共1页/6条首页上一页1下一页尾页
回复:6 阅读:2184
宫颈宫腔积液 内膜癌?

yy369yy 离线

帖子:321
粉蓝豆:27
经验:1131
注册时间:2009-12-18
加关注  |  发消息
楼主 发表于 2011-09-26 17:42|举报|关注(0)
浏览排序[ 顺序 逆序 楼主 支持 精彩 ]  快捷回复

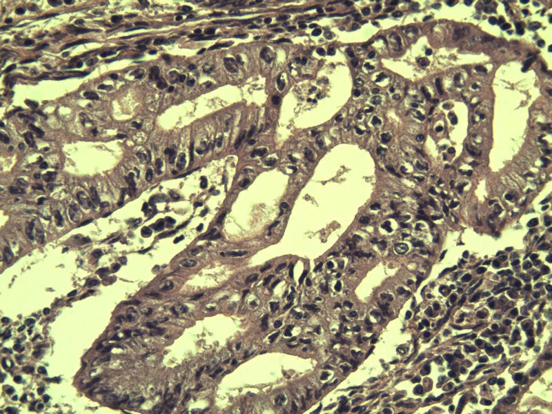
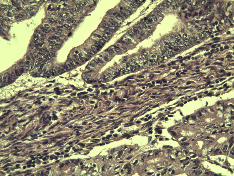
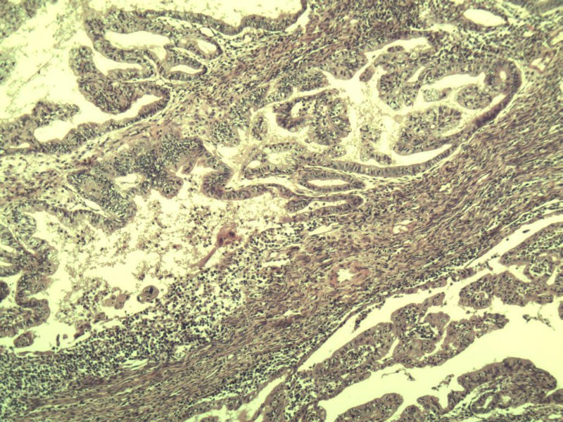
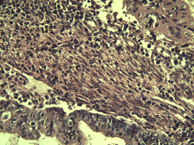
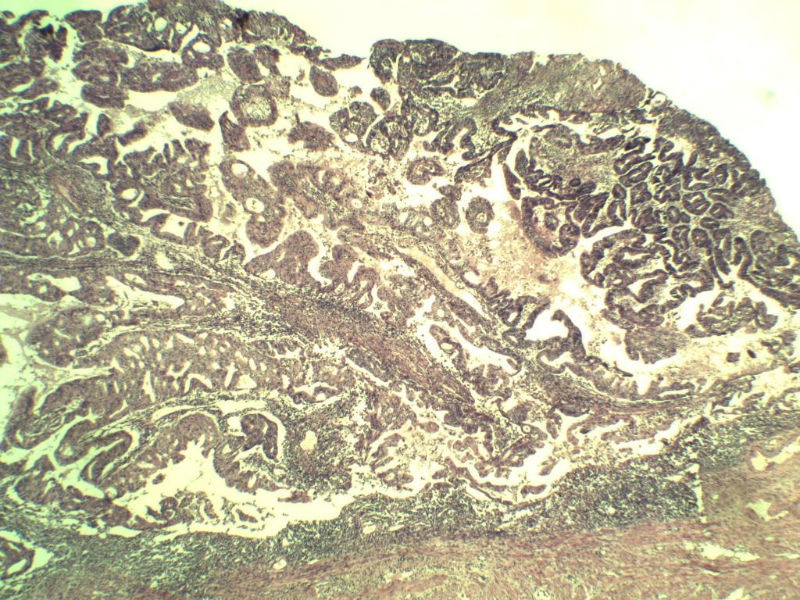
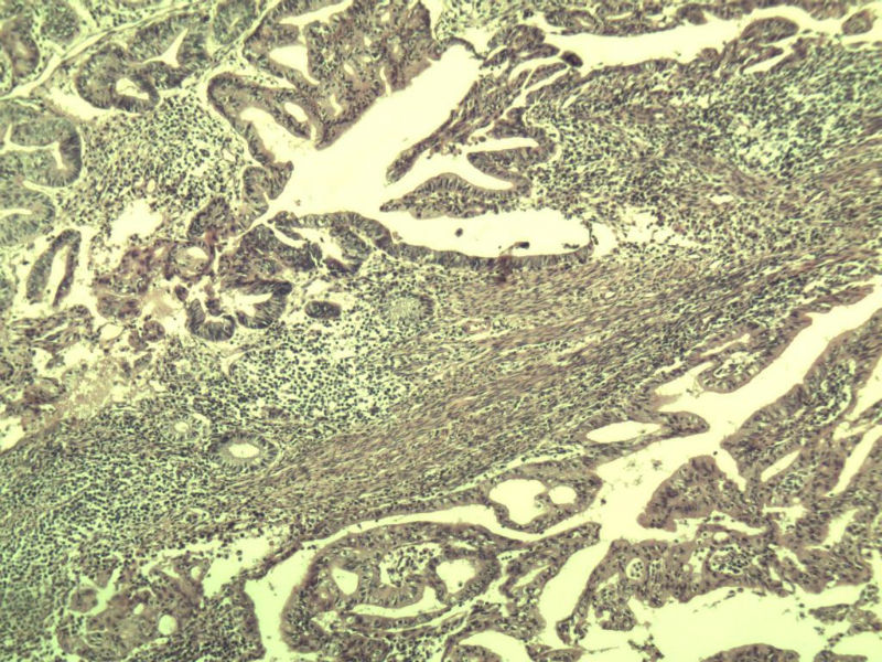
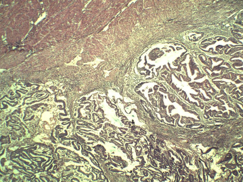
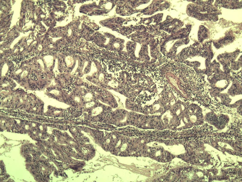
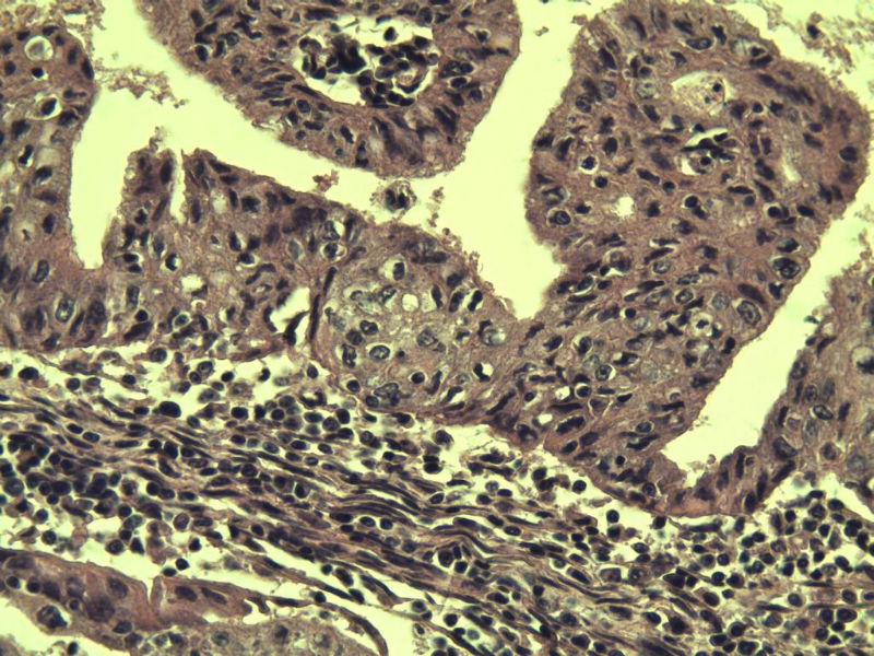
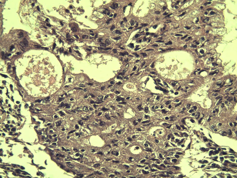
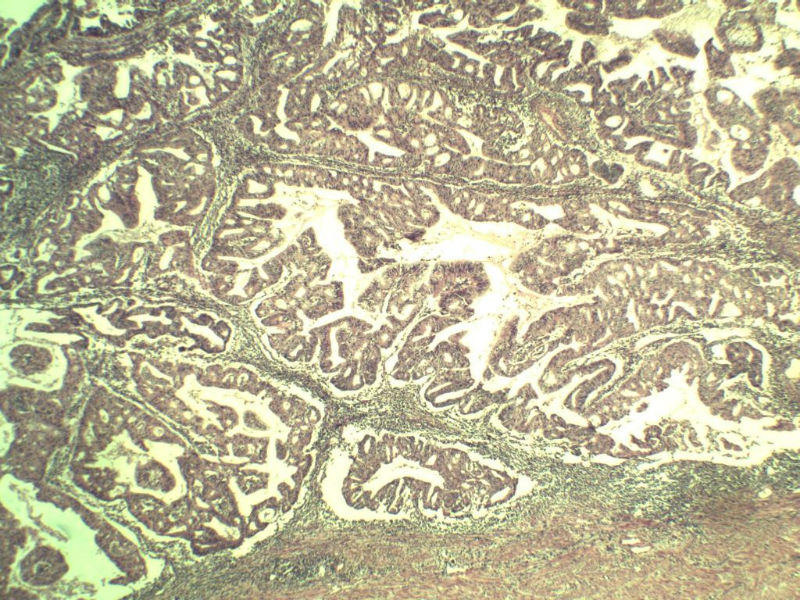
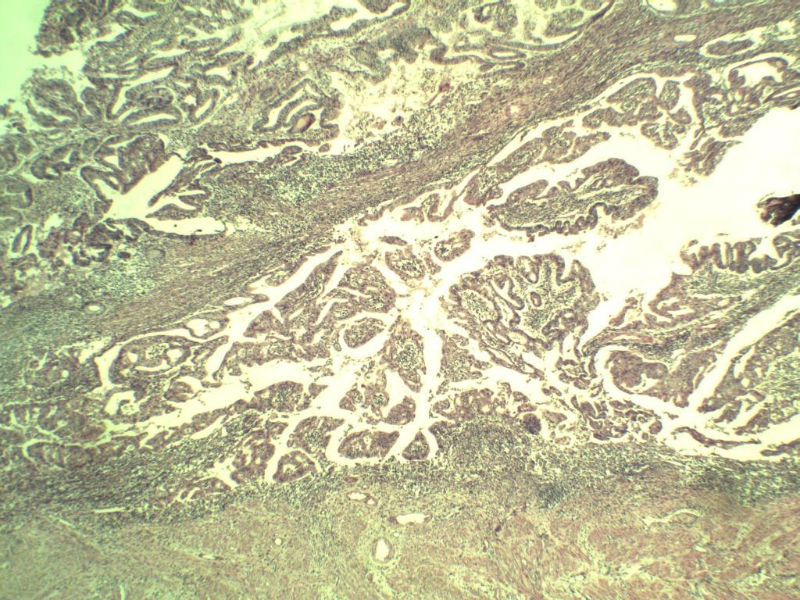
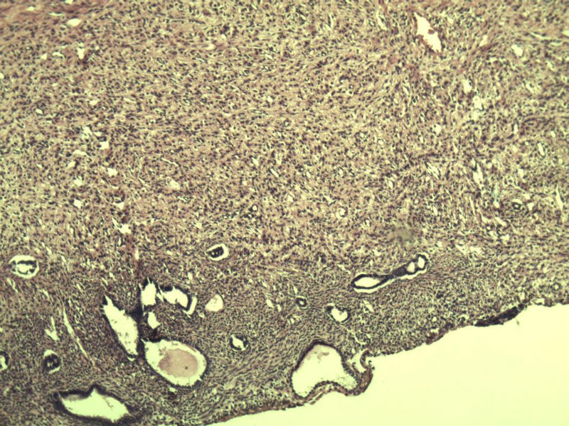
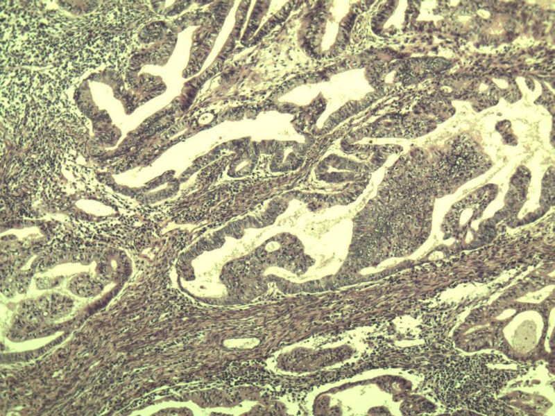
女,57岁,全切子宫一个,宫体体积 9 × 8 × 7 cm3,肌壁厚 2.5 cm,内膜菲薄,部分区域增厚达 0.4 cm(约3*2.5cm区域)。 请问各位老师  这个可以诊断子宫内膜癌了吧?      深肌层没有看到浸润。

  

患者因"发现下腹部包块1月多"入院  宫体体积 9 × 8 × 7 cm3,肌壁厚 2.5 cm,内膜菲薄,部分区域厚 0.4 cm(约3*2.5cm)。宫颈结构不清,长约 2.5 cm,表面欠光滑。临床诊断宫颈宫腔积液.

 

 

宫颈宫腔积液 内膜癌?图1
名称:图1
描述:a144.Jpg.jpg
宫颈宫腔积液 内膜癌?图2
名称:图2
描述:a145.Jpg.jpg
宫颈宫腔积液 内膜癌?图3
名称:图3
描述:a146.Jpg.jpg
宫颈宫腔积液 内膜癌?图4
名称:图4
描述:a147.Jpg.jpg
宫颈宫腔积液 内膜癌?图5
名称:图5
描述:a148.Jpg.jpg
宫颈宫腔积液 内膜癌?图6
名称:图6
描述:a149.Jpg.jpg
宫颈宫腔积液 内膜癌?图7
名称:图7
描述:a150.Jpg.jpg
宫颈宫腔积液 内膜癌?图8
名称:图8
描述:a151.Jpg.jpg
宫颈宫腔积液 内膜癌?图9
名称:图9
描述:a152.Jpg.jpg
宫颈宫腔积液 内膜癌?图10
名称:图10
描述:a153.Jpg.jpg
宫颈宫腔积液 内膜癌?图11
名称:图11
描述:a154.Jpg.jpg
宫颈宫腔积液 内膜癌?图12
名称:图12 正常区域的子宫内膜
描述:a155正常区域的子宫内膜.Jpg.jpg
宫颈宫腔积液 内膜癌?图13
名称:图13
描述:a156.Jpg.jpg
宫颈宫腔积液 内膜癌?图14
名称:图14
描述:a157.Jpg.jpg
宫颈宫腔积液 内膜癌?图15
名称:图15
描述:a158.Jpg.jpg
宫颈宫腔积液 内膜癌?图16
名称:图16
描述:a159.Jpg.jpg
宫颈宫腔积液 内膜癌?图17
名称:图17
描述:a160.Jpg.jpg
宫颈宫腔积液 内膜癌?图18
名称:图18
描述:a161.Jpg.jpg
宫颈宫腔积液 内膜癌?图19
名称:图19
描述:a162.Jpg.jpg
 
标签:
0
添加参考诊断
×参考诊断
  

笃行者 离线

帖子:2689
粉蓝豆:59
经验:3020
注册时间:2006-10-04
加关注  |  发消息
1 楼    发表于2011-09-26 18:00:53举报|引用
返回顶部 | 快捷回复

宫内膜样腺癌

4

shihong4..

珠江人家

阿斌

十月芙蓉
回复
signature
博学之,审问之,慎思之,明辨之,笃行之。

zhouquan 离线

帖子:7752
粉蓝豆:302
经验:8263
注册时间:2008-11-09
加关注  |  发消息
2 楼    发表于2011-09-26 19:15:00举报|引用
返回顶部 | 快捷回复

宫内膜样腺癌

0
回复
signature
成功不是得到多少东西,而是把身上多余的东西的扔掉多少。   

射手笑笑 离线

帖子:1495
粉蓝豆:187
经验:2536
注册时间:2009-05-29
加关注  |  发消息
3 楼    发表于2011-09-26 19:23:36举报|引用
返回顶部 | 快捷回复

筛状、迷路样结构

间质消失或者纤维性间质

子宫内膜样腺癌

1

Liu_Ai..
回复
signature
人最幸福的一生是人生层次不断上升的一生…… 痛而不言是智慧,笑而不语是豁达……

Liu_Aijun 离线

帖子:1292
粉蓝豆:119
经验:1678
注册时间:2008-04-14
加关注  |  发消息
4 楼    发表于2011-09-26 20:12:39举报|引用
返回顶部 | 快捷回复

高分化子宫内膜样癌。浸润浅肌层(深度<1/3肌层)。根据FIGO2009分期,子宫内膜癌局限于内膜层和<1/2肌层,都属于IA期。二者处理不再区别对待。

0
回复
signature
If you have great talents, industry will improve them; if you have but moderate abilities, industry will supply their deficiency. 如果你很有天赋,勤勉会使其更加完美;如果你能力一般,勤勉会补足其缺陷。

水中鱼儿 离线

帖子:550
粉蓝豆:13
经验:924
注册时间:2010-03-26
加关注  |  发消息
5 楼    发表于2011-09-26 22:24:58举报|引用
返回顶部 | 快捷回复

子宫内膜样腺癌

0
回复

珠江人家 离线

帖子:356
粉蓝豆:1856
经验:887
注册时间:2008-03-19
加关注  |  发消息
6 楼    发表于2011-09-26 22:44:49举报|引用
返回顶部 | 快捷回复

染色不典型,诊断典型

0
回复
回复:6 阅读:2184
共1页/6条首页上一页1下一页尾页
【免责声明】讨论内容仅作学术交流之用,不作为诊疗依据,由此而引起的法律问题作者及本站不承担任何责任。
快速回复
进入高级回复
您最多可输入10000个汉字,按 "Ctrl" + "Enter" 直接发送
搜索回复/乘电梯 ×
按内容
按会员
乘电梯
合作伙伴
友情链接