共2页/34条首页上一页12下一页尾页
回复:34 阅读:6642
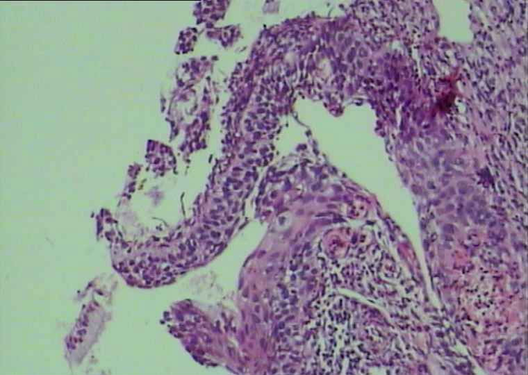
30岁宫颈活检

宁静致远 离线

帖子:4242
粉蓝豆:2853
经验:6556
注册时间:2007-03-27
加关注  |  发消息
楼主 发表于 2011-09-20 14:51|举报|关注(0)
浏览排序[ 顺序 逆序 楼主 支持 精彩 ]  快捷回复

 

  • 30岁宫颈活检图1
    图1
  • 30岁宫颈活检图2
    图2
  • 30岁宫颈活检图3
    图3
  • 30岁宫颈活检图4
    图4
  • 30岁宫颈活检图5
    图5
  • 30岁宫颈活检图6
    图6
  • 30岁宫颈活检图7
    图7
  • 30岁宫颈活检图8
    图8
  • 30岁宫颈活检图9
    图9
标签:
本帖最后由 宁静致远 于 2011-09-20 21:43:58 编辑
0
添加参考诊断
×参考诊断
  

城北 离线

帖子:2459
粉蓝豆:232
经验:18853
注册时间:2006-09-12
加关注  |  发消息
1 楼    发表于2011-09-20 15:41:42举报|引用
返回顶部 | 快捷回复

高级别鳞状上皮内病变,也请补充病史。

2

看图说话

贝贝
回复
signature

知之者不如好之者,好之者不如乐之者。(语出幽梦影)

红树林 离线

帖子:618
粉蓝豆:49
经验:2614
注册时间:2009-02-10
加关注  |  发消息
2 楼    发表于2011-09-20 20:11:30举报|引用
返回顶部 | 快捷回复

CIN2-3累腺

1

huxiu
回复

gzzcxp 离线

帖子:96
粉蓝豆:7
经验:452
注册时间:2007-07-08
加关注  |  发消息
3 楼    发表于2011-09-20 20:24:42举报|引用
返回顶部 | 快捷回复

CIN-2,累腺。

2

阿斌

yangpeng
回复

宁静致远 离线

帖子:4242
粉蓝豆:2853
经验:6556
注册时间:2007-03-27
加关注  |  发消息
4 楼    发表于2011-09-20 21:14:23举报|引用
返回顶部 | 快捷回复
本帖最后由 宁静致远 于 2011-09-20 21:48:14 编辑

  • 图1
  • 图2
  • 图3
  • 图4
  • 图5

没有人认为是CIN1?宫颈息肉 另外加活检 息肉没传 阴道流血

0
回复

fangg 离线

帖子:1426
粉蓝豆:44
经验:1863
注册时间:2007-01-22
加关注  |  发消息
5 楼    发表于2011-09-20 21:27:38举报|引用
返回顶部 | 快捷回复
引用 3 楼 gzzcxp 在 2011-09-20 20:24:42 的发言:

CIN-2,累腺。


1

yangpeng
回复
signature
境随心转

xuleaf 离线

帖子:457
粉蓝豆:20
经验:711
注册时间:2010-04-09
加关注  |  发消息
6 楼    发表于2011-09-20 21:29:17举报|引用
返回顶部 | 快捷回复

觉得CINII应该够了,患者年龄轻,不知道其他点位怎么样

1

多多fund
回复
signature

每个人都有潜在的能量,只是很容易:被习惯所掩盖,被时间所迷离,被惰性所消磨.

sdwf春天 离线

帖子:1578
粉蓝豆:6
经验:6121
注册时间:2007-06-19
加关注  |  发消息
7 楼    发表于2011-09-21 00:40:38举报|引用
返回顶部 | 快捷回复

CIN级,伴滤泡性宫颈炎。不像累腺

0
回复
signature
我喜欢春天,更喜欢华夏病理网

广秀 离线

帖子:2711
粉蓝豆:1246
经验:3502
注册时间:2009-09-15
加关注  |  发消息
8 楼    发表于2011-09-23 06:48:46举报|引用
返回顶部 | 快捷回复

高度累腺

0
回复
signature
人淡如菊,心素如简。

城北 离线

帖子:2459
粉蓝豆:232
经验:18853
注册时间:2006-09-12
加关注  |  发消息
9 楼    发表于2011-09-24 08:59:16举报|引用
返回顶部 | 快捷回复
引用 4 楼 宁静致远 在 2011-09-20 21:14:23 的发言:
本帖最后由 宁静致远 于 2011-09-20 21:48:14 编辑

  • 没有人认为是CIN1?宫颈息肉 另外加活检 息肉没传 阴道流血

为什么会是CIN1呢?首先多形性比较明显,核分裂也易见,也没有明显的分化,这三点都指向高级别的鳞上皮病变啊,至于鉴别可能是修复性改变及不成熟化生,而不是和CIN1鉴别。

0
回复
signature

知之者不如好之者,好之者不如乐之者。(语出幽梦影)

duhua 离线

帖子:1206
粉蓝豆:152
经验:1738
注册时间:2008-08-19
加关注  |  发消息
10 楼    发表于2011-10-08 21:19:06举报|引用
返回顶部 | 快捷回复

CIN2-3累腺

0
回复

红树林 离线

帖子:618
粉蓝豆:49
经验:2614
注册时间:2009-02-10
加关注  |  发消息
11 楼    发表于2011-10-29 15:02:45举报|引用
返回顶部 | 快捷回复

CIN1

0
回复

亡羊补牢 离线

帖子:1304
粉蓝豆:2
经验:2118
注册时间:2010-09-29
加关注  |  发消息
12 楼    发表于2011-10-29 20:41:26举报|引用
返回顶部 | 快捷回复

CINⅡ,累腺

0
回复
signature

一花一世界,一木一浮生

200406 离线

帖子:1385
粉蓝豆:145
经验:2735
注册时间:2011-08-08
加关注  |  发消息
13 楼    发表于2011-11-11 23:10:23举报|引用
返回顶部 | 快捷回复

CIN2,累腺出达CIN3.

0
回复

yangzhijun 离线

帖子:84
粉蓝豆:2
经验:86
注册时间:2010-05-13
加关注  |  发消息
14 楼    发表于2011-11-12 08:04:24举报|引用
返回顶部 | 快捷回复

CIN2-3累腺

0
回复

yangzhijun 离线

帖子:84
粉蓝豆:2
经验:86
注册时间:2010-05-13
加关注  |  发消息
15 楼    发表于2011-11-12 08:04:39举报|引用
返回顶部 | 快捷回复

CIN2-3累腺

0
回复

雨竹 离线

帖子:316
粉蓝豆:689
经验:479
注册时间:2011-07-19
加关注  |  发消息
16 楼    发表于2011-11-17 17:18:45举报|引用
返回顶部 | 快捷回复

CINⅡ,累腺

0
回复

泉水叮咚响 离线

帖子:2163
粉蓝豆:113
经验:11663
注册时间:2010-12-30
加关注  |  发消息
17 楼    发表于2011-11-17 18:40:56举报|引用
返回顶部 | 快捷回复

 CIN-2,累腺

0
回复
signature
刀不磨会生锈,人不学习会落后。

红叶知秋 离线

帖子:381
粉蓝豆:11
经验:1143
注册时间:2010-03-11
加关注  |  发消息
18 楼    发表于2011-11-17 21:50:59举报|引用
返回顶部 | 快捷回复

CIN1,

0
回复
signature
我爱华夏,更爱华夏的各位良师益友!你是我学习的乐园!

少恭 离线

帖子:66
粉蓝豆:47
经验:200
注册时间:2011-07-14
加关注  |  发消息
19 楼    发表于2011-11-17 22:06:24举报|引用
返回顶部 | 快捷回复

图1 9更倾向与CIN1

图2 4 5 6 更倾向CIN2-3

图3 8那一块不是很肯定是累腺还是切面的问题

0
回复

www810910 离线

帖子:5455
粉蓝豆:349
经验:7608
注册时间:2010-05-27
加关注  |  发消息
20 楼    发表于2011-11-17 22:10:38举报|引用
返回顶部 | 快捷回复
引用 15 楼 yangzhijun 在 2011-11-12 08:04:39 的发言:

CIN2-3累腺


0
回复
signature
做人要知足,做事要知不足,做学问要不知足!
回复:34 阅读:6642
共2页/34条首页上一页12下一页尾页
【免责声明】讨论内容仅作学术交流之用,不作为诊疗依据,由此而引起的法律问题作者及本站不承担任何责任。
快速回复
进入高级回复
您最多可输入10000个汉字,按 "Ctrl" + "Enter" 直接发送
搜索回复/乘电梯 ×
按内容
按会员
乘电梯
合作伙伴
友情链接