共1页/14条首页上一页1下一页尾页
回复:14 阅读:3053
宫颈尖锐湿疣伴中重不典型???

中国人 离线

帖子:15
粉蓝豆:1
经验:22
注册时间:2011-09-13
加关注  |  发消息
楼主 发表于 2011-09-19 18:51|举报|关注(0)
浏览排序[ 顺序 逆序 楼主 支持 精彩 ]  快捷回复

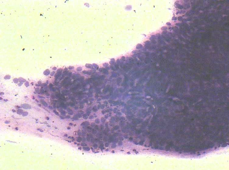
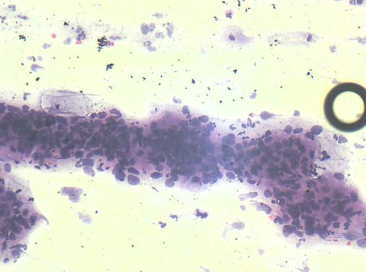
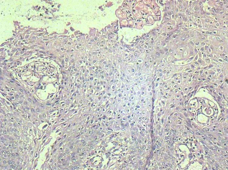
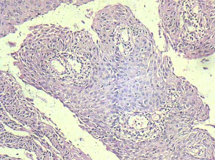
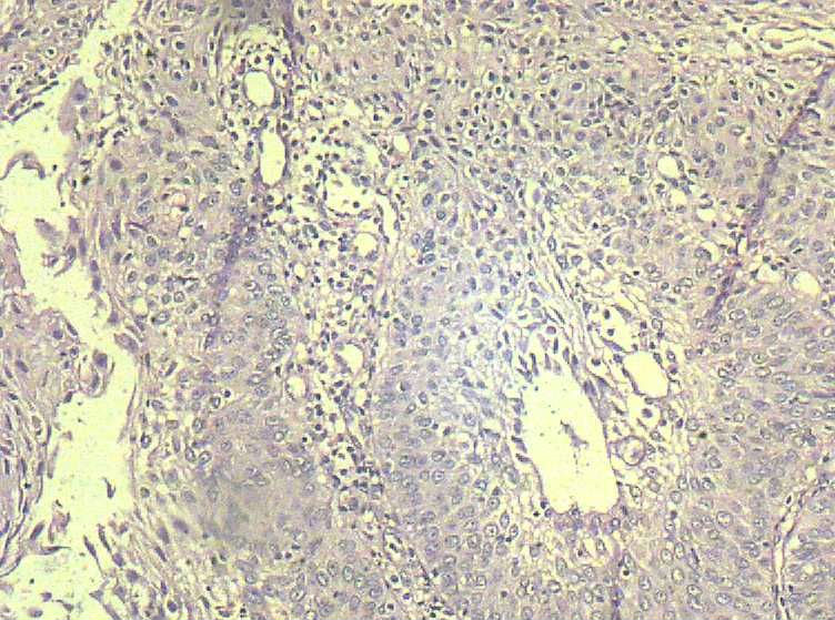
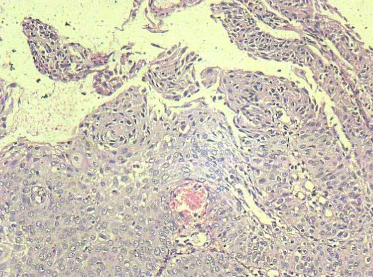
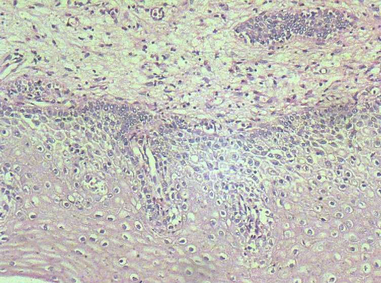
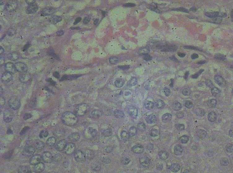
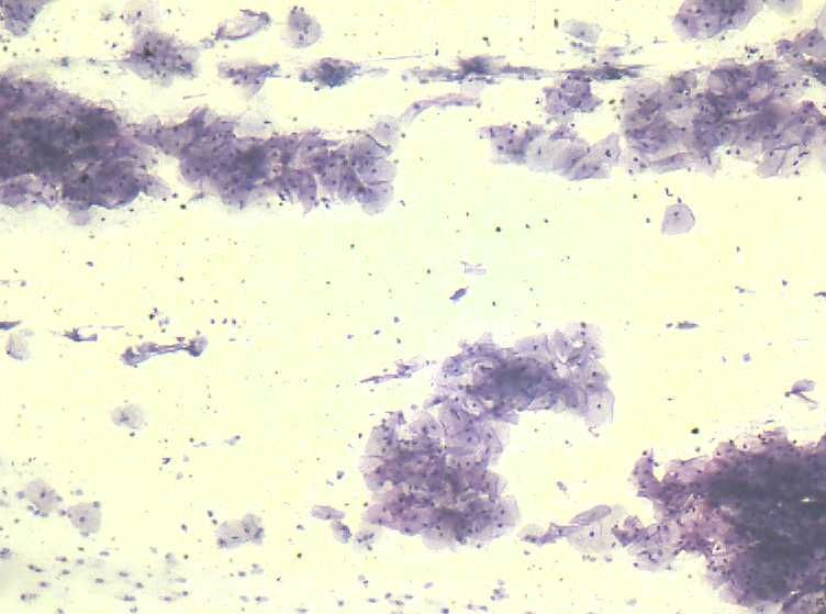
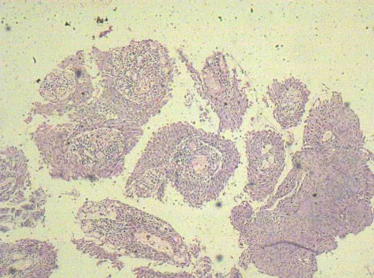
33岁 宫颈刮片看上去很像腺上皮病变,报了AGC 建议活检。 活检取自宫颈,图片如下:请帮忙看下,谢谢!

    • 宫颈尖锐湿疣伴中重不典型???图1
      图1
    • 宫颈尖锐湿疣伴中重不典型???图2
      图2
    • 宫颈尖锐湿疣伴中重不典型???图3
      图3
    • 宫颈尖锐湿疣伴中重不典型???图4
      图4
    • 宫颈尖锐湿疣伴中重不典型???图5
      图5
    • 宫颈尖锐湿疣伴中重不典型???图6
      图6
    • 宫颈尖锐湿疣伴中重不典型???图7
      图7
    • 宫颈尖锐湿疣伴中重不典型???图8
      图8
    • 宫颈尖锐湿疣伴中重不典型???图9
      图9
    • 宫颈尖锐湿疣伴中重不典型???图10
      图10
    • 宫颈尖锐湿疣伴中重不典型???图11
      图11
    • 宫颈尖锐湿疣伴中重不典型???图12
      图12
    • 宫颈尖锐湿疣伴中重不典型???图13
      图13
    • 宫颈尖锐湿疣伴中重不典型???图14
      图14
    • 宫颈尖锐湿疣伴中重不典型???图15
      图15
    宫颈尖锐湿疣伴中重不典型???图16
    图1
  • 宫颈尖锐湿疣伴中重不典型???图17
    图2
  • 宫颈尖锐湿疣伴中重不典型???图18
    图3
  • 宫颈尖锐湿疣伴中重不典型???图19
    图4
  • 宫颈尖锐湿疣伴中重不典型???图20
    图5
  • 宫颈尖锐湿疣伴中重不典型???图21
    图6
  • 宫颈尖锐湿疣伴中重不典型???图22
    图7
  • 宫颈尖锐湿疣伴中重不典型???图23
    图8
  • 宫颈尖锐湿疣伴中重不典型???图24
    图9
标签:
本帖最后由 中国人 于 2011-09-20 19:41:01 编辑
0
添加参考诊断
×参考诊断
  

fs2008 离线

帖子:25
粉蓝豆:1
经验:321
注册时间:2011-07-30
加关注  |  发消息
1 楼    发表于2011-09-19 19:14:20举报|引用
返回顶部 | 快捷回复

鳞状上皮增厚,乳头状增生,并见挖空样细胞。提示HPV感染。

0
回复

闪闪红星 离线

帖子:18
粉蓝豆:1
经验:87
注册时间:2011-07-29
加关注  |  发消息
2 楼    发表于2011-09-19 19:16:32举报|引用
返回顶部 | 快捷回复

鳞状上皮乳头瘤样增生,建议HPV检测

 

 

0
回复

镜下所见 离线

帖子:96
粉蓝豆:605
经验:419
注册时间:2008-09-14
加关注  |  发消息
3 楼    发表于2011-09-19 19:47:19举报|引用
返回顶部 | 快捷回复

鳞状上皮增厚,乳头状增生,并见挖空样细胞。提示HPV感染。

0
回复

花果山 离线

帖子:480
粉蓝豆:884
经验:939
注册时间:2008-11-09
加关注  |  发消息
4 楼    发表于2011-09-19 21:27:48举报|引用
返回顶部 | 快捷回复

鳞状上皮增厚,乳头状增生,并见挖空样细胞。提示HPV感染。

0
回复

405绿茶 离线

帖子:59
粉蓝豆:351
经验:97
注册时间:2010-10-13
加关注  |  发消息
5 楼    发表于2011-09-19 21:37:03举报|引用
返回顶部 | 快捷回复

像是增生,病毒感染。学习一下。

0
回复
signature
为自己的理想奋斗

李轶 离线

帖子:29
粉蓝豆:2
经验:67
注册时间:2011-07-15
加关注  |  发消息
6 楼    发表于2011-09-19 21:44:12举报|引用
返回顶部 | 快捷回复

鳞状上皮增厚,乳头状增生,并见挖空样细胞。提示HPV感染。

0
回复

田园 离线

帖子:165
粉蓝豆:445
经验:790
注册时间:2007-12-01
加关注  |  发消息
7 楼    发表于2011-09-19 22:04:50举报|引用
返回顶部 | 快捷回复

尖锐湿疣

0
回复
signature
田园

wuxiuqian 离线

帖子:21
粉蓝豆:1
经验:52
注册时间:2008-08-31
加关注  |  发消息
8 楼    发表于2011-09-19 22:32:38举报|引用
返回顶部 | 快捷回复

尖锐湿疣

0
回复

中国人 离线

帖子:15
粉蓝豆:1
经验:22
注册时间:2011-09-13
加关注  |  发消息
9 楼    发表于2011-09-20 00:51:20举报|引用
返回顶部 | 快捷回复

 怪我没有把那些重一点区域发上来  !
有不典型增生, 不知道大家有没有看到。  如果有不典型和上面的图像可或直接报 :尖锐湿疣伴不典型增生。

0
回复

guofuqiangjing 离线

帖子:791
粉蓝豆:18
经验:954
注册时间:2010-07-22
加关注  |  发消息
10 楼    发表于2011-09-20 01:12:56举报|引用
返回顶部 | 快捷回复

建议楼主上传宫颈刮片,对比学习一下!

谢谢!

0
回复

巴特尔 离线

帖子:117
粉蓝豆:11
经验:1303
注册时间:2011-08-30
加关注  |  发消息
11 楼    发表于2011-09-20 08:55:58举报|引用
返回顶部 | 快捷回复

鳞状上皮化生,乳头状增生,并见挖空样细胞。建议做HPV检测

0
回复
signature
巴特尔

中国人 离线

帖子:15
粉蓝豆:1
经验:22
注册时间:2011-09-13
加关注  |  发消息
12 楼    发表于2011-09-20 13:01:16举报|引用
返回顶部 | 快捷回复

 好的 晚上把刮片发上来  大学指导一下 。 

0
回复

选选 离线

帖子:183
粉蓝豆:34
经验:381
注册时间:2009-05-25
加关注  |  发消息
13 楼    发表于2011-09-20 18:53:19举报|引用
返回顶部 | 快捷回复

湿疣

0
回复
signature
学习

中国人 离线

帖子:15
粉蓝豆:1
经验:22
注册时间:2011-09-13
加关注  |  发消息
14 楼    发表于2011-09-20 19:53:32举报|引用
返回顶部 | 快捷回复

今天把刮片的图片上了,只是拍的图片效果不好。这张刮片的表层鳞状上皮 很好  没有看到不明显的不典型,也没有看到明显的挖空细胞  。那些一堆堆的细胞  不管从形态 和排列上我 觉得都像 腺上皮的  不过有一点不太像就是没有看到明显的核仁 。这张片的组织学  我报了 符合(宫颈)尖锐湿疣伴不典型增生 。建议HPV检测。不知妥否?请大家给予指点

0
回复
回复:14 阅读:3053
共1页/14条首页上一页1下一页尾页
【免责声明】讨论内容仅作学术交流之用,不作为诊疗依据,由此而引起的法律问题作者及本站不承担任何责任。
快速回复
进入高级回复
您最多可输入10000个汉字,按 "Ctrl" + "Enter" 直接发送
搜索回复/乘电梯 ×
按内容
按会员
乘电梯
合作伙伴
友情链接