共1页/16条首页上一页1下一页尾页
回复:16 阅读:3828
宫颈TCT

xclbljys 离线

帖子:5253
粉蓝豆:224
经验:7005
注册时间:2008-11-21
加关注  |  发消息
楼主 发表于 2011-09-03 21:35|举报|关注(1)
浏览排序[ 顺序 逆序 楼主 支持 精彩 ]  快捷回复

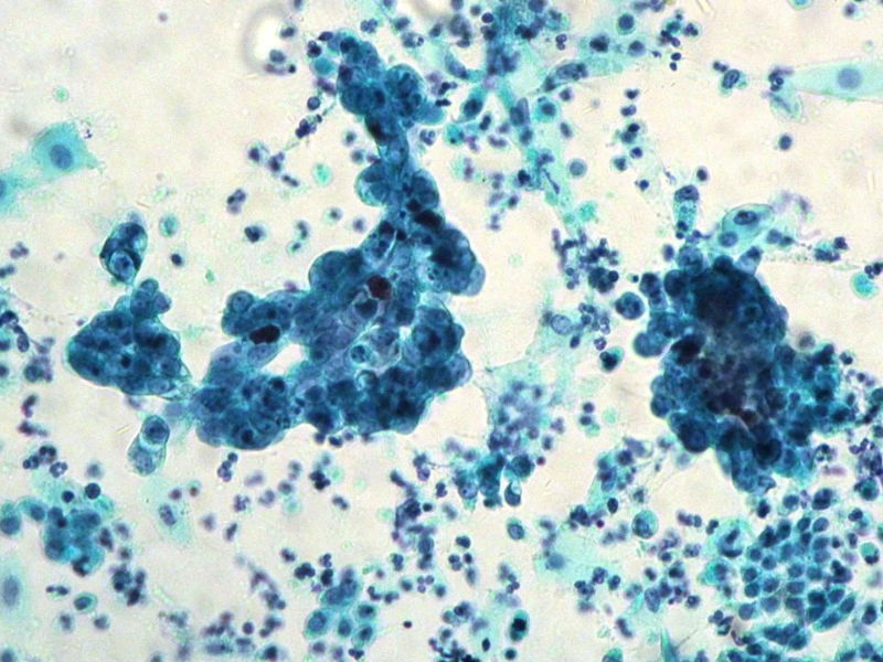
 女,43岁,宫颈普查。宫颈TCT图1

名称:图1
描述:幻灯片1.JPG.jpg
宫颈TCT图2
名称:图2
描述:幻灯片2.JPG.jpg
宫颈TCT图3
名称:图3
描述:幻灯片3.JPG.jpg
宫颈TCT图4
名称:图4
描述:幻灯片4.JPG.jpg
宫颈TCT图5
名称:图5
描述:幻灯片5.JPG.jpg
宫颈TCT图6
名称:图6
描述:幻灯片6.JPG.jpg
宫颈TCT图7
名称:图7
描述:幻灯片7.JPG.jpg
宫颈TCT图8
名称:图8
描述:幻灯片8.JPG.jpg
宫颈TCT图9
名称:图9
描述:幻灯片9.JPG.jpg
宫颈TCT图10
名称:图10
描述:幻灯片10.JPG.jpg
宫颈TCT图11
名称:图11
描述:幻灯片11.JPG.jpg 
标签:
1
signature
许春雷
添加参考诊断
×参考诊断
  

寿小燕 离线

帖子:163
粉蓝豆:96
经验:219
注册时间:2007-04-06
加关注  |  发消息
1 楼    发表于2011-09-03 21:41:02举报|引用
返回顶部 | 快捷回复

hisl

1

平平细胞
回复
signature

非淡泊无以明志,非宁静无以致远

新手007 离线

帖子:612
粉蓝豆:5
经验:787
注册时间:2010-08-17
加关注  |  发消息
2 楼    发表于2011-09-04 08:14:22举报|引用
返回顶部 | 快捷回复

腺癌(宫内膜样)。

1

江郎山之..
回复

xiaogang 离线

帖子:5664
粉蓝豆:48
经验:6068
注册时间:2008-12-18
加关注  |  发消息
3 楼    发表于2011-09-04 08:27:53举报|引用
返回顶部 | 快捷回复

首先考虑腺细胞的问题,建议检查宫内膜或颈管内膜。

2

JLRW

shenying
回复

平平细胞 离线

帖子:131
粉蓝豆:1
经验:166
注册时间:2011-05-10
加关注  |  发消息
4 楼    发表于2011-09-04 08:28:23举报|引用
返回顶部 | 快捷回复

学习,学习,在学习

0
回复
signature
从华夏病理网络中学习,从华夏病理网络中成长

红树林 离线

帖子:618
粉蓝豆:49
经验:2614
注册时间:2009-02-10
加关注  |  发消息
5 楼    发表于2011-09-04 08:31:25举报|引用
返回顶部 | 快捷回复

腺癌

0
回复

JLRW 离线

帖子:59
粉蓝豆:10
经验:4871
注册时间:2011-02-25
加关注  |  发消息
6 楼    发表于2011-09-04 08:59:24举报|引用
返回顶部 | 快捷回复
引用 3 楼 xiaogang 在 2011-09-04 08:27:53 的发言:

首先考虑腺细胞的问题,建议检查宫内膜或颈管内膜。


0
回复
signature
在生活中选择两三件事,尽全力专一心做得极致,必定有很大的收获的...

轻羽飞扬 离线

帖子:445
粉蓝豆:13
经验:882
注册时间:2009-08-13
加关注  |  发消息
7 楼    发表于2011-09-04 13:30:06举报|引用
返回顶部 | 快捷回复

考虑腺上皮病变,倾向子宫内膜来源。图4及图7为反应性颈管上皮。

0
回复
signature
天道酬勤

涢水清- 离线

帖子:2045
粉蓝豆:9
经验:2208
注册时间:2010-04-19
加关注  |  发消息
8 楼    发表于2011-09-04 13:35:49举报|引用
返回顶部 | 快捷回复

首先考虑是细胞的炎性修复。细胞的单片状结构,流水样排列尚在;核稍有增大,但大小一致,染色质结构没有改变;核仁明显,但没有腺癌时的明显大核仁

不放心的可能是图3、8、9,细胞学报ASC-H或AGC都可以,建议宫颈和颈管活检看看放心

0
回复

zzhhao 离线

帖子:8
粉蓝豆:1
经验:8
注册时间:2011-08-31
加关注  |  发消息
9 楼    发表于2011-09-04 15:55:35举报|引用
返回顶部 | 快捷回复
引用 8 楼 涢水清- 在 2011-09-04 13:35:49 的发言:

首先考虑是细胞的炎性修复。细胞的单片状结构,流水样排列尚在;核稍有增大,但大小一致,染色质结构没有改变;核仁明显,但没有腺癌时的明显大核仁

不放心的可能是图3、8、9,细胞学报ASC-H或AGC都可以,建议宫颈和颈管活检看看放心

学习    学习

0
回复

xybldll 离线

帖子:32
粉蓝豆:13
经验:395
注册时间:2011-08-20
加关注  |  发消息
10 楼    发表于2011-09-04 16:09:54举报|引用
返回顶部 | 快捷回复

考虑AGC

0
回复
signature
liliding

feiyanwen 离线

帖子:200
粉蓝豆:3
经验:201
注册时间:2011-03-19
加关注  |  发消息
11 楼    发表于2011-09-04 19:59:55举报|引用
返回顶部 | 快捷回复

首先考虑是细胞的炎性修复。细胞的单片状结构,流水样排列尚在;核稍有增大,但大小一致,染色质结构没有改变;核仁明显,但没有腺癌时的明显大核仁。如果我来发这个报告,我可能会这样发:

细胞形态符合炎症修复改变,部分腺细胞核增大,核仁明显,但不如腺癌细胞核仁大,建议做宫颈及内膜组织活检。

 

 

0
回复
signature
费晏文

老油 离线

帖子:236
粉蓝豆:525
经验:247
注册时间:2010-11-16
加关注  |  发消息
12 楼    发表于2011-09-04 21:03:49举报|引用
返回顶部 | 快捷回复

 AGC,腺癌难以除外,建议检查宫颈管及子宫内膜。

     TCT中,腺上皮的病变诊断的确比较困难。最好能有组织学对照,给大家一个学习的机会。

0
回复

xclbljys 离线

帖子:5253
粉蓝豆:224
经验:7005
注册时间:2008-11-21
加关注  |  发消息
13 楼    发表于2011-09-04 21:11:46举报|引用
返回顶部 | 快捷回复
引用 12 楼 老油 在 2011-09-04 21:03:49 的发言:

 AGC,腺癌难以除外,建议检查宫颈管及子宫内膜。

     TCT中,腺上皮的病变诊断的确比较困难。最好能有组织学对照,给大家一个学习的机会。

谢谢版主!此例我们报的是ACG,建议临床活检,如果有活检标本,当即上传。谢谢各位老师的点评,受益匪浅。

0
回复
signature
许春雷

huhuu 离线

帖子:193
粉蓝豆:41
经验:1459
注册时间:2011-08-25
加关注  |  发消息
14 楼    发表于2011-09-05 09:01:03举报|引用
返回顶部 | 快捷回复
引用 9 楼 zzhhao 在 2011-09-04 15:55:35 的发言:
引用 8 楼 涢水清- 在 2011-09-04 13:35:49 的发言:

首先考虑是细胞的炎性修复。细胞的单片状结构,流水样排列尚在;核稍有增大,但大小一致,染色质结构没有改变;核仁明显,但没有腺癌时的明显大核仁

不放心的可能是图3、8、9,细胞学报ASC-H或AGC都可以,建议宫颈和颈管活检看看放心

学习    学习

这种片子,如果连内膜都不检查,能安心?

0
回复

常乐无限 离线

帖子:768
粉蓝豆:23
经验:833
注册时间:2012-07-02
加关注  |  发消息
15 楼    发表于2012-08-08 14:23:44举报|引用
返回顶部 | 快捷回复
引用 12 楼 老油 在 2011-09-04 21:03:49 的发言:

 AGC,腺癌难以除外,建议检查宫颈管及子宫内膜。

     TCT中,腺上皮的病变诊断的确比较困难。最好能有组织学对照,给大家一个学习的机会。


0
回复
signature
从微观世界寻求真理,是一件快乐的事情!

天岭学神 离线

帖子:48
粉蓝豆:923
经验:56
注册时间:2014-02-09
加关注  |  发消息
16 楼    发表于2014-03-03 12:23:30举报|引用
返回顶部 | 快捷回复

 宫颈管腺癌

0
回复
回复:16 阅读:3828
共1页/16条首页上一页1下一页尾页
【免责声明】讨论内容仅作学术交流之用,不作为诊疗依据,由此而引起的法律问题作者及本站不承担任何责任。
快速回复
进入高级回复
您最多可输入10000个汉字,按 "Ctrl" + "Enter" 直接发送
搜索回复/乘电梯 ×
按内容
按会员
乘电梯
合作伙伴
友情链接