共2页/22条首页上一页12下一页尾页
回复:22 阅读:6293
焦急:胃肿物,请老师帮看下。

dama0609 离线

帖子:613
粉蓝豆:1474
经验:708
注册时间:2008-09-08
加关注  |  发消息
楼主 发表于 2011-08-31 07:04|举报|关注(1)
浏览排序[ 顺序 逆序 楼主 支持 精彩 ]  快捷回复

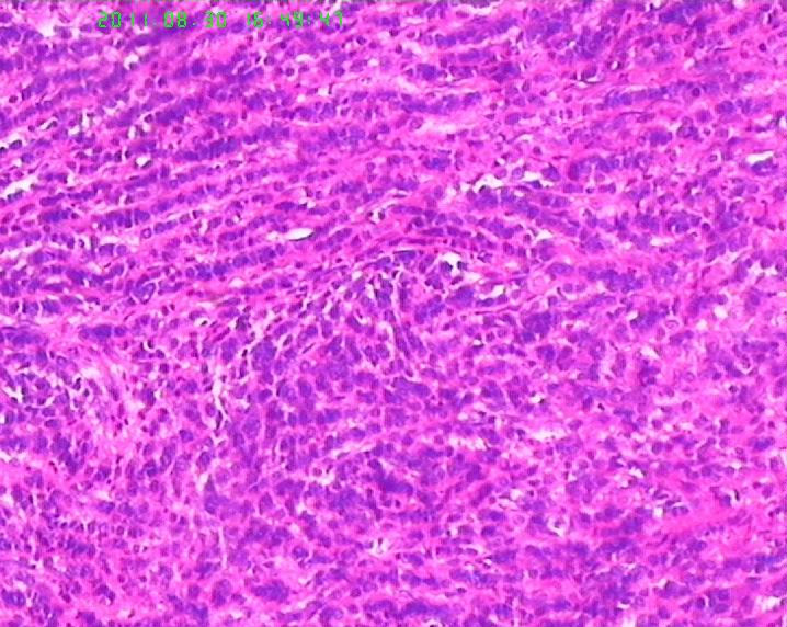
 此例男,65岁。术前胃镜活检学生报告“低分化腺癌”,行手术治疗。术后见胃体后壁小弯测溃疡性肿物直径6.5cm,周围隆起质地硬,肉眼侵及肌层。镜下所见如图,似乎不是腺癌,是否是类癌??但核分裂很活跃,不见核仁。胃周淋巴结未检出转移。请老师们帮忙指正。学生感激。

  • 焦急:胃肿物,请老师帮看下。图1
    图1
  • 焦急:胃肿物,请老师帮看下。图2
    图2
  • 焦急:胃肿物,请老师帮看下。图3
    图3
  • 焦急:胃肿物,请老师帮看下。图4
    图4
  • 焦急:胃肿物,请老师帮看下。图5
    图5
  • 焦急:胃肿物,请老师帮看下。图6
    图6
  • 焦急:胃肿物,请老师帮看下。图7
    图7
  • 焦急:胃肿物,请老师帮看下。图8
    图8
  • 焦急:胃肿物,请老师帮看下。图9
    图9
  • 焦急:胃肿物,请老师帮看下。图10
    图10
  • 焦急:胃肿物,请老师帮看下。图11
    图11
  • 焦急:胃肿物,请老师帮看下。图12
    图12
  • 焦急:胃肿物,请老师帮看下。图13
    图13
 
标签:
本帖最后由 dama0609 于 2011-08-31 07:09:37 编辑
0
signature
过河小马!
添加参考诊断
×参考诊断
  

danding 离线

帖子:47
粉蓝豆:76
经验:116
注册时间:2011-05-31
加关注  |  发消息
22 楼    发表于2011-09-04 18:05:43举报|引用
返回顶部 | 快捷回复

认为神经内分泌中肿瘤尚需考虑,不做免疫组化就不清楚怎么鉴别、确诊了!期待最终答案

0
回复

cuifen1983 离线

帖子:57
粉蓝豆:21
经验:297
注册时间:2009-05-25
加关注  |  发消息
21 楼    发表于2011-09-04 17:24:02举报|引用
返回顶部 | 快捷回复

学习了

0
回复

一了 离线

帖子:2138
粉蓝豆:64
经验:2288
注册时间:2009-03-31
加关注  |  发消息
20 楼    发表于2011-09-04 16:33:45举报|引用
返回顶部 | 快捷回复

低分化腺癌

0
回复

dq17529 离线

帖子:201
粉蓝豆:16
经验:254
注册时间:2009-02-28
加关注  |  发消息
19 楼    发表于2011-09-03 19:35:10举报|引用
返回顶部 | 快捷回复

学习啦

0
回复

jessycui 离线

帖子:167
粉蓝豆:11
经验:176
注册时间:2010-10-12
加关注  |  发消息
18 楼    发表于2011-09-01 21:25:40举报|引用
返回顶部 | 快捷回复

学习啦。。。

0
回复
signature

浆细胞 离线

帖子:90
粉蓝豆:1052
经验:521
注册时间:2008-08-24
加关注  |  发消息
17 楼    发表于2011-09-01 20:04:42举报|引用
返回顶部 | 快捷回复

期待结果

0
回复
signature
Ann

Tcat 离线

帖子:187
粉蓝豆:591
经验:190
注册时间:2010-05-16
加关注  |  发消息
16 楼    发表于2011-09-01 14:11:21举报|引用
返回顶部 | 快捷回复

期待结果

0
回复

TK1905 离线

帖子:962
粉蓝豆:283
经验:1054
注册时间:2010-03-14
加关注  |  发消息
15 楼    发表于2011-09-01 14:09:48举报|引用
返回顶部 | 快捷回复

不可能是类癌(NET 1级),至少是NET 2-3级

0
回复

fangg 离线

帖子:1426
粉蓝豆:44
经验:1863
注册时间:2007-01-22
加关注  |  发消息
14 楼    发表于2011-09-01 13:36:01举报|引用
返回顶部 | 快捷回复

 本例需要除外神经内分泌癌的可能(比类癌恶性程度高,本例应达到是NET 3级)。

如果不能做免疫的话,能否提供肿瘤与周围黏膜交界处图片吗?

0
回复
signature
境随心转

njwbhuang 离线

帖子:712
粉蓝豆:2265
经验:1404
注册时间:2007-11-23
加关注  |  发消息
13 楼    发表于2011-08-31 23:07:31举报|引用
返回顶部 | 快捷回复

肿瘤呈流水线样排列,有腺样结构,核分裂像多见,从这些来说至少不是类癌了,如果是神经内分泌肿瘤,那也应该是神经内分泌癌了,此例可能为腺癌伴神经内分泌分化,需做免疫标记证实是否有神经内分泌分化。

0
回复

宁静志远 离线

帖子:593
粉蓝豆:6307
经验:2699
注册时间:2009-12-30
加关注  |  发消息
12 楼    发表于2011-08-31 23:01:47举报|引用
返回顶部 | 快捷回复

首先考虑低分化腺癌

0
回复

老四 离线

帖子:153
粉蓝豆:31
经验:347
注册时间:2009-03-28
加关注  |  发消息
11 楼    发表于2011-08-31 21:16:55举报|引用
返回顶部 | 快捷回复

应加做神经内分泌标记物Syn、CgA、CD56和Ki67,小细胞癌/未分化癌不能排除。

0
回复

zhenshijian 离线

帖子:1069
粉蓝豆:91
经验:1364
注册时间:2008-04-20
加关注  |  发消息
10 楼    发表于2011-08-31 20:37:50举报|引用
返回顶部 | 快捷回复
引用 1 楼 yymclb 在 2011-08-31 07:45:28 的发言:

还应是低分化腺癌


0
回复

靖哥哥 离线

帖子:182
粉蓝豆:12
经验:524
注册时间:2008-12-05
加关注  |  发消息
9 楼    发表于2011-08-31 20:36:40举报|引用
返回顶部 | 快捷回复

形态上区分有时很难,一做IHC后,一目了然!

0
回复

dama0609 离线

帖子:613
粉蓝豆:1474
经验:708
注册时间:2008-09-08
加关注  |  发消息
8 楼    发表于2011-08-31 20:31:42举报|引用
返回顶部 | 快捷回复
引用 5 楼 hxxtl 在 2011-08-31 10:11:36 的发言:
本帖最后由 hxxtl 于 2011-08-31 10:17:23 编辑

低分化腺癌。

类癌肿瘤位于粘膜下,呈隆起性病变,外观为黄褐色小结节或息肉,抑或胃壁增厚,与本例形成溃疡不符。

此例癌细胞条索状排列形式像类癌,但细胞核分裂活跃,且大体检查不符合类癌。

若诊断管状腺癌,其中未见任何“管腺”形成迹象,故应诊断为“未分化腺癌”。但学生有以下疑问:1、为何肿瘤与正常胃粘膜交界处不见“非典型增生腺体”移行,而是截然交界。交界处可见淋巴细胞浸润。2、为何肿瘤浸润肌层的界面圆顿,如同“疣状癌”的膨胀性推挤生长。3、未分化腺癌恶性程度高,而为何胃周淋巴结检出二十余枚均未见转移。

书上说有一种分化差的管状腺癌称为实体癌,此例会是吗,学生没见过!

学生这里为基层单位,没开免疫组化,所以……呵呵。

再次请老师们指教。感激不尽!!

0
回复
signature
过河小马!

飞翔鸟 离线

帖子:31
粉蓝豆:17
经验:63
注册时间:2009-11-29
加关注  |  发消息
7 楼    发表于2011-08-31 18:34:44举报|引用
返回顶部 | 快捷回复

细胞排列器官样,细胞核染色质较细腻,第一考虑类癌,第二除外低分化腺癌.加染IHC最后定类型.

1

靖哥哥
回复

茉莉花开 离线

帖子:526
粉蓝豆:12
经验:2772
注册时间:2009-06-21
加关注  |  发消息
6 楼    发表于2011-08-31 10:48:19举报|引用
返回顶部 | 快捷回复

从形态上看像类癌。建议做免疫组化标记一下。

0
回复

hxxtl 离线

帖子:709
粉蓝豆:565
经验:3217
注册时间:2009-01-07
加关注  |  发消息
5 楼    发表于2011-08-31 10:11:36举报|引用
返回顶部 | 快捷回复
本帖最后由 hxxtl 于 2011-08-31 10:17:23 编辑

低分化腺癌。

类癌肿瘤位于粘膜下,呈隆起性病变,外观为黄褐色小结节或息肉,抑或胃壁增厚,与本例形成溃疡不符。

0
回复
signature
集腋成裘 厚积薄发

蓝钻闪影 离线

帖子:149
粉蓝豆:987
经验:1604
注册时间:2011-07-30
加关注  |  发消息
4 楼    发表于2011-08-31 09:55:15举报|引用
返回顶部 | 快捷回复

(胃)类癌。

0
回复

wangdingding 离线

帖子:1474
粉蓝豆:98
经验:6042
注册时间:2006-10-19
加关注  |  发消息
3 楼    发表于2011-08-31 09:31:49举报|引用
返回顶部 | 快捷回复

低分化腺癌,不太像类癌

0
回复
回复:22 阅读:6293
共2页/22条首页上一页12下一页尾页
【免责声明】讨论内容仅作学术交流之用,不作为诊疗依据,由此而引起的法律问题作者及本站不承担任何责任。
快速回复
进入高级回复
您最多可输入10000个汉字,按 "Ctrl" + "Enter" 直接发送
搜索回复/乘电梯 ×
按内容
按会员
乘电梯
合作伙伴
友情链接