共2页/25条首页上一页12下一页尾页
回复:25 阅读:7697
背部肿物,急请老师看看!!

dama0609 离线

帖子:613
粉蓝豆:1474
经验:708
注册时间:2008-09-08
加关注  |  发消息
楼主 发表于 2011-09-16 22:27|举报|关注(1)
浏览排序[ 顺序 逆序 楼主 支持 精彩 ]  快捷回复

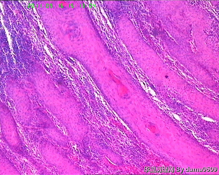
女,背部皮肤肿物,病史不详。送检梭皮组织一块,S:4.5x2.2cm,正中一圆形隆起,直径2.0cm,表面黄白色与周围界清,切面实性灰白色。

  • 背部肿物,急请老师看看!!图1
    图1
  • 背部肿物,急请老师看看!!图2
    图2
  • 背部肿物,急请老师看看!!图3
    图3
  • 背部肿物,急请老师看看!!图4
    图4
  • 背部肿物,急请老师看看!!图5
    图5
  • 背部肿物,急请老师看看!!图6
    图6
  • 背部肿物,急请老师看看!!图7
    图7
  • 背部肿物,急请老师看看!!图8
    图8
  • 背部肿物,急请老师看看!!图9
    图9
  • 背部肿物,急请老师看看!!图10
    图10
  • 背部肿物,急请老师看看!!图11
    图11
  • 背部肿物,急请老师看看!!图12
    图12
  • 背部肿物,急请老师看看!!图13
    图13
  • 背部肿物,急请老师看看!!图14
    图14
  • 背部肿物,急请老师看看!!图15
    图15
  • 背部肿物,急请老师看看!!图16
    图16
  • 背部肿物,急请老师看看!!图17
    图17
  • 背部肿物,急请老师看看!!图18
    图18
  • 背部肿物,急请老师看看!!图19
    图19
  • 背部肿物,急请老师看看!!图20
    图20
  • 背部肿物,急请老师看看!!图21
    图21
  • 背部肿物,急请老师看看!!图22
    图22
  • 背部肿物,急请老师看看!!图23
    图23
  • 背部肿物,急请老师看看!!图24
    图24
 
标签:
本帖最后由 dama0609 于 2011-09-16 22:29:19 编辑
1
signature
过河小马!
×参考诊断
该患者经上级医院会诊,回报:(背部皮肤)淋巴组织增生,伴轻度异形;鳞状上皮呈乳头状增生,伴轻-中度不典型增生。建议密切随诊。免疫组化结果:CD3(+), CD5(+), CD20(+)部分,CD21(+), CD68(+)部分,Ki67---15%。

dama0609 离线

帖子:613
粉蓝豆:1474
经验:708
注册时间:2008-09-08
加关注  |  发消息
25 楼    发表于2011-09-25 07:05:08举报|引用
返回顶部 | 快捷回复

各位老师好,该患者经上级医院会诊,回报:(背部皮肤)淋巴组织增生,伴轻度异形;鳞状上皮呈乳头状增生,伴轻-中度不典型增生。建议密切随诊。免疫组化结果:CD3(+), CD5(+), CD20(+)部分,CD21(+),  CD68(+)部分,Ki67---15%。

请老师们指教,再次感谢大家关注。

0
回复
signature
过河小马!

杏林散客 离线

帖子:2097
粉蓝豆:87
经验:2406
注册时间:2008-05-18
加关注  |  发消息
24 楼    发表于2011-09-20 23:19:23举报|引用
返回顶部 | 快捷回复

因为有网络,其实比前辈我们幸运多了,因为可以更方便的请教和交流,多学习,多交流,慢慢成长起来,基层医院也有优势,可以理直气壮的要求外出上级医院会诊,病理尤其良恶,宁愿承认自己水平有限,也不能犯错吃官司!

1

xuleaf
回复
signature
皮毛之事,方寸之间,大千世界!

dama0609 离线

帖子:613
粉蓝豆:1474
经验:708
注册时间:2008-09-08
加关注  |  发消息
23 楼    发表于2011-09-20 19:55:40举报|引用
返回顶部 | 快捷回复

学生这里是基层单位,没有开展免疫组化。我报了“考虑为皮肤淋巴组织增生,不除外皮肤淋巴瘤可能。建议上级医院会诊”,也不知道妥当不妥当。患者家属已经借片会诊去了,有结果我会告诉大家。

有时候学生很痛苦、很困惑,痛苦的是基层医院的病理医生太难了;困惑的是基层医院的病理科出路在何方??

再次感谢老师们的不吝赐教,谢谢!!

1

whwwhw
回复
signature
过河小马!

巴特尔 离线

帖子:117
粉蓝豆:11
经验:1303
注册时间:2011-08-30
加关注  |  发消息
22 楼    发表于2011-09-20 09:48:28举报|引用
返回顶部 | 快捷回复

考虑蕈样霉菌病,建议做免疫组化

0
回复
signature
巴特尔

杏林散客 离线

帖子:2097
粉蓝豆:87
经验:2406
注册时间:2008-05-18
加关注  |  发消息
21 楼    发表于2011-09-19 23:26:17举报|引用
返回顶部 | 快捷回复

免疫组化明确单克隆还是多克隆的,真假淋巴瘤需要综合判断的,有时比较困难!

0
回复
signature
皮毛之事,方寸之间,大千世界!

一棵小草 离线

帖子:5101
粉蓝豆:12
经验:7184
注册时间:2008-07-07
加关注  |  发消息
20 楼    发表于2011-09-17 20:49:05举报|引用
返回顶部 | 快捷回复

图片欠清晰,大量淋巴细胞真皮、皮下组织浸润,好像异型性不是太明显?结合病史,不除外假性淋巴瘤。还是做个免疫组化为妥。

1

zblzbl20..
回复

巴山夜雨 离线

帖子:34
粉蓝豆:26
经验:229
注册时间:2008-05-10
加关注  |  发消息
19 楼    发表于2011-09-17 20:45:39举报|引用
返回顶部 | 快捷回复

假上皮瘤样增生,其下大量淋巴样细胞浸润,结合有外用药病史,考虑急性淋巴细胞反应性增生。

0
回复

大雪素 离线

帖子:1544
粉蓝豆:226
经验:8540
注册时间:2010-01-25
加关注  |  发消息
18 楼    发表于2011-09-17 20:30:06举报|引用
返回顶部 | 快捷回复

还是要考虑淋巴瘤

0
回复
signature
挺挺花卉中,竹有节而啬花,梅有花而啬叶,松有叶而啬香,唯兰独并有之

0706 离线

帖子:173
粉蓝豆:31
经验:675
注册时间:2008-10-30
加关注  |  发消息
17 楼    发表于2011-09-17 20:11:33举报|引用
返回顶部 | 快捷回复

免疫组化排除淋巴瘤

0
回复

清水波心 离线

帖子:435
粉蓝豆:12
经验:561
注册时间:2011-02-16
加关注  |  发消息
16 楼    发表于2011-09-17 19:23:07举报|引用
返回顶部 | 快捷回复

倾向于淋巴瘤,建议免疫组化标记以便进一步确诊。

0
回复

wcq321 离线

帖子:667
粉蓝豆:36
经验:1163
注册时间:2008-06-27
加关注  |  发消息
15 楼    发表于2011-09-17 17:16:45举报|引用
返回顶部 | 快捷回复

考虑淋巴瘤,需免疫组化标记

0
回复

chaikeqin 离线

帖子:1355
粉蓝豆:8
经验:1483
注册时间:2009-12-31
加关注  |  发消息
14 楼    发表于2011-09-17 16:33:21举报|引用
返回顶部 | 快捷回复

考虑淋巴瘤

1

whwwhw
回复

glz337761 离线

帖子:10
粉蓝豆:328
经验:22
注册时间:2011-06-30
加关注  |  发消息
13 楼    发表于2011-09-17 15:01:06举报|引用
返回顶部 | 快捷回复

需做免疫组化,考虑淋巴瘤

0
回复

安迪 离线

帖子:598
粉蓝豆:3525
经验:849
注册时间:2011-03-04
加关注  |  发消息
12 楼    发表于2011-09-17 14:55:54举报|引用
返回顶部 | 快捷回复

考虑淋巴瘤,好像汗腺导管浸润

0
回复

选选 离线

帖子:183
粉蓝豆:34
经验:381
注册时间:2009-05-25
加关注  |  发消息
11 楼    发表于2011-09-17 14:16:53举报|引用
返回顶部 | 快捷回复

做酶标除外淋巴瘤

0
回复
signature
学习

feng123456 离线

帖子:16
粉蓝豆:1
经验:163
注册时间:2011-07-02
加关注  |  发消息
10 楼    发表于2011-09-17 14:11:24举报|引用
返回顶部 | 快捷回复

淋巴瘤,恶黑,免疫组化鉴别诊断。

0
回复

dama0609 离线

帖子:613
粉蓝豆:1474
经验:708
注册时间:2008-09-08
加关注  |  发消息
9 楼    发表于2011-09-17 13:35:27举报|引用
返回顶部 | 快捷回复

今日向患者详询病史:该患2个月前背部皮肤起一小丘疹,自觉瘙痒、刺痛,期间自行挤压而曾出血,后到个体诊所以为疖疮之病而外敷膏药,不见好转,病灶渐大,来医院切除。

结合病史及镜下表现,如淋巴细胞浸润以皮下浅层为重、向下渐轻等,是否可符合书上的一个诊断:皮肤假性淋巴瘤(皮肤B细胞假性淋巴瘤)?学生自己没见过,还请老师多指教!!!谢!!

 

0
回复
signature
过河小马!

F8 离线

帖子:132
粉蓝豆:7
经验:265
注册时间:2008-06-21
加关注  |  发消息
8 楼    发表于2011-09-17 11:29:53举报|引用
返回顶部 | 快捷回复

考虑T细胞淋巴瘤:依据1.淋巴样细胞浸润破坏性生长达肌组织;2.淋巴样细胞异型:核形不规则,大小不一,胞浆较丰富.注:表面上皮有增生需排除炎性反应.

2

shihong4..

贝贝
回复

寿小燕 离线

帖子:163
粉蓝豆:96
经验:219
注册时间:2007-04-06
加关注  |  发消息
7 楼    发表于2011-09-17 10:59:21举报|引用
返回顶部 | 快捷回复

蕈样霉菌病

0
回复
signature

非淡泊无以明志,非宁静无以致远

白桦林 离线

帖子:523
粉蓝豆:414
经验:1411
注册时间:2007-06-21
加关注  |  发消息
6 楼    发表于2011-09-17 09:51:06举报|引用
返回顶部 | 快捷回复

考虑高分化鳞癌伴慢性炎细胞浸润。

0
回复
回复:25 阅读:7697
共2页/25条首页上一页12下一页尾页
【免责声明】讨论内容仅作学术交流之用,不作为诊疗依据,由此而引起的法律问题作者及本站不承担任何责任。
快速回复
进入高级回复
您最多可输入10000个汉字,按 "Ctrl" + "Enter" 直接发送
搜索回复/乘电梯 ×
按内容
按会员
乘电梯
合作伙伴
友情链接