共1页/10条首页上一页1下一页尾页
回复:10 阅读:2618
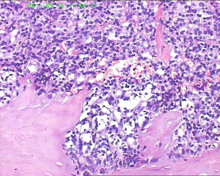
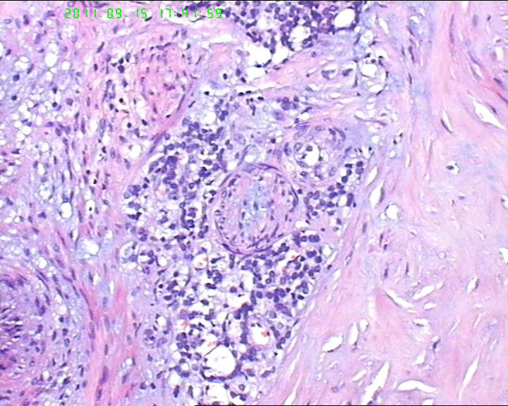
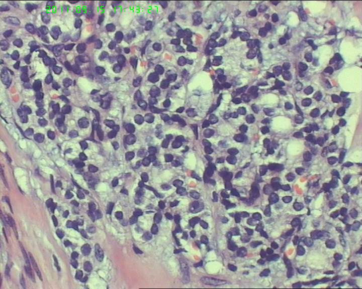
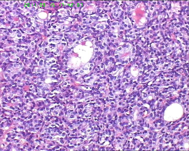
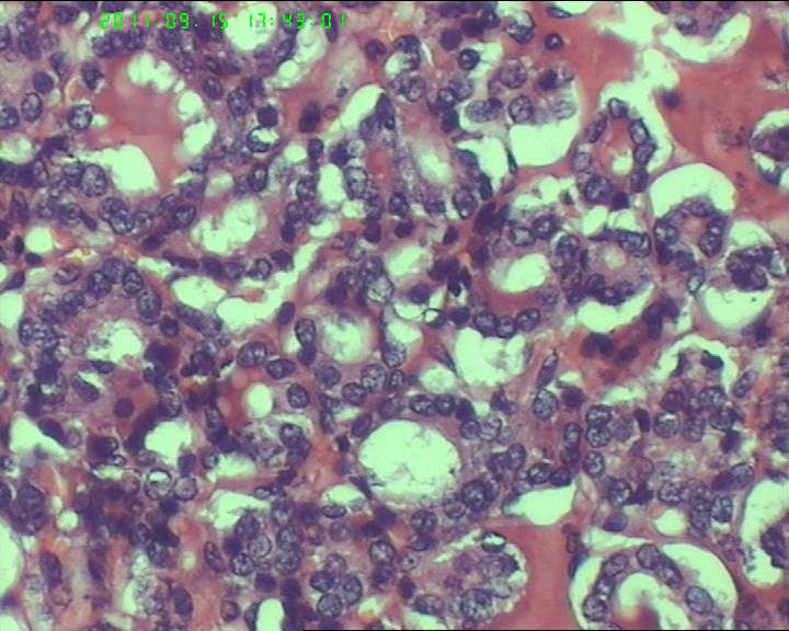
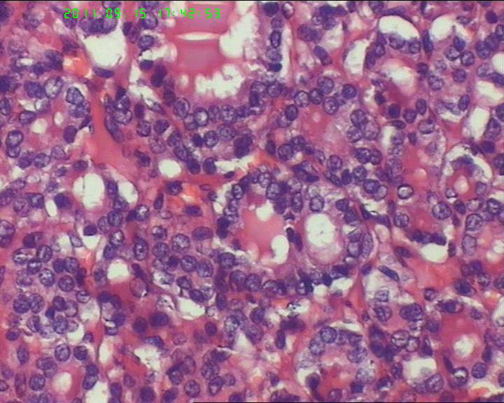
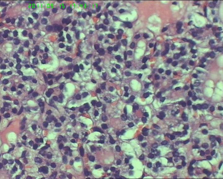
38岁女性甲状腺,腺瘤?滤泡癌?

samool 离线

帖子:250
粉蓝豆:11
经验:389
注册时间:2006-11-29
加关注  |  发消息
楼主 发表于 2011-09-15 17:56|举报|关注(0)
浏览排序[ 顺序 逆序 楼主 支持 精彩 ]  快捷回复

 甲状腺右下极一肿物,3*3大小,切面灰红实性质韧,可见部分包膜,一侧可见一空腔,未见内容物。

38岁女性甲状腺,腺瘤?滤泡癌?图1
名称:图1
描述:20110915-1.jpg.jpg
38岁女性甲状腺,腺瘤?滤泡癌?图2
名称:图2
描述:20110915-2.jpg.jpg
38岁女性甲状腺,腺瘤?滤泡癌?图3
名称:图3
描述:20110915-3.jpg.jpg
38岁女性甲状腺,腺瘤?滤泡癌?图4
名称:图4
描述:20110915-4.jpg.jpg
38岁女性甲状腺,腺瘤?滤泡癌?图5
名称:图5
描述:20110915-5.jpg.jpg
38岁女性甲状腺,腺瘤?滤泡癌?图6
名称:图6
描述:20110915-6.jpg.jpg
38岁女性甲状腺,腺瘤?滤泡癌?图7
名称:图7
描述:20110915-7.jpg.jpg
38岁女性甲状腺,腺瘤?滤泡癌?图8
名称:图8
描述:20110915-10.jpg.jpg
38岁女性甲状腺,腺瘤?滤泡癌?图9
名称:图9
描述:20110915-11.jpg.jpg
38岁女性甲状腺,腺瘤?滤泡癌?图10
名称:图10
描述:20110915-12.jpg.jpg
38岁女性甲状腺,腺瘤?滤泡癌?图11
名称:图11
描述:20110915-13.jpg.jpg
38岁女性甲状腺,腺瘤?滤泡癌?图12
名称:图12
描述:20110915-14.jpg.jpg
38岁女性甲状腺,腺瘤?滤泡癌?图13
名称:图13
描述:20110915-15.jpg.jpg
38岁女性甲状腺,腺瘤?滤泡癌?图14
名称:图14
描述:20110915-16.jpg.jpg
38岁女性甲状腺,腺瘤?滤泡癌?图15
名称:图15
描述:20110915-17.jpg.jpg
38岁女性甲状腺,腺瘤?滤泡癌?图16
名称:图16
描述:20110915-18.jpg.jpg
38岁女性甲状腺,腺瘤?滤泡癌?图17
名称:图17
描述:20110915-19.jpg.jpg
38岁女性甲状腺,腺瘤?滤泡癌?图18
名称:图18
描述:20110915-20.jpg.jpg
38岁女性甲状腺,腺瘤?滤泡癌?图19
名称:图19
描述:20110915-21.jpg.jpg
38岁女性甲状腺,腺瘤?滤泡癌?图20
名称:图20
描述:20110915-22.jpg.jpg
38岁女性甲状腺,腺瘤?滤泡癌?图21
名称:图21
描述:20110915-23.jpg.jpg
38岁女性甲状腺,腺瘤?滤泡癌?图22
名称:图22
描述:20110915-24.jpg.jpg
38岁女性甲状腺,腺瘤?滤泡癌?图23
名称:图23
描述:20110915-25.jpg.jpg
标签:
0
添加参考诊断
×参考诊断
  

wfbjwt 离线

帖子:6628
粉蓝豆:163
经验:7418
注册时间:2006-10-08
加关注  |  发消息
1 楼    发表于2011-09-15 18:11:08举报|引用
返回顶部 | 快捷回复

 高度可疑

0
回复
signature
嫁人就嫁灰太狼,学习要上华夏网。

zhanghx 离线

帖子:197
粉蓝豆:0
经验:243
注册时间:2008-03-22
加关注  |  发消息
2 楼    发表于2011-09-15 18:52:28举报|引用
返回顶部 | 快捷回复

 FC

0
回复

清水波心 离线

帖子:435
粉蓝豆:12
经验:561
注册时间:2011-02-16
加关注  |  发消息
3 楼    发表于2011-09-15 19:22:35举报|引用
返回顶部 | 快捷回复

癌可能性大。

0
回复

liguoxia71 离线

帖子:4174
粉蓝豆:3122
经验:4677
注册时间:2007-04-01
加关注  |  发消息
4 楼    发表于2011-09-15 20:06:30举报|引用
返回顶部 | 快捷回复

够不够滤泡癌,要找有没有浸润。网友们,这么多图片,有包膜浸润吗(哪几张是包膜)?图12、14又是什么?

0
回复
signature
三人行,必有我师焉,择其善者而从之,其不善者而改之。

zhenshijian 离线

帖子:1069
粉蓝豆:91
经验:1364
注册时间:2008-04-20
加关注  |  发消息
5 楼    发表于2011-09-15 21:31:18举报|引用
返回顶部 | 快捷回复

非典型腺瘤,多取材

0
回复

cklas 离线

帖子:880
粉蓝豆:0
经验:1016
注册时间:2011-05-19
加关注  |  发消息
6 楼    发表于2011-09-15 21:45:31举报|引用
返回顶部 | 快捷回复
引用 5 楼 zhenshijian 在 2011-09-15 21:31:18 的发言:

非典型腺瘤,多取材


如找不到明确的胞膜,血管浸润和正常甲状腺组织破坏,最好诊断非典型腺瘤.

0
回复
signature
从事病理需要付出更多!并非人人都适合本专业!

xiaorijing 离线

帖子:73
粉蓝豆:22
经验:114
注册时间:2009-05-05
加关注  |  发消息
7 楼    发表于2011-09-15 21:48:54举报|引用
返回顶部 | 快捷回复

非典型腺瘤,没有看到明显的血管浸润及包膜浸润

 

0
回复

wgprzyy 在线

帖子:47
粉蓝豆:6
经验:142
注册时间:2009-01-30
加关注  |  发消息
8 楼    发表于2011-09-15 22:19:20举报|引用
返回顶部 | 快捷回复

考虑为滤泡性腺癌,再补补材

0
回复
signature
惟有孜孜以求、知道如何承担,才能快乐永远相伴,像风一样自由!

emilypeaker 离线

帖子:654
粉蓝豆:1570
经验:2182
注册时间:2011-01-03
加关注  |  发消息
9 楼    发表于2011-09-17 08:34:44举报|引用
返回顶部 | 快捷回复
引用 4 楼 liguoxia71 在 2011-09-15 20:06:30 的发言:

够不够滤泡癌,要找有没有浸润。网友们,这么多图片,有包膜浸润吗(哪几张是包膜)?图12、14又是什么?


同意李老师的观点。该例目前为止无一张图片显示总体包膜情况(有无包膜,是否腺瘤)。建议楼主上传低倍镜图片。

0
回复
signature
Suffered from papillary thyroid carcinoma, then major in Endocrine tumor.

blkjcg 离线

帖子:215
粉蓝豆:7
经验:296
注册时间:2009-04-21
加关注  |  发消息
10 楼    发表于2011-09-17 08:46:00举报|引用
返回顶部 | 快捷回复

待再取材切片

0
回复
回复:10 阅读:2618
共1页/10条首页上一页1下一页尾页
【免责声明】讨论内容仅作学术交流之用,不作为诊疗依据,由此而引起的法律问题作者及本站不承担任何责任。
快速回复
进入高级回复
您最多可输入10000个汉字,按 "Ctrl" + "Enter" 直接发送
搜索回复/乘电梯 ×
按内容
按会员
乘电梯
合作伙伴
友情链接