共1页/4条首页上一页1下一页尾页
回复:4 阅读:2696
右膝肿块

王三 离线

帖子:14
粉蓝豆:2
经验:25
注册时间:2011-09-29
加关注  |  发消息
楼主 发表于 2011-09-29 17:53|举报|关注(0)
浏览排序[ 顺序 逆序 楼主 支持 精彩 ]  快捷回复

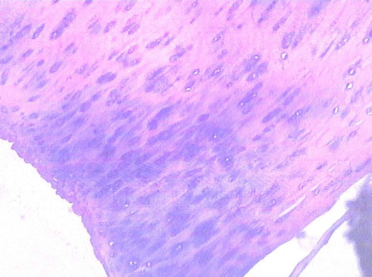
 男,48岁,肿块直径1.5CM。

  • 右膝肿块图1
    图1
  • 右膝肿块图2
    图2
  • 右膝肿块图3
    图3
  • 右膝肿块图4
    图4
  • 右膝肿块图5
    图5
  • 右膝肿块图6
    图6
  • 右膝肿块图7
    图7
  • 右膝肿块图8
    图8

标签:右膝肿块
0
×参考诊断
请会诊

hu8afu 离线

帖子:1177
粉蓝豆:35
经验:1230
注册时间:2009-02-11
加关注  |  发消息
4 楼    发表于2011-10-18 22:26:20举报|引用
返回顶部 | 快捷回复

不足诊断恶性

0
回复

诺贝儿 离线

帖子:1045
粉蓝豆:0
经验:1856
注册时间:2007-10-12
加关注  |  发消息
3 楼    发表于2011-10-09 14:06:09举报|引用
返回顶部 | 快捷回复

请传X线片及详细的临床资料。这些图像不足以诊断恶性。

0
回复
signature
人如其名

zhouquan 离线

帖子:7752
粉蓝豆:302
经验:8263
注册时间:2008-11-09
加关注  |  发消息
2 楼    发表于2011-09-29 18:27:22举报|引用
返回顶部 | 快捷回复

肿块位于何处,就楼主所给图片无分叶状结构,无粘液样基质,无双核软骨细胞无核异型,不符合软骨肉瘤,应该是个良性病变。

0
回复
signature
成功不是得到多少东西,而是把身上多余的东西的扔掉多少。   

王三 离线

帖子:14
粉蓝豆:2
经验:25
注册时间:2011-09-29
加关注  |  发消息
1 楼    发表于2011-09-29 17:54:40举报|引用
返回顶部 | 快捷回复

 高疑软骨肉瘤,请同行会诊。

0
回复
回复:4 阅读:2696
共1页/4条首页上一页1下一页尾页
【免责声明】讨论内容仅作学术交流之用,不作为诊疗依据,由此而引起的法律问题作者及本站不承担任何责任。
快速回复
进入高级回复
您最多可输入10000个汉字,按 "Ctrl" + "Enter" 直接发送
搜索回复/乘电梯 ×
按内容
按会员
乘电梯
合作伙伴
友情链接