共1页/4条首页上一页1下一页尾页
回复:4 阅读:2433
乳房皮肤表面小结节 请会诊!

中国人 离线

帖子:15
粉蓝豆:1
经验:22
注册时间:2011-09-13
加关注  |  发消息
楼主 发表于 2011-09-14 15:43|举报|关注(0)
浏览排序[ 顺序 逆序 楼主 支持 精彩 ]  快捷回复

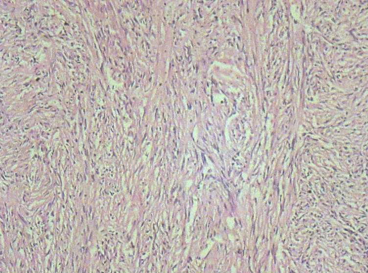
 女40岁,发现乳房皮肤表面一年多。
肉眼:不整形组织1.5*1*0.5一侧见皮肤或一侧可见脂肪,切开内一小结节触之稍韧。

  • 乳房皮肤表面小结节  请会诊!图1
    图1
  • 乳房皮肤表面小结节  请会诊!图2
    图2
  • 乳房皮肤表面小结节  请会诊!图3
    图3
  • 乳房皮肤表面小结节  请会诊!图4
    图4
  • 乳房皮肤表面小结节  请会诊!图5
    图5
  • 乳房皮肤表面小结节  请会诊!图6
    图6
  • 乳房皮肤表面小结节  请会诊!图7
    图7
  • 乳房皮肤表面小结节  请会诊!图8
    图8
  • 乳房皮肤表面小结节  请会诊!图9
    图9
  • 乳房皮肤表面小结节  请会诊!图10
    图10
  • 乳房皮肤表面小结节  请会诊!图11
    图11
标签:乳腺皮肤表面一小肿块
0
添加参考诊断
×参考诊断
  

中国人 离线

帖子:15
粉蓝豆:1
经验:22
注册时间:2011-09-13
加关注  |  发消息
1 楼    发表于2011-09-14 15:45:27举报|引用
返回顶部 | 快捷回复

图片大家能看到吗? 

0
回复

Danrs 离线

帖子:1445
粉蓝豆:176
经验:3050
注册时间:2008-12-09
加关注  |  发消息
2 楼    发表于2011-09-14 16:52:17举报|引用
返回顶部 | 快捷回复

良性病变。

炎症后的瘢痕结节或者纤维组织瘤样增生?

0
回复

cklas 离线

帖子:880
粉蓝豆:0
经验:1016
注册时间:2011-05-19
加关注  |  发消息
3 楼    发表于2011-09-14 17:58:01举报|引用
返回顶部 | 快捷回复

皮肤纤维瘤

0
回复
signature
从事病理需要付出更多!并非人人都适合本专业!

一棵小草 离线

帖子:5101
粉蓝豆:12
经验:7184
注册时间:2008-07-07
加关注  |  发消息
4 楼    发表于2011-09-14 18:10:48举报|引用
返回顶部 | 快捷回复

倾向于皮肤纤维瘤。

0
回复
回复:4 阅读:2433
共1页/4条首页上一页1下一页尾页
【免责声明】讨论内容仅作学术交流之用,不作为诊疗依据,由此而引起的法律问题作者及本站不承担任何责任。
快速回复
进入高级回复
您最多可输入10000个汉字,按 "Ctrl" + "Enter" 直接发送
搜索回复/乘电梯 ×
按内容
按会员
乘电梯
合作伙伴
友情链接