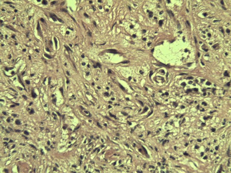
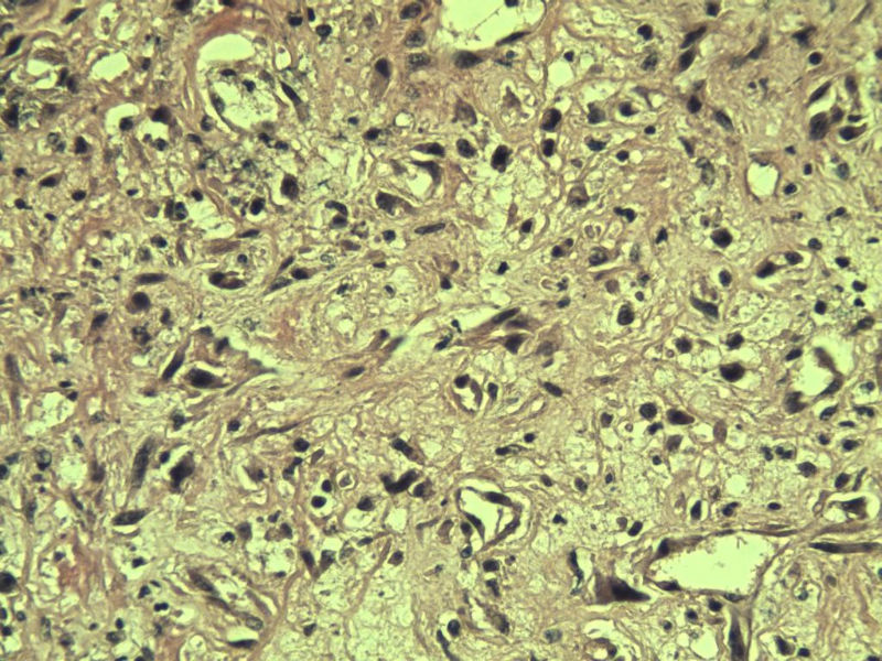
男 33岁 右手食指赘生物5个月 破溃流血一周 灰红不整形组织一块,体积 0.8 × 0.6 × 0.5 cm3。切面灰红,实性,质中。请各位老师看看 是什么? 谢谢了!

名称:图1
描述:a65.Jpg.jpg

名称:图2
描述:a66.Jpg.jpg

名称:图3
描述:a67.Jpg.jpg

名称:图4
描述:a68.Jpg.jpg

名称:图5
描述:a69.Jpg.jpg

名称:图6
描述:a70.Jpg.jpg

名称:图7
描述:a71.Jpg.jpg

名称:图8
描述:a72.Jpg.jpg

名称:图9
描述:a73.Jpg.jpg

名称:图10
描述:a74.Jpg.jpg

名称:图11
描述:a75.Jpg.jpg

名称:图12
描述:a76.Jpg.jpg

名称:图13
描述:a77.Jpg.jpg

名称:图14
描述:a78.Jpg.jpg

名称:图15
描述:a79.Jpg.jpg

名称:图16
描述:a80.Jpg.jpg

名称:图17
描述:a81.Jpg.jpg

名称:图18
描述:a82.Jpg.jpg

名称:图19
描述:a83.Jpg.jpg

名称:图20
描述:a84.Jpg.jpg

名称:图21
描述:a85.Jpg.jpg