共2页/34条首页上一页12下一页尾页
回复:34 阅读:6624
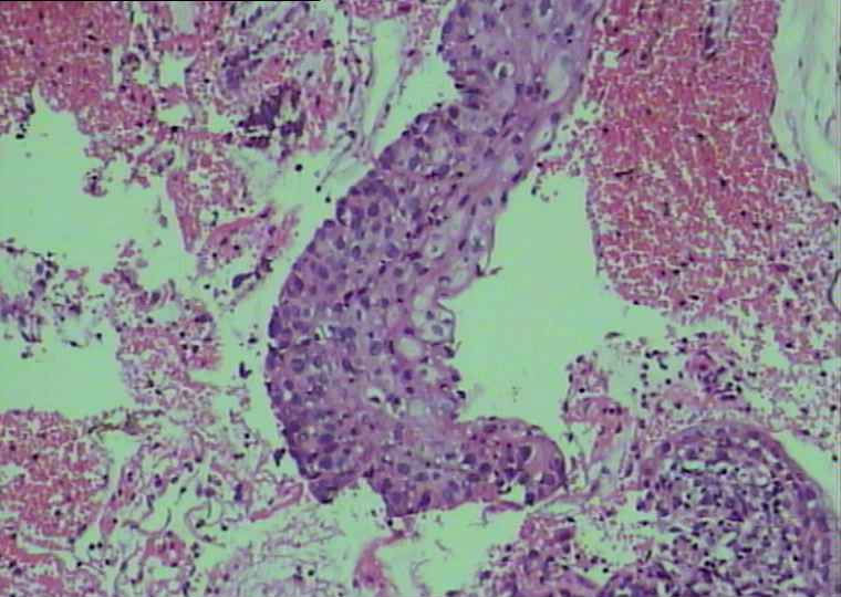
30岁宫颈活检

宁静致远 离线

帖子:4242
粉蓝豆:2853
经验:6556
注册时间:2007-03-27
加关注  |  发消息
楼主 发表于 2011-09-20 14:51|举报|关注(0)
浏览排序[ 顺序 逆序 楼主 支持 精彩 ]  快捷回复

 

  • 30岁宫颈活检图1
    图1
  • 30岁宫颈活检图2
    图2
  • 30岁宫颈活检图3
    图3
  • 30岁宫颈活检图4
    图4
  • 30岁宫颈活检图5
    图5
  • 30岁宫颈活检图6
    图6
  • 30岁宫颈活检图7
    图7
  • 30岁宫颈活检图8
    图8
  • 30岁宫颈活检图9
    图9
标签:
本帖最后由 宁静致远 于 2011-09-20 21:43:58 编辑
0
添加参考诊断
×参考诊断
  

759926400 离线

帖子:250
粉蓝豆:137
经验:495
注册时间:2011-08-07
加关注  |  发消息
21 楼    发表于2011-11-19 21:15:13举报|引用
返回顶部 | 快捷回复

CIN2也可以累腺啊 ??我记得好像只有CIN3才能累腺啊??请老师们指点  谢谢

0
回复

水中央 离线

帖子:2698
粉蓝豆:1119
经验:7190
注册时间:2009-10-07
加关注  |  发消息
22 楼    发表于2011-11-19 21:54:35举报|引用
返回顶部 | 快捷回复
引用 21 楼 759926400 在 2011-11-19 21:15:13 的发言:

CIN2也可以累腺啊 ??我记得好像只有CIN3才能累腺啊??请老师们指点  谢谢

可以的

0
回复
signature
刀锋上的蚂蚁

涢水清- 离线

帖子:2045
粉蓝豆:9
经验:2208
注册时间:2010-04-19
加关注  |  发消息
23 楼    发表于2011-11-20 12:54:32举报|引用
返回顶部 | 快捷回复

CIN2,累腺

0
回复

未知陨石 离线

帖子:479
粉蓝豆:13
经验:559
注册时间:2010-09-11
加关注  |  发消息
24 楼    发表于2011-11-20 21:21:23举报|引用
返回顶部 | 快捷回复

宫颈高级别上皮内瘤变,累及腺体

0
回复
signature

759926400 离线

帖子:250
粉蓝豆:137
经验:495
注册时间:2011-08-07
加关注  |  发消息
25 楼    发表于2011-11-20 23:28:39举报|引用
返回顶部 | 快捷回复

哦 学习了。 谢谢水中央老师的回复

0
回复

伯牙绝弦 离线

帖子:1408
粉蓝豆:152
经验:2019
注册时间:2010-09-28
加关注  |  发消息
26 楼    发表于2011-11-21 09:15:25举报|引用
返回顶部 | 快捷回复
引用 23 楼 涢水清- 在 2011-11-20 12:54:32 的发言:

CIN2,累腺


0
回复
signature
成功不是将来才有的,而是从决定去做的那一刻起,持续累积而成。

PNET 离线

帖子:23
粉蓝豆:1
经验:30
注册时间:2011-11-19
加关注  |  发消息
27 楼    发表于2011-11-21 09:21:21举报|引用
返回顶部 | 快捷回复

CIN2-3累腺,锥切

0
回复
signature
喜欢形态学

ningxing_2007 离线

帖子:28
粉蓝豆:15
经验:61
注册时间:2011-09-28
加关注  |  发消息
28 楼    发表于2011-11-24 19:46:21举报|引用
返回顶部 | 快捷回复

CIN II-III,累及腺体

0
回复
signature
淡泊以明志,宁静以至远

liangwus 离线

帖子:250
粉蓝豆:948
经验:1185
注册时间:2007-08-14
加关注  |  发消息
29 楼    发表于2011-11-25 22:37:07举报|引用
返回顶部 | 快捷回复

CIN-2,累腺。记杨斌老师说过,发现累腺,必是CIN-2以上病变。

0
回复

binghongcha 离线

帖子:311
粉蓝豆:452
经验:334
注册时间:2011-08-02
加关注  |  发消息
30 楼    发表于2011-11-25 23:13:44举报|引用
返回顶部 | 快捷回复

高级别上皮内瘤变伴累腺

0
回复

病理020 离线

帖子:1344
粉蓝豆:5580
经验:1814
注册时间:2011-10-02
加关注  |  发消息
31 楼    发表于2011-11-26 14:51:43举报|引用
返回顶部 | 快捷回复

CIN2累及腺体

0
回复
signature
邓学田

li777dan777 离线

帖子:68
粉蓝豆:1
经验:156
注册时间:2011-10-30
加关注  |  发消息
32 楼    发表于2011-11-26 16:00:39举报|引用
返回顶部 | 快捷回复

CIN2-3累腺

0
回复

一了 离线

帖子:2138
粉蓝豆:64
经验:2288
注册时间:2009-03-31
加关注  |  发消息
33 楼    发表于2011-11-26 16:03:04举报|引用
返回顶部 | 快捷回复

CIN3累腺

0
回复

meihao 离线

帖子:635
粉蓝豆:275
经验:1820
注册时间:2011-10-12
加关注  |  发消息
34 楼    发表于2011-11-26 23:11:40举报|引用
返回顶部 | 快捷回复

 第一次发片子是CIN2级,第二次介于2-3之间。

年轻可以染染Ki67、P16、P53.确定一下级别。

因为咱们报2级只锥切就可以,3级要切子宫

 

0
回复
signature
感谢华夏病理网!
回复:34 阅读:6624
共2页/34条首页上一页12下一页尾页
【免责声明】讨论内容仅作学术交流之用,不作为诊疗依据,由此而引起的法律问题作者及本站不承担任何责任。
快速回复
进入高级回复
您最多可输入10000个汉字,按 "Ctrl" + "Enter" 直接发送
搜索回复/乘电梯 ×
按内容
按会员
乘电梯
合作伙伴
友情链接