共2页/22条首页上一页12下一页尾页
回复:22 阅读:6285
焦急:胃肿物,请老师帮看下。

dama0609 离线

帖子:613
粉蓝豆:1474
经验:708
注册时间:2008-09-08
加关注  |  发消息
楼主 发表于 2011-08-31 07:04|举报|关注(1)
浏览排序[ 顺序 逆序 楼主 支持 精彩 ]  快捷回复

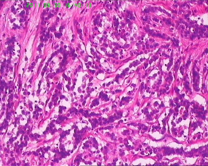
 此例男,65岁。术前胃镜活检学生报告“低分化腺癌”,行手术治疗。术后见胃体后壁小弯测溃疡性肿物直径6.5cm,周围隆起质地硬,肉眼侵及肌层。镜下所见如图,似乎不是腺癌,是否是类癌??但核分裂很活跃,不见核仁。胃周淋巴结未检出转移。请老师们帮忙指正。学生感激。

  • 焦急:胃肿物,请老师帮看下。图1
    图1
  • 焦急:胃肿物,请老师帮看下。图2
    图2
  • 焦急:胃肿物,请老师帮看下。图3
    图3
  • 焦急:胃肿物,请老师帮看下。图4
    图4
  • 焦急:胃肿物,请老师帮看下。图5
    图5
  • 焦急:胃肿物,请老师帮看下。图6
    图6
  • 焦急:胃肿物,请老师帮看下。图7
    图7
  • 焦急:胃肿物,请老师帮看下。图8
    图8
  • 焦急:胃肿物,请老师帮看下。图9
    图9
  • 焦急:胃肿物,请老师帮看下。图10
    图10
  • 焦急:胃肿物,请老师帮看下。图11
    图11
  • 焦急:胃肿物,请老师帮看下。图12
    图12
  • 焦急:胃肿物,请老师帮看下。图13
    图13
 
标签:
本帖最后由 dama0609 于 2011-08-31 07:09:37 编辑
0
signature
过河小马!
添加参考诊断
×参考诊断
  

cuifen1983 离线

帖子:57
粉蓝豆:21
经验:297
注册时间:2009-05-25
加关注  |  发消息
21 楼    发表于2011-09-04 17:24:02举报|引用
返回顶部 | 快捷回复

学习了

0
回复

danding 离线

帖子:47
粉蓝豆:76
经验:116
注册时间:2011-05-31
加关注  |  发消息
22 楼    发表于2011-09-04 18:05:43举报|引用
返回顶部 | 快捷回复

认为神经内分泌中肿瘤尚需考虑,不做免疫组化就不清楚怎么鉴别、确诊了!期待最终答案

0
回复
回复:22 阅读:6285
共2页/22条首页上一页12下一页尾页
【免责声明】讨论内容仅作学术交流之用,不作为诊疗依据,由此而引起的法律问题作者及本站不承担任何责任。
快速回复
进入高级回复
您最多可输入10000个汉字,按 "Ctrl" + "Enter" 直接发送
搜索回复/乘电梯 ×
按内容
按会员
乘电梯
合作伙伴
友情链接