共4页/79条首页上一页1234下一页尾页
回复:79 阅读:16649
有意思的胃镜活检

新建 离线

帖子:252
粉蓝豆:14
经验:480
注册时间:2008-07-15
加关注  |  发消息
楼主 发表于 2011-09-22 22:20|举报|关注(9)
浏览排序[ 顺序 逆序 楼主 支持 精彩 ]  快捷回复

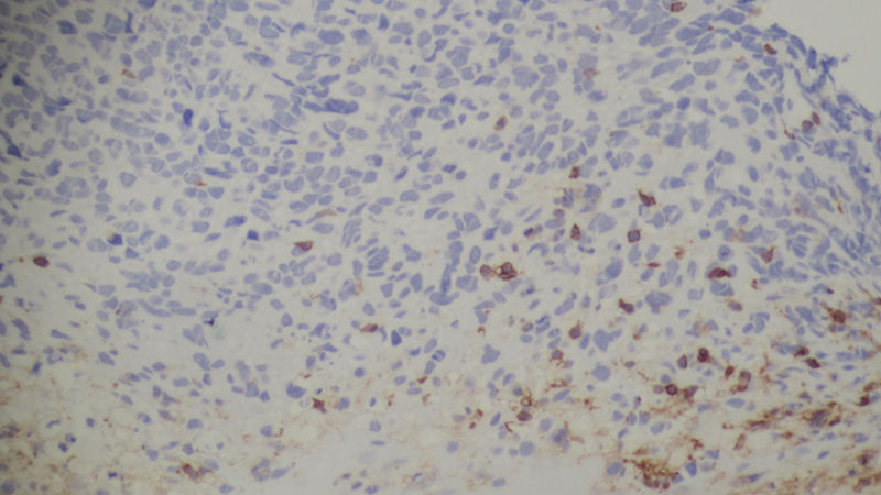
患者男性,47岁,胃部不适三月余,胃镜示:胃窦部1x1.2cm不规则隆起。

 

  • 有意思的胃镜活检图1
    图1
  • 有意思的胃镜活检图2
    图2
  • 有意思的胃镜活检图3
    图3
  • 有意思的胃镜活检图4
    图4
  • 有意思的胃镜活检图5
    图5
  • 有意思的胃镜活检图6
    图6
  • 有意思的胃镜活检图7
    图7
  • 有意思的胃镜活检图8
    图8

 

如何诊断? 

标签:
0
×参考诊断
恶黑

九华 离线

帖子:223
粉蓝豆:29
经验:982
注册时间:2007-01-21
加关注  |  发消息
63 楼    发表于2011-12-27 15:08:54举报|引用
返回顶部 | 快捷回复

谢谢楼主好病例,非典型部位的非典型结构必须具备超常规思维,这就是病理的博大精深!1

1

新建
回复
signature
病理是我的热爱,所以离开后,转身又回来了!!

新建 离线

帖子:252
粉蓝豆:14
经验:480
注册时间:2008-07-15
加关注  |  发消息
25 楼    发表于2011-09-28 21:20:24举报|引用
返回顶部 | 快捷回复
谢谢大家的讨论,这例我在标记胃部肿瘤时S-100蛋白是(-)而原发灶S-100(+),我在想,是否免疫标记缺失,同时转移灶中色素几乎没有形成,当然我想这也是肿瘤去分化的结果。
1

lzxiaolo..
回复

防港一员 离线

帖子:410
粉蓝豆:30
经验:1041
注册时间:2010-08-13
加关注  |  发消息
62 楼    发表于2011-12-26 01:35:59举报|引用
返回顶部 | 快捷回复

 很好的病例,学习了   开阔视野了 ,很难想象转移到胃,呵呵  学习学习了 如果还是HE的年代估计无法得到最后诊断

1

新建
回复
signature
有志者事竟成

TK1905 离线

帖子:962
粉蓝豆:283
经验:1054
注册时间:2010-03-14
加关注  |  发消息
12 楼    发表于2011-09-26 19:54:14举报|引用
返回顶部 | 快捷回复

确实难啊,形态是小细胞肿瘤,核仁不明显,按HE形态不像恶黑、GIST,像淋巴瘤,但是淋巴瘤、髓系肿瘤、癌都被IHC排出了。

尽管HE不像MM、GIST,但染一下Vim、CD117、Dog-1、S-100、HMB-45和Ki-67试试还是可以的,华夏网曾经有一例国际上的疑难讨论病例,好像是澳大利亚的,最后诊断的是胃粘膜间质细胞高度增生性反应(大概貌)

1

新建
回复

诚诚 离线

帖子:143
粉蓝豆:30
经验:472
注册时间:2007-03-20
加关注  |  发消息
10 楼    发表于2011-09-26 09:04:07举报|引用
返回顶部 | 快捷回复

高度怀疑是恶性淋巴瘤。

1

新建
回复
signature
真诚交友,诚实做人.

秋月明珠 离线

帖子:148
粉蓝豆:22
经验:431
注册时间:2009-09-13
加关注  |  发消息
7 楼    发表于2011-09-25 11:51:55举报|引用
返回顶部 | 快捷回复

考虑低分化腺癌,部分为印戒细胞癌。

1

新建
回复
signature
华夏,你的成长造就了新一代病理学界大家的进步!

shudaonan 离线

帖子:143
粉蓝豆:61
经验:156
注册时间:2010-01-05
加关注  |  发消息
46 楼    发表于2011-11-21 21:57:22举报|引用
返回顶部 | 快捷回复

病理诊断慎之又慎

1

新建
回复
signature
杨川林

谈东风 离线

帖子:255
粉蓝豆:14
经验:336
注册时间:2010-04-09
加关注  |  发消息
28 楼    发表于2011-10-07 11:39:27举报|引用
返回顶部 | 快捷回复
引用 16 楼 新建 在 2011-09-26 22:01:41 的发言:

  • 图1

Very good! 


1

新建
回复

新建 离线

帖子:252
粉蓝豆:14
经验:480
注册时间:2008-07-15
加关注  |  发消息
21 楼    发表于2011-09-26 22:38:24举报|引用
返回顶部 | 快捷回复

所以病史的提供是多么的重要啊,我们绕了一大圈,才找出了答案。

1

九天揽月
回复

新建 离线

帖子:252
粉蓝豆:14
经验:480
注册时间:2008-07-15
加关注  |  发消息
11 楼    发表于2011-09-26 19:18:18举报|引用
返回顶部 | 快捷回复

谢谢各位老师的讨论和分析,我们做了MPO,CD20,CD30,ALK均阴性。

0
回复

Tcat 离线

帖子:187
粉蓝豆:591
经验:190
注册时间:2010-05-16
加关注  |  发消息
24 楼    发表于2011-09-27 23:52:19举报|引用
返回顶部 | 快捷回复

玫瑰

0
回复

水中鱼儿 离线

帖子:550
粉蓝豆:13
经验:924
注册时间:2010-03-26
加关注  |  发消息
30 楼    发表于2011-10-08 23:14:53举报|引用
返回顶部 | 快捷回复

第19楼5图在楼主发贴时结构差异太大,是同一病例吗?

0
回复

新建 离线

帖子:252
粉蓝豆:14
经验:480
注册时间:2008-07-15
加关注  |  发消息
5 楼    发表于2011-09-25 09:59:47举报|引用
返回顶部 | 快捷回复

 谢谢各位老师的讨论,我开始拿到片子也是这么想得,于是行一线免疫组化。下面传上图片。

0
回复

新建 离线

帖子:252
粉蓝豆:14
经验:480
注册时间:2008-07-15
加关注  |  发消息
6 楼    发表于2011-09-25 10:05:15举报|引用
返回顶部 | 快捷回复
  • 图1
  • 图2

 

0
回复

yalan11 离线

帖子:26
粉蓝豆:25
经验:28
注册时间:2009-04-28
加关注  |  发消息
37 楼    发表于2011-11-07 09:26:25举报|引用
返回顶部 | 快捷回复

好病例!

0
回复

李小强 离线

帖子:27
粉蓝豆:1
经验:67
注册时间:2013-01-11
加关注  |  发消息
79 楼    发表于2013-01-11 10:35:41举报|引用
返回顶部 | 快捷回复

做免疫不知道方向时,最少应有vimentin、ck、s-100、LCA。

0
回复
signature
苍蝇撞玻璃

新建 离线

帖子:252
粉蓝豆:14
经验:480
注册时间:2008-07-15
加关注  |  发消息
8 楼    发表于2011-09-25 14:08:15举报|引用
返回顶部 | 快捷回复

 免疫组化CK,LCA,CEA均为阴性。

0
回复

新建 离线

帖子:252
粉蓝豆:14
经验:480
注册时间:2008-07-15
加关注  |  发消息
27 楼    发表于2011-10-07 09:35:23举报|引用
返回顶部 | 快捷回复

谢谢各位老师的参与!是的恶黑无处不在,往往一个肿瘤出现了令人惊奇的转移方式,往往要看看是否恶黑,然后再考虑其它。呵呵

0
回复

新建 离线

帖子:252
粉蓝豆:14
经验:480
注册时间:2008-07-15
加关注  |  发消息
18 楼    发表于2011-09-26 22:21:49举报|引用
返回顶部 | 快捷回复

追问患者病史,患者于一年前在我院耳鼻喉科行鼻腔肿物手术切除,术后诊断为恶性黑色素瘤。所以这个病例是恶黑转移,患者肝脏亦有转移结节。于是调出鼻腔肿物切片,见下图。

0
回复

新建 离线

帖子:252
粉蓝豆:14
经验:480
注册时间:2008-07-15
加关注  |  发消息
20 楼    发表于2011-09-26 22:32:45举报|引用
返回顶部 | 快捷回复

  • 图1
  • 图2
  • 图3
  • 图4

 

0
回复
回复:79 阅读:16649
共4页/79条首页上一页1234下一页尾页
【免责声明】讨论内容仅作学术交流之用,不作为诊疗依据,由此而引起的法律问题作者及本站不承担任何责任。
快速回复
进入高级回复
您最多可输入10000个汉字,按 "Ctrl" + "Enter" 直接发送
搜索回复/乘电梯 ×
按内容
按会员
乘电梯
合作伙伴
友情链接