共3页/51条首页上一页123下一页尾页
回复:51 阅读:11548
子宫内膜癌?? 会诊结果出了

yy369yy 离线

帖子:321
粉蓝豆:27
经验:1131
注册时间:2009-12-18
加关注  |  发消息
楼主 发表于 2011-09-21 17:37|举报|关注(2)
浏览排序[ 顺序 逆序 楼主 支持 精彩 ]  快捷回复

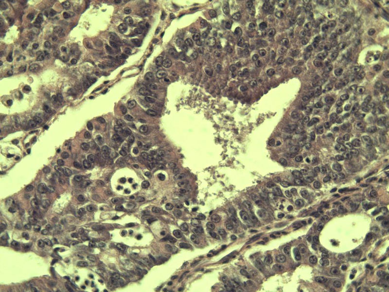
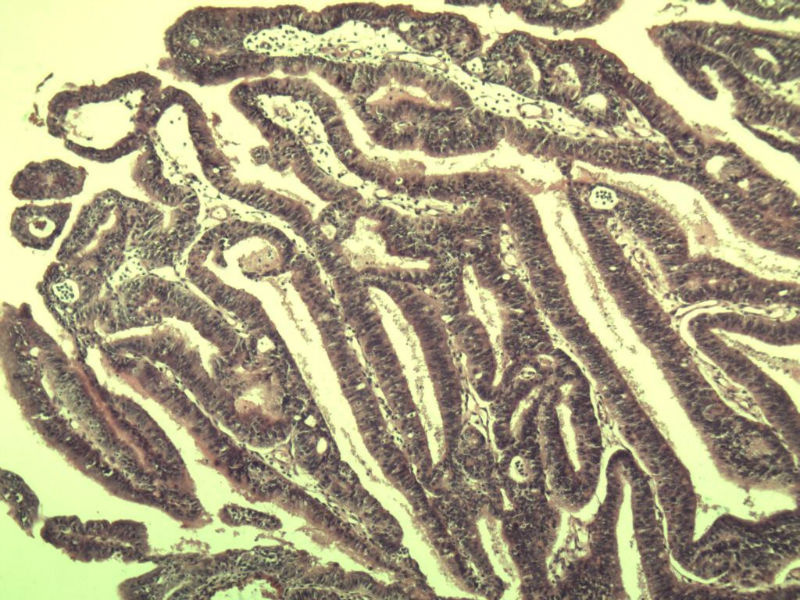
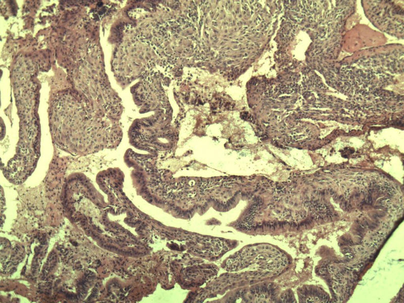
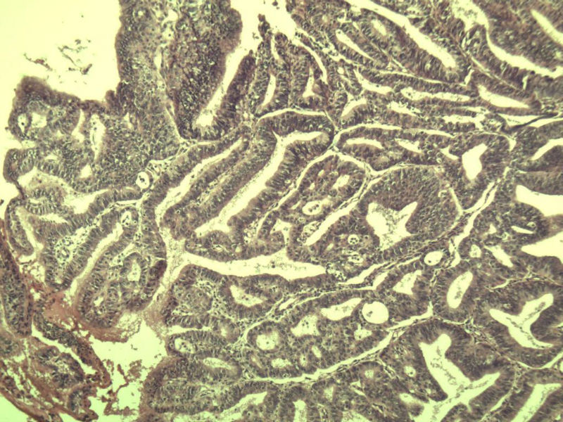
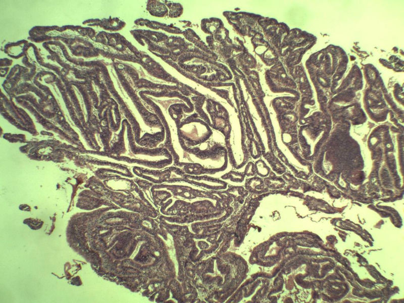
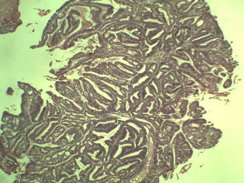
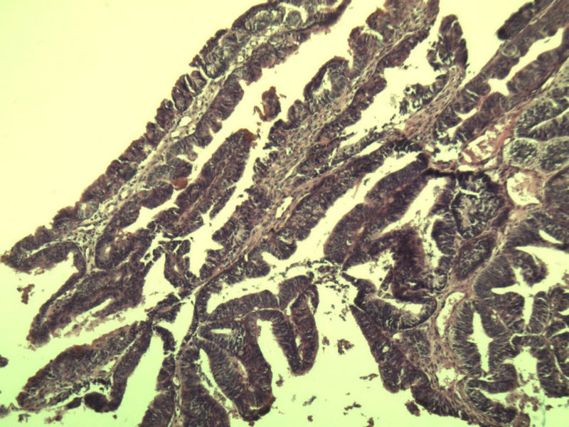
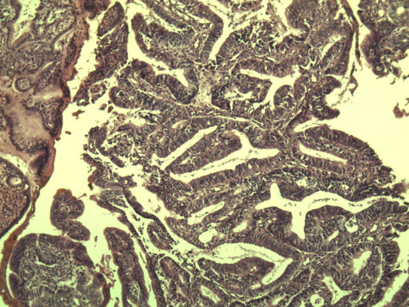
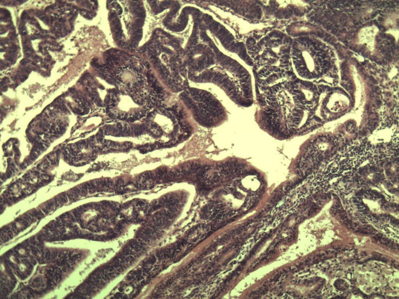
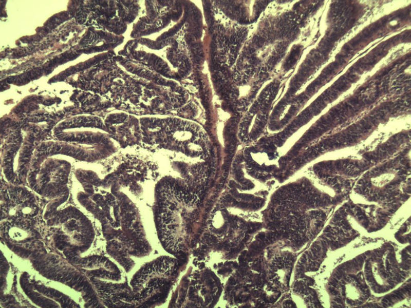
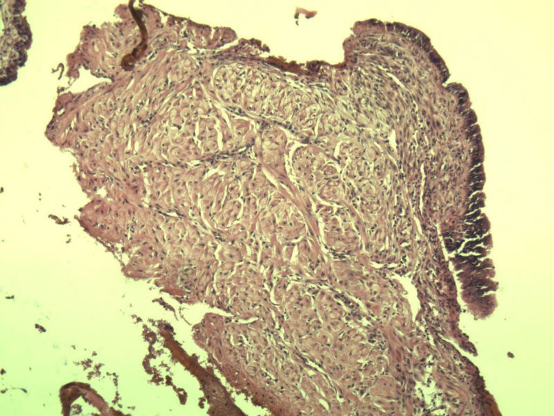
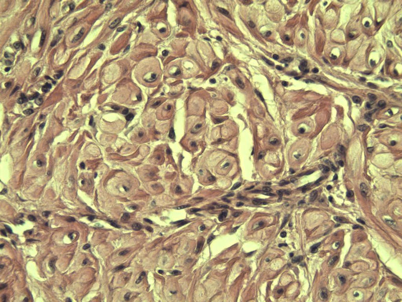
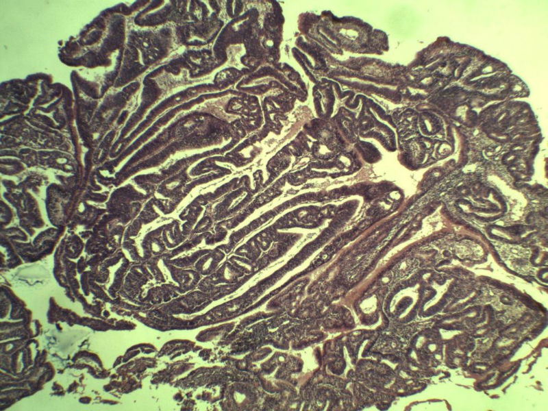
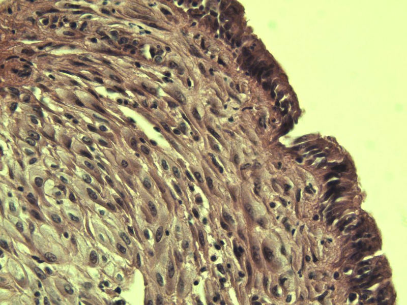
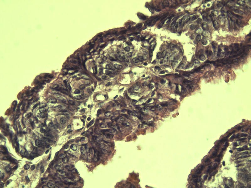
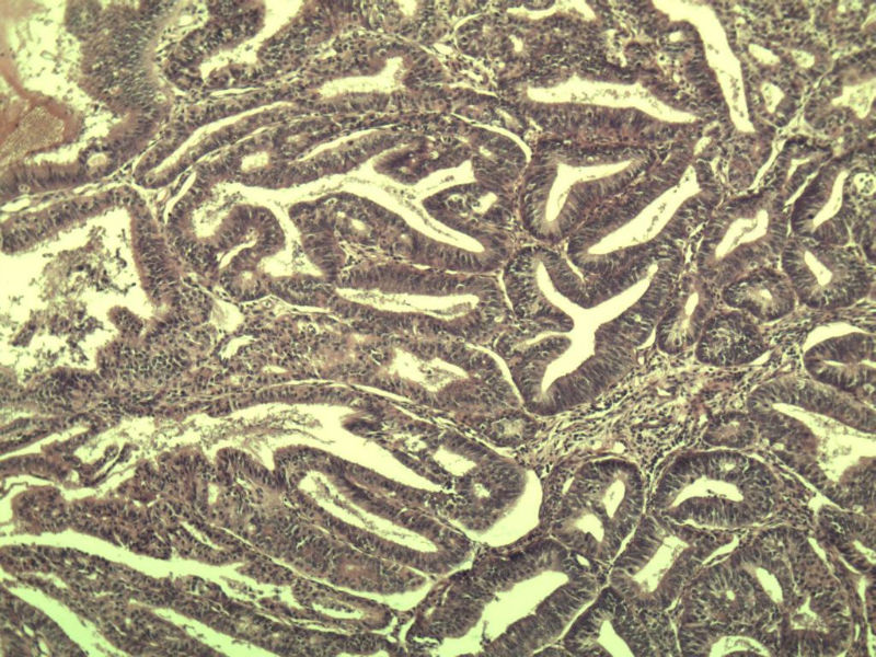
女 32岁 不规则阴道流血 一年  请各位老师看看 谢谢了

遵义医学院附属医院会诊结果    "复杂性增生伴非典型性 "           

补充一下病史 病人10个月前因月经不规则行诊刮 诊断非典型性增生  上了曼月乐避孕环(好像是缓慢释放孕激素的那种),         都用激素治疗大半年了 还是这个样子 我还是觉得是癌  只有追踪一下以后病人的情况吧 

 谢谢各位老师的回复了

子宫内膜癌?? 会诊结果出了图1
名称:图1
描述:a86.Jpg.jpg
子宫内膜癌?? 会诊结果出了图2
名称:图2
描述:a87.Jpg.jpg
子宫内膜癌?? 会诊结果出了图3
名称:图3
描述:a88.Jpg.jpg
子宫内膜癌?? 会诊结果出了图4
名称:图4
描述:a89.Jpg.jpg
子宫内膜癌?? 会诊结果出了图5
名称:图5
描述:a90.Jpg.jpg
子宫内膜癌?? 会诊结果出了图6
名称:图6
描述:a91.Jpg.jpg
子宫内膜癌?? 会诊结果出了图7
名称:图7
描述:a92.Jpg.jpg
子宫内膜癌?? 会诊结果出了图8
名称:图8
描述:a93.Jpg.jpg
子宫内膜癌?? 会诊结果出了图9
名称:图9
描述:a94.Jpg.jpg
子宫内膜癌?? 会诊结果出了图10
名称:图10
描述:a95.Jpg.jpg
子宫内膜癌?? 会诊结果出了图11
名称:图11
描述:a96.Jpg.jpg
子宫内膜癌?? 会诊结果出了图12
名称:图12
描述:a97.Jpg.jpg
子宫内膜癌?? 会诊结果出了图13
名称:图13
描述:a98.Jpg.jpg
子宫内膜癌?? 会诊结果出了图14
名称:图14
描述:a99.Jpg.jpg
子宫内膜癌?? 会诊结果出了图15
名称:图15
描述:a100.Jpg.jpg
子宫内膜癌?? 会诊结果出了图16
名称:图16
描述:a101.Jpg.jpg
子宫内膜癌?? 会诊结果出了图17
名称:图17
描述:a102.Jpg.jpg
子宫内膜癌?? 会诊结果出了图18
名称:图18
描述:a103.Jpg.jpg
子宫内膜癌?? 会诊结果出了图19
名称:图19
描述:a104.Jpg.jpg
子宫内膜癌?? 会诊结果出了图20
名称:图20
描述:a105.Jpg.jpg
子宫内膜癌?? 会诊结果出了图21
名称:图21
描述:a106.Jpg.jpg
子宫内膜癌?? 会诊结果出了图22
名称:图22
描述:a107.Jpg.jpg
子宫内膜癌?? 会诊结果出了图23
名称:图23
描述:a108.Jpg.jpg
子宫内膜癌?? 会诊结果出了图24
名称:图24
描述:a109.Jpg.jpg
子宫内膜癌?? 会诊结果出了图25
名称:图25
描述:a110.Jpg.jpg
子宫内膜癌?? 会诊结果出了图26
名称:图26
描述:a111.Jpg.jpg
子宫内膜癌?? 会诊结果出了图27
名称:图27
描述:a112.Jpg.jpg
子宫内膜癌?? 会诊结果出了图28
名称:图28
描述:a113.Jpg.jpg
子宫内膜癌?? 会诊结果出了图29
名称:图29
描述:a114.Jpg.jpg
 
标签:
本帖最后由 yy369yy 于 2011-10-07 18:22:17 编辑
0
添加参考诊断
×参考诊断
  

hunter120 离线

帖子:150
粉蓝豆:487
经验:530
注册时间:2008-03-14
加关注  |  发消息
1 楼    发表于2011-09-21 18:05:16举报|引用
返回顶部 | 快捷回复

似乎不够癌

0
回复
signature
生活就是在演绎一个不知道结局的真实过程。

abin 离线

帖子:7416
粉蓝豆:6024
经验:11793
注册时间:2006-10-08
加关注  |  发消息
2 楼    发表于2011-09-21 18:54:33举报|引用
返回顶部 | 快捷回复

高分化子宫内膜样癌

5

zhouquan

zblzbl20..

阿斌

Liu_Ai..

w9165878
回复
signature

华夏病理/粉蓝医疗

为基层医院病理科提供全面解决方案,

努力让人人享有便捷准确可靠的病理诊断服务。


晚晚 离线

帖子:112
粉蓝豆:1
经验:242
注册时间:2009-11-27
加关注  |  发消息
3 楼    发表于2011-09-21 19:14:16举报|引用
返回顶部 | 快捷回复
本帖最后由 spring 于 2011-10-08 14:51:33 编辑

非典型复杂性子宫内膜增生,应了解雌孕激素情况。

7

cklas

douyaztp

贝贝

梦想的海..

无尾鱼

真诚

huxiu
回复

安迪 离线

帖子:598
粉蓝豆:3525
经验:849
注册时间:2011-03-04
加关注  |  发消息
4 楼    发表于2011-09-21 19:29:20举报|引用
返回顶部 | 快捷回复

高分化子宫内膜样癌

0
回复

linyguo 离线

帖子:2365
粉蓝豆:43
经验:2514
注册时间:2009-08-09
加关注  |  发消息
5 楼    发表于2011-09-21 19:38:08举报|引用
返回顶部 | 快捷回复

高分化子宫内膜样癌

0
回复

zhangyuying 离线

帖子:207
粉蓝豆:18
经验:418
注册时间:2011-07-03
加关注  |  发消息
6 楼    发表于2011-09-21 19:46:11举报|引用
返回顶部 | 快捷回复

够癌了

0
回复
signature
再长的路,一步一步总能走完;再短的路,不迈开双脚就永远不会到达终点。

zhenshijian 离线

帖子:1069
粉蓝豆:91
经验:1364
注册时间:2008-04-20
加关注  |  发消息
7 楼    发表于2011-09-21 20:02:19举报|引用
返回顶部 | 快捷回复
引用 2 楼 abin 在 2011-09-21 18:54:33 的发言:

高分化子宫内膜样癌


0
回复

向您学习 离线

帖子:918
粉蓝豆:379
经验:3872
注册时间:2006-10-25
加关注  |  发消息
8 楼    发表于2011-09-21 20:05:30举报|引用
返回顶部 | 快捷回复

支持高分化子宫内膜样癌

1

www81091..
回复
signature
三人行,必有我师焉,择其善者而从之,择其不善者而改之。

wfbjwt 离线

帖子:6628
粉蓝豆:163
经验:7418
注册时间:2006-10-08
加关注  |  发消息
9 楼    发表于2011-09-21 20:17:18举报|引用
返回顶部 | 快捷回复

 高分化子宫内膜样癌

0
回复
signature
嫁人就嫁灰太狼,学习要上华夏网。

douyaztp 离线

帖子:189
粉蓝豆:1461
经验:472
注册时间:2008-12-30
加关注  |  发消息
10 楼    发表于2011-09-21 20:55:29举报|引用
返回顶部 | 快捷回复

非典型复杂性子宫内膜增生,32岁,太年轻了,是不是要考虑她的激素情况?

1

强盗
回复

cheerfulmaize 离线

帖子:70
粉蓝豆:18
经验:211
注册时间:2010-11-27
加关注  |  发消息
11 楼    发表于2011-09-21 21:02:55举报|引用
返回顶部 | 快捷回复

高分化子宫内膜癌

0
回复

liang123ab 离线

帖子:266
粉蓝豆:13
经验:353
注册时间:2010-05-14
加关注  |  发消息
12 楼    发表于2011-09-21 21:28:48举报|引用
返回顶部 | 快捷回复
本帖最后由 liang123ab 于 2011-09-21 21:30:28 编辑

高分化宫内膜样腺癌

0
回复

紫水晶的生活 离线

帖子:16
粉蓝豆:11
经验:141
注册时间:2010-12-09
加关注  |  发消息
13 楼    发表于2011-09-21 21:34:28举报|引用
返回顶部 | 快捷回复

非典型复杂性子宫内膜增生,32岁,太年轻了,是不是要考虑她的激素情况?

0
回复

我是丫丫 离线

帖子:213
粉蓝豆:52
经验:549
注册时间:2009-02-20
加关注  |  发消息
14 楼    发表于2011-09-21 22:10:02举报|引用
返回顶部 | 快捷回复
本帖最后由 我是丫丫 于 2011-09-21 22:10:57 编辑

非典型复杂性子宫内膜增生。(学习中,不敢报告癌,太年轻了。期待老师的讲解!)

3

guoyl691..

刘斌

秋水伊人..
回复

精于本业 离线

帖子:131
粉蓝豆:147
经验:221
注册时间:2011-09-05
加关注  |  发消息
15 楼    发表于2011-09-21 23:07:33举报|引用
返回顶部 | 快捷回复

非典型复杂性子宫内膜增生,

0
回复

3673566 离线

帖子:1879
粉蓝豆:74
经验:3305
注册时间:2006-10-29
加关注  |  发消息
16 楼    发表于2011-09-21 23:36:56举报|引用
返回顶部 | 快捷回复

子宫内膜复杂性非典型性增生,局灶区间质肉芽样(图5)及蜕膜样变,不够癌,建议临床查激素水平并追踪。

1

liming10..
回复

492152171 离线

帖子:78
粉蓝豆:94
经验:87
注册时间:2009-05-05
加关注  |  发消息
17 楼    发表于2011-09-21 23:39:00举报|引用
返回顶部 | 快捷回复

从照片看,没看到浸润的地方,我考虑是子宫内膜重度不典型增生。

1

贺兰山
回复

bobol 离线

帖子:494
粉蓝豆:4577
经验:669
注册时间:2006-11-14
加关注  |  发消息
18 楼    发表于2011-09-21 23:45:40举报|引用
返回顶部 | 快捷回复
引用 16 楼 3673566 在 2011-09-21 23:36:56 的发言:

子宫内膜复杂性非典型性增生,局灶区间质肉芽样(图5)及蜕膜样变,不够癌,建议临床查激素水平并追踪。


既“局灶区间质肉芽样(图5)及蜕膜样变”,为何不能报“局灶呈高分化子宫内膜样腺癌改变”?个人理解,报告中所含的“局灶×××”,应该是更高级别的但范围较小或较局限的病变。

0
回复

fyshan 离线

帖子:910
粉蓝豆:0
经验:968
注册时间:2006-10-04
加关注  |  发消息
19 楼    发表于2011-09-22 04:36:42举报|引用
返回顶部 | 快捷回复

No invasion.

 

Too young to be true!!

0
回复

风和日丽 离线

帖子:361
粉蓝豆:22
经验:1312
注册时间:2008-12-11
加关注  |  发消息
20 楼    发表于2011-09-22 09:13:16举报|引用
返回顶部 | 快捷回复

子宫内膜复杂性非典型性增生

1

hengrui1..
回复
回复:51 阅读:11548
共3页/51条首页上一页123下一页尾页
【免责声明】讨论内容仅作学术交流之用,不作为诊疗依据,由此而引起的法律问题作者及本站不承担任何责任。
快速回复
进入高级回复
您最多可输入10000个汉字,按 "Ctrl" + "Enter" 直接发送
搜索回复/乘电梯 ×
按内容
按会员
乘电梯
合作伙伴
友情链接