共1页/15条首页上一页1下一页尾页
回复:15 阅读:4534
子宫颈管上段

yy369yy 离线

帖子:321
粉蓝豆:27
经验:1131
注册时间:2009-12-18
加关注  |  发消息
楼主 发表于 2011-09-21 17:41|举报|关注(0)
浏览排序[ 顺序 逆序 楼主 支持 精彩 ]  快捷回复

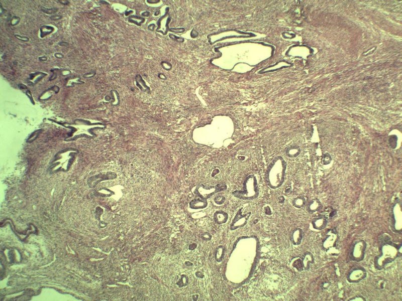
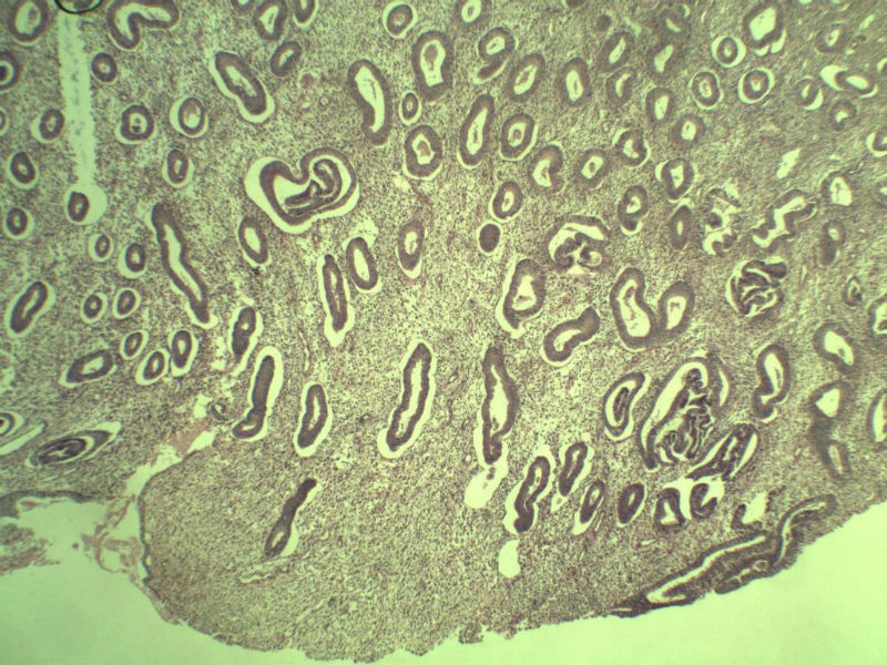
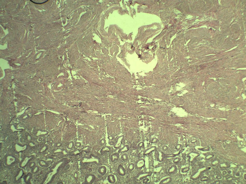
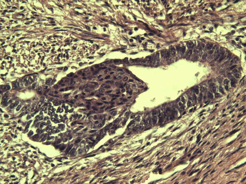
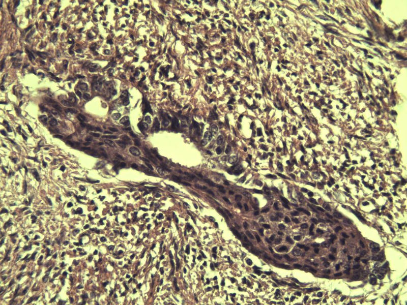
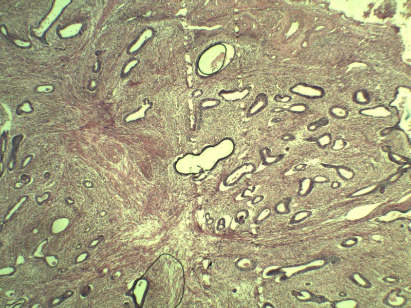
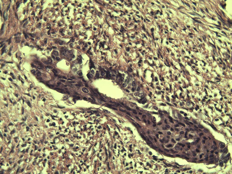
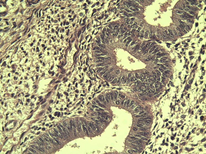
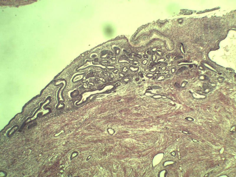
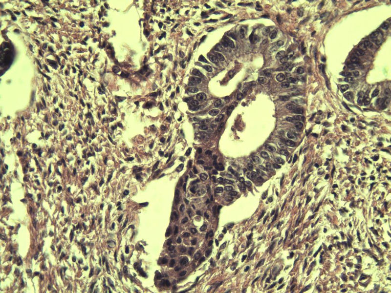
 42岁 月经不规则一年 b超发现子宫肌瘤 行全子宫切除术  我取材时发现子宫颈管上段有一质地较硬区 2*1cm  请各位老师看看 是子宫内膜癌不? 谢谢了!  

 

这是子宫颈管上段

子宫颈管上段图1
名称:图1
描述:a116.Jpg.jpg
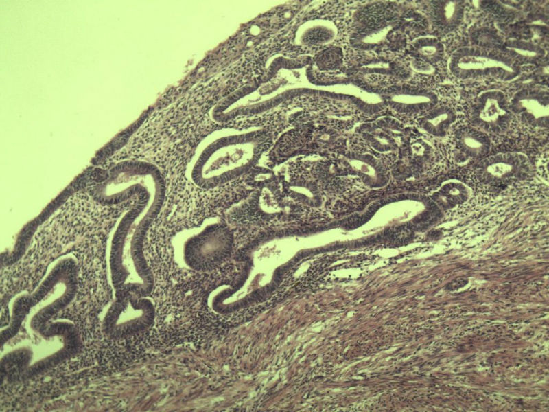
子宫颈管上段图2
名称:图2
描述:a117.Jpg.jpg
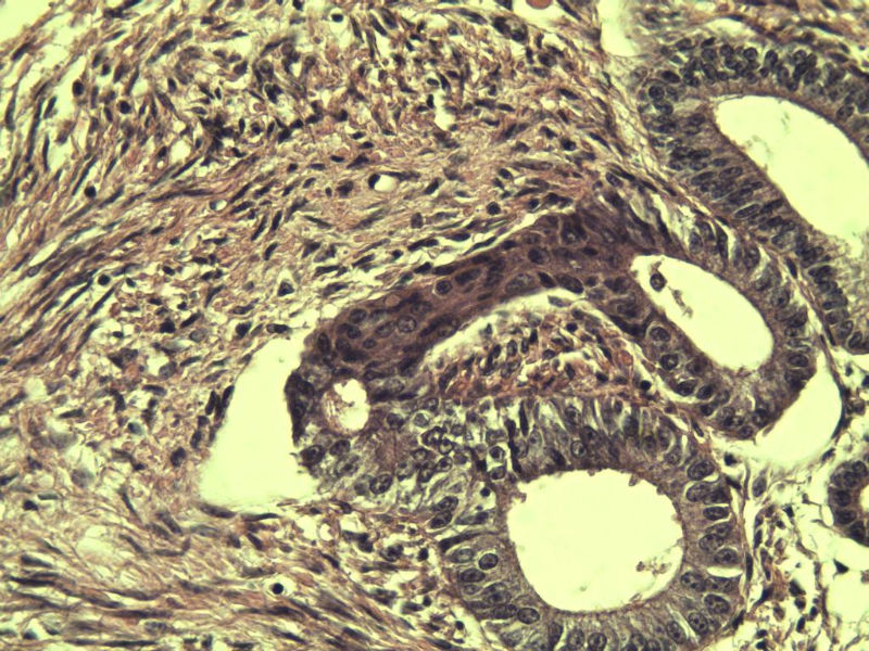
子宫颈管上段图3
名称:图3
描述:a118.Jpg.jpg
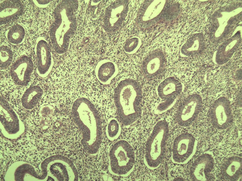
子宫颈管上段图4
名称:图4
描述:a119.Jpg.jpg
子宫颈管上段图5
名称:图5
描述:a120.Jpg.jpg
子宫颈管上段图6
名称:图6
描述:a121.Jpg.jpg
子宫颈管上段图7
名称:图7
描述:a122.Jpg.jpg
子宫颈管上段图8
名称:图8
描述:a123.Jpg.jpg
子宫颈管上段图9
名称:图9
描述:a124.Jpg.jpg
子宫颈管上段图10
名称:图10
描述:a125.Jpg.jpg
子宫颈管上段图11
名称:图11
描述:a126.Jpg.jpg
子宫颈管上段图12
名称:图12
描述:a127.Jpg.jpg
子宫颈管上段图13
名称:图13
描述:a128.Jpg.jpg
子宫颈管上段图14
名称:图14
描述:a129.Jpg.jpg
子宫颈管上段图15
名称:图15
描述:a130.Jpg.jpg
子宫颈管上段图16
名称:图16
描述:a131.Jpg.jpg
子宫颈管上段图17
名称:图17
描述:a132.Jpg.jpg
子宫颈管上段图18
名称:图18
描述:a133.Jpg.jpg
子宫颈管上段图19
名称:图19
描述:a134.Jpg.jpg
 
标签:
0
添加参考诊断
×参考诊断
  

yy369yy 离线

帖子:321
粉蓝豆:27
经验:1131
注册时间:2009-12-18
加关注  |  发消息
1 楼    发表于2011-09-21 17:44:44举报|引用
返回顶部 | 快捷回复
这是子宫内膜  厚0.4cm  看上去没问题
 
 

名称:图1
描述:a135.Jpg.jpg

名称:图2
描述:a136.Jpg.jpg

名称:图3
描述:a137.Jpg.jpg

名称:图4
描述:a138.Jpg.jpg

名称:图5
描述:a139.Jpg.jpg

名称:图6
描述:a140.Jpg.jpg

名称:图7
描述:a141.Jpg.jpg

名称:图8
描述:a142.Jpg.jpg

名称:图9
描述:a143.Jpg.jpg

 

 

0
回复

abin 离线

帖子:7416
粉蓝豆:6019
经验:11793
注册时间:2006-10-08
加关注  |  发消息
2 楼    发表于2011-09-21 19:02:17举报|引用
返回顶部 | 快捷回复

非癌,考虑子宫内膜异位症或腺肌瘤

2

cklas

zblzbl20..
回复
signature

华夏病理/粉蓝医疗

为基层医院病理科提供全面解决方案,

努力让人人享有便捷准确可靠的病理诊断服务。


yy369yy 离线

帖子:321
粉蓝豆:27
经验:1131
注册时间:2009-12-18
加关注  |  发消息
3 楼    发表于2011-09-21 19:19:44举报|引用
返回顶部 | 快捷回复
引用 2 楼 abin 在 2011-09-21 19:02:17 的发言:

非癌,考虑子宫内膜异位症或腺肌瘤

子宫内膜异位不是应该有内膜间质吗?  这里为什么看不到间质?


0
回复

安迪 离线

帖子:598
粉蓝豆:3525
经验:849
注册时间:2011-03-04
加关注  |  发消息
4 楼    发表于2011-09-21 19:28:26举报|引用
返回顶部 | 快捷回复

子宫内膜异位

0
回复

linyguo 离线

帖子:2365
粉蓝豆:43
经验:2514
注册时间:2009-08-09
加关注  |  发消息
5 楼    发表于2011-09-21 19:40:34举报|引用
返回顶部 | 快捷回复

子宫内膜异位

0
回复

zhenshijian 离线

帖子:1069
粉蓝豆:91
经验:1364
注册时间:2008-04-20
加关注  |  发消息
6 楼    发表于2011-09-21 20:03:44举报|引用
返回顶部 | 快捷回复
引用 2 楼 abin 在 2011-09-21 19:02:17 的发言:

非癌,考虑子宫内膜异位症或腺肌瘤


0
回复

向您学习 离线

帖子:918
粉蓝豆:379
经验:3872
注册时间:2006-10-25
加关注  |  发消息
7 楼    发表于2011-09-21 20:14:24举报|引用
返回顶部 | 快捷回复

肌层内腺体的特点:1、无内膜间质。

                                2、有鳞化。

                                3、无异型。所以应该还是个良性病变

0
回复
signature
三人行,必有我师焉,择其善者而从之,择其不善者而改之。

kint123 离线

帖子:1620
粉蓝豆:240
经验:2095
注册时间:2009-01-31
加关注  |  发消息
8 楼    发表于2011-09-21 20:18:34举报|引用
返回顶部 | 快捷回复

宫体下段的黏膜间质与常见的宫内膜是不一样的

0
回复
signature
The More We See, The Less We Know!

cheerfulmaize 离线

帖子:70
粉蓝豆:18
经验:211
注册时间:2010-11-27
加关注  |  发消息
9 楼    发表于2011-09-21 20:54:26举报|引用
返回顶部 | 快捷回复

腺肌症

0
回复

我是丫丫 离线

帖子:213
粉蓝豆:52
经验:549
注册时间:2009-02-20
加关注  |  发消息
10 楼    发表于2011-09-21 22:20:19举报|引用
返回顶部 | 快捷回复

学习啦。(前几张图像,比较多的腺体跑到肌层了,所以楼主才比较担心的吧,如果是我看到这样的片子,我也会担心。)

0
回复

精于本业 离线

帖子:131
粉蓝豆:147
经验:221
注册时间:2011-09-05
加关注  |  发消息
11 楼    发表于2011-09-21 23:09:53举报|引用
返回顶部 | 快捷回复

子宫内膜异位症或腺肌瘤

0
回复

492152171 离线

帖子:78
粉蓝豆:94
经验:87
注册时间:2009-05-05
加关注  |  发消息
12 楼    发表于2011-09-21 23:32:41举报|引用
返回顶部 | 快捷回复

子宫内膜异位症或腺肌瘤!  腺体没有异型。

0
回复

风和日丽 离线

帖子:361
粉蓝豆:22
经验:1312
注册时间:2008-12-11
加关注  |  发消息
13 楼    发表于2011-09-22 09:43:57举报|引用
返回顶部 | 快捷回复

腺肌症

0
回复

953368249 离线

帖子:74
粉蓝豆:1
经验:99
注册时间:2009-05-07
加关注  |  发消息
14 楼    发表于2011-09-22 19:09:24举报|引用
返回顶部 | 快捷回复

子宫腺肌病

0
回复

小雪初晴 离线

帖子:186
粉蓝豆:1165
经验:376
注册时间:2010-05-23
加关注  |  发消息
15 楼    发表于2011-09-22 19:12:43举报|引用
返回顶部 | 快捷回复

非典型性息肉样腺肌瘤。

诊断依据:

1.临床特征:主要发生在绝经前女性,中位年龄39岁,大多数伴有月经紊乱。

2.大体特征:最常见于子宫下段,平均大小为直径2cm,表现为圆形,凸出于表面。息肉样的本质不总是很明显,也有无蒂和广基的肿瘤。

3.镜下特征:上皮成分由杂乱无章排列的不规则的子宫内膜型腺体构成,可以是立方形到矮柱状或假复层。显示有广泛的鳞化区域(本例图11-17均显示鳞化),表现为圆形的“桑葚”(图16-17);间质主要由平滑肌构成,且混有纤维组织。

请各位老师指正!

0
回复
signature
永不放弃
回复:15 阅读:4534
共1页/15条首页上一页1下一页尾页
【免责声明】讨论内容仅作学术交流之用,不作为诊疗依据,由此而引起的法律问题作者及本站不承担任何责任。
快速回复
进入高级回复
您最多可输入10000个汉字,按 "Ctrl" + "Enter" 直接发送
搜索回复/乘电梯 ×
按内容
按会员
乘电梯
合作伙伴
友情链接