| 图片: | |
|---|---|
| 名称: | |
| 描述: | |
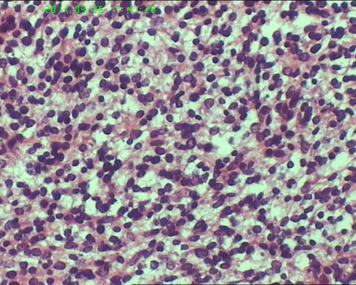
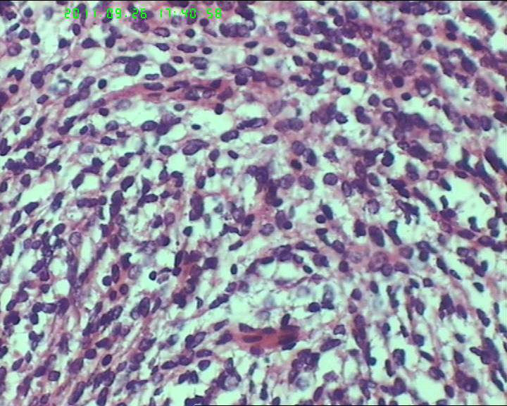
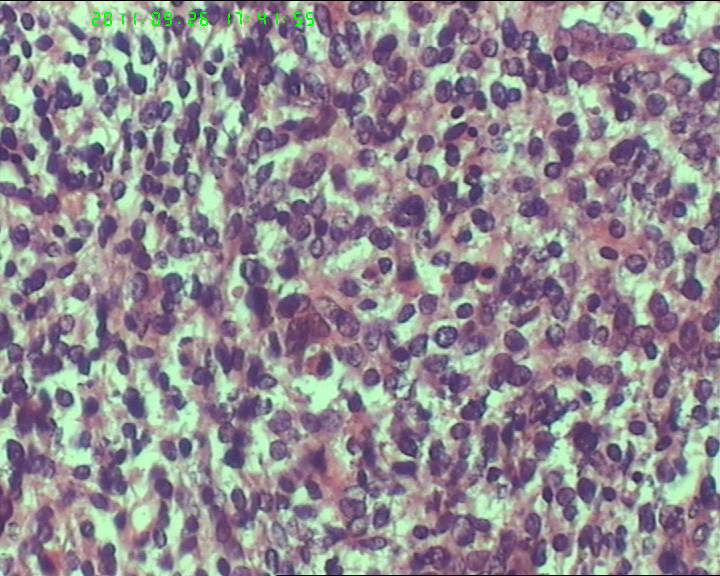
包块与大网膜粘连,根部附着于肠系膜,脾曲处有较多积血块 但无活动性出血,肠系膜上有较多粟粒样结节,白色质韧。与子宫 输卵管 卵巢没有关系.
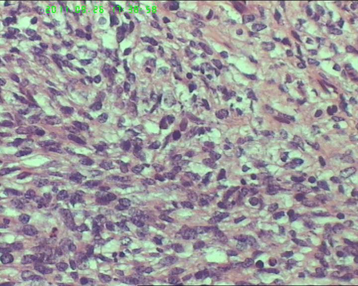
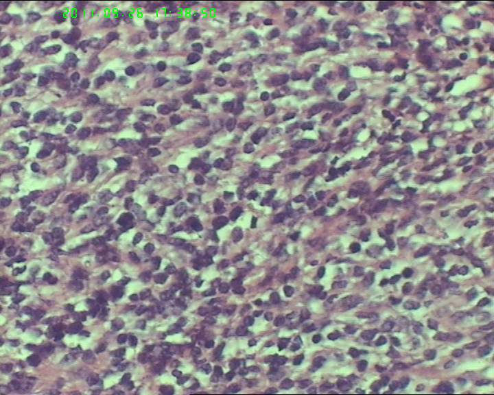
灰白不整形肿物一个,大小18*15*9cm,表面结节状,包膜完整,切面灰白,中央可见坏死区,质软,范围5*4cm。其余切面多彩 部分半透明状 质中。
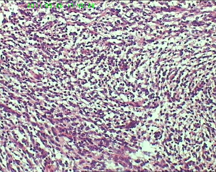
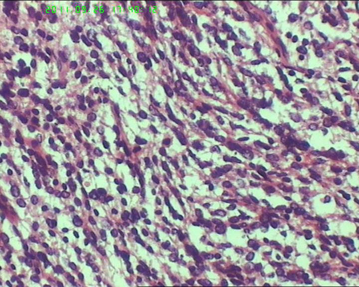
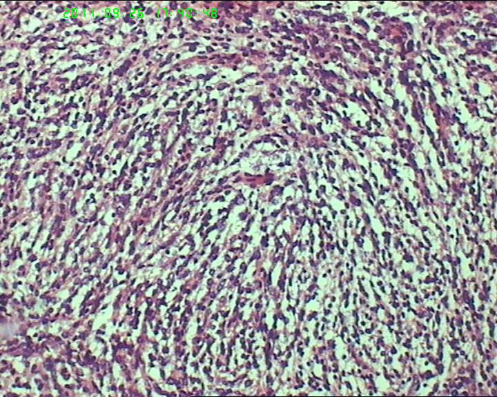
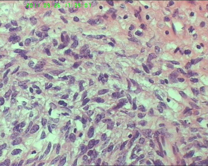
鉴别诊断排排队:1、GIST,2、MPNST,3、去分化脂肪肉瘤,4、恶性间皮瘤,5、恶性SFT,6、平肉
主要考虑前二者。CD34,CD117,S-100,BCL-2,SMA, D2-40,CR, VIM. 结果如何?请楼主揭谜底吧。
