共1页/14条首页上一页1下一页尾页
回复:14 阅读:3351
胸水

陈奕君 离线

帖子:124
粉蓝豆:39
经验:364
注册时间:2009-11-10
加关注  |  发消息
楼主 发表于 2011-09-19 18:07|举报|关注(0)
浏览排序[ 顺序 逆序 楼主 支持 精彩 ]  快捷回复

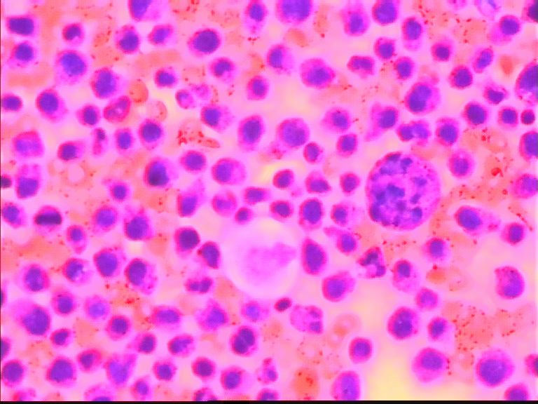
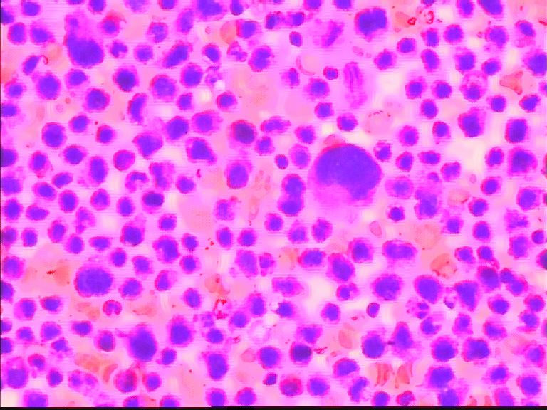
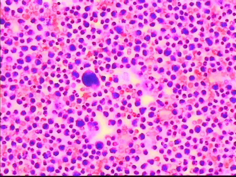
 68岁,男,CT示胆囊有增粗影,余检查无殊,临床考虑胃肠道肿瘤。肿瘤指标均正常。

  • 胸水图1
    图1
  • 胸水图2
    图2
  • 胸水图3
    图3
  • 胸水图4
    图4
  • 胸水图5
    图5
  • 胸水图6
    图6
  • 胸水图7
    图7
  • 胸水图8
    图8
  • 胸水图9
    图9
  • 胸水图10
    图10
  • 胸水图11
    图11
  • 胸水图12
    图12
  • 胸水图13
    图13
  • 胸水图14
    图14
  • 胸水图15
    图15
  • 胸水图16
    图16
  • 胸水图17
    图17
  • 胸水图18
    图18
  • 胸水图19
    图19
  • 胸水图20
    图20
  • 胸水图21
    图21
  • 胸水图22
    图22
 
标签:
0
添加参考诊断
×参考诊断
  

掌心0164 离线

帖子:2403
粉蓝豆:504
经验:2925
注册时间:2009-03-21
加关注  |  发消息
4 楼    发表于2011-09-19 22:26:30举报|引用
返回顶部 | 快捷回复

这些图片应该是干性固定的吧,细胞退变明显;我刚看这些涂片的时候;如果不是楼主提示是胸水;我以为还是在看骨髓的HE涂片;请注意不要只注意哪些大细胞,还要仔细看那些背景中有核的细胞,大小不等;有异型性;请楼主提供病人的外周血象结果和其他相关临床情况;如果那些大细胞是巨核细胞,那这个病人很可能是白血病或淋巴造血肿瘤;另要注意鉴别其他未分化癌或肉瘤。

2

jxfzzsh2..

亡羊补牢
回复
signature
掌心0164

射手笑笑 离线

帖子:1495
粉蓝豆:187
经验:2536
注册时间:2009-05-29
加关注  |  发消息
2 楼    发表于2011-09-19 21:17:21举报|引用
返回顶部 | 快捷回复

这种细胞太少了

有异性

但不敢定癌

 

2

亡羊补牢

200406
回复
signature
人最幸福的一生是人生层次不断上升的一生…… 痛而不言是智慧,笑而不语是豁达……

貂蝉 离线

帖子:16
粉蓝豆:17
经验:52
注册时间:2011-09-19
加关注  |  发消息
10 楼    发表于2011-09-23 22:35:56举报|引用
返回顶部 | 快捷回复

 背景中的细胞也是有些大小不一,考虑淋巴造血系统的肿瘤,期待进一步的结果

1

197
回复

197 离线

帖子:4781
粉蓝豆:803
经验:5032
注册时间:2006-09-12
加关注  |  发消息
9 楼    发表于2011-09-23 22:28:28举报|引用
返回顶部 | 快捷回复

图像实在不清晰,不足诊断。疑为低分化腺癌或未分化癌。

0
回复
signature
“人生没有彩排,每一天都是现场直播”

gwls0008 离线

帖子:1365
粉蓝豆:5
经验:1465
注册时间:2008-08-24
加关注  |  发消息
7 楼    发表于2011-09-22 18:54:27举报|引用
返回顶部 | 快捷回复

个人倾向低分化腺癌。如果是淋巴造血系统的肿瘤,胞浆太多了些。

0
回复

liguoxia71 离线

帖子:4174
粉蓝豆:3122
经验:4677
注册时间:2007-04-01
加关注  |  发消息
6 楼    发表于2011-09-20 22:08:52举报|引用
返回顶部 | 快捷回复

同样考虑恶性肿瘤,首选 淋巴造血系统疾病。期待继续!

0
回复
signature
三人行,必有我师焉,择其善者而从之,其不善者而改之。

流水 离线

帖子:1105
粉蓝豆:46
经验:3110
注册时间:2008-11-11
加关注  |  发消息
5 楼    发表于2011-09-20 07:38:04举报|引用
返回顶部 | 快捷回复

细胞退变,少量异常细胞!

0
回复

大雪纷飞 离线

帖子:799
粉蓝豆:16
经验:961
注册时间:2009-02-16
加关注  |  发消息
14 楼    发表于2011-10-21 09:41:46举报|引用
返回顶部 | 快捷回复

学习掌心老师的诊断思路

0
回复
signature
渴望远足

xb3263 离线

帖子:510
粉蓝豆:3
经验:605
注册时间:2009-01-05
加关注  |  发消息
8 楼    发表于2011-09-23 15:06:14举报|引用
返回顶部 | 快捷回复

见恶性细胞,具体类型无法看清楚。

0
回复

陈奕君 离线

帖子:124
粉蓝豆:39
经验:364
注册时间:2009-11-10
加关注  |  发消息
11 楼    发表于2011-10-14 20:30:33举报|引用
返回顶部 | 快捷回复

免疫组化结果 最后为淋巴瘤

0
回复

迷茫 离线

帖子:659
粉蓝豆:260
经验:2173
注册时间:2007-10-29
加关注  |  发消息
1 楼    发表于2011-09-19 20:47:20举报|引用
返回顶部 | 快捷回复

图像失真,倾向低分化腺癌

0
回复

陈奕君 离线

帖子:124
粉蓝豆:39
经验:364
注册时间:2009-11-10
加关注  |  发消息
13 楼    发表于2011-10-16 12:33:23举报|引用
返回顶部 | 快捷回复

这例我们本院没有做组化,是去浙一重取胸水做细胞学组化诊断的

0
回复

陈奕君 离线

帖子:124
粉蓝豆:39
经验:364
注册时间:2009-11-10
加关注  |  发消息
3 楼    发表于2011-09-19 21:24:17举报|引用
返回顶部 | 快捷回复

片子里面这种细胞很多,让我总是觉得有问题,但是又不敢报癌,拍的还是最典型的 感觉核好像看起来有点奇怪,也不知道是什么原因

0
回复

3673566 离线

帖子:1879
粉蓝豆:74
经验:3305
注册时间:2006-10-29
加关注  |  发消息
12 楼    发表于2011-10-14 22:10:59举报|引用
返回顶部 | 快捷回复

能将IHC图片上传学习学习吗?谢谢!

0
回复
回复:14 阅读:3351
共1页/14条首页上一页1下一页尾页
【免责声明】讨论内容仅作学术交流之用,不作为诊疗依据,由此而引起的法律问题作者及本站不承担任何责任。
快速回复
进入高级回复
您最多可输入10000个汉字,按 "Ctrl" + "Enter" 直接发送
搜索回复/乘电梯 ×
按内容
按会员
乘电梯
合作伙伴
友情链接