| 图片: | |
|---|---|
| 名称: | |
| 描述: | |
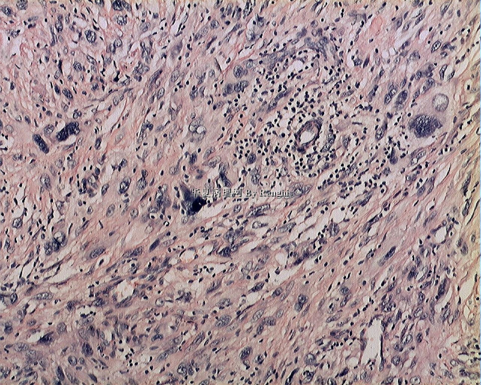
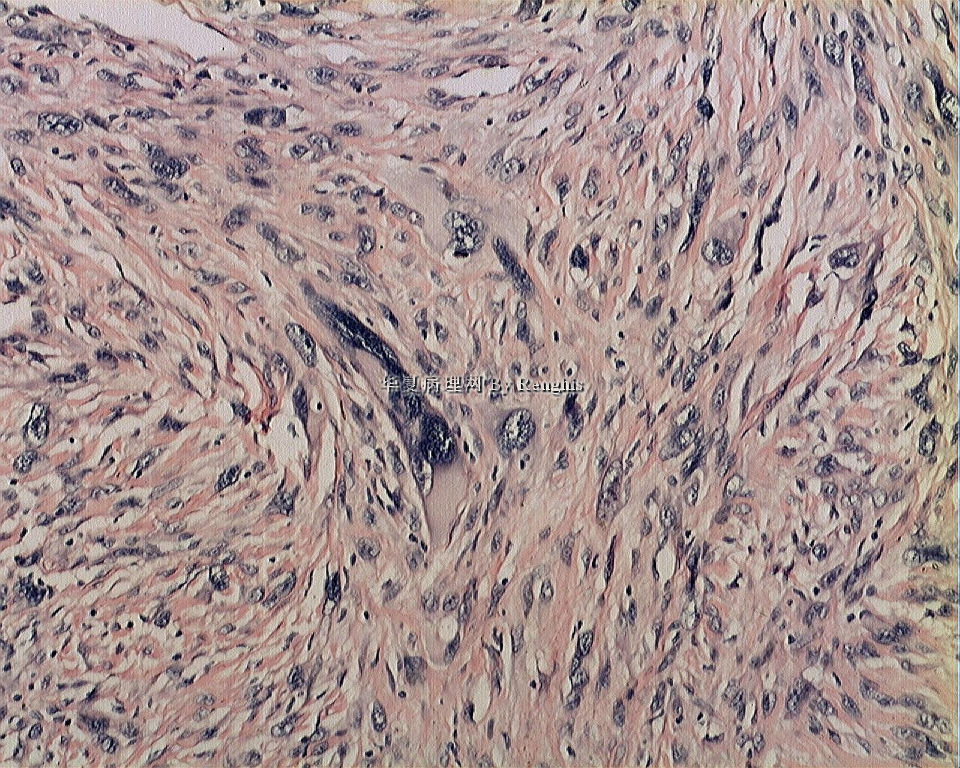
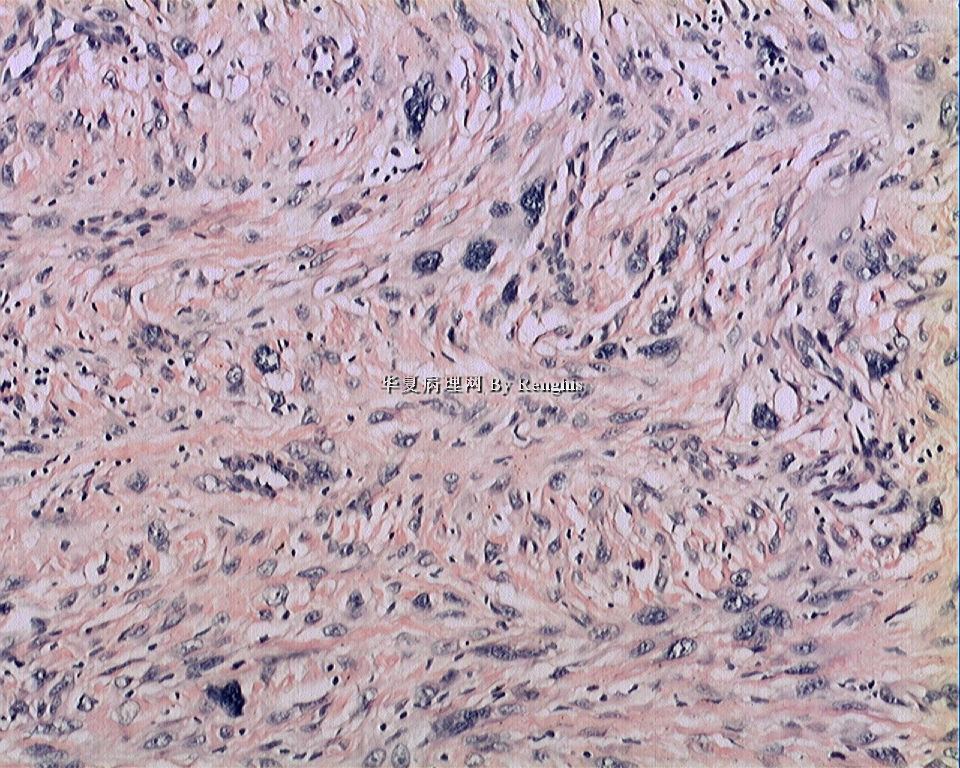
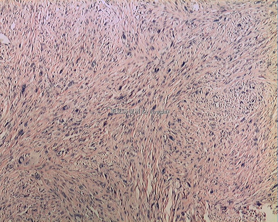
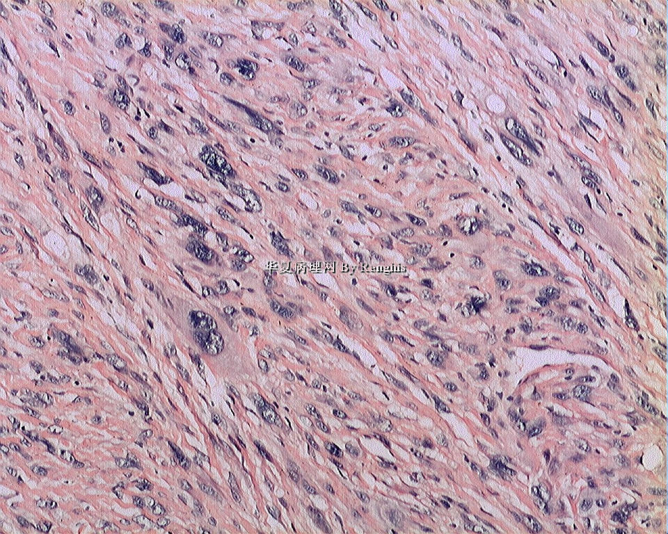
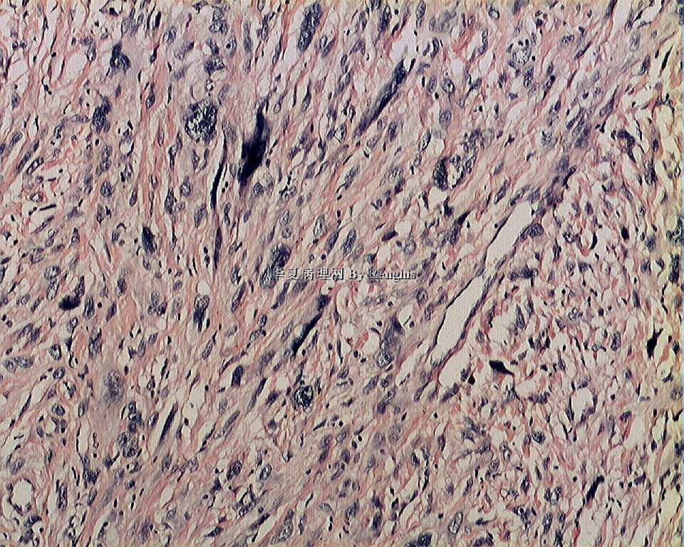
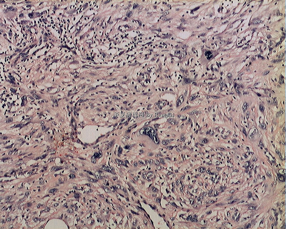
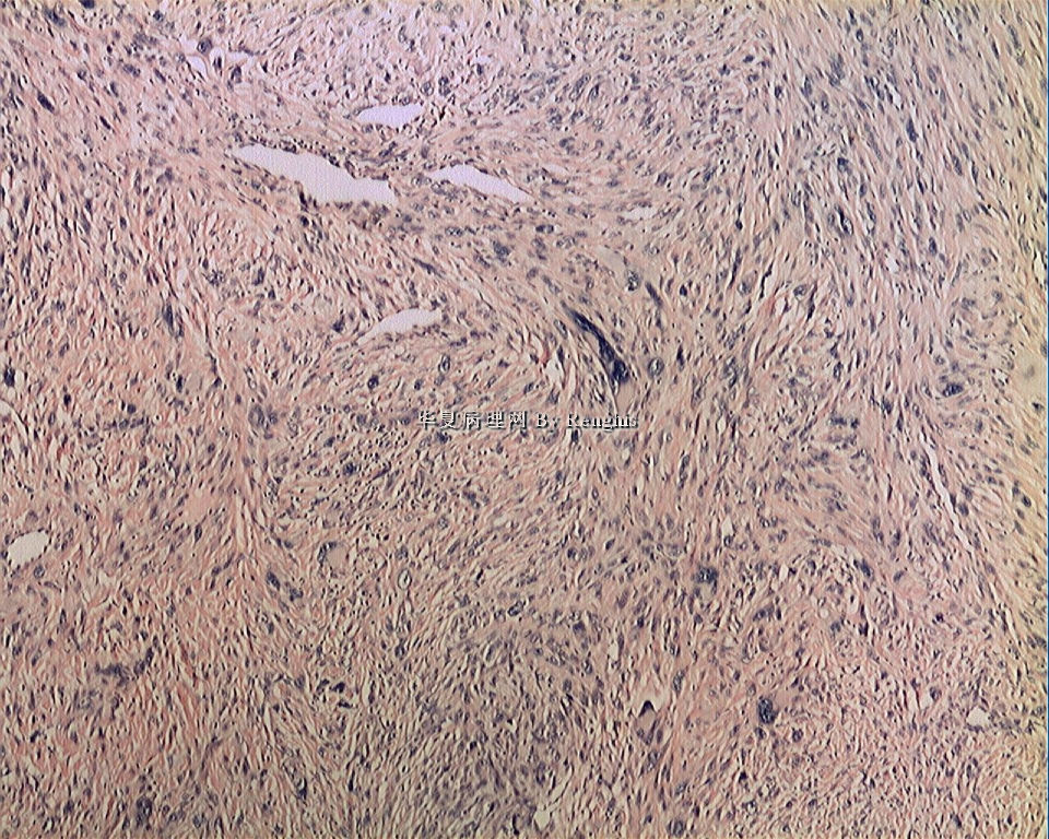
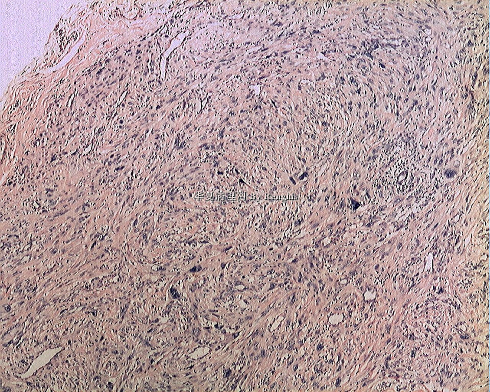
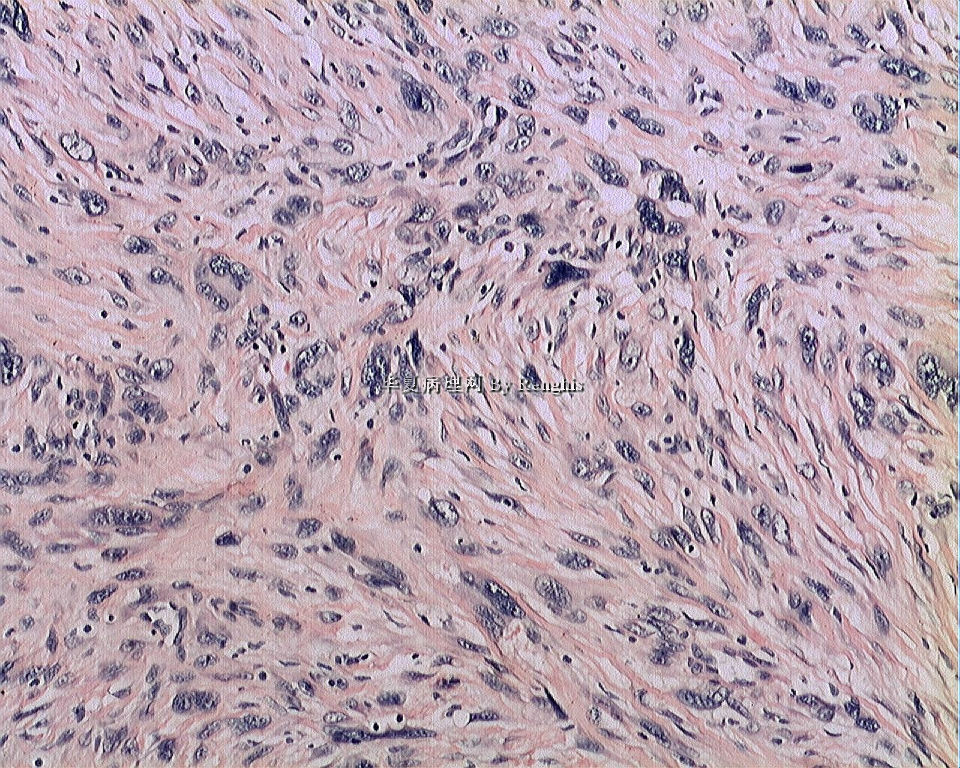
女,29岁,左大腿内侧肿物直径2.8cm,切面灰白、实性、质中,似有包膜。
名称:图1
描述:20110953_18.JPG.jpg
名称:图2
描述:20110953_20.JPG.jpg
名称:图3
描述:20110953_23.JPG.jpg
名称:图4
描述:20110953_25.JPG.jpg
名称:图5
描述:20110953_31.JPG.jpg
名称:图6
描述:20110953_45.JPG.jpg
名称:图7
描述:20110953_47.JPG.jpg
名称:图8
描述:20110953_50.JPG.jpg
名称:图9
描述:20110953_54.JPG.jpg
名称:图10
描述:20110953_56.JPG.jpg
名称:图11
描述:20110953_57.JPG.jpg
名称:图12
描述:20110953_60.JPG.jpg
名称:图13
描述:20110953_72.JPG.jpg
名称:图14
描述:20110953_75.JPG.jpg
名称:图15
描述:20110953_77.JPG.jpg
名称:图16
描述:20110953_79.JPG.jpg
名称:图17
描述:20110953_82.JPG.jpg
名称:图18
描述:20110953_84.JPG.jpg
名称:图19
描述:20110953_93.JPG.jpg

liangjinjun 离线
本例就形态学而言不太符合纤维肉瘤,对于一个多形性和异型明显的肿瘤首先不考虑纤维肉瘤的诊断加上车辐状结构首先还是考虑纤维组织细胞肿瘤。
本人认同此例是一例比较典型的纤维肉瘤,瘤细胞程束状、鱼骨状及编织状排列,部分瘤细胞异型性明显,免疫组化vimentin阳性,SMA灶状弱阳性,desmin阴性,S100阴性,CK阴性,EMA阴性,余记不得了,明天看看再上传。
