共1页/10条首页上一页1下一页尾页
回复:10 阅读:2553
21岁女性左侧颌下淋巴结,该诊断什么?

samool 离线

帖子:250
粉蓝豆:11
经验:389
注册时间:2006-11-29
加关注  |  发消息
楼主 发表于 2011-09-26 17:53|举报|关注(0)
浏览排序[ 顺序 逆序 楼主 支持 精彩 ]  快捷回复

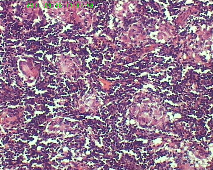
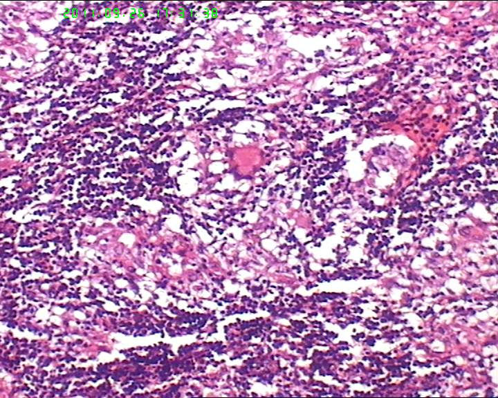
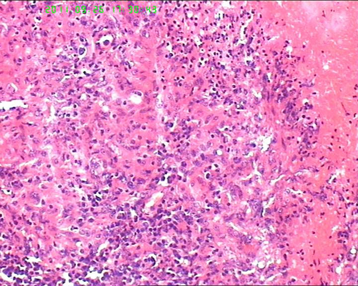
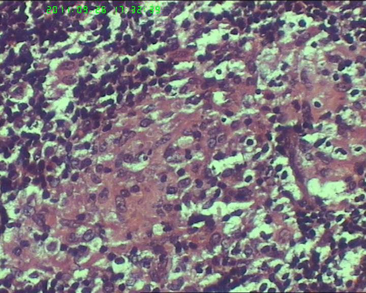
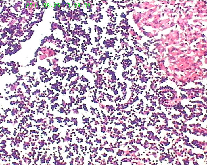
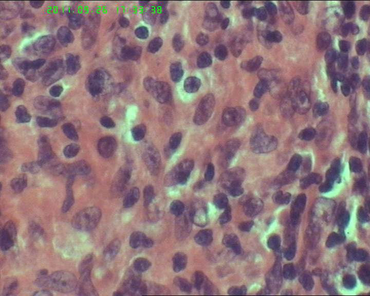
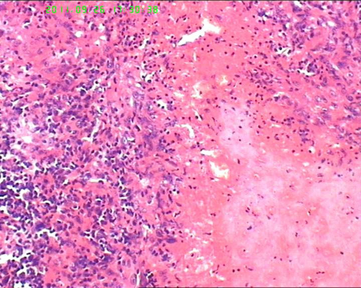
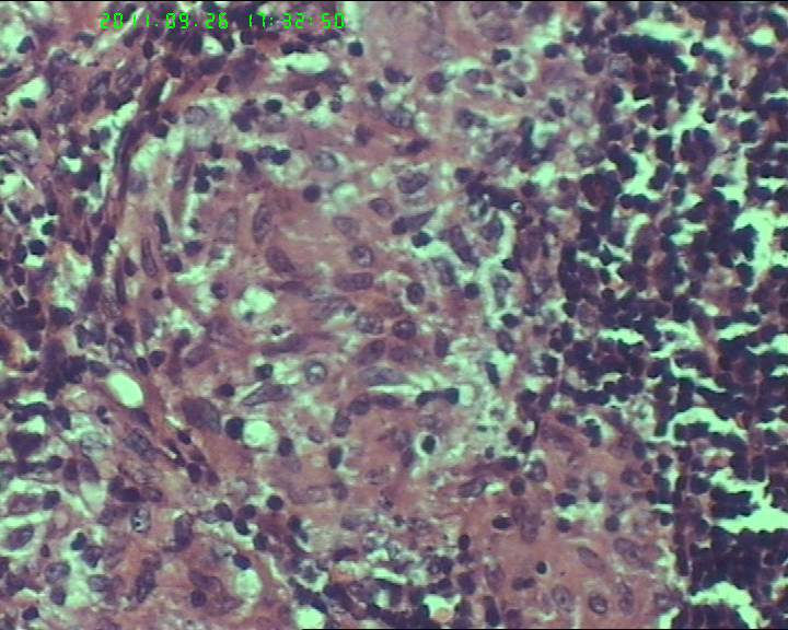
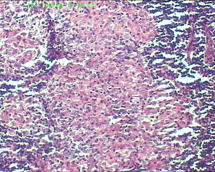
 灰白不整形肿物一个,大小3.5*2.5*2cm,包膜完整。

21岁女性左侧颌下淋巴结,该诊断什么?图1
名称:图1
描述:20110926-1.jpg.jpg
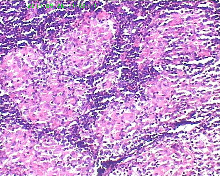
21岁女性左侧颌下淋巴结,该诊断什么?图2
名称:图2
描述:20110926-2.jpg.jpg
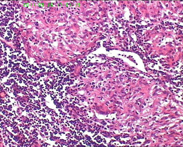
21岁女性左侧颌下淋巴结,该诊断什么?图3
名称:图3
描述:20110926-3.jpg.jpg
21岁女性左侧颌下淋巴结,该诊断什么?图4
名称:图4
描述:20110926-4.jpg.jpg
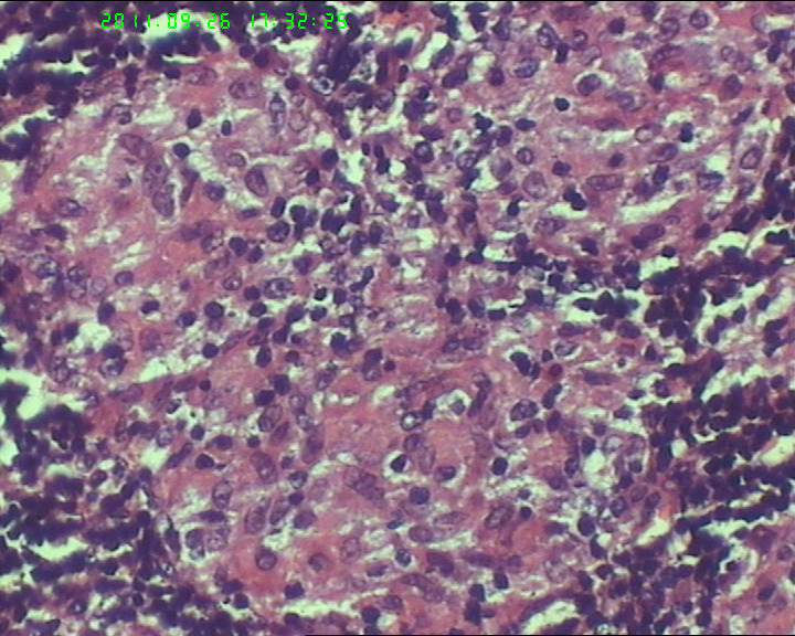
21岁女性左侧颌下淋巴结,该诊断什么?图5
名称:图5
描述:20110926-5.jpg.jpg
21岁女性左侧颌下淋巴结,该诊断什么?图6
名称:图6
描述:20110926-6.jpg.jpg
21岁女性左侧颌下淋巴结,该诊断什么?图7
名称:图7
描述:20110926-7.jpg.jpg
21岁女性左侧颌下淋巴结,该诊断什么?图8
名称:图8
描述:20110926-8.jpg.jpg
21岁女性左侧颌下淋巴结,该诊断什么?图9
名称:图9
描述:20110926-9.jpg.jpg
21岁女性左侧颌下淋巴结,该诊断什么?图10
名称:图10
描述:20110926-10.jpg.jpg
21岁女性左侧颌下淋巴结,该诊断什么?图11
名称:图11
描述:20110926-11.jpg.jpg
21岁女性左侧颌下淋巴结,该诊断什么?图12
名称:图12
描述:20110926-14.jpg.jpg
21岁女性左侧颌下淋巴结,该诊断什么?图13
名称:图13
描述:20110926-15.jpg.jpg
21岁女性左侧颌下淋巴结,该诊断什么?图14
名称:图14
描述:20110926-16.jpg.jpg
21岁女性左侧颌下淋巴结,该诊断什么?图15
名称:图15
描述:20110926-17.jpg.jpg
21岁女性左侧颌下淋巴结,该诊断什么?图16
名称:图16
描述:20110926-18.jpg.jpg
21岁女性左侧颌下淋巴结,该诊断什么?图17
名称:图17
描述:20110926-19.jpg.jpg
21岁女性左侧颌下淋巴结,该诊断什么?图18
名称:图18
描述:20110926-20.jpg.jpg
21岁女性左侧颌下淋巴结,该诊断什么?图19
名称:图19
描述:20110926-21.jpg.jpg
21岁女性左侧颌下淋巴结,该诊断什么?图20
名称:图20
描述:20110926-22.jpg.jpg
标签:
0
添加参考诊断
×参考诊断
  

zhouquan 离线

帖子:7752
粉蓝豆:302
经验:8263
注册时间:2008-11-09
加关注  |  发消息
1 楼    发表于2011-09-26 19:00:02举报|引用
返回顶部 | 快捷回复

慢性肉芽肿性炎症,形态学倾向结节病,但是作为病理工作者对于这样的病例,再结合咋们国情,还是建议临床除外增殖性结核后再考虑结节病。

2

射手笑笑

200406
回复
signature
成功不是得到多少东西,而是把身上多余的东西的扔掉多少。   

zhouquan 离线

帖子:7752
粉蓝豆:302
经验:8263
注册时间:2008-11-09
加关注  |  发消息
2 楼    发表于2011-09-26 19:00:50举报|引用
返回顶部 | 快捷回复

毕竟咋们是结核大国,嘿嘿

0
回复
signature
成功不是得到多少东西,而是把身上多余的东西的扔掉多少。   

薄冰之旅 离线

帖子:1566
粉蓝豆:2098
经验:3456
注册时间:2006-11-05
加关注  |  发消息
3 楼    发表于2011-09-26 21:11:14举报|引用
返回顶部 | 快捷回复

肉芽肿性炎症,倾向结节病。

最好做做抗酸染色、网状纤维染色和PAS后看看再定。

1

大海一栗
回复

swallowandstone 离线

帖子:143
粉蓝豆:25
经验:212
注册时间:2011-05-15
加关注  |  发消息
4 楼    发表于2011-09-26 21:43:41举报|引用
返回顶部 | 快捷回复

最好做个结核DNA

0
回复
signature
努力把每一张片子看好

刀尖上的舞者 离线

帖子:1763
粉蓝豆:87
经验:3356
注册时间:2010-12-14
加关注  |  发消息
5 楼    发表于2011-09-27 20:01:39举报|引用
返回顶部 | 快捷回复

肉芽肿性炎,考虑结核不除外结节病

0
回复

xf5123 离线

帖子:140
粉蓝豆:9
经验:570
注册时间:2006-12-05
加关注  |  发消息
6 楼    发表于2011-09-29 19:59:11举报|引用
返回顶部 | 快捷回复

肉芽肿性炎,考虑结核不除外结节病

0
回复

hanbing 离线

帖子:655
粉蓝豆:55
经验:6018
注册时间:2008-04-05
加关注  |  发消息
7 楼    发表于2011-09-29 23:22:16举报|引用
返回顶部 | 快捷回复

首选结节病

0
回复

静静鱼 离线

帖子:91
粉蓝豆:3
经验:404
注册时间:2008-06-26
加关注  |  发消息
8 楼    发表于2011-10-01 10:16:22举报|引用
返回顶部 | 快捷回复

肉芽肿性炎,考虑结核

0
回复

xingyunliushui 离线

帖子:991
粉蓝豆:3
经验:1922
注册时间:2010-12-06
加关注  |  发消息
9 楼    发表于2011-11-06 21:41:12举报|引用
返回顶部 | 快捷回复

肉芽肿性炎,考虑结核

0
回复

病理020 离线

帖子:1344
粉蓝豆:5580
经验:1814
注册时间:2011-10-02
加关注  |  发消息
10 楼    发表于2011-11-21 17:07:41举报|引用
返回顶部 | 快捷回复

从病原学找根据,找不到根据就要考虑结节病了。

0
回复
signature
邓学田
回复:10 阅读:2553
共1页/10条首页上一页1下一页尾页
【免责声明】讨论内容仅作学术交流之用,不作为诊疗依据,由此而引起的法律问题作者及本站不承担任何责任。
快速回复
进入高级回复
您最多可输入10000个汉字,按 "Ctrl" + "Enter" 直接发送
搜索回复/乘电梯 ×
按内容
按会员
乘电梯
合作伙伴
友情链接