肿块48年(出生有),1CMX1CM,图2
    图2
  • 男    48岁 ,头部肿块48年(出生有),1CMX1CM,图3
    图3
  • 男    48岁 ,头部肿块48年(出生有),1CMX1CM,图4
    图4
  • 男    48岁 ,头部肿块48年(出生有),1CMX1CM,图5
    图5
  • 男    48岁 ,头部肿块48年(出生有),1CMX1CM,图6
    图6

  • 男    48岁 ,头部肿块48年(出生有),1CMX1CM,图7
    图1,
  • 男    48岁 ,头部肿块48年(出生有),1CMX1CM,图8
    图2,
  • 男    48岁 ,头部肿块48年(出生有),1CMX1CM,图9
    图3,
  • 男    48岁 ,头部肿块48年(出生有),1CMX1CM,图10
    图4,
  • 男    48岁 ,头部肿块48年(出生有),1CMX1CM,图11
    图5,
  • 男    48岁 ,头部肿块48年(出生有),1CMX1CM,图12
    图6,

 

标签:
本帖最后由 蚊子 于 2011-10-07 18:20:03 编辑
0
signature
每天学习一点,每天进步一点,
×参考诊断
皮脂腺痣

蚊子 离线

帖子:207
粉蓝豆:630
经验:946
注册时间:2007-08-08
加关注  |  发消息
1 楼    发表于2011-10-07 18:03:44举报|引用
返回顶部 | 快捷回复

 请问老师,如何传图?

0
回复
signature
每天学习一点,每天进步一点,

脚踩两边船 离线

帖子:60
粉蓝豆:3
经验:75
注册时间:2010-12-11
加关注  |  发消息
2 楼    发表于2011-10-07 18:27:08举报|引用
返回顶部 | 快捷回复

先天性皮脂腺瘤

0
回复

一棵小草 离线

帖子:5101
粉蓝豆:12
经验:7184
注册时间:2008-07-07
加关注  |  发消息
3 楼    发表于2011-10-07 19:40:27举报|引用
返回顶部 | 快捷回复

还是比较像皮脂腺痣。

1

Danrs
回复

brz0001 离线

帖子:3035
粉蓝豆:97
经验:3058
注册时间:2008-05-05
加关注  |  发消息
4 楼    发表于2011-10-07 19:57:39举报|引用
返回顶部 | 快捷回复

皮脂腺痣

0
回复

zhouquan 离线

帖子:7752
粉蓝豆:302
经验:8263
注册时间:2008-11-09
加关注  |  发消息
5 楼    发表于2011-10-07 23:32:58举报|引用
返回顶部 | 快捷回复

出生就有故本例诊断皮脂腺痣

0
回复
signature
成功不是得到多少东西,而是把身上多余的东西的扔掉多少。   

cissy 离线

帖子:250
粉蓝豆:14
经验:322
注册时间:2010-12-19
加关注  |  发消息
6 楼    发表于2011-10-08 19:31:52举报|引用
返回顶部 | 快捷回复

皮脂腺痣,不成熟的皮脂腺

 

0
回复

杏林散客 离线

帖子:2097
粉蓝豆:87
经验:2406
注册时间:2008-05-18
加关注  |  发消息
7 楼    发表于2011-10-08 23:00:50举报|引用
返回顶部 | 快捷回复

典型皮脂腺痣!

0
回复
signature
皮毛之事,方寸之间,大千世界!

3673566 离线

帖子:1879
粉蓝豆:74
经验:3305
注册时间:2006-10-29
加关注  |  发消息
8 楼    发表于2011-10-08 23:45:35举报|引用
返回顶部 | 快捷回复

皮脂腺痣

0
回复

hu8afu 离线

帖子:1177
粉蓝豆:35
经验:1230
注册时间:2009-02-11
加关注  |  发消息
9 楼    发表于2011-10-18 22:10:53举报|引用
返回顶部 | 快捷回复

皮脂腺痣

0
回复

未知陨石 离线

帖子:479
粉蓝豆:13
经验:559
注册时间:2010-09-11
加关注  |  发消息
10 楼    发表于2011-11-11 23:38:49举报|引用
返回顶部 | 快捷回复

 皮脂腺瘤

0
回复
signature

ziranse 离线

帖子:165
粉蓝豆:31
经验:182
注册时间:2010-12-22
加关注  |  发消息
11 楼    发表于2011-11-12 08:40:56举报|引用
返回顶部 | 快捷回复

  皮脂腺痣

0
回复

JX16 离线

帖子:1079
粉蓝豆:5
经验:3225
注册时间:2008-10-27
加关注  |  发消息
12 楼    发表于2014-01-21 23:06:40举报|引用
返回顶部 | 快捷回复

表皮呈疣状增生,真皮内见到大量近乎成熟的皮脂腺

0
回复
signature
jx16

taoqunxing 离线

帖子:64
粉蓝豆:20
经验:134
注册时间:2007-10-26
加关注  |  发消息
13 楼    发表于2014-01-21 23:30:43举报|引用
返回顶部 | 快捷回复

 皮脂腺痣,表皮有增生

0
回复
signature
好好学习,天天向上
回复:13 阅读:3004
共1页/13条首页上一页1下一页尾页
【免责声明】讨论内容仅作学术交流之用,不作为诊疗依据,由此而引起的法律问题作者及本站不承担任何责任。
快速回复
进入高级回复
您最多可输入10000个汉字,按 "Ctrl" + "Enter" 直接发送
搜索回复/乘电梯 ×
按内容
按会员
乘电梯
合作伙伴
友情链接