共1页/7条首页上一页1下一页尾页
回复:7 阅读:3070
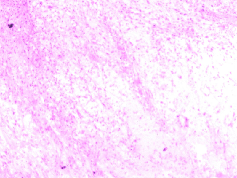
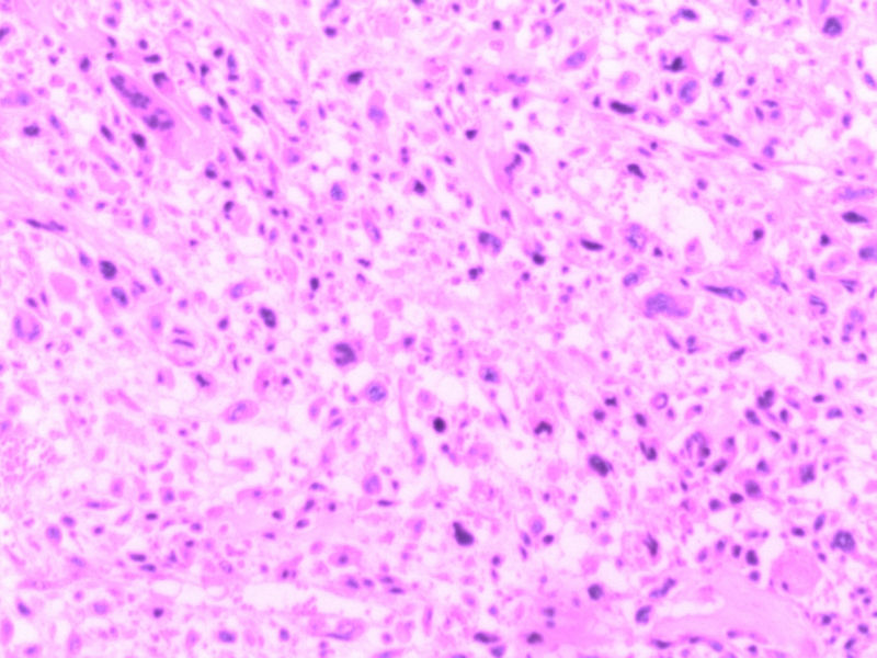
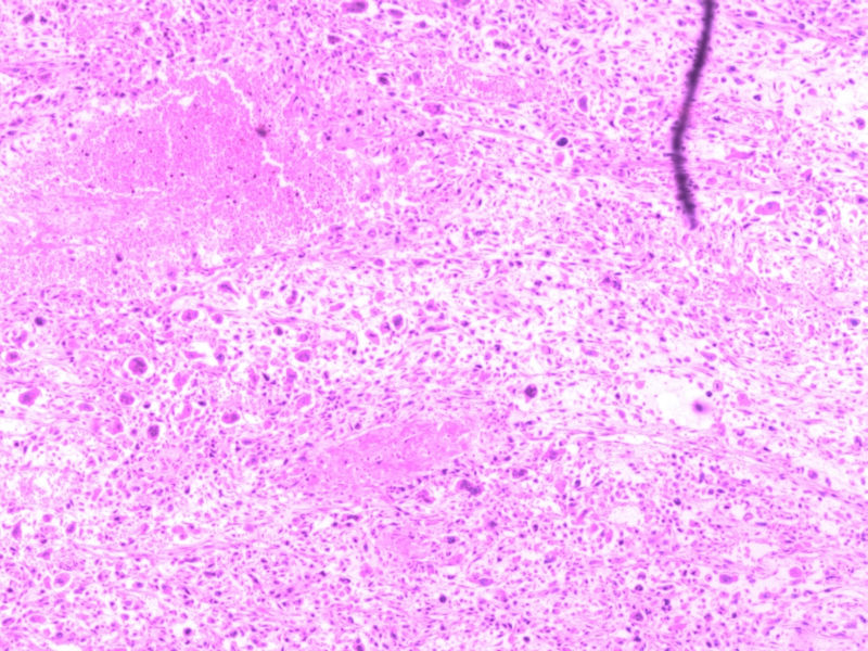
读片会2003 患者女性,48岁,因发现乳腺包块

feiyanwen 离线

帖子:200
粉蓝豆:3
经验:201
注册时间:2011-03-19
加关注  |  发消息
楼主 发表于 2011-09-06 04:53|举报|关注(0)
浏览排序[ 顺序 逆序 楼主 支持 精彩 ]  快捷回复
读片会2003 患者女性,48岁,因发现乳腺包块图1
名称:图1
描述:caporg1.jpg.jpg
读片会2003 患者女性,48岁,因发现乳腺包块图2
名称:图2
描述:caporg2.jpg.jpg
读片会2003 患者女性,48岁,因发现乳腺包块图3
名称:图3
描述:caporg3.jpg.jpg
读片会2003 患者女性,48岁,因发现乳腺包块图4
名称:图4
描述:caporg4.jpg.jpg
读片会2003 患者女性,48岁,因发现乳腺包块图5
名称:图5

描述:caporg5.jpg.jpg 

标签:
1
signature
费晏文
添加参考诊断
×参考诊断
  

平平细胞 离线

帖子:131
粉蓝豆:1
经验:166
注册时间:2011-05-10
加关注  |  发消息
1 楼    发表于2011-09-06 08:54:58举报|引用
返回顶部 | 快捷回复

炎性包块

0
回复
signature
从华夏病理网络中学习,从华夏病理网络中成长

ldx849756917 离线

帖子:244
粉蓝豆:5
经验:802
注册时间:2008-04-24
加关注  |  发消息
2 楼    发表于2011-09-06 13:28:38举报|引用
返回顶部 | 快捷回复

洒家感觉有问题,并且问题不小!!!!!!!!!!!

0
回复
signature
Tumors do not read textbooks!肿瘤不厚道,它从不按常规出牌!

ldx849756917 离线

帖子:244
粉蓝豆:5
经验:802
注册时间:2008-04-24
加关注  |  发消息
3 楼    发表于2011-09-06 13:30:05举报|引用
返回顶部 | 快捷回复

炎性包块和炎性乳癌预后相差十万八千里,多传几张图LOOK LOOK!

0
回复
signature
Tumors do not read textbooks!肿瘤不厚道,它从不按常规出牌!

liguoxia71 离线

帖子:4174
粉蓝豆:3122
经验:4677
注册时间:2007-04-01
加关注  |  发消息
4 楼    发表于2011-09-06 14:08:01举报|引用
返回顶部 | 快捷回复

恶性嘛。

0
回复
signature
三人行,必有我师焉,择其善者而从之,其不善者而改之。

leeqf 离线

帖子:14
粉蓝豆:1
经验:18
注册时间:2011-09-06
加关注  |  发消息
5 楼    发表于2011-09-06 21:07:19举报|引用
返回顶部 | 快捷回复

PP不是很清晰呢;看不明白。

0
回复

广秀 离线

帖子:2711
粉蓝豆:1246
经验:3502
注册时间:2009-09-15
加关注  |  发消息
6 楼    发表于2011-09-06 21:20:11举报|引用
返回顶部 | 快捷回复

细胞异型性及大片的凝固性坏死,恶性肯定。

0
回复
signature
人淡如菊,心素如简。

zgx457 离线

帖子:1290
粉蓝豆:572
经验:3717
注册时间:2007-10-13
加关注  |  发消息
7 楼    发表于2011-10-12 15:03:59举报|引用
返回顶部 | 快捷回复

结核

 

0
回复
回复:7 阅读:3070
共1页/7条首页上一页1下一页尾页
【免责声明】讨论内容仅作学术交流之用,不作为诊疗依据,由此而引起的法律问题作者及本站不承担任何责任。
快速回复
进入高级回复
您最多可输入10000个汉字,按 "Ctrl" + "Enter" 直接发送
搜索回复/乘电梯 ×
按内容
按会员
乘电梯
合作伙伴
友情链接