共1页/10条首页上一页1下一页尾页
回复:29 阅读:7083
病例分享——女性,乳腺肿块穿刺。

老油 离线

帖子:236
粉蓝豆:525
经验:247
注册时间:2010-11-16
加关注  |  发消息
楼主 发表于 2011-09-05 21:03|举报|关注(0)
浏览排序[ 顺序 逆序 楼主 支持 精彩 ]  快捷回复

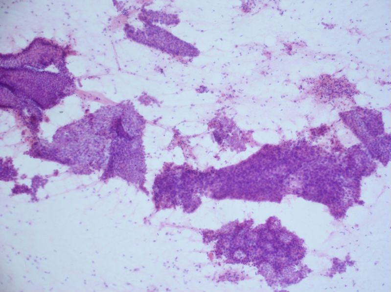
女性,44岁,左乳肿块大小3×3.5.病例分享——女性,乳腺肿块穿刺。图1

名称:图1
描述:C201104379100.jpg.jpg
病例分享——女性,乳腺肿块穿刺。图2
名称:图2
描述:C201104379100-2.jpg.jpg
病例分享——女性,乳腺肿块穿刺。图3
名称:图3
描述:C201104379100-3.jpg.jpg
病例分享——女性,乳腺肿块穿刺。图4
名称:图4
描述:C201104379200.jpg.jpg
病例分享——女性,乳腺肿块穿刺。图5
名称:图5
描述:C201104379200-2.jpg.jpg
病例分享——女性,乳腺肿块穿刺。图6
名称:图6
描述:C201104379200-4.jpg.jpg
病例分享——女性,乳腺肿块穿刺。图7
名称:图7
描述:C201104379200-5.jpg.jpg
病例分享——女性,乳腺肿块穿刺。图8
名称:图8
描述:C201104379200-11.jpg.jpg
病例分享——女性,乳腺肿块穿刺。图9
名称:图9
描述:C201104379200-12.jpg.jpg
病例分享——女性,乳腺肿块穿刺。图10
名称:图10
描述:C201104379400.jpg.jpg
病例分享——女性,乳腺肿块穿刺。图11
名称:图11
描述:C201104379400-2.jpg.jpg
病例分享——女性,乳腺肿块穿刺。图12
名称:图12
描述:C201104379400-3.jpg.jpg
病例分享——女性,乳腺肿块穿刺。图13
名称:图13
描述:C201104379400-4.jpg.jpg
病例分享——女性,乳腺肿块穿刺。图14
名称:图14
描述:C201104379400-7.jpg.jpg
病例分享——女性,乳腺肿块穿刺。图15
名称:图15
描述:C201104379400-8.jpg.jpg
病例分享——女性,乳腺肿块穿刺。图16
名称:图16
描述:C201104379400-9.jpg.jpg
病例分享——女性,乳腺肿块穿刺。图17
名称:图17
描述:C201104379400-10.jpg.jpg
病例分享——女性,乳腺肿块穿刺。图18
名称:图18
描述:C201104379400-11.jpg.jpg
病例分享——女性,乳腺肿块穿刺。图19
名称:图19

描述:C201104379400-12.jpg.jpg 

标签:
1
添加参考诊断
×参考诊断
  

老油 离线

帖子:236
粉蓝豆:525
经验:247
注册时间:2010-11-16
加关注  |  发消息
27 楼    发表于2011-09-07 22:34:18举报|引用
返回顶部 | 快捷回复

 组织学片子的照片倒是没有拍摄,什么时候我把它拍下来上传

0
回复

老油 离线

帖子:236
粉蓝豆:525
经验:247
注册时间:2010-11-16
加关注  |  发消息
26 楼    发表于2011-09-07 22:26:23举报|引用
返回顶部 | 快捷回复
诊断分叶状肿瘤,而不诊断纤维腺瘤,主要一个指标就是间质细胞密度太高了。
0
回复

老油 离线

帖子:236
粉蓝豆:525
经验:247
注册时间:2010-11-16
加关注  |  发消息
24 楼    发表于2011-09-07 22:20:18举报|引用
返回顶部 | 快捷回复
手术切除了:
组织学诊断:(左乳)分叶状肿瘤伴导管上皮不典型增生,部分区原位癌变。
0
回复

老油 离线

帖子:236
粉蓝豆:525
经验:247
注册时间:2010-11-16
加关注  |  发消息
22 楼    发表于2011-09-07 21:53:12举报|引用
返回顶部 | 快捷回复

 在这例中,提醒我们在乳腺穿刺中,有时导管上皮呈平铺状,细胞异形不明显的时候,我们不能简单的认为就是良性,一定要仔细的观察肌上皮,肌上皮的存在与否比细胞异形还要重要。同样在甲状腺穿刺中,许多甲状腺乳头状癌的细胞也可以平铺。

0
回复

老油 离线

帖子:236
粉蓝豆:525
经验:247
注册时间:2010-11-16
加关注  |  发消息
21 楼    发表于2011-09-07 21:49:55举报|引用
返回顶部 | 快捷回复

 细胞腊块中能明显的看到分叶状肿瘤的间质,及刷孔状的上皮细胞。我同时做了肌上皮的标记,大部分导管上皮间阴性。

最后肿块切除:组织学诊断:(左乳)分叶状肿瘤伴导管上皮不典型增生,部分区原位癌变。

0
回复

老油 离线

帖子:236
粉蓝豆:525
经验:247
注册时间:2010-11-16
加关注  |  发消息
20 楼    发表于2011-09-07 21:46:11举报|引用
返回顶部 | 快捷回复

 我同样在涂片的同时,制作了细胞腊块:

名称:图1
描述:C201104379-cb-50.jpg.jpg

名称:图2
描述:C201104379-cb-100-1.jpg.jpg

名称:图3
描述:C201104379-cb-100-2.jpg.jpg

名称:图4
描述:C201104379-cb-100-3.jpg.jpg

名称:图5
描述:C201104379-cb-100-4.jpg.jpg

名称:图6
描述:C201104379-cb-100-5.jpg.jpg

名称:图7
描述:C201104379-cb-200-1.jpg.jpg

名称:图8
描述:C201104379-cb-200-2.jpg.jpg

名称:图9
描述:C201104379-cb-200-3.jpg.jpg

名称:图10
描述:C201104379-cb-200-4.jpg.jpg

名称:图11
描述:C201104379-cb-400-1.jpg.jpg

名称:图12
描述:C201104379-cb-400-2.jpg.jpg

名称:图13
描述:C201104379-cb-400-3.jpg.jpg

名称:图14
描述:C201104379-cb-400-4.jpg.jpg

名称:图15
描述:C201104379-cb-400-6.jpg.jpg

名称:图16
描述:C201104379-cb-400-13.jpg.jpg 
0
回复

老油 离线

帖子:236
粉蓝豆:525
经验:247
注册时间:2010-11-16
加关注  |  发消息
19 楼    发表于2011-09-07 21:44:23举报|引用
返回顶部 | 快捷回复
谢谢各位老师的回答。

这例我们首先看到非常致密的间质细胞,细胞极性混乱,而且病人年龄44岁,所以首先考虑分叶状肿瘤。

这例的难点在于上皮细胞,虽然大部分上皮细胞细胞较平铺,但必须要注意到一点,大部分上皮巢团内缺乏肌上皮细胞(这点在乳腺穿刺诊断中非常重要,许多分化良好的ADH甚至DCIS或癌,细胞可以很温和,排列很平铺,最大的特点就是缺乏肌上皮细胞),同时我们还能在第5张中看到刷孔状结构,而且其内没有双极裸核的肌上皮细胞,所以这例上皮是由不典型增生的,有无癌变不敢肯定。

所以当时的穿刺涂片:考虑分叶状肿瘤伴导管上皮不典型增生,癌变难以除外。
0
回复

老油 离线

帖子:236
粉蓝豆:525
经验:247
注册时间:2010-11-16
加关注  |  发消息
14 楼    发表于2011-09-06 12:39:29举报|引用
返回顶部 | 快捷回复

回复jani

这例穿刺病例我用的是9号针头,

我会根据穿刺的部位和质地选择针头粗细,一般是7号-9号

0
回复

老油 离线

帖子:236
粉蓝豆:525
经验:247
注册时间:2010-11-16
加关注  |  发消息
13 楼    发表于2011-09-06 12:38:01举报|引用
返回顶部 | 快捷回复

穿刺部位是乳腺外上象限

0
回复

老油 离线

帖子:236
粉蓝豆:525
经验:247
注册时间:2010-11-16
加关注  |  发消息
1 楼    发表于2011-09-05 21:05:00举报|引用
返回顶部 | 快捷回复

这个病例有明确的诊断结果,过两天我会公布。

1

平平细胞
回复
回复:29 阅读:7083
共1页/10条首页上一页1下一页尾页
【免责声明】讨论内容仅作学术交流之用,不作为诊疗依据,由此而引起的法律问题作者及本站不承担任何责任。
快速回复
进入高级回复
您最多可输入10000个汉字,按 "Ctrl" + "Enter" 直接发送
搜索回复/乘电梯 ×
按内容
按会员
乘电梯
合作伙伴
友情链接