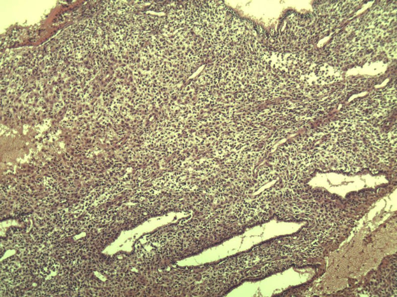
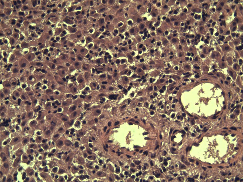
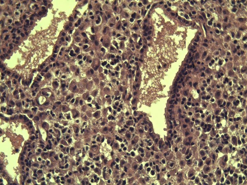
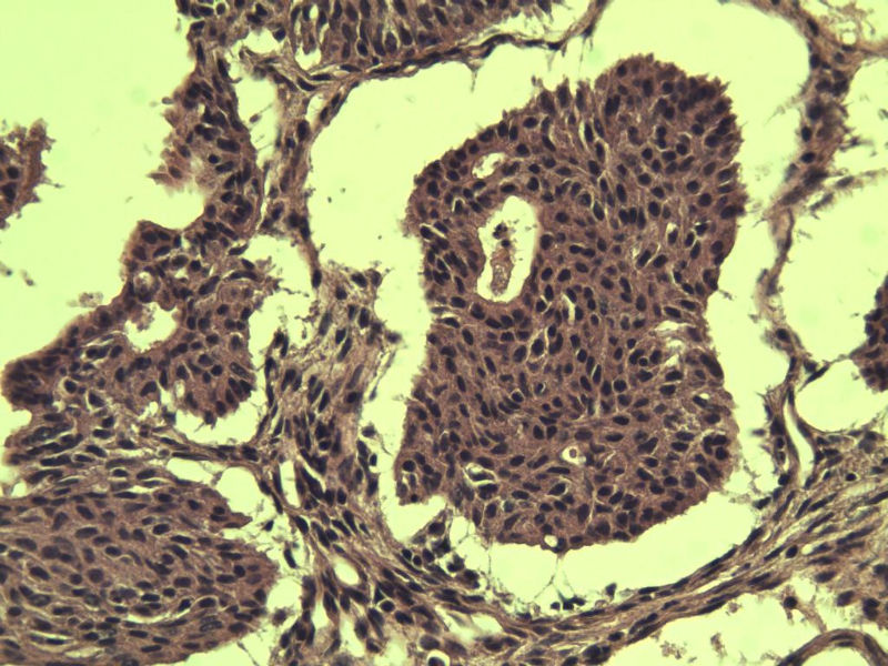
这是另外一个 40岁 经期延长 流血量增多 半年 这是蜕膜样变吧 有什么意义吗? 要报告不?

名称:图1
描述:a47.Jpg.jpg

名称:图2
描述:a48.Jpg.jpg

名称:图3
描述:a49.Jpg.jpg

名称:图4
描述:a50.Jpg.jpg

名称:图5
描述:a51.Jpg.jpg

名称:图6
描述:a52.Jpg.jpg

名称:图7
描述:a53.Jpg.jpg

名称:图8
描述:a54.Jpg.jpg

名称:图9
描述:a55.Jpg.jpg

名称:图10
描述:a56.Jpg.jpg

名称:图11
描述:a57.Jpg.jpg

名称:图12
描述:a58.Jpg.jpg
这是另外一个 40岁 经期延长 流血量增多 半年 这是蜕膜样变吧 有什么意义吗? 要报告不?

名称:图1
描述:a47.Jpg.jpg

名称:图2
描述:a48.Jpg.jpg

名称:图3
描述:a49.Jpg.jpg

名称:图4
描述:a50.Jpg.jpg

名称:图5
描述:a51.Jpg.jpg

名称:图6
描述:a52.Jpg.jpg

名称:图7
描述:a53.Jpg.jpg

名称:图8
描述:a54.Jpg.jpg

名称:图9
描述:a55.Jpg.jpg

名称:图10
描述:a56.Jpg.jpg

名称:图11
描述:a57.Jpg.jpg

名称:图12
描述:a58.Jpg.jpg