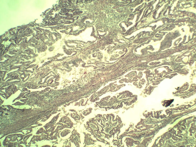
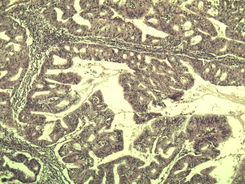
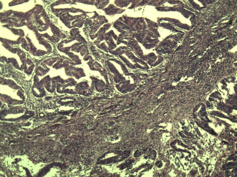
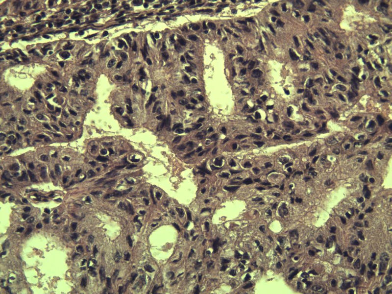
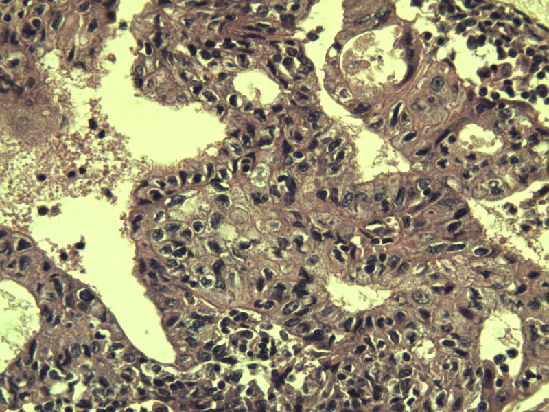
女,57岁,全切子宫一个,宫体体积 9 × 8 × 7 cm3,肌壁厚 2.5 cm,内膜菲薄,部分区域增厚达 0.4 cm(约3*2.5cm区域)。 请问各位老师 这个可以诊断子宫内膜癌了吧? 深肌层没有看到浸润。
患者因"发现下腹部包块1月多"入院 宫体体积 9 × 8 × 7 cm3,肌壁厚 2.5 cm,内膜菲薄,部分区域厚 0.4 cm(约3*2.5cm)。宫颈结构不清,长约 2.5 cm,表面欠光滑。临床诊断宫颈宫腔积液.

名称:图1
描述:a144.Jpg.jpg

名称:图2
描述:a145.Jpg.jpg

名称:图3
描述:a146.Jpg.jpg

名称:图4
描述:a147.Jpg.jpg

名称:图5
描述:a148.Jpg.jpg

名称:图6
描述:a149.Jpg.jpg

名称:图7
描述:a150.Jpg.jpg

名称:图8
描述:a151.Jpg.jpg

名称:图9
描述:a152.Jpg.jpg

名称:图10
描述:a153.Jpg.jpg

名称:图11
描述:a154.Jpg.jpg

名称:图12 正常区域的子宫内膜
描述:a155正常区域的子宫内膜.Jpg.jpg

名称:图13
描述:a156.Jpg.jpg

名称:图14
描述:a157.Jpg.jpg

名称:图15
描述:a158.Jpg.jpg

名称:图16
描述:a159.Jpg.jpg

名称:图17
描述:a160.Jpg.jpg

名称:图18
描述:a161.Jpg.jpg

名称:图19
描述:a162.Jpg.jpg
女,57岁,全切子宫一个,宫体体积 9 × 8 × 7 cm3,肌壁厚 2.5 cm,内膜菲薄,部分区域增厚达 0.4 cm(约3*2.5cm区域)。 请问各位老师 这个可以诊断子宫内膜癌了吧? 深肌层没有看到浸润。
患者因"发现下腹部包块1月多"入院 宫体体积 9 × 8 × 7 cm3,肌壁厚 2.5 cm,内膜菲薄,部分区域厚 0.4 cm(约3*2.5cm)。宫颈结构不清,长约 2.5 cm,表面欠光滑。临床诊断宫颈宫腔积液.

名称:图1
描述:a144.Jpg.jpg

名称:图2
描述:a145.Jpg.jpg

名称:图3
描述:a146.Jpg.jpg

名称:图4
描述:a147.Jpg.jpg

名称:图5
描述:a148.Jpg.jpg

名称:图6
描述:a149.Jpg.jpg

名称:图7
描述:a150.Jpg.jpg

名称:图8
描述:a151.Jpg.jpg

名称:图9
描述:a152.Jpg.jpg

名称:图10
描述:a153.Jpg.jpg

名称:图11
描述:a154.Jpg.jpg

名称:图12 正常区域的子宫内膜
描述:a155正常区域的子宫内膜.Jpg.jpg

名称:图13
描述:a156.Jpg.jpg

名称:图14
描述:a157.Jpg.jpg

名称:图15
描述:a158.Jpg.jpg

名称:图16
描述:a159.Jpg.jpg

名称:图17
描述:a160.Jpg.jpg

名称:图18
描述:a161.Jpg.jpg

名称:图19
描述:a162.Jpg.jpg